Fracturas de Mueca Fracturas de la extremidad distal
































































































- Slides: 96
Fracturas de Muñeca Fracturas de la extremidad distal del radio Fracturas del Escafoides
Recuerdo Anatómico La interlínea radio-carpiana es oblicua
Recuerdo Anatómico
Fracturas de la extremidad distal del radio • Frecuente en las mujeres mayores • Sujetos jóvenes : deportes ++ Caídas sobre la mano • • Hiper-extensión (desplazamiento dorsal) Hiper-flexión (desplazamiento palmar) Inclinación radial (fractura cuneana externa) Inclinación cubital
Clasificacion (Castaing) Sin desplazamiento Fract. en T frontal o bimarginal Marginal anterior Goyrand Sin conminución posterior Fract. en T sagital Fractura en cruz Conminución posterior + 3 er fragmento Fract. cuneana externa Marginal posterior Fractura de ambos huesos
Clasificación de las fracturas de la extremidad inferior del radio
Clasificación de las fracturas de la extremidad inferior del radio
Clasificación de las fracturas de la extremidad inferior del radio
Clasificacion de las fracturas de la extremidad inferior del radio
Clasificación de las fracturas de la extremidad inferior del radio
Clasificación de las fracturas de la extremidad inferior del radio
Clasificación de las fracturas de la extremidad inferior del radio
Clasificación de las fracturas de la extremidad inferior del radio
Clasificación de las fracturas de la extremidad inferior del radio
Fracturas Articulares
Fracturas Articulares
Clasificación de las fracturas de la extremidad inferior del radio
Radiografías de Muñeca
Fractura de Pouteau-Colles • • Caída sobre la palma de la mano Compresión + hiper-extensión Trazo situado a 2, 5 cm de la articulación radio-carpiana Adultos y ancianos
Fractura de Pouteau-Colles con escaso desplazamiento
Fractura de Pouteau-Colles: desplazada Deformación en dorso de tenedor Inclinación radial
Fractura de Pouteau-Colles: desplazada Ascensión de la estiloides radial Vista palmar Vista dorsal
Tratamiento • Las fracturas no desplazadas se inmovilizan con un yeso durante 4 a 6 semanas
Fractura de Pouteau-Colles: desplazada
Pouteau-Colles: reducción
Reducción lenta bajo anestesia general “dedal japonés”
Pouteau-Colles: Inmovilización luego de la reducción • Flexión + inclinación cubital • Radiografías de control • Inmovilización 6 semanas
Complicación principal del tratamiento ortopédico: la consolidación viciosa
Complicación principal del tratamiento ortopédico : la consolidación viciosa Consecuencia del acortamiento del radio: sobrecarga de la articulación cubito-carpiana Desviación radial
Tratamiento por clavijas intra-focales + Yeso
Técnica de Kapandji 1 clavija en el foco de fractura
Técnica de Kapandji La clavija es inclinada y perfora la cortical
Técnica de Kapandji Aspecto de frente y de perfil
Técnica de kapandji se pueden colocar 2 o 3 clavijas
Técnica de kapandji se pueden colocar 2 o 3 clavijas Yeso antebraquio-palmar y movilización precoz
Fractura a múltiples fragmentos del extremo distal del radio Enclavijado de Kapandji
Las fracturas marginales
Tratamiento de las fracturas marginales Placa de contención anterior o posterior
Tratamiento de las fracturas marginales Placa de contención anterior
Tratamiento de las fracturas marginales Técnica de Kapandji
Tratamiento de las fracturas cuneanas Enclavijado directo intra-focal
Tratamiento de las fracturas conminutas Osteosíntesis con placa y tornillos
Fractura conminutiva: placa + clavijas
Tratamiento de las fracturas conminutas Osteosíntesis con placa y tornillos
Tratamiento de las fracturas en T Variante de la técnica de KAPANDJI
Tratamiento de las fracturas conminutas expuestas Tutor externo con distracción
Tratamiento de las fracturas conminutas expuestas Tutor externo para distracción
Fractura de Goyrand-Smith Caída sobre el dorso de la mano
Síndrome del canal carpiano Conflicto continente-contenido: Irritación del nervio mediano Dolores nocturnos acentuados por la hiper-extension, por la hiperflexión y por la percusión
Fracturas del niño Fractura en tubo de plomo
Fractura metafisiaria en el niño
Fracturas del niño Salter-Harris 1 Salter-Harris 2 Salter-Harris 3 Salter-Harris 4 Desprendimientos epifisiarios
Desprendimientos epifisiarios Rx con yeso Reduccion insuficiente Salter-Harris tipo 2 Nueva reduccion
Fractura del escafoides carpiano
Fractura del escafoides carpiano
