Fractures de lextrmit suprieure du tibia cours 2me
Fractures de l’extrémité supérieure du tibia cours 2ème année P. Gautier
cours 2ème année P. Gautier
Classification en fonction du mécanisme Compression axiale Fracture bitubérositaire Fr. spinotubérositaires externes et internes Compression latérale Fracture-séparation externe et interne Fracture tassement cours 2ème année P. Gautier Fr mixtes
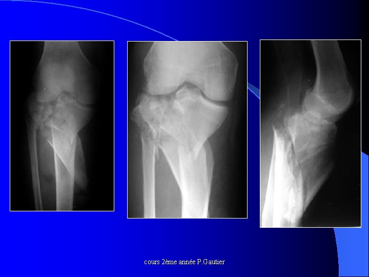
Fractures spino-tubérositaires cours 2ème année P. Gautier
Fractures unitubérositaires cours 2ème année P. Gautier
Fractures-séparation cours 2ème année P. Gautier
cours 2ème année P. Gautier
Plaque AO Plaques de Bousquet cours 2ème année P. Gautier
Fractures complexes cours 2ème année P. Gautier
Fractures ouvertes : utiliser des fixateurs externes avec des broches dans les fragments proximaux cours 2ème année P. Gautier
Fractures de l’extrémité supérieure du tibia Les problèmes spécifiques - Désorganisation des surfaces art par enfoncement résiduel d’un plateau tibial => perturbation grave du jeu art. - Désaxation globale du mb inf en varus (plateau tibial int ) ou valgus (plateau tibial ext) - Le ttt doit répondre à 2 objectifs : restauration des surfaces art et redonner au mb inf un axe normal cours 2ème année P. Gautier
Fractures de l’extrémité supérieure du tibia Traitement chirurgical : Relever la surface art enfoncée, puis la maintenir par ostéosynthèse +/- greffon illiaque. Vis, plaque vissée Traitement orthopédique : Méthode de traction – mobilisation dans l’axe avec une broche transtibiale (l’enfoncement n’est pas relevé, la mob° est immédiate pour conserver l’amplitude art) traction mise en place 45 -60 jours cours 2ème année P. Gautier
Fractures de l’extrémité supérieure du tibia Dans tous les cas, mob° doit être précoce, tjs réalisée pdt les 45 premiers jours dans le sens de la diminut° des contraintes sur le plateau fracturé, afin de ne pas risquer de tasser la surface art relevée cours 2ème année P. Gautier
Fractures de l’extrémité supérieure du tibia Rééducation après ostéosynthèse. Période d’alitement courte, suivi de la pose d’une attelle post. Phase de préconsolidation Verticalisation d’emblée permise + déambulation en décharge Acquérir le plus vite possible l’ext° active complète (l’attelle est remise en place après les séances) Entretien art : mob° passive manuelle, puis auto-passive, arthromot cours 2ème année P. Gautier
Fractures de l’extrémité supérieure du tibia Entretien art : mob en décoaptation fémoro-tibiale (par traction dans l’axe du segment jambier ou en imposant une contrainte varisante en cas de lésion externe, valgisante en cas de lésion interne) + mob° en piscine dès cicatrisation Entretien musculaire : Lever d’inhibition + technique de facilitation Éviter toute R distale pour le QD Eviter toute composante de rotation et de coaptation cours 2ème année P. Gautier
Fractures de l’extrémité supérieure du tibia Rééducation après ostéosynthèse. Phase de remise en charge et d’appui Vers le 75 -90 ème jour Progression selon protocole de remise en charge Augmentation des sollicitations passives et actives Poursuite du W de gain d’amplitude, surtout fle° Poursuite du W du QD + IJ + TS Travail des stabilisateurs latéraux (patte d’oie en cas de lésion du PT externe, TFL en cas de lésion du PT int) cours 2ème année P. Gautier
Fractures de l’extrémité supérieure du tibia Rééducation après traction-mobilisation. Soins de l’alité Massage à visée circulatoire, décontracturant Contractions statiques du QD + technique de facilitation Mob° du genou en passif doux dès J 3 + mob rotule (les poids de la traction sont laissés en place). Une participation active des fléchisseurs de hanche est demandée. (amplitude 30 -40) Mob° en extension de hanche à partir du bassin Mob° du pied : antiéquin cours 2ème année P. Gautier
