Fracturas de la extremidad distal del Fmur Clasificacin













































- Slides: 45
Fracturas de la extremidad distal del Fémur
Clasificación de las fracturas de la extremidad distal del fémur Supracondíleas : 45% Supra e intercondíleas : 35% Unicondíleas 20%
Desplazamiento de las fracturas supracondíleas Basculación posterior y distal del fragmento distal (gemelos). Protrusión anterior del fragmento proximal que empuja al cuádriceps
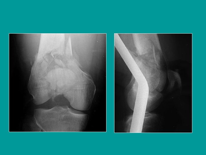
Fractura supra e inter-condílea Fractura articular conminutiva
Reducción por tracción trans-tibial
La corrección de la basculación requiere una tracción fuerte y un apoyo posterior
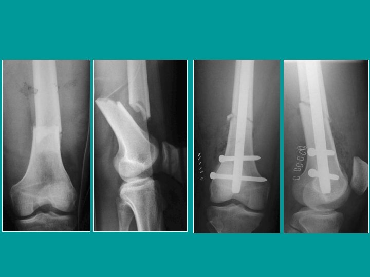
Osteosíntesis de las fracturas distales del fémur Clavo-placa AO Placas simples con tornillos
Osteosíntesis de las fracturas distales del fémur Tornillo-placa de Judet
Fracturas conminutivas Tratamiento por tracción continua durante 6, luego yeso: Método para los casos inoperables
Fracturas conminutivas Clavo-placa AO Placas en puente sobre la conminución
Instalación de un tornillo-placa de Judet
Placa con tornillos (clásicos)
Colocación de una placa de Chirón
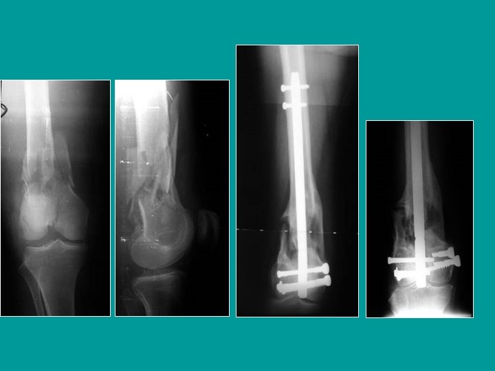
Clavo endomedular retrógrado Introducción desde la rodilla (por debajo de la tróclea) estabilización con tornillos en las 2 extremidades
Clavo retrógrado: movilización precoz
Sistema de osteosíntesis por placa aplicada contra el hueso por un abordaje mínimo. Los tornillos son colocados a través de abordajes percutáneos, mediante un sistema de guía externa (Synthes)
Principal inconveniente del tratamiento ortopédico: LOS CALLOS VICIOSOS
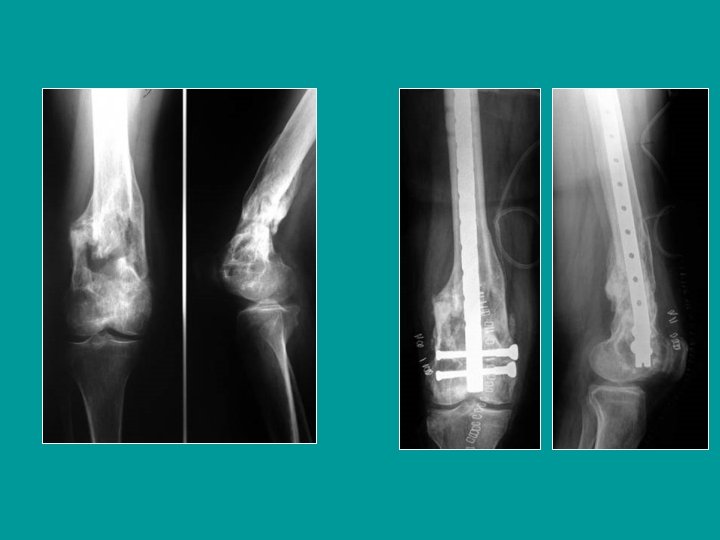
Fracturas Unicondíleas verticales de Trélat Atornillado transversal simple o placa
Fracturas Unicondíleas Horizontales de HOFFA Atornillado transversal en descenso (en rappel). Las cabezas de los tornillos están hundidas bajo el nivel del cartílago
Fracturas del niño Fracturas clásicas Como para el adulto Tubo de plomo Fracturas-desprendimientos
Salter-Harris tipo II Tratamiento por reducción y osteosíntesis mínima para no lesionar los cartílagos de crecimientos
