Fractures de lenfant CARACTERES DES OS DE LENFANT



















































































- Slides: 83
Fractures de l’enfant
CARACTERES DES OS DE L’ENFANT
Coupes du fémur d’un fœtus montrant que les épiphyses sont totalement cartilagineuses
Cartilages de conjugaison, plaques de croissance
Cartilage de croissance
Remodelage fracturaire par le remodelage in situ et par la réorientation de la physe Croissance asymétrique au niveau de la physe
Le remodelage obéit aux contraintes subies par l’os (lois de Wolf, 1892) Traction Compression Le périoste concave s’épaissit, le périoste convexe s'amincit Alignement sur l’axe mécanique ± correction des angulations chez l’enfant
Particularités chez l’enfant Il existe des possibilités de remodelage et de correction grâce aux cartilages de croissance (loi de Volkman, 1862) Le C. de croissance tend à se réorienter selon l’axe mécanique
ASPECT RADIOLOGIQUE
Aspect des cartilages de croissance en radiologie (invisible) et en IRM (visible)
CLICHES COMPARATIFS
Particularités chez l’enfant La présence des cartilages de croissance Fausses fractures Gauche radio comparatives droite
PARTICULARITES DES FRACTURES CHEZ L’ENFANT
FRACTURES DIAPHYSAIRES
Types de fractures chez l’enfant Fracture complète Fr en bois vert Fr en motte de beurre Fr. en bois vert Rupture du périoste
Fractures en bois vert Fractures stables en raison de la persistance d’une charnière périostée dans la concavité
Fractures en bois vert Bonne réduction Réduction insuffisante
Il existe chez l’enfant des fractures complètes et déplacées (identiques à celles de l’adulte)
Fractures diaphysaires • Le traitement orthopédique est la règle pour les fractures diaphysaires • Le traitement chirurgical est indiqué quand la réduction orthopédique est impossible • On ne peut pas faire d’enclouage comme chez l’adulte, en raison de la présence des cartilages de croissance qu ’il ne faut pas léser • L’enclouage dit élastique, avec de petits clous passant à distance des zones fertiles, doit être préféré aux plaques vissées
Enclouage élastique (Métaizeau) Préservation des cartilages de croissance Propriétés mécaniques favorisant la consolidation Ablation après 2 ou 3 mois
Croissance stimulée Suivre les stries «d’arrêt de croissance» ou lignes de Park et Harris Photo F. Chotel
Fractures métaphysaires • • Bon pronostic Traitement orthopédique Remodelage Surveillance de la croissance ultérieure – Croissance stimulée parfois Inégalité de longueur (tt exceptionnel par épiphysiodèse en fin de croissance) – Asynchronisme croissance tibia-péroné : valgus varus
Exemple des possibilités de correction spontanée des cals vicieux Ablation du fixateur : plâtre, déplacement Cal vicieux en varus Photo F. Chotel
Exemple des possibilités de correction spontanée des cals vicieux 25° Correction spontanée presque complète du 8ème au 30ème mois 12° Photo F. Chotel
Exemple de remodelage d’une fracture proximale de l’humérus Consolidation vicieuse Remodelage du cal avec disparition du fragment qui n’était pas en continuité avec la tête
Exemple d’asynchronisme entre la croissance du tibia et du péroné 4 ans Fracture isolée du tibia Réduction, consolidation, valgus développé en 6 mois par croissance augmentée au tibia
2 ans 25° Photo F. Chotel
après 30 mois • vie normale • Varus résiduel discret Photo F. Chotel
Remodelage fracturaire par le remodelage in situ et par la réorientation de la physe Croissance asymétrique au niveau de la physe
Exemple des possibilités de correction spontanée des cals vicieux Fr. ouverte de stade III § Parage - lavage § Stabilisation par fixateur d’Hoffmann § Pansements sous AG tous les 2 jours § L’amputation est évitée 4 ans Photo F. Chotel
Fractures -décollements épiphysaires
Traumatismes des cartilages de croissance Décollements épiphysaires-fractures de Salter et Harris Type 1 Type 2 Type 3 Type 4 Type 5
Type 1
Traitement d’une lésion de type 1 : broches percutanées Réduction manuelle, contrôle radioscopique Photo F. Chotel
n Trauma en hyper-extension du genou n Pas de tr. Vasculaire mais dysesthésies dos du pied n Menace cutanée face postéroexterne du genou 12 ans Photo F. Chotel
Fractures en hyper-extension déplacées n Traction axiale douce sur genou fléchi tandis que l’opérateur « rechausse » l’épiphyse vers le bas et l’arrière n Correction éventuelle de la translation latérale Photo F. Chotel
Embrochage percutané ascendant Photo F. Chotel
Après 5 semaines : ablation des broches Photo F. Chotel