Fractures de l’extrémité supérieure du tibia La traction est enlevée vers S 6, puis attelle articulée ou amovible gardée 1 mois Poursuite de la rééducation en continuant de maintenir le foyer de fr. Verticalisation avec précaution Programme de rééducation idem précédent puis remise en charge % ++ cours 2ème année P. Gautier
Fractures de l’extrémité supérieure du tibia Déficit de flexion : Adhérences intra-articulaires, rétraction des parties molles périart. (ailerons rotuliens) Mob° sous AG : Précoce 4 -5 mois post fr. Manœuvre forcée, brutale faite après reprise d’appui et après Consolidation W immédiat de recherche d’amplitude (manuelle, mécanique) + antalgique +++ + cryo+SETA + massa antalgique cours 2ème année P. Gautier
Fractures de l’extrémité supérieure du tibia Posture en fle° ext°alternée toute les 3 heures avec attelle, Platre Mob° par attelle motorisée à partir de J 1 + mob° de la rotule Contracter relacher, stabilisation rythmique, piscine Physiothérapie antalgique +++ Éveil musc. Avec W contre R W en force avec contractions statiques ++ pour limiter les risques de réactions infl. Obtention du verrouillage actif du genou et ext) TOTALE ACTIVE cours 2ème année P. Gautier
Fractures de l’extrémité supérieure du tibia Arthrolyse : Section et résection de éléments périart. Libération du cul de sac sous quadricipital et section des ailerons rotuliens Libération des adhérences du QD La fle° doit être plus facile Appui partiel ensuite puis total à J 15 !!! Récup du QD en force !!! Récup verrouillage actif du genou cours 2ème année P. Gautier
Fractures de l’extrémité supérieure du tibia Déficit d’extension : Eviter tout flexum Correction après un flexum de 3 -4 mois par plâtre Ttt chir. Par allongement des IJ, désinsertions des coques condyliennes, libération de tous les éléments post rétractés. Massages décontracturants Mob° en ext° avec attelle, W du QD W des IJ à 6 semaines ( si intervention chir. ) W fonctionnel vers J 45 après sevrage de l’attelle post cours 2ème année P. Gautier
Fractures de jambe l Etiologie Ces fractures prédominent chez des sujets de 18 à 40 ans. l Elles se font le plus souvent par torsion (sport, ski) ou par choc direct (circulation et travail). l Exceptionnellement on a des fractures isolées du tibia ou des fractures isolées du péroné, mais le plus souvent ce sont des fractures des 2 os de la jambe. Les fractures sont parfois à des niveaux différents. Il y a un point faible à l'union du 1/3 moyen et du tiers inférieur du tibia, qui explique la prédominance des fractures à ce niveau. Le tibia est courbe dans les 2 plans. l cours 2ème année P. Gautier
Fractures de jambe Les traits de fractures et les déplacements o Fractures spiroïdes : 50 % des cas Fractures par torsion le plus souvent diaphysaire basse. Le péroné est fracturé plus haut. Il y a un biseau supérointerne qui menace la peau. • Parfois il y a un trait de refend qui peut isoler un 3ème fragment en aile de papillon. • Il y a des spiroïdes courtes et des spiroïdes longues (les longues sont plus stables) • Le déplacement se fait par chevauchement, le plus souvent. Il tend à s'accentuer. cours 2ème année P. Gautier
Fractures de jambe o cours 2ème année P. Gautier
Fractures de jambe Fractures transversales Elles succèdent à un choc direct et peuvent se voir à tous les niveaux. Le déplacement est variable. Cette forme peut être stable après réduction, à moins qu'il n'y ait un 3ème fragment. o Fractures obliques courtes Elles sont très instables. L'ouverture cutanée peut se faire de dedans en dehors. o Fractures comminutives Elles s'accompagnent de lésions des parties molles et sont très instables. o Fractures bifocales ou à double étage Il y a un fragment intermédiaire de diaphyse qui risque d'être isolé de la vascularisation. La vascularisation intra-osseuse est en effet peu importante et c'est la vascularisation périphérique qui est prédominante et peut être interrompue par la fracture et par le déplacement o cours 2ème année P. Gautier
Fractures de jambe o cours 2ème année P. Gautier
