FEVER AND FEVER OF UNKNOWN ORGN Meral Sonmezoglu

































































- Slides: 65
FEVER AND FEVER OF UNKNOWN ORİGİN Meral Sonmezoglu, MD. Assoc Professor of Infectious Dıseases 2007
BODY TEMPERATURE 2007
BODY TEMPERATURE § Heat is derived from biochemical reactions occuring in § § all living cells (glucose catabolism, ATP) Shivering is primary means of by which heat is enhanced Heat is generated primarily in vital organs lying deep within the body core Distributed thoughout the body via the circulatory system Heat is lost from body surfaces to teh envirement § 2007
BODY TEMPERATURE § The mean oral temperature 36. 8 ºC 0. 4 ºC § Low level at 6 AM and high level at 4 to 6 PM, with normal daily variation is 0. 5 ºC § Rectal temperature 0. 4 ºC higher than oral § Unadjusted-mode TM temperature 0. 8 ºC lower than rectal § Lower esophageal temperature closely reflect core temperature 2007
2007
2007
THERMOREGULATION 2007
THERMOREGULATION § A process that involves a continuum of neural structures and connections extending to and from “the hypothalamus and limbic system” through the lower brain stem and reticular formation to the spinal cord and sympathetic ganglia § Preoptic area, anterior hypothalamus and septum § Neurons located in this area are thermosensitive and exert partial control over physiologic and thermoregulatory responses 2007
FEVER § “A state of elevated core temperature” § Part of the defensive responses of multicellular organisms (host) to the invasion of live (m. o. ) or inanimate matter recognized as pathogenic or alien by the host § Febril response (tem rise is a component) is a complex physiological reaction to disease, involving not only a cytokinemediated rise in core temperature but also the generation acute phase reactants, and activation of numerous physiologic, endocrinologic, and immunologic systems 2007
FEVER and HYPERTHERMIA § Hyperthermia is an unregulated rise in body temperature, § Pyrogenic cytokines are not directly involved antipyretics are ineffective § Hyperthermia represents a failure of thermoregulatory homeostasis (uncontrolled heat production/ inadequate heat dissipation/defective hermoregulation § In clinical setting, fever is a pyrogen-mediated rise in body temperature above a normal range 2007
FEVER § An AM temperature of > 37. 2 ºC or PM temperature > 37. 7 ºC define a fever § Elevation of BT that exceeds the normal variation and occurs in conjunction with an increase in the hypothalamic set point § Hyperpyrexia Ø Ø A fever of > 41. 5 ºC Severe infections but mostly common with CNS hemorrhage 2007
VARIATION IN TEMPERATURE § Anatomic variation § Physiologic variation: Age Sex Exercise Circadian rhythm Underlying disorders 2007
NORMAL BODY TEMPERATURE § Maximum normal oral temperature At 6 AM : 37. 2 At 4 PM : 37. 7 2007
PHYSIOLOGY OF FEVER § Pyrogens: Ø Exogenous pyrogens: Bacteria, Virus, Fungus, Allergen, … Ø Endogenous pyrogen Immune complex, lymphokine, … § Major EPs: IL 1, TNF, IL 6, CNF (ciliary neurotropic factor) 2007
2007
DISCOMFORT DUE TO FEVER § For each 1 °C elevation of body temperature: Ø Metabolic rate increase 10 -15% Ø Insensible water loss increase 300 -500 ml/m 2/day Ø O 2 consumption increase 13% Ø Heart rate increase 10 -15/min 2007
ANTIPYRETIC AGENTS § Acetaminophen Ø Poor cyclooxygenase inhibitor in peripheral but oxidized ( active form ) in brain by the p 450 system § Aspirin § NSAID Ø Ø Affect platelets and GI tract May deteriorate renal function in patients with renal insufficiency(inhibit renal prostaglandin ) § Glucocorticoid Ø Ø Inhibit phospholipase A 2 Block the transcription of the m. RNA for the pyrogenic cytokines 2007
