FLAIL CHEST LUKY DWIANTORO 1 DEFINISI Adalah toraks
































































- Slides: 64
FLAIL CHEST LUKY DWIANTORO
1. DEFINISI Adalah toraks yang “melayang” (flail) oleh sebab adanya fraktur iga multipel berturutan = 3 iga , dan memiliki garis fraktur = 2 (segmented) pada tiap iganya. Akibatnya adalah: terbentuk area “flail” yang akan bergerak paradoksal (kebalikan) dari gerakan mekanik pernapasan dinding dada. Area tersebut akan bergerak masuk saat inspirasi dan bergerak keluar pada ekspirasi.
�Flail Chest terjadi ketika segmen dinding dada tidak lagi mempunyai kontinuitas dengan keseluruhan dinding dada. �Jika kerusakan parenkim paru di bawahnya terjadi sesuai dengan kerusakan pada tulang maka akan menyebabkan hipoksia yang serius. �Kesulitan utama pada kelainan Flail Chest yaitu trauma pada parenkim paru yang mungkin terjadi (kontusio paru).
�Walaupun ketidak-stabilan dinding dada menimbulkan gerakan paradoksal dari dinding dada pada inspirasi dan ekspirasi, defek ini sendiri saja tidak akan menyebabkan hipoksia. �Penyebab timbulnya hipoksia pada penderita ini terutama disebabkan nyeri yang mengakibatkan gerakan dinding dada yang tertahan dan trauma jaringan parunya.
�Flail Chest mungkin tidak terlihat pada awalnya, karena splinting (terbelat) dengan dinding dada. �Gerakan pernafasan menjadi buruk dan toraks bergerak secara asimetris dan tidak terkoordinasi. �Palpasi gerakan pernafasan yang abnormal dan krepitasi iga atau fraktur tulang rawan membantu diagnosisi.
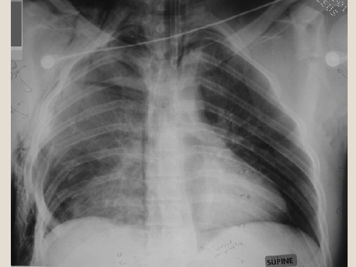
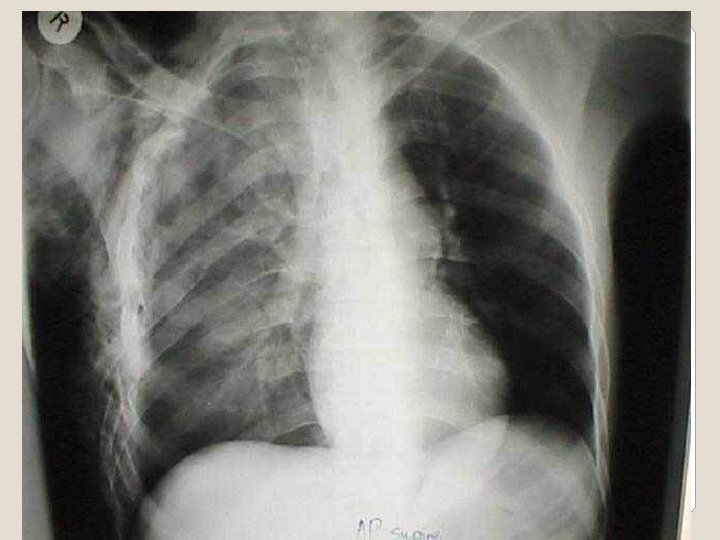
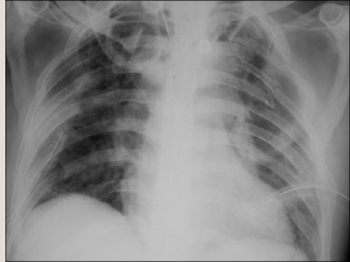
�Dengan foto toraks akan lebih jelas karena akan terlihat fraktur iga yang multipel, akan tetapi terpisahnya sendi costochondral tidak akan terlihat. �Pemeriksaan analisis gas darah yaitu adanya hipoksia akibat kegagalan pernafasan, juga membantu dalam diagnosis Flail Chest.