• El desplazamiento mínimo es lo mas frecuente 20 % del polo superior 70 % del cuello 10 % de la base
• Dolor en la tabaquera anatómica
Las 4 incidencias radiográficas clásicas para el escafoides
Puntos de ubicación radiográficos de la muñeca
En caso de duda sobre una fractura luego de un traumatismo del carpo: realizar una radiografía de control a los 15 días
En ausencia de desplazamiento: yeso • Inmovilización de la 1 era falange del pulgar en abdución • Muñeca en flexión dorsal en pronación en inclinación radial • Inmovilización durante 6 semanas
Luego de 6 semanas de yeso 3 hipótesis: • 1 - Consolidación correcta, sin dolor : retiro del yeso, control radiográfico a los 15 días • 2 - Duda sobre la consolidación: se continua con el yeso 4 a 6 semanas • 3 - Si el trazo de fractura es visible o si hay una necrosis: tratamiento quirúrgico
En caso de desplazamiento: tratamiento quirúrgico
Evolución de las fracturas del escafoides Consolidación lenta Pseudoartrosis frecuentes
Evolución Necrosis avascular: 30 % de las fracturas del polo superior Pseudoartrosis
Tratamiento de las pseudoartrosis Injerto de Matti
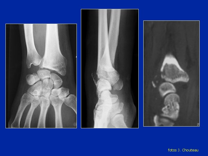
Luxación retrolunar del carpo
fotos J. Chouteau
Luxación del semi lunar fotos J. Chouteau
Luxación del semi lunar Riesgo de necrosis
fotos J. Chouteau
Como diagnosticar una fractura de escafoides ?
Como diagnosticar una fractura de escafoides ? • Dolor provocado a la presión del fondo de la tabaquera anatómica por debajo de la estiloides radial. • Trazo de fractura en “la incidencia para escafoides” • Lo mas frecuente es la aparición a la radiografía una semana después del accidente
En las fracturas de la extremidad inferior del radio, considerando los riesgos de edema, cuales son las precauciones a tomar ?
En las fracturas de la extremidad inferior del radio, considerando los riesgos de edema, cuales son las precauciones a tomar ? • Retiro inmediato de anillos y pulseras • De preferencia yeso bien acolchado y no circular • En caso de dolor o edema de los dedos, abrir o cambiar el yeso • Miembro sobre-elevado + antiinflamatorios • Vigilar la vascularización de los dedos
Cuales son las modalidades de inmovilización de una fractura de escafoides ?
Cuales son las modalidades de inmovilización de una fractura de escafoides ? • Inmovilización enyesada durante 90 días bloqueando la prono-supinación • Inmovilizar el codo durante 60 días • Inmovilizar la primera falange del pulgar en abdución y ligera antepulsión
Ante la presencia de una fractura de Pouteau-Colles desplazada: • Describa la deformación en forma precisa:
Ante la presencia de una fractura de Pouteau-Colles desplazada : • Describa la maniobra de reducción
Ante la presencia de una fractura de Pouteau-Colles desplazada: • Describa las modalidades de inmovilización por medio de un yeso luego de la reducción y los cuidados a tener
Mujer de 30 años, sufrió una caída mientras patinaba (1 hora de evolución), y actualmente presenta dolores en la muñeca. Al examen físico, usted nota una curvatura dorsal y una inclinación radial de la mano. Los movimientos de flexión están un poco limitados por el dolor, sobre todo la prono-supinación. La palpación muestra un punto doloroso a 2 cms por encima de la estiloides radial (proximal) y observamos que ésta se proyecta a la altura de la estiloides cubital. Se percibe el pulso radial y la sensibilidad es normal. La radiografía muestra una fractura de la extremidad distal del radio, a 1, 5 cms de la interlínea radio-carpiana. El macizo epifisiario está desplazado hacia afuera con una penetración de la diafisis en la epífisis. Existe una diastasis de 5 mm entre la cara interna del radio y la cabeza cubital. En la radiografía de perfil: la epífisis está desplazada en dirección dorsal y proximal. 1 - ¿El examen clínico permite proponer un diagnóstico? Cuál es el diagnóstico y sobre cuáles elementos se basan su respuesta? 2 - ¿El examen radiológico le permite precisar el tipo de fractura? ¿Cuál? ¿Por qué? 3 - Realizar una explicación anatómica sobre los hallazgos clínicos y radiológicos concernientes a la posición de la cabeza cubital 4 - ¿Cuáles son los diferentes elementos para el tratamiento de esta fractura? 5 - ¿Cuáles serán los consejos para el paciente antes de retornar al domicilio? ¿Cuál es el lapso tiempo para el siguiente control clínico, porqué? 6 - ¿Cuáles son las complicaciones secundarias que pueden sobrevenir?