PITFALL • In newborns, the early , patients with CRF, • immunocompromise and patients taking glucocorticoids, fever may not be present despite infection or may be hypothermic. The atypical ( often typical ) presentation of infection in elderly – Key point : loss of function Delirium New onset of incontinence Weakness Weight loss Loss of appetite or nausea 2007
ATTENUATED FEVER RESPONSE § Fever may not be present despite infection in: Ø Newborn Ø Elderly Ø Uremia Ø Significant malnourished individual Ø Taking corticosteroids 2007
PATTERN OF FEVER § § Sustained (Continuous) Fever Intermittent Fever (Hectic Fever) Remittent Fever Relapsing Fever: Ø Ø Ø Tertian Fever Quartan Fever Days of Fever Followed by a Several Days Afebrile Pel Ebstein Fever Every 21 Day 2007
2007
2007
2007
APPROACH TO THE PATIENT HISTORY 2007
APPROACH TO THE PATIENT HISTORY Combined symptoms Fever pattern Medication Surgical or dental procedure Any prosthetic materials or implanted devices § Occupation ( animal; fume; infectious agent or infected individuals ) § Travel history § § § Unusual hobbies § Dietary proclivities § Household pets § Sexual exposure § IV drug abuse, alcoholism § Trauma § Animal or insect bite § Blood transfusion § immunization § Family history 2007
APPROACH TO FEVER § Underlying Diseases: Ø Ø Splenectomy Surgical Implantation of Prosthesis Immunodeficiency Chronic Diseases: Cirrhosis Chronic Heart Diseases Chronic Lung Diseases 2007
2007
APPROACH TO THE PATIENT PHYSICAL EXAMINATION § Head to toe § Finger to hole § Special attention to skin, lymph nodes, eyes, nail bed, CV system, chest , abdomen, musculoskeletal system, and nerve system. § Rectal examination is imperative § Penis, scrotum, testes , foreskin and pelvic examination in women should be examined 2007
APPROACH TO FEVER § Associated Symptoms: Ø Shaking chills Ø Ear pain, Ear drainage, Hearing loss Ø Visual and Eye Symptoms Ø Sore Throat Ø Chest and Pulmonary Symptoms Ø Abdominal Symptoms Ø Back pain, Joint or Skeletal pain 2007
APPROACH TO THE PATIENT LABORATORY TESTS § Clinical Pathology Ø CBC+DC+PLT, blood smear, UA, ESR, abnormal fluid accumulation and CSF examination, bone mallow aspiration, stool routine § Chemistry Ø Electrolyte, BUN, creatinine, LFTs, amylase, CPK and serology… § Microbiology Ø Gram’s stain and culture § Imaging Ø Plain film, sonography, CT, MRI and Gallium scan 2007
§ FEVER OF UNKNOWN ORIGIN 2007
FEVER OF UNKNOWN ORIGIN DEFINITION § Defined by Petersdorf and Beeson in 1961 Temperature > 38. 3 ºC on several occasions Ø A duration of fever of > 3 weeks Ø Failure to reach a diagnosis despite 1 week of inpatient investigation Durack and Street proposed a new system in 1991 and suggested two changes to the earlier definition. Durrack and Street proposed four types of FUO Ø § § 2007
2007
Classic FUO • • • Temperature > 38ºC (101ºF) recorded on several occasions occurring for more than three weeks in spite of investigations on three OPD visits or three days of stay in hospital or one week of invasive ambulatory investigations is called classic FUO 2007
Nosocomial FUO • Temperature more than 38. 3ºC (> 101°F) is recorded on several occasions in a hospitalized patient who is receiving acute care and in whom infection was not manifest or incubating on admission. • Three days of investigations including at least two days incubation of cultures, is the minimum requirement for this diagnosis 2007