�Terapi awal yang diberikan termasuk pemberian ventilasi adekuat, oksigen yang dilembabkan dan resusitasi cairan �Bila tidak ditemukan syok maka pemberian cairan kristoloid intravena harus lebih berhati-hati untuk mencegah kelebihan pemberian cairan. �Bila ada kerusakan parenkim paru pada Flail Chest, maka akan sangat sensitif terhadap kekurangan ataupun kelebihan resusitasi cairan.
�Pengukuran yang lebih spesifik harus dilakukan agar pemberian cairan benar-benar optimal. �Terapi definitif ditujukan untuk mengembangkan paru-paru dan berupa oksigenasi yang cukup serta pemberian cairan dan analgesia untuk memperbaiki ventilasi. �Tidak semua penderita membutuhkan penggunaan ventilator.
�Pencegahan hipoksia merupakan hal penting pada penderita trauma, dan intubasi serta ventilasi perlu diberikan untuk waktu singkat sampai diagnosis dan pola trauma yang terjadi pada penderita tersebut ditemukan secara lengkap. �Penilaian hati-hati dari frekuensi pernafasan, tekanan oksigen arterial dan penilaian kinerja pernafasan akan memberikan suatu indikasi timing / waktu untuk melakukan intubasi dan ventilasi.
Gangguan Mekanika Bernapas pada Flail Chest �Fraktur sternum dengan pergeseran fragmennya menimbulkan nyeri yang menyebabkan penderita menahan napas sehingga pernapasan menjadi dangkal. �Hal ini diperberat dengan akibat retensi sputum menyebabkan atelektasis, pneumonia yang menyebabkan gangguan ventilasi, hipoksemia, hiperkarbia dan pada gilirannya akan menyebabkan insufisiensi pernapasan dan berakhir dengan gagal pernapasan akut.
�Flail sternum disebut juga central flail chest, bila berat akan menyebabkan volume intratorasik berkurang sehingga mengganggu pengembangan paru, ventilasi menurun mengakibatkan hipoksemia dan hiperkarbia. �Gangguan ekspansi paru diakibatkan elastic recoil ke dalam tak tertahankan sehingga volumenya berkurang.
�Penekanan ventilasi dan atelektasis akan menyebabkan terjadinya pintas arteriovenosa (AV) yang memperberat insufisiensi pernapasan sehingga bila dibiarkan akan berakhir dengan gagal pernapasan akut.
�Nyeri hebat juga akan menyebabkan penderita mengurangi gerakan segmen melayang sambil terus menerus berupaya paksa menarik dan mengeluarkan napas, hal ini terlihat dengan pernapasan cepat dangkal bila dibiarkan akan menyebabkan kelelahan otot-otot pernapasan dan berakhir dengan gagal pernapasan akut.
�Akibat dari atelektasis, pneumonia, pirau A-V sendiri akan memperberat kerja napas, hal ini ditunjukkan dengan gambaran gas darah memburuk, suatu tanda gagal pernapasan akut
Prognosis �Tulang iga patah pada 2 tempat pada lebih dari 2 iga sehingga ada satu segmen dinding dada yang tidak ikut pada pernafasan. �Pada ekspirasi segmen akan menonjol keluar, pada inspirasi justru masuk kedalam yang dikenal dengan pernafasan paradoksal
Pathofisiologi �Dada merupakan organ besar yang membuka bagian dari tubuh yang sangat mudah terkena tumbukan luka. �Karena dada merupakan tempat jantung, paru dan pembuluh darah besar, trauma dada sering menyebabkan gangguan ancaman kehidupan.
�Luka pada rongga thorak dan isinya dapat membatasi kemampuan jantung untuk memompa darah atau kemampuan paru untuk pertukaran udara dan osigen darah. �Bahaya utama berhubungan dengan luka dada biasanya berupa perdarahan dalam dan tusukan terhadap organ
�Luka dada dapat meluas dari benjolan yang relatif kecil dan goresan yang dapat mengancurkan atau terjadi trauma penetrasi. �Luka dada dapat berupa penetrasi atau non penetrasi ( tumpul ).