Mujer de 30 años, sufrió una caída mientras patinaba (1 hora de evolución), y actualmente presenta dolores en la muñeca. Al examen físico, usted nota una curvatura dorsal y una inclinación radial de la mano. Los movimientos de flexión están un poco limitados por el dolor, sobre todo la prono-supinación. La palpación muestra un punto doloroso a 2 cms por encima de la estiloides radial (proximal) y observamos que ésta se proyecta a la altura de la estiloides cubital. Se percibe el pulso radial y la sensibilidad es normal. La radiografía muestra una fractura de la extremidad distal del radio, a 1, 5 cms de la interlínea radio-carpiana. El macizo epifisiario está desplazado hacia afuera con una penetración de la diafisis en la epífisis. Existe una diastasis de 5 mm entre la cara interna del radio y la cabeza cubital. En la radiografía de perfil: la epífisis está desplazada en dirección dorsal y proximal. 1 - ¿El examen clínico permite proponer un diagnóstico? Cuál es el diagnóstico y sobre cuáles elementos se basan su respuesta? Respuesta: Fractura de Pouteau-Colles Inclinación radial Curvatura dorsal Dolor por encima de la interlinea radio-carpiana Ascensión de la estiloides radial
Mujer de 30 años, sufrió una caída mientras patinaba (1 hora de evolución), y actualmente presenta dolores en la muñeca. Al examen físico, usted nota una curvatura dorsal y una inclinación radial de la mano. Los movimientos de flexión están un poco limitados por el dolor, sobre todo la prono-supinación. La palpación muestra un punto doloroso a 2 cms por encima de la estiloides radial (proximal) y observamos que ésta se proyecta a la altura de la estiloides cubital. Se percibe el pulso radial y la sensibilidad es normal. La radiografía muestra una fractura de la extremidad distal del radio, a 1, 5 cms de la interlínea radio-carpiana. El macizo epifisiario está desplazado hacia afuera con una penetración de la diafisis en la epífisis. Existe una diastasis de 5 mm entre la cara interna del radio y la cabeza cubital. En la radiografía de perfil: la epífisis está desplazada en dirección dorsal y proximal. 2 - ¿El examen radiológico le permite precisar el tipo de fractura? ¿Cuál? ¿Por qué?
Mujer de 30 años, sufrió una caída mientras patinaba (1 hora de evolución), y actualmente presenta dolores en la muñeca. Al examen físico, usted nota una curvatura dorsal y una inclinación radial de la mano. Los movimientos de flexión están un poco limitados por el dolor, sobre todo la prono-supinación. La palpación muestra un punto doloroso a 2 cms por encima de la estiloides radial (proximal) y observamos que ésta se proyecta a la altura de la estiloides cubital. Se percibe el pulso radial y la sensibilidad es normal. La radiografía muestra una fractura de la extremidad distal del radio, a 1, 5 cms de la interlínea radio-carpiana. El macizo epifisiario está desplazado hacia afuera con una penetración de la diafisis en la epífisis. Existe una diastasis de 5 mm entre la cara interna del radio y la cabeza cubital. En la radiografía de perfil: la epífisis está desplazada en dirección dorsal y proximal. 2 - ¿El examen radiológico le permite precisar el tipo de fractura? ¿Cuál? ¿Por qué? Respuesta: Fractura de Pouteau-Colles Trazo a 1, 5 cms de la interlinea articular Desplazamiento en dirección dorsal y proximal Impactación de los fragmentos
Mujer de 30 años, sufrió una caída mientras patinaba (1 hora de evolución), y actualmente presenta dolores en la muñeca. Al examen físico, usted nota una curvatura dorsal y una inclinación radial de la mano. Los movimientos de flexión están un poco limitados por el dolor, sobre todo la prono-supinación. La palpación muestra un punto doloroso a 2 cms por encima de la estiloides radial (proximal) y observamos que ésta se proyecta a la altura de la estiloides cubital. Se percibe el pulso radial y la sensibilidad es normal. La radiografía muestra una fractura de la extremidad distal del radio, a 1, 5 cms de la interlínea radio-carpiana. El macizo epifisiario está desplazado hacia afuera con una penetración de la diafisis en la epífisis. Existe una diastasis de 5 mm entre la cara interna del radio y la cabeza cubital. En la radiografía de perfil: la epífisis está desplazada en dirección dorsal y proximal. 3 - Realizar una explicación anatómica sobre los hallazgos clínicos y radiológicos concernientes a la posición de la cabeza cubital
