Fractures de lextrmit distale du fmur Classification des













































- Slides: 45
Fractures de l’extrémité distale du fémur
Classification des fractures de l’extr inf du fémur Supra condyliennes : 45% Supra et intercondyliennes : 35% Unicondyliennes 20%
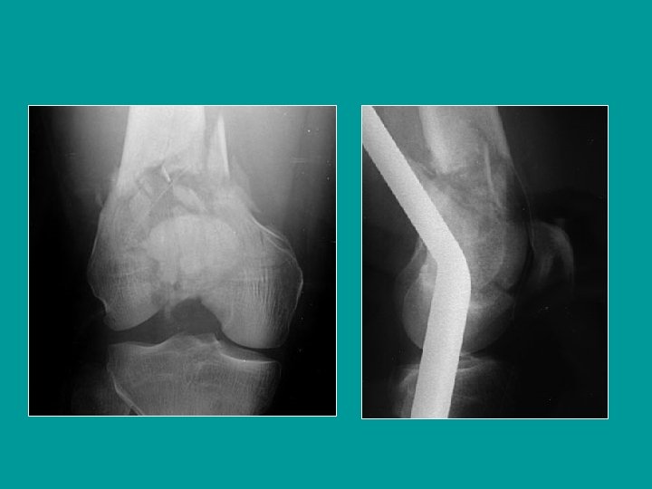
Déplacement des fractures supra condyliennes Bascule en arrière et en bas du fragment distal (jumeaux) Saillie en avant du fragment proximal qui refoule le quadriceps
Fracture sus et intercondylienne Fracture comminutive articulaire
Réduction par traction trans tibiale
La correction de la bascule requiert une traction forte et un appui postérieur
Ostéosynthèse des fractures distales du fémur Lame-plaque AO Plaque vissées
Ostéosynthèse des fractures distales du fémur Vis-plaque de Judet
Fractures comminutives Traitement par traction continue 6 semaines puis plâtre : Méthode pour les cas inopérables
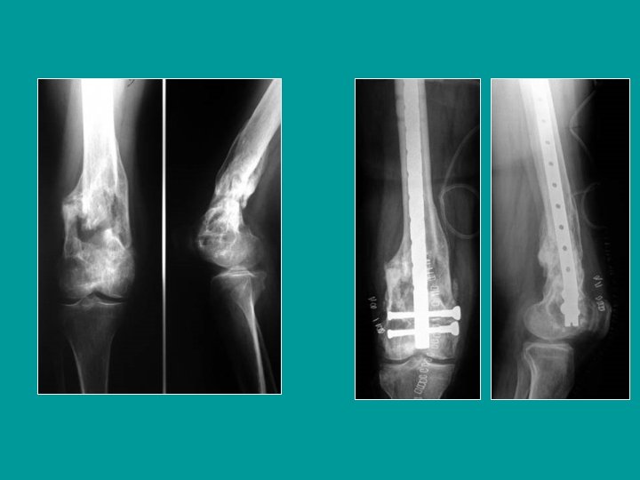
Fractures comminutives Lame-plaque AO Plaques en pont sur la comminution
Mise en place d’une vis-plaque de Judet
Plaque vissée classique
Mise en place d’une plaque de Chiron
Enclouage rétrograde Introduction par le genou (en bas de la trochlée) stabilisation par des vis aux deux extrémités
Clou rétrograde : mobilisation précoce
Système d’ostéosynthèse par plaque appliquée contre l’os par un court abord. Les vis sont mises par des abords percutanés guidage par un système externe (Synthse)
Prinipal inconvénient du traitement orthopédique : les cals vicieux
Fractures unicondylienne verticale de Trélat Vissage transversal simple ou plaque
Fractures unicondylienne horizontale de HOFFA Vissage transversal en rappel. Les têtes de vis sont enfouies sous le niveau du cartilage
Fractures de l’enfant Fractures classiques Comme pour l’adulte Motte de beurre Fractures-décollements
Salter II Traitement par réduction et ostéosynthèse a minima pour ne pas blesser les cartilages de croissance
Décollement épiphysaires : Classification de Salter et Harris Type II Type IV Type III Type V
Les fractures-décollements épiphysaires de l’extrémité inférieure du fémur • Risque initial – – • Vasculaire Nerveux Risque secondaire – Epiphysiodèse centrale ou périphérique Doppler + +
Les fractures décollements épiphysaires du fémur distal • 1% des fractures de l’enfant • A l’adolescence ds 70% • 70% salter II • 10% Salter I • Sports: 50% Accidents de la voie publique : 25%
Les fractures décollements épiphysaires du fémur distal • Risque initial – Nerveux – Vasculaire • Risque secondaire – Épiphysiodèse • Doppler ++
12 ans : trauma en hyperextension du genou Salter I très déplacé
Réduction des déplacements en hyperextension Traction dans l’axe de la jambe le genou étant fléchi Pendant que l’on replace l’épiphyse en poussant en bas et en arrière +/- correction latérale
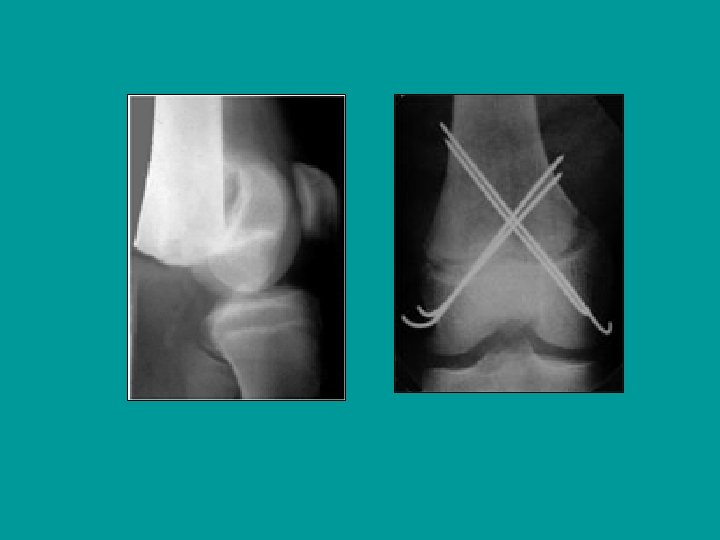
Embrochage percutané
Résultat après 5 semaines et l’ablation des broches
Salter I très déplacé : réduction et embrochage percutané
7 ans Salter I au fémur Salter II au tibia Paralysie du SPE Pouls normaux Après 3 mois : récupération progressive
Ostéosynthèse par une seule vis : montage fragile: Plâtre indispensable
Cartilages de croissance normaux à la radio et en IRM
Epiphysiodèse centrale en IRM Séquelle d’une épiphysiodèse postérieure ayant crée un recurvatum
n Genu valgum par épiphysiodèse asymétrique n Ostéotomie fémorale de varisation en fin de croissance
Complications des traumatismes du cartilage de croissance n Inégalité de longueur : 25% – – épiphysiodèse controlatérale allongement fémoral n Défaut d’axe : 20% – désépiphysiodèse n Raideur : 15%
Enfant de 7 ans Accident de motoculteur Fractures fermées Pouls présents Paralysie SPE Type 2 au fémur et au tibia Réduction fracturaire Après 3 mois : Quelques signes de récupération : Pas d’indication EMG Photos F. Chotel
Fin