Fractures de la clavicule Fractures de la clavicule










































- Slides: 42
Fractures de la clavicule
Fractures de la clavicule • Fréquentes chez l’enfant (30% des fractures) • • Chutes sur la main ++ Chocs directs sur l’épaule
Palpation – Douleur – Fragments mobiles
Radiographie 1 - Coracoïde, 2 -acromion, 3 glène
Déplacements typiques - Fragment interne soulevé (SCM) - L’épaule s’affaisse (poids, pectoral) - Le fragment distal bascule et chevauche - Attitude des traumatisés du M. sup.
Le déplacement varie en fonction de la situation de la fracture Trait situé entre les insertions des ligaments Trait situé en dedans des ligaments Un fragment garde ses connexions avec les ligaments
Forme particulière : fracture de l’extrémité proximale
Complications des fractures de la clavicule En cas de déplacement important : Risque de lésions vasculo-nerveuses Risques d’ouverture cutanée
Risques de lésions vasculo-nerveuses
Traitement orthopédique Fracture sans déplacement • Simple écharpe pour soutenir le membre supérieur • Chez l’enfant : idem • Consolidation en 3 à 5 semaines
Traitement orthopédique Fracture déplacées • Bandage en huit réglable • Consolidation en 3 à 5 sem. • Fréquence des cals vicieux
Traitement orthopédique Type de bandage conseillé chez le petit enfant
Traitement orthopédique • Fréquence des cals vicieux • Gêne souvent esthétique plus que fonctionnelle • Pseudarthroses rares (traitement chirurgical)
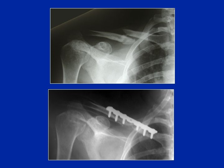
Traitement chirurgical Broche Plaque supérieure Plaque inférieure
Traitement chirurgical Avantages Anatomie rétablie Mobilisation douce précoce Inconvénients Dépériostage Dévascularisation Retard de consolidation Infection possible
Traitement chirurgical Fractures distales : hauban (broches et fil en 8)
Traitement chirurgical Fractures ouvertes Traitement possible par un mini fixateur externe
Disjonction Acromio -claviculaire
Disjonction Acromio-claviculaire
Rappel anatomique de l’acromioclaviculaire Capsule et ligaments acromio-claviculaires Tapèzoïde et conoïde
Disjonction Acromio-claviculaire Mécanismes • Choc direct sur l’épaule • Chute sur le moignon de l’épaule Sports ++
Classification Stade 1 Entorse simple Stade 2 Rupture des ligaments Acromio-claviculaires Stade 3 + Conoïde et trapézoïde
Stade 4 pour certains : chape delto trapèzienne rompue
Dans quel cas observe-t-on le signe de la touche de piano ? signification ? • En cas de luxation acromio-claviculaire • Il y a une saillie très nette de la clavicule qui a tendance à soulever la peau • La pression permet d'abaisser la clavicule et même de la réduire • Dès que l’on relâche la pression la déformation se reproduit
Signes cliniques Saillie de la clavicule Douleur localisée Signe de la touche de piano
Radiologie Radios comparatives de face On peut fiare porter un poids dans les mains, pour abaisser l’épaule
Traitement orthopédique Bandage soulevant le bras et abaissant la clavicule Plâtre thraco-brachial en abduction 6 semaines
Traitement orthopédique Abduction + antépulsion+ Rotation neutre
Traitement chirurgical But : maintenir en place la clavicule pendant la cicatrisation des ligaments Broche Acr-clav temporaire Laçage entre clavicule et coracoïde
Stabilisation provisoire pendant la cicatrisation Laçage acr-clav + sutures Vis entre clavicule et coracoÏde Broche
Traitement des disjonctions chroniques Ligamentoplasties (ligament coraco-acromial, aponévrose etc. . ) + stabilisation
Disjonction chronique Procédés palliatifs : transfert de l’ap. coracoïde ± résection distale de la clavicule Procédé de Dewar et Barrington ou de Glorion
Luxations sterno-claviculaires
Luxations sterno-claviculaires
1/ Luxation sterno-claviculaire antérieure Choc direct antérieur sur l’épaule Saillie de la clavicule en avant
Réduction d’une luxation sternoclaviculaire antérieure Pression antérieure et fixation par broches
2/ Luxation sterno-claviculaire postérieure Choc direct postérieur sur l’omoplate ou choc direct antérieur
Réduction d’une luxation postérieure
Cas négligés ou instables Réduction ouverte et fixation ± ligamentoplastie
Fin