�Luka dada yang terbuka, memberi keempatan bagi udara atmosfir masuk ke dalam permukaan pleura dan mengganggu mekanisme ventilasi normal. �Luka dada penetrasi dapat menjadi kerusakan serius bagi paru, kantung dan struktur thorak lain.
Karakteristik �Gerakan “paradoksal” dari (segmen) dinding dada saat inspirasi/ekspirasi; tidak terlihat pada pasien dalam ventilator �Menunjukkan trauma hebat. Biasanya selalu disertai trauma pada organ lain (kepala, abdomen, ekstremitas)
Komplikasi �Komplikasi utama adalah gagal napas, sebagai akibat adanya ineffective air movement, yang seringkali diperberat oleh edema/kontusio paru, dan nyeri.
�Pada pasien dengan flail chest tidak dibenarkan melakukan tindakan fiksasi pada daerah flail secara eksterna, seperti melakukan splint/bandage yang melingkari dada, oleh karena akan mengurangi gerakan mekanik pernapasan secara keseluruhan
Indikasi Operasi (stabilisasi) pada flail chest �Bersamaan dengan Torakotomi karena sebab lain (cth: hematotoraks masif, dsb). �Gagal/sulit weaning ventilator. �Menghindari relatif). prolong ICU stay (indikasi
�Menghindari prolong hospital stay (indikasi relatif). �Menghindari �Tindakan cacat permanent. operasi adalah dengan fiksasi fraktur iga sehingga tidak didapatkan lagi area “flail”
�Trauma hancur pada sternum atau iga dapat berakibat terjadinya pemisahan total dari suatu bagian dinding dada, sehingga dinding dada tersebut bersifat lebih mobil. �Pada setiap gerakan respirasi, maka fragmen yang mobil tersebut akan terhisap ke arah dalam. �Pengembangan normal rongga pleura tidak dapat lagi berlangsung, sehingga pertukaran gas respiratorik yang efektif sangat terbatas.
Manifestasi klinis �Biasanya karena ada pembengkakan jaringan lunak di sekitar dan terbatasnya gerak pengembangan dinding dada, deformitas, dan gerakan paradoksal flail chest yang ada akan tertutupi. �Pada mulanya, penderita mampu mengadakan kompensasi terhadap pengurangan cadangan respirasinya. �Namun bila terjadi penimbunan secret-sekret dan penurunan daya pengembangan paru-paru akan terjadi anoksia berat, hiperkapnea, dan akhirnya kolaps.
Penatalaksanaan �Sebaiknya pasien dirawat intensif bila ada indikasi atau tanda-tanda kegagalan pernapasan atau karena ancaman gagal napas yang biasanya dibuktikan melalui pemeriksaan AGD berkala dan takipneu pain control. �Stabilisasi area flail chest (memasukkan ke ventilator, fiksasi internal melalui operasi) bronchial toilet fisioterapi agresif tindakan bronkoskopi untuk bronchial toilet.
�Tindakan stabilisasi yang bersifat sementara terhadap dinding dada akan sangat menolong penderita, yaitu dengan menggunakan towl-clip traction atau dengan menyatukan fragmen-fragmen yang terpisah dengan pembedahan. �Takipnea, hipoksia, dan hiperkarbia merupakan indikasi untuk intubasi endotrakeal dan ventilasi dgn tekanan positif
PEMBAHASAN 1 Pengkajian adalah langkah awal dan dasar dalam proses keperawatan secara menyeluruh a. Aktivitas / istirahat Gejala : dipnea dengan aktivitas ataupun istirahat. b. Sirkulasi Tanda : Takikardia ; disritmia ; irama jantung gallops, nadi apical berpindah, tanda Homman ; TD : hipotensi/hipertensi ; DVJ.
c. Integritas ego Tanda : ketakutan atau gelisah. d. Makanan dan cairan Tanda : adanya pemasangan IV vena sentral/infuse tekanan. e. Nyeri/ketidaknyamanan Gejala : nyeri uni laterl, timbul tiba-tiba selama batuk atau regangan, tajam dan nyeri, menusuk yang diperberat oleh napas dalam, kemungkinan menyebar ke leher, bahu dan abdomen. Tanda : berhati-hati pada area yang sakit, perilaku distraksi, mengkerutkan wajah.