Mujer de 30 años, sufrió una caída mientras patinaba (1 hora de evolución), y actualmente presenta dolores en la muñeca. Al examen físico, usted nota una curvatura dorsal y una inclinación radial de la mano. Los movimientos de flexión están un poco limitados por el dolor, sobre todo la prono-supinación. La palpación muestra un punto doloroso a 2 cms por encima de la estiloides radial (proximal) y observamos que ésta se proyecta a la altura de la estiloides cubital. Se percibe el pulso radial y la sensibilidad es normal. La radiografía muestra una fractura de la extremidad distal del radio, a 1, 5 cms de la interlínea radio-carpiana. El macizo epifisiario está desplazado hacia afuera con una penetración de la diafisis en la epífisis. Existe una diastasis de 5 mm entre la cara interna del radio y la cabeza cubital. En la radiografía de perfil: la epífisis está desplazada en dirección dorsal y proximal. 3 - Realizar una explicación anatómica sobre los hallazgos clínicos y radiológicos concernientes a la posición de la cabeza cubital Respuesta: Cabeza cubital intacta en el mismo nivel que la estiloides radial Pero con una diastasis = Ruptura del ligamento triangular
Mujer de 30 años, sufrió una caída mientras patinaba (1 hora de evolución), y actualmente presenta dolores en la muñeca. Al examen físico, usted nota una curvatura dorsal y una inclinación radial de la mano. Los movimientos de flexión están un poco limitados por el dolor, sobre todo la prono-supinación. La palpación muestra un punto doloroso a 2 cms por encima de la estiloides radial (proximal) y observamos que ésta se proyecta a la altura de la estiloides cubital. Se percibe el pulso radial y la sensibilidad es normal. La radiografía muestra una fractura de la extremidad distal del radio, a 1, 5 cms de la interlínea radio-carpiana. El macizo epifisiario está desplazado hacia afuera con una penetración de la diafisis en la epífisis. Existe una diastasis de 5 mm entre la cara interna del radio y la cabeza cubital. En la radiografía de perfil: la epífisis está desplazada en dirección dorsal y proximal. 4 - ¿Cuáles son los diferentes elementos para el tratamiento de esta fractura?
Mujer de 30 años, sufrió una caída mientras patinaba (1 hora de evolución), y actualmente presenta dolores en la muñeca. Al examen físico, usted nota una curvatura dorsal y una inclinación radial de la mano. Los movimientos de flexión están un poco limitados por el dolor, sobre todo la prono-supinación. La palpación muestra un punto doloroso a 2 cms por encima de la estiloides radial (proximal) y observamos que ésta se proyecta a la altura de la estiloides cubital. Se percibe el pulso radial y la sensibilidad es normal. La radiografía muestra una fractura de la extremidad distal del radio, a 1, 5 cms de la interlínea radio-carpiana. El macizo epifisiario está desplazado hacia afuera con una penetración de la diafisis en la epífisis. Existe una diastasis de 5 mm entre la cara interna del radio y la cabeza cubital. En la radiografía de perfil: la epífisis está desplazada en dirección dorsal y proximal. 4 - ¿Cuáles son los diferentes elementos para el tratamiento de esta fractura? Respuesta: Hospitalización en el servicio de Ortopedia. Paciente en ayunas, inmovilización provisoria, exámenes pre-operatorios, vía venosa periférica Analgésicos – Elevación del miembro. Reducción bajo anestesia general (tracción – flexión – pronación) Control radiográfico, inmovilización con el codo a 90° grados, yeso braquio-palmar durante 3 semanas y luego yeso antebraquio-palmar durante otras 3 semanas. Si la reducción es inestable: cirugía Clavijas intra-focales bajo control radioscópico (yeso antebraquio-palmar) (Kapandji) Abordaje del foco de la fractura (clavijas intra focales) Vigilar si se producen desplazamientos secundariamente.