Neutropenic FUO • Temperature of > 38. 3ºC (101ºF) on several ocasion is observed in a patient whose neutrophil count is less than 500/microliter or is expected to fall to that level in 1 or 2 days • This diagnosis should be considered when investigation including at least two days of incubation of cultures. • It is also called immunodeficient FUO 2007
HIV associated FUO • Temperature of > 38. 3ºC (>101ºF) on several occasions is found over a period of more than 4 weeks for our patient or more than three days for hospitalized patients with HIV infection • This diagnosis is considered if appropriate investigations over three days including two day of incubation of cultures reveals no source 2007
FUO CAUSE § Big three Ø Ø Infection (25 -30%) Malignancy (10 -30%) Collagen vascular disorder (10 -15%) Unknown (5 -10%) 2007
2007
2007
2007
2007
FEVER OF UNKNOWN ORIGIN: REPORT OF 27 CASES 2007
A clinical review of 449 cases with fever of unknown origin § Out of the 449 FUO cases, definite diagnosis was eventually achieved in 387 patients (86. 9%). § The most common causes of FUO were infectious diseases (56. 8%), with tuberculosis accounting for 43. 6% of cases of infection. § 76 patients were suffered from collagen vascular diseases (CVD): with Still's disease, systemic lupus erythematosus and vasculitis accounting for 34. 2% (26/76), 18. 4% (14/76) and 13. 2% (10/76) of the this category, respectively. § 16. 5% (64/449) of the FUO cases were diagnosed as malignancy. § Miscellaneous causes were found in 7. 0% of the FUO cases. However, no definite diagnosis had been made in the remaining 62 (13. 8%) cases until they discharged from the hospital 2007
Fever of Unknown Origin PK Agarwal*, A Gogia** 2007
Childhood World J Pediatr 2011; 7(1): 5 -10 2007
Infections in childhood World J Pediatr 2011; 7(1): 5 -10 2007
World J Pediatr 2011; 7(1): 5 -10 2007
FUO MALIGNANCY ASSOCIATED § Hodgkin’s lymphoma § Non-Hodgkin lymphoma § Leukemia § Renal cell carcinoma § Hematoma § Colon carcinoma 2007
FUO AUTOIMMUNE ASSOCIATED § SLE § RA § Adult Still’s disease § Temporal arteritis § Mixed connective tissue disease 2007
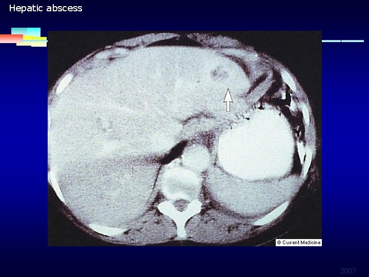
FUO INFECTION ASSOCIATED § Intra-abdominal or pelvic abscess Ø Ø Abscess 1/3 infection origin of FUO, most intra-abdominal or pelvic Vague localized abdominal pain Surgical complication or leakage of visceral contents Liver abscess: elevated ALK-p K. pneumoniae bacteremia in DM, alcoholism, Liver cirrhosis Liver echo may be negative, so abdominal CT is important for diagnosis 2007
FUO INFECTION ASSOCIATED § Osteomyelitis and septic hip Ø Ø Tenderness over infected site, but some patients only with fever Associated sign: L-spine OM with root compression sign, vertebral OM with psoas muscle abscess or CV surgery with sternal OM Septic hip: 16% of septic arthritis, most with OA or destructive joint, so that with prolonged and insidious onset Diagnostic tool: Bone scan or Gallium scan CT or MRI 2007
FUO INFECTION ASSOCIATED § Infectious endocarditis Ø Ø Clue of DX: continuous bacteremia, new murmurs, vascular phenomenon, vegetation on cardiac echo, and unexplained fever Culture negative endocarditis Recently received antibiotics HACEK group organisms. Haemophilus parainfluenaze/ aphrophilus, Actinobacillus actinomycetemcomitans, Cardiobacterium hominis, Eikenella corrodens, and Kingella kingae Fungus, Rickettsia and Chlamydia Ø TTE(60%) and TEE(95%) 2007
FUO INFECTION ASSOCIATED § Granulomatous infection Ø Ø TB( extrapulmonary TB or miliary TB) is the most common cause in Taiwan TB may involve liver, spleen, bone