Fractures de jambe o Fractures isolées du tibia Le déplacement est limité par l'intégrité du péroné. Le trait est oblique et la réduction est difficile à maintenir par un plâtre. Nombreux sont les partisans de l'ostéosynthèse dans ces cas. o Les déplacements de toutes ces fractures combinent angulation, translation, chevauchement, et décalage (rotation). cours 2ème année P. Gautier
Fractures de jambe Evolution o La consolidation d'une fracture de la jambe bien traitée se fait en 2 à 3 mois chez l'adulte, plus rapidement chez l'enfant. On parle de retard de consolidation au 4ème mois s'il n'apparaît pas de signe de cal périphérique. o Les complications sont celles de toutes les fractures diaphysaires cours 2ème année P. Gautier
Fractures de jambe L'immobilisation des fractures sans déplacement cours 2ème année P. Gautier
Fractures de jambe. l L'extension continue cours 2ème année P. Gautier
Fractures de jambe La réduction sur cadre de TRILLAT suivie de plâtre o o cours 2ème année P. Gautier
Fractures de jambe La méthode de SARMIENTO Elle permet un appui précoce dans certaines formes de fractures. Le plâtre cruro-pédieux initial est remplacé vers la 3ème semaine par un plâtre de marche spécial. Cet appareil est caractérisé par un moulage serré des masses musculaires qui joueront le rôle de tuteur compressif pour l'os. Les appuis sont bien modelés au niveau des condyles fémoraux et du tendon rotulien et de la rotule. cours 2ème année P. Gautier
Fractures de jambe cours 2ème année P. Gautier
Fractures de jambe L'ostéosynthèse à foyer ouvert o Le vissage simple Les vis seules sont rarement suffisantes, sauf dans les fractures spiroïdes longues. Ce type de montage n'évite pas un plâtre protecteur, mais il permet une excellente réduction. o Les cerclages métalliques sont très insuffisants pour les fractures de jambe (sauf pour les spiroïdes) et ils ont été abandonnés. o Les plaques vissées Elles permettent une très bonne réduction et une bonne stabilité et évitent le plâtre Les plaques ne sont plus utilisées pour les fractures diaphysaires et elles sont réservées surtout aux fractures des extrémités cours 2ème année P. Gautier
Fractures de jambe cours 2ème année P. Gautier
Fractures de jambe cours 2ème année P. Gautier
Fractures de jambe L'enclouage centro-médullaire à foyer fermé cours 2ème année P. Gautier
Fractures de jambe l cours 2ème année P. Gautier
Fractures de jambe Le clou « verrouillé » par des vis (KEMPF et GROSSE) Les vis sont enlevées avant la consolidation définitive, vers la 6ème semaine et l'appui autorisé, ce qui stimule la formation du cal. On peut verrouiller une extrémité du clou ou les deux. cours 2ème année P. Gautier
Fractures de jambe cours 2ème année P. Gautier
Fractures de jambe En fonction du trait de fracture o Les fractures transversales sont stables et consolident bien avec le traitement orthopédique. Ou place d’un clou centro-médullaire avec appui repris immédiatement. o Les fractures spiroïdes : Le vissage associé à une plaque vissée de neutralisation est adopté par beaucoup. L'enclouage centro-médullaire peut presque toujours être réalisé dans les fractures spiroïdes. l cours 2ème année P. Gautier
Fractures de jambe Les fractures comminutives peuvent être enclouées à foyer fermé + verrouillage du clou en haut et en bas par des vis transversales qui bloquent les rotations et maintiennent la longueur correcte. o Les fractures à double étage : enclouage à foyer fermé avec petit clou « d'alignement » et renforcer le montage par un verrouillage avec des vis. o Les fractures isolées du tibia Ces fractures peuvent être traitées par plâtre mais à condition de surveiller l'absence de déplacement secondaire (fréquent). ou enclouage centro-médullaire à foyer fermé. o cours 2ème année P. Gautier
Fractures de jambe o Fractures isolées du péroné Elles sont dues à des chocs directs. Elles consolident habituellement sans réduction et sans ostéosynthèse au 1/3 moyen ou nécessiter une réduction et une ostéosynthèse. o L'extension continue peut permettre d'attendre l'amélioration des conditions cutanées avant de prendre la décision de faire une ostéosynthèse (qui pourra se faire 2 à 3 semaines plus tard). Le traitement antibiotique est systématique cours 2ème année P. Gautier