Desprendimientos epifisiarios: Clasificación de Salter y Harris Tipo II Tipo IV Tipo III Tipo V
Las fracturas-desprendimientos epifisiarios de la extremidad distal del fémur • Riesgo inicial – Vascular – Nervioso • Riesgo secundario – Epifisiodesis central o periférica – Ecodoppler + +
Las fracturas-desprendimientos epifisiarias de la extremidad distal del fémur n 1% de las fracturas del niño n 70% de casos : adolescentes n 70% Salter-Harris II; 10 % Salter-Harris I n 50 %: accidentes deportivos n 25 %: Accidente de la vía publica.
Las fracturas-desprendimientos epifisiarias de la extremidad distal del fémur • Riesgo inicial – Vascular – Nervioso • Riesgo secundario – Epifisiodesis central o periférica – Ecodoppler + +
12 años: traumatismo en hiperextensión de la rodilla Salter-Harris tipo I, muy desplazada
Reducción de los desplazamientos en hiperextensión Tracción en el eje de la pierna, con la rodilla en flexión, mientras que reposicionamos la epífisis presionando hacia atrás y distal +/- corrección lateral
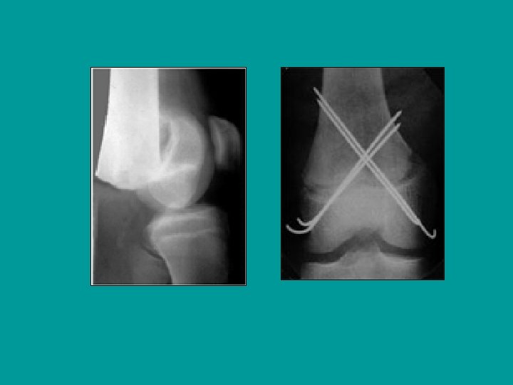
Enclavijado percutáneo
Resultado después de 5 semanas (clavijas retiradas previamente)
Salter-Harris tipo I, muy desplazada: reducción y enclavijado percutáneo
7 años Fémur: Salter-Harris I Tibia: Salter-Harris II Parálisis del Ciático Poplíteo Externo Pulsos normales Después de 3 meses: recuperación progresiva
Osteosíntesis con un solo tornillo: montaje frágil el yeso es indispensable
Cartílagos de crecimiento normales en las imágenes radiológicas e IRM
Epifisiodesis central (IRM) Secuela de una epifisiodesis posterior, creando un recurvatum
n Genu valgum por epifisiodesis asimétrica n Osteotomía femoral de varización en el final del crecimiento
Complicaciones de los traumatismos del cartílago de crecimiento n Diferencia de longitud del miembro inferior: 25% – – Epifisiodesis contra-lateral alargamiento femoral n Defectos del eje: 20% – desepifisiodesis n Rigidez: 15%
Niño de 7 años Accidente con vehículo agrícola Fracturas cerradas Pulsos presentes Parálisis del nervio Ciático Poplíteo Externo Fractura de Salter-Harris tipo 2 en fémur y tibia Reducción de las fracturas Luego de 3 meses: Algunos signos de recuperacion: No existe indicación para realizar una Electromiografía Fotos: F. CHOTEL
Fin