Mujer de 30 años, sufrió una caída mientras patinaba (1 hora de evolución), y actualmente presenta dolores en la muñeca. Al examen físico, usted nota una curvatura dorsal y una inclinación radial de la mano. Los movimientos de flexión están un poco limitados por el dolor, sobre todo la prono-supinación. La palpación muestra un punto doloroso a 2 cms por encima de la estiloides radial (proximal) y observamos que ésta se proyecta a la altura de la estiloides cubital. Se percibe el pulso radial y la sensibilidad es normal. La radiografía muestra una fractura de la extremidad distal del radio, a 1, 5 cms de la interlínea radio-carpiana. El macizo epifisiario está desplazado hacia afuera con una penetración de la diafisis en la epífisis. Existe una diastasis de 5 mm entre la cara interna del radio y la cabeza cubital. En la radiografía de perfil: la epífisis está desplazada en dirección dorsal y proximal. 5 - ¿Cuáles serán los consejos para el paciente antes de retornar al domicilio? ¿Cuál es el lapso tiempo para el siguiente control clínico, porqué?
Mujer de 30 años, sufrió una caída mientras patinaba (1 hora de evolución), y actualmente presenta dolores en la muñeca. Al examen físico, usted nota una curvatura dorsal y una inclinación radial de la mano. Los movimientos de flexión están un poco limitados por el dolor, sobre todo la prono-supinación. La palpación muestra un punto doloroso a 2 cms por encima de la estiloides radial (proximal) y observamos que ésta se proyecta a la altura de la estiloides cubital. Se percibe el pulso radial y la sensibilidad es normal. La radiografía muestra una fractura de la extremidad distal del radio, a 1, 5 cms de la interlínea radio-carpiana. El macizo epifisiario está desplazado hacia afuera con una penetración de la diafisis en la epífisis. Existe una diastasis de 5 mm entre la cara interna del radio y la cabeza cubital. En la radiografía de perfil: la epífisis está desplazada en dirección dorsal y proximal. 5 - ¿Cuáles serán los consejos para el paciente antes de retornar al domicilio? ¿Cuál es el lapso tiempo para el siguiente control clínico, porqué? Respuesta: Radiografías de control post-operatorias en los días 1, 8, 21 y 45. Vigilancia estado circulatorio del miembro (dolor en el antebrazo, hormigueos, parálisis) Elevación del brazo Contracciones isotónicas dentro del yeso
Mujer de 30 años, sufrió una caída mientras patinaba (1 hora de evolución), y actualmente presenta dolores en la muñeca. Al examen físico, usted nota una curvatura dorsal y una inclinación radial de la mano. Los movimientos de flexión están un poco limitados por el dolor, sobre todo la prono-supinación. La palpación muestra un punto doloroso a 2 cms por encima de la estiloides radial (proximal) y observamos que ésta se proyecta a la altura de la estiloides cubital. Se percibe el pulso radial y la sensibilidad es normal. La radiografía muestra una fractura de la extremidad distal del radio, a 1, 5 cms de la interlínea radio-carpiana. El macizo epifisiario está desplazado hacia afuera con una penetración de la diafisis en la epífisis. Existe una diastasis de 5 mm entre la cara interna del radio y la cabeza cubital. En la radiografía de perfil: la epífisis está desplazada en dirección dorsal y proximal. 6 - ¿Cuáles son las complicaciones secundarias que pueden sobrevenir?
Mujer de 30 años, sufrió una caída mientras patinaba (1 hora de evolución), y actualmente presenta dolores en la muñeca. Al examen físico, usted nota una curvatura dorsal y una inclinación radial de la mano. Los movimientos de flexión están un poco limitados por el dolor, sobre todo la prono-supinación. La palpación muestra un punto doloroso a 2 cms por encima de la estiloides radial (proximal) y observamos que ésta se proyecta a la altura de la estiloides cubital. Se percibe el pulso radial y la sensibilidad es normal. La radiografía muestra una fractura de la extremidad distal del radio, a 1, 5 cms de la interlínea radio-carpiana. El macizo epifisiario está desplazado hacia afuera con una penetración de la diafisis en la epífisis. Existe una diastasis de 5 mm entre la cara interna del radio y la cabeza cubital. En la radiografía de perfil: la epífisis está desplazada en dirección dorsal y proximal. 6 - ¿Cuáles son las complicaciones secundarias que pueden sobrevenir? Respuesta: Algodistrofia Desplazamientos (callo vicioso) Complicaciones relacionadas a las clavijas Rigidez Síndrome del túnel carpiano
Fin