f. Pernapasan Gejala : kesulitan bernapas ; batuk ; riwayat bedah dada/trauma, penyakit paru kronis, inflamasi, /infeksi paaru, penyakit interstitial menyebar, keganasan ; pneumothoraks spontan sebelumnya, PPOM. Tanda : Takipnea ; peningkatan kerja napas ; bunyi napas turun atau tak ada ; fremitus menurun ; perkusi dada hipersonor ; gerakkkan dada tidak sama ; kulit pucat, sianosis, berkeringat, krepitasi subkutan ; mental ansietas, bingung, gelisah, pingsan ; penggunaan ventilasi mekanik tekanan positif.
g. Keamanan Gejala : adanya trauma dada ; radiasi/kemoterapi untuk keganasan. Penyuluhan/pembelajaran Gejala : riwayat factor risiko keluarga, TBC, kanker ; adanya bedah intratorakal/biopsy paru.
� 2 Diagnosa Keperawatan �Ketidakefektifan pola pernapasan berhubungan dengan ekpansi paru yang tidak maksimal karena akumulasi udara/cairan. �Perubahan kenyamanan : Nyeri akut berhubungan dengan trauma jaringan dan reflek spasme otot sekunder. �Kerusakan integritas kulit berhubungan dengan trauma mekanik terpasang bullow drainage.
�Gangguan mobilitas fisik berhubungan dengan ketidakcukupan kekuatan dan ketahanan untuk ambulasi dengan alat eksternal. �Risiko terhadap infeksi berhubungan dengan tempat masuknya organisme sekunder terhadap trauma.
3 Intervensi Keperawatan a. Ketidakefektifan pola pernapasan berhubungan dengan ekspansi paru yang tidak maksimal karena trauma. Tujuan : Pola pernapasan efektif. Kriteria hasil : • Memperlihatkan frekuensi pernapasan yang efektive. • Mengalami perbaikan pertukaran gas-gas pada paru. • Adaptif mengatasi faktor-faktor penyebab.
Intervensi : - Berikan posisi yang nyaman, biasanya dengan peninggian kepala tempat tidur. Balik ke sisi yang sakit. Dorong klien untuk duduk sebanyak mungkin. R/ Meningkatkan inspirasi maksimal, meningkatkan ekpsnsi paru dan ventilasi pada sisi yang tidak sakit. - Observasi fungsi pernapasan, catat frekuensi pernapasan, dispnea atau perubahan tanda vital. R/ Distress pernapasan dan perubahan pada tanda vital dapat terjadi sebgai akibat stress fifiologi dan nyeri atau dapat menunjukkan terjadinya syock sehubungan dengan hipoksia.
- Jelaskan pada klien bahwa tindakan tersebut dilakukan untuk menjamin keamanan. R/ Pengetahuan apa yang diharapkan dapat mengurangi ansietas dan mengembangkan kepatuhan klien terhadap rencana teraupetik. - Jelaskan pada klien tentang etiologi/faktor pencetus adanya sesak atau kolaps paru-paru. R/ Pengetahuan apa yang diharapkan dapat mengembangkan kepatuhan klien terhadap rencana teraupetik. - Pertahankan perilaku tenang, bantu pasien untuk kontrol diri dengan menggunakan pernapasan lebih lambat dan dalam. R/ Membantu klien mengalami efek fisiologi hipoksia, yang dapat dimanifestasikan sebagai ketakutan/ansietas.
- Perhatikan alat bullow drainase berfungsi baik, cek setiap 1 – 2 jam: • Periksa pengontrol penghisap untuk jumlah hisapan yang benar. R/ Mempertahankan tekanan negatif intrapleural sesuai yang diberikan, yang meningkatkan ekspansi paru optimum/drainase cairan. • Periksa batas cairan pada botol penghisap, pertahankan pada batas yang ditentukan. R/ Air penampung/botol bertindak sebagai pelindung yang mencegah udara atmosfir masuk ke area pleural.
• Observasi gelembung udara botol penampung. R/ Gelembung udara selama ekspirasi menunjukkan lubang angin dari penumotoraks/kerja yang diharapka. Gelembung biasanya menurun seiring dnegan ekspansi paru dimana area pleural menurun. Tak adanya gelembung dapat menunjukkan ekpsnsi paru lengkap/normal atau slang buntu. • Posisikan sistem drainage slang untuk fungsi optimal, yakinkan slang tidak terlipat, atau menggantung di bawah saluran masuknya ke tempat drainage. Alirkan akumulasi dranase bila perlu. R/ Posisi tak tepat, terlipat atau pengumpulan bekuan/cairan pada selang mengubah tekanan negative yang diinginkan. • Catat karakter/jumlah drainage selang dada. R/ Berguna untuk mengevaluasi perbaikan kondisi/terjasinya perdarahan yang memerlukan upaya intervensi.
- Kolaborasi dengan tim kesehatan lain : • Dengan dokter, radiologi dan fisioterapi. ◦ Pemberian antibiotika. ◦ Pemberian analgetika. ◦ Fisioterapi dada. ◦ Konsul photo toraks. R/ Mengevaluasi perbaikan kondisi klien atas pengembangan parunya.
b. Perubahan kenyamanan : Nyeri akut berhubungan dengan trauma jaringan dan reflek spasme otot sekunder. Tujuan : Nyeri berkurang/hilang. Kriteria hasil : ◦ Nyeri berkurang/ dapat diadaptasi. ◦ Dapat mengindentifikasi aktivitas yang meningkatkan/ menurunkan nyeri. ◦ Pasien tidak gelisah
Intervensi : - Jelaskan dan bantu klien dengan tindakan pereda nyeri nonfarmakologi dan non invasif. R/ Pendekatan dengan menggunakan relaksasi dan nonfarmakologi lainnya telah menunjukkan keefektifan dalam mengurangi nyeri. • Ajarkan Relaksasi : Tehnik-tehnik untuk menurunkan ketegangan otot rangka, yang dapat menurunkan intensitas nyeri dan juga tingkatkan relaksasi masase. R/ Akan melancarkan peredaran darah, sehingga kebutuhan O 2 oleh jaringan akan terpenuhi, sehingga akan mengurangi nyerinya.
◦ Ajarkan metode distraksi selama nyeri akut. R/ Mengalihkan perhatian nyerinya ke hal-hal yang menyenangkan. - Berikan kesempatan waktu istirahat bila terasa nyeri dan berikan posisi yang nyaman ; misal waktu tidur, belakangnya dipasang bantal kecil. R/ Istirahat akan merelaksasi semua jaringan sehingga akan meningkatkan kenyamanan. - Tingkatkan pengetahuan tentang : sebab nyeri, dan menghubungkan berapa lama nyeri akan berlangsung. R/ Pengetahuan yang akan dirasakan membantu mengurangi nyerinya. Dan dapat membantu mengembangkan kepatuhan klien terhadap rencana teraupetik.
- Kolaborasi dengan dokter, pemberian analgetik. R/ Analgetik memblok lintasan nyeri, sehingga nyeri akan berkurang. - Observasi tingkat nyeri, dan respon motorik klien, 30 menit setelah pemberian obat analgetik untuk mengkaji efektivitasnya. Serta setiap 1 – 2 jam setelah tindakan perawatan selama 1 – 2 hari. R/ Pengkajian yang optimal akan memberikan perawat data yang obyektif untuk mencegah kemungkinan komplikasi dan melakukan intervensi yang tepat.
c. Kerusakan integritas kulit berhubungan dengan trauma mekanik terpasang bullow drainage. Tujuan : Mencapai penyembuhan luka pada waktu yang sesuai. Kriteria Hasil : ◦ Tidak ada tanda-tanda infeksi seperti pus. ◦ Luka bersih tidak lembab dan tidak kotor. ◦ Tanda-tanda vital dalam batas normal atau dapat ditoleransi.
Intervensi : - Kaji kulit dan identifikasi pada tahap perkembangan luka. R/ mengetahui sejauh mana perkembangan luka mempermudah dalam melakukan tindakan yang tepat. - Kaji lokasi, ukuran, warna, bau, serta jumlah dan tipe cairan luka. R/ mengidentifikasi tingkat keparahan luka akan mempermudah intervensi. - Pantau peningkatan suhu tubuh. R/ suhu tubuh yang meningkat dapat diidentifikasikan sebagai adanya proses peradangan. - Berikan perawatan luka dengan tehnik aseptik. Balut luka dengan kasa kering dan steril, gunakan plester kertas. R/ tehnik aseptik membantu mempercepat penyembuhan luka dan mencegah terjadinya infeksi.
- Jika pemulihan tidak terjadi kolaborasi tindakan lanjutan, misalnya debridement. R/ agar benda asing atau jaringan yang terinfeksi tidak menyebar luas pada area kulit normal lainnya. - Setelah debridement, ganti balutan sesuai kebutuhan. R/ balutan dapat diganti satu atau dua kali sehari tergantung kondisi parah/ tidak nya luka, agar tidak terjadi infeksi. - Kolaborasi pemberian antibiotik sesuai indikasi. R/ antibiotik berguna untuk mematikan mikroorganisme pathogen pada daerah yang berisiko terjadi infeksi.
d. Gangguan mobilitas fisik berhubungan dengan ketidakcukupan kekuatan dan ketahanan untuk ambulasi dengan alat eksternal. Tujuan : pasien akan menunjukkan tingkat mobilitas optimal. Kriteria hasil : ◦ penampilan yang seimbang. . ◦ melakukan pergerakkan dan perpindahan. ◦ mempertahankan mobilitas optimal yang dapat di toleransi, dengan karakteristik : 0 = mandiri penuh 1 = memerlukan alat Bantu. 2 = memerlukan bantuan dari orang lain untuk bantuan, pengawasan, dan pengajaran. 3 = membutuhkan bantuan dari orang lain dan alat Bantu. 4 = ketergantungan; tidak berpartisipasi dalam aktivitas.
Intervensi : - Kaji kebutuhan akan pelayanan kesehatan dan kebutuhan akan peralatan. R/ mengidentifikasi masalah, memudahkan intervensi. - Tentukan tingkat motivasi pasien dalam melakukan aktivitas. R/ mempengaruhi penilaian terhadap kemampuan aktivitas apakah karena ketidakmampuan ataukah ketidakmauan. - Ajarkan dan pantau pasien dalam hal penggunaan alat bantu. R/ menilai batasan kemampuan aktivitas optimal. -
- Ajarkan dukung pasien dalam latihan ROM aktif dan pasif. R/ mempertahankan /meningkatkan kekuatan dan ketahanan otot. - Kolaborasi dengan ahli terapi fisik atau okupasi. R/ sebagai suaatu sumber untuk mengembangkan perencanaan dan mempertahankan/meningkatkan mobilitas pasien
e. Risiko terhadap infeksi berhubungan dengan tempat masuknya organisme sekunder terhadap trauma. Tujuan : infeksi tidak terjadi / terkontrol. Kriteria hasil : ◦ tidak ada tanda-tanda infeksi seperti pus. ◦ luka bersih tidak lembab dan tidak kotor. ◦ Tanda-tanda vital dalam batas normal atau dapat ditoleransi.
Intervensi : - Pantau tanda-tanda vital. R/ mengidentifikasi tanda-tanda peradangan terutama bila suhu tubuh meningkat. - Lakukan perawatan luka dengan teknik aseptik. R/ mengendalikan penyebaran mikroorganisme patogen. - Lakukan perawatan terhadap prosedur inpasif seperti infus, kateter, drainase luka, dll. R/ untuk mengurangi risiko infeksi nosokomial. -
Jika ditemukan tanda infeksi kolaborasi untuk pemeriksaan darah, seperti Hb dan leukosit. R/ penurunan Hb dan peningkatan jumlah leukosit dari normal bisa terjadi akibat terjadinya proses infeksi. - Kolaborasi untuk pemberian antibiotik. R/ antibiotik mencegah perkembangan mikroorganisme patogen.
DAFTAR PUSTAKA � Doenges, Marilyn E. 1999. Rencana Asuhan Keperawatan, Edisi 3. EGC : Jakarta. � Dorland, W. A. Newman. 2002. Kamus Kedokteran. EGC : Jakarta. � FKUI. 1995. Kumpulan Kuliah Ilmu bedah. Binarupa Aksara : Jakarta � Smeltzer, Suzanne C. 2001. Keperawatan Medikal-Bedah Brunner and Suddarth Ed. 8 Vol. 3. EGC : Jakarta. � http: //hendritamara. blogspot. com/2008/11/asuh an-keperawatan-pada-klien-trauma. html � http: //iwansain. wordpress. com