Fracture management ETIOLOGY 1 Traumatic 2 Pathologic 3

  • Slides: 71
Download presentation
 ﺧﺪﺍ ﺑﻨﺎﻡ Fracture management

ﺧﺪﺍ ﺑﻨﺎﻡ Fracture management

ETIOLOGY 1 -Traumatic 2 -Pathologic 3 -stress fracture

ETIOLOGY 1 -Traumatic 2 -Pathologic 3 -stress fracture

Type of fracture open close

Type of fracture open close

Mechanism of fractures

Mechanism of fractures

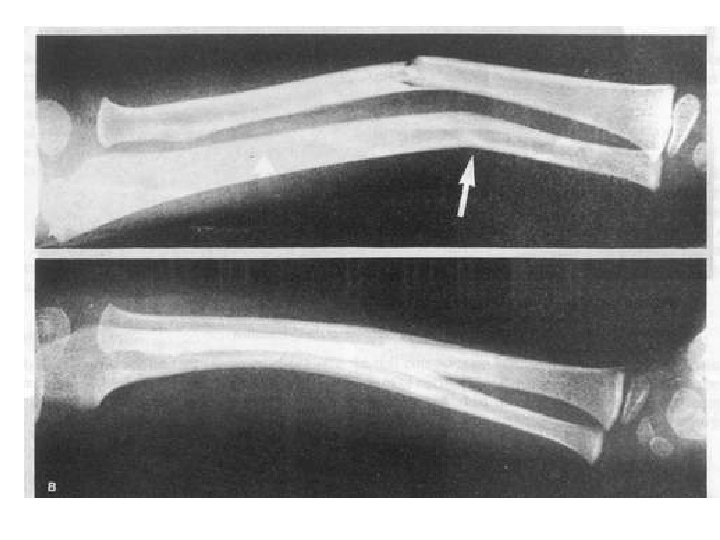
Fracture paterns Hair line Fr Transvers Fr Depress Fr Oblique Fr Spiral Fr Green

Fracture paterns Hair line Fr Transvers Fr Depress Fr Oblique Fr Spiral Fr Green stick Fr Cominuted Fr Compres Fr Segmental Fr Epiphyseal Fr Impacted Fr

 ﻋﻼﺋﻢ ﺷﻜﺴﺘگﻲ ﻫﺎ 1 -Pain , tenderness 2 -Loss of function 3 -Deformity

ﻋﻼﺋﻢ ﺷﻜﺴﺘگﻲ ﻫﺎ 1 -Pain , tenderness 2 -Loss of function 3 -Deformity 4 -Attitude 5 -Abnormal motion 6 -crepitus 7 -Norovascular Injury RADI OLOG I C FINDI NG 8

THREE DIMENTION

THREE DIMENTION

BONE HEALING 1 -INFLAMATORY PHASE 5%-10% 2 -REPARATIVE PHASE 40% 3 -REMDELING 70%

BONE HEALING 1 -INFLAMATORY PHASE 5%-10% 2 -REPARATIVE PHASE 40% 3 -REMDELING 70%

BONE HEALING

BONE HEALING

FRACTURE TREATMENT 1 -EMERGENCY 2 -DIFINITIVE 3 -REHABILITATION

FRACTURE TREATMENT 1 -EMERGENCY 2 -DIFINITIVE 3 -REHABILITATION

EMERGENCY A AIR WAY BREATHING BLEEDING B CIRCULATION C

EMERGENCY A AIR WAY BREATHING BLEEDING B CIRCULATION C

thomas

thomas

Treatment 1 2 operation conservative 1 open 2 close

Treatment 1 2 operation conservative 1 open 2 close

CLOSE REDUCTION PERKINS COTERINDICATIONS 6 -12 ﺳﺎﻋﺖ 1 -UNDISPLACED 2 -ACCEPT DISPLACEMENT (ARM Fr)

CLOSE REDUCTION PERKINS COTERINDICATIONS 6 -12 ﺳﺎﻋﺖ 1 -UNDISPLACED 2 -ACCEPT DISPLACEMENT (ARM Fr) 3 -IRREDUCIBLE (COMINUTED Fr) 4 -UNABLE TO MAINTAIN REDUCTION 5 -TRACTION INJURY (PATELLA Fr)