Fractures de jambe En fonction des lésions cutanées fixateur externe cours 2ème année P. Gautier
Fractures de jambe Fixateur d'Hoffmann Fixateur de Judet Fixateur de Müller cours 2ème année P. Gautier Orthofix Fixateur d'Ilizarov
Fractures de jambe Traitement des pseudarthroses avec perte de substance osseuse cours 2ème année P. Gautier
Fractures de jambe cours 2ème année P. Gautier
Principes de rééducation Rééducation dès les premiers jours Prévention des phlébites, des raideurs et des Amyotrophie Pas de travail des releveurs contre R avant phase d’appui partiel Travail du triceps contre R à la phase d’appui total cours 2ème année P. Gautier
Rééducation à la phase de non appui Bilan du Patient Recherche des troubles thromboemboliques, d’œdème, de douleur sous plâtre Recherche des déficits sensitifs, musculaire, articulaires (parfois en équin), et musculaires (attention aux prises au # test qd, ij, ts)) incapacités fonctionnelles : marche Évaluation des secteurs non lésés. cours 2ème année P. Gautier
Rééducation à la phase de non appui Traitement durant qq semaines Exercice actif des 2 chevilles + anticoagulants + déclive + bas de contention Surélévation mb inf DLM + cryothérapie Pressothérapie Surveillance du plâtre si besoin : complications cutanées (escarre, sensation de brûlure), complication circulatoire (œdème distale, cyanose des orteils, phébite), complication neurologique (compression du SPE) cours 2ème année P. Gautier
Rééducation à la phase de non appui Entretien des art libres du pied par mob°Analytique !!!! À ne pas mettre de R à la triple fle°-ext° Entretien art° hanche pour éviter flexum !!! Rot° (clou Centromédullaire non verrouillé) Balnéothérapie +++ Lever de sidération + W du verrouillage actif du genou PC antalgique : cryo, SETA, pas d’US W de la marche avec 2 CA Travail proprioceptif par sollicitation manuelle plantaire type massage, + travail sur balle de tennis cours 2ème année P. Gautier
Rééducation à la phase d’appui partiel Autorisé vers la 6ème – 8ème semaine pour les fr. simples et vers la 15ème semaine pour les fr. ouvertes Autorisé à 1 mois post-op si fixateur de type Rigide Examen kiné : cicatrice, mobilité, trouble de la trophicité cours 2ème année P. Gautier
Rééducation à la phase d’appui partiel Remise en charge : plan incliné, balance, 2 CA, balnéothérapie et travail de la marche Travail musculaire en CCF en piscine (en flexion) Travail du JA avec QD contre R croissante (assis) Travail contre R proximale du QD et IJ + SETE Travail de la mobilité avec techniques analytiques et spécifiques de toutes les art° de l’avant pied et de la médiotarsienne (attention au contre prise pour la sous astragalienne) Massage de la cicatrice +++ Travail sensorimoteur cours 2ème année P. Gautier
Rééducation à la phase d’appui total Objectif : réduire les déficits et incapacités Examen : pas de déficit du genou et de la hanche La mise en charge totale peut réactiver des phénomènes dl et infl + oedeme Présence d’un déficit musculaire, en force, endurance Présence d’un déficit proprioceptif, d’une boiterie d’appréhension à la marche, montée et descente d’escaliers cours 2ème année P. Gautier
Rééducation à la phase d’appui total Traitement : Gain d’amplitude de la cheville : techniques analytiques, manuelles, postures Travail de tous les muscles du mb inf, avec R manuelle, mécanique, SETE, en Cco, CCF avec variations du nb de séries, répétitions. DLM, cryo Étirement actif +++ cours 2ème année P. Gautier
Rééducation à la phase d’appui total Travail sensorimoteur : exo en charge partielle avec ballon de klein, puis % en charge sur plan instable (appui unipodal) Travail de la marche : déroulement du pas, longueur, rythme cours 2ème année P. Gautier
- Slides: 57