Type I : Trauma en hyperextension Salter I du tibia non déplacée Photo F. Chotel
Salter 1 du tibia en hyperextension : Manœuvres de réduction Photo F. Chotel
Salter 1 de l’épaule La réduction a nécessité un contrôle chirurgical pour l’embrochage
Type 2 (40 %) Interposition possible du périoste
Type 2
Exemple de tt orthopédique pour une fracture en PEER Réduction par manipulations Mais instabilité => brochage percutané en croix Photo F. Chotel
Salter II avec écaille interne, déplacement secondaire après traitement orthopédique: embrochage Photo F. Chotel
Type II : Trauma en valgus forcé
Type 3 (20 %)
Malléole interne de type 3 avec malléole externe de type 1
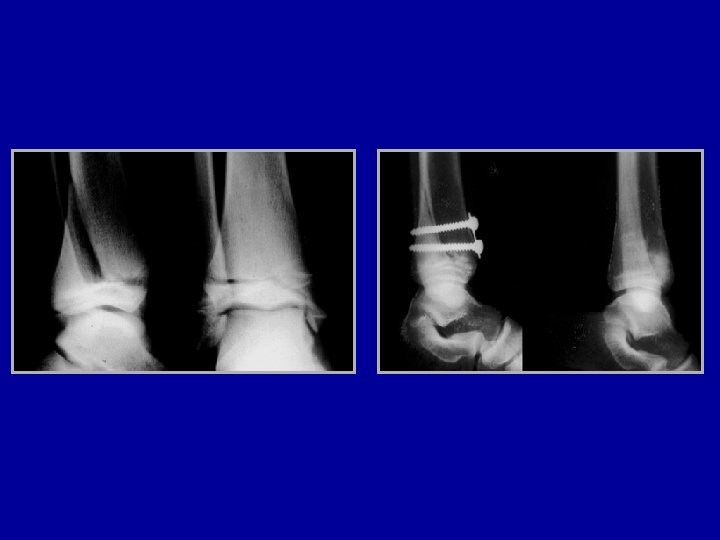
Traitement par une vis interne épihysiodèse Photo F. Chotel
Salter III Vissage Photo F. Chotel
Exemple d’un type III invisible sur les radiographies simples Fille de 15 ans Photo F. Chotel
Mise en évidence, par les clichés dynamiques préopératoires en valgus forcé : d’une rupture du ligament interne d’une fracture Salter III spino-tubérositaire interne Photo F. Chotel
Type III : ostéosynthèse respectant la physe Photo F. Chotel
Fracture de Tillaux Lors d’une rotation externe forcée, le ligament péronéo-tibial antéro-inf. provoque l’avulsion osseuse correspondant au CDC encore ouvert
Traitement chirurgical d’une fracture de Tillaux Réduction et ostéosynthèse percutanée Utilisation de vis canulées
Type 4 (15 %)
Type 4 Photo F. Chotel
Tt chirurgical d’une fracture de Mc Farland (Salter IV de la malléole interne) • • • Nécessité d’une réduction anatomique En cas de petits fragments : broches Sinon vissage direct parallèle au cartilage de croissance Photo F. Chotel
Type 5 Contusion du C de C Invisible à la radio Risque d’épiphysiodèse Stérilisation asymétrique du cartilage de croissance ou totale
Type 5 Le diagnostic est rétrospectif en présence d’une épiphysiodèse Photo F. Chotel
Traumatisme en compression (chute d ’un lieu élevé) Radio initiales normales Diagnostic rétrospectif par arrêt de croissance Fr de l’astragale associée Photo F. Chotel
ASSOCIATION POSSIBLE DE DIFFERENTS STADES
Type 1 au péroné et type 4 au tibia (deux os différents) Photo F. Chotel
Complications des fractures n Précoces: – – – Complications vasculaires 10% Complications nerveuses 3% Ouverture cutanée Complications générales (lésions associées) SECONDAIRES: -syndrome de loge -infectionphlébite+/-; nécrose cutanée. n Tardives – Cal vicieux ; pseudarthrose – 10% troubles de croissance
Complications des décollements épiphysaires du genou • Risque initial – Vasculaire – Nerveux Doppler + + • Risque secondaire – Épiphysiodèse centrale ou périphérique
Troubles vasculaires § Fractures à grand déplacement : Salter I § Mécanisme en hyperextension § Tibia : 10%
Troubles vasculaires : CAT Bilan vasculaire pré-op précis = médico-légal Réduction urgente : - Simple abolition de pouls après réduction => ostéosynthèse et surveillance (réapparition du pouls dans les 24 à 48 heures) - Pied ischémique avant réduction : prévenir chirurgien vasculaire Non revascularisation après réduction => Artériographie sur table Ostéosynthèse puis réparation vasculaire par voie postérieure
Troubles nerveux : CAT § Neurapraxie d’étirement § § Manœuvres de réduction douces (surtout en traction varus ) § Exploration chir ± réparation si EMG entre 3 et 6 mois avec vitesse de conduction faible ou activité de dénervation des muscles distaux) Pas d’implication chirurgicale immédiate
Exemple : Salter 1 du fémur à grand déplacement + Salter 2 du tibia Accident de motoculteur Fractures fermées Pouls présents Paralysie du SPE garçon de 7 ans Photo F. Chotel
CAT concernant l’atteinte du SPE Réduction de la fracture Fixation Quelques signes de récupération à 3 mois Pas d’indication EMG Photo F. Chotel
TROUBLES DE LA CROISSANCE
ALLONGEMENT
Croissance stimulée Suivre les stries «d’arrêt de croissance» ou lignes de Park et Harris Photo F. Chotel
EPIPHYSIODESE
Type 5 Le diagnostic est rétrospectif en présence d’une épiphysiodèse Photo F. Chotel
Conséquences de l’épiphysiodèse § Épiphysiodèse totale ou partielle centrale – Inégalité sans désaxation – Au genou : varus par croissance du péroné § Épiphysiodèse périphérique – Désaxation en varus ou en valgus – En recurvatum – En flexum
Déformations diverses du genou à la suite d’une épiphysiodèse partielle au fémur Genu valgum genu varum genu recurvatum genu flexum
traitement
n Inégalité dans 25 % des cas – épiphysiodèse controlatérale – allongement n Défaut d’axe : 20% – Désépiphysiodèse – Epiphysiodèse latéralisée – Ostéotomies