REDUCTION 1 - TRACTION 2 -REVERS MECHANISM 3 -ALIGN FRAGMENT

REDUCTION 1 - TRACTION 2 -REVERS MECHANISM 3 -ALIGN FRAGMENT

I K C O L R L E I T A N N I

I K C O L R L E I T A N N I G N close reducton

Close reduction

Close reduction

Immobilization 1 - CAST 2 -CONTINUOUS TRACTION 3 -Some form of splints

Immobilization 1 - CAST 2 -CONTINUOUS TRACTION 3 -Some form of splints

CAST

CAST

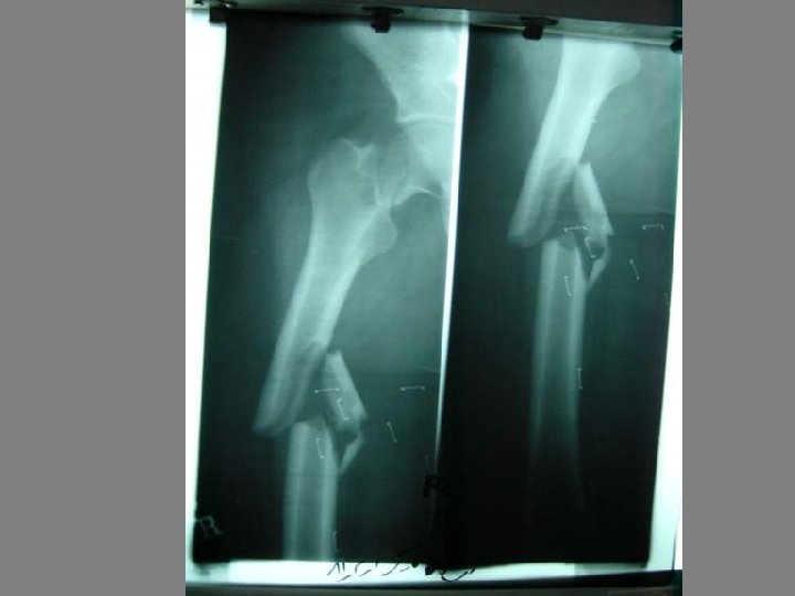
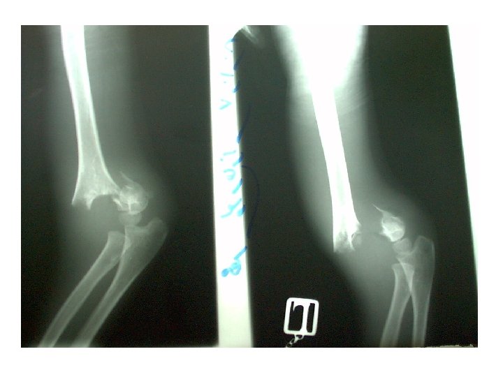
Open reduction 1 -displaced intra articular indications 2 -unstable Fr 3 -avulsion Fr 4

Open reduction 1 -displaced intra articular indications 2 -unstable Fr 3 -avulsion Fr 4 -Displaced pathologic Fr 5 - only operation indication 6 -Salter 3, 4 7 -compartment syn. 8 -NONUNION

Timing of operation 1 -Emergen. CY 24 ﺳﺎﻋﺖ 2 -Urgency ﺳﺎﻋﺖ 24 -72 3

Timing of operation 1 -Emergen. CY 24 ﺳﺎﻋﺖ 2 -Urgency ﺳﺎﻋﺖ 24 -72 3 -Elective ﻫﻔﺘﻪ 3 -4

Open fracture treatmennt Emergency Definitive

Open fracture treatmennt Emergency Definitive

EMERGENCY 1 -CULTURE 2 -IRRIGATION 3 -ANTIBUTIC 4 -DRESSING 5 -ANTITETANIC 6 -SPLINTING 7

EMERGENCY 1 -CULTURE 2 -IRRIGATION 3 -ANTIBUTIC 4 -DRESSING 5 -ANTITETANIC 6 -SPLINTING 7 -NEUROVASCULAR

ANTIBUTIC 3 CEPHALOTIN GENTAMICIN 2 CEPHALOTIN GENTAMICIN PENICILIN 1

ANTIBUTIC 3 CEPHALOTIN GENTAMICIN 2 CEPHALOTIN GENTAMICIN PENICILIN 1

Difinitive 1 -DEBRIDMENT 2 -FRACTURE TREATMENT A-INTERNAL FIXATION B-EXTERNAL FIXATION 3 - SKIN

Difinitive 1 -DEBRIDMENT 2 -FRACTURE TREATMENT A-INTERNAL FIXATION B-EXTERNAL FIXATION 3 - SKIN