FFA ICG Ewan Mc Callum GHH 15714 Overview

  • Slides: 25
Download presentation
FFA & ICG Ewan Mc. Callum GHH 15/7/14

FFA & ICG Ewan Mc. Callum GHH 15/7/14

Overview • FFA & ICG – Background – Examples

Overview • FFA & ICG – Background – Examples

FFA • 20% free in plasma • Excited by blue light to emit yellow

FFA • 20% free in plasma • Excited by blue light to emit yellow light • Cannot diffuse through tight junctions – RPE – Retinal vessel endothelium • NB – fluorescein leaks freely into aq/vit therefore white structures pseudofluoresce

FFA • 5 phases – Choroidal – v brief as leaks fast – Arterial

FFA • 5 phases – Choroidal – v brief as leaks fast – Arterial – CRA fills 1 sec later – Capillary – peri foveal network most visible due to luteal pigment. 500 micron FAZ – Venous – early laminar flow – Late – 10 -15 mins dye only left in structures where it has leaked. Drusen, window defects and inactive scars fade, i. e show up active disease

ICG • 800 nm wavelength, penetrates retinal layers • Tightly bound to plasma proteins

ICG • 800 nm wavelength, penetrates retinal layers • Tightly bound to plasma proteins so stays in vessels • Allows better view of choroidal circulation

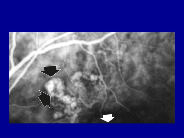
Polypoidal choroidal vasculopathy • • • Sub type of AMD 15% of all ‘CNV’

Polypoidal choroidal vasculopathy • • • Sub type of AMD 15% of all ‘CNV’ Steep walled haemorrhagic PED on OCT PDT +/- anti VEGF best Need ICG to diagnose most (wide angle to pick up more)

Retinal angiomatous proliferations • • • Sub type of AMD Large serous PEDs extensive

Retinal angiomatous proliferations • • • Sub type of AMD Large serous PEDs extensive areas of small drusen leak aggressively Respond poorly to anti VEGF – NB patient expectation • Up to 100% of fellow eyes affected • 37% within 3 years

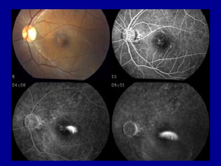
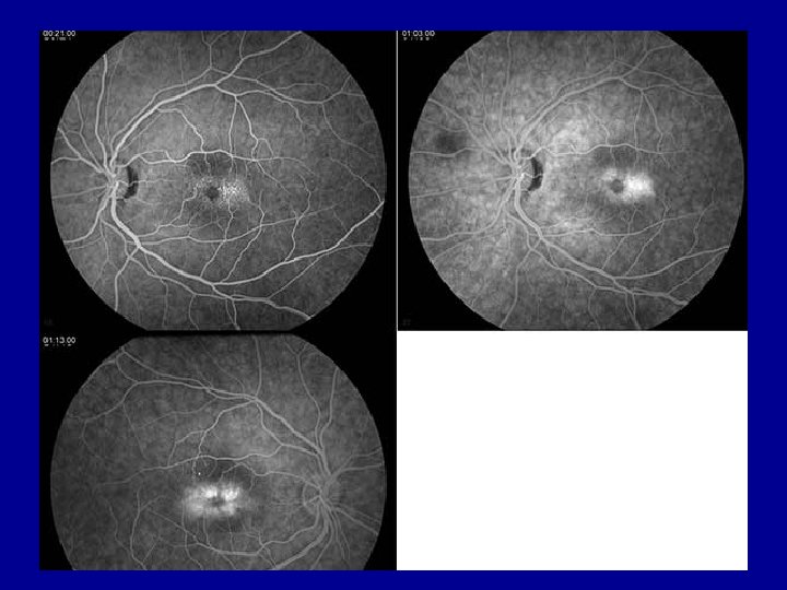
MACTEL • Not an ‘AMD’ • Important as does not respond to anti VEGF

MACTEL • Not an ‘AMD’ • Important as does not respond to anti VEGF

CSR • Can be confused with AMD as exudative maculopathy • Especially if chronic/recurrent

CSR • Can be confused with AMD as exudative maculopathy • Especially if chronic/recurrent • Chronic can develop into n. AMD or IPCV

Diabetes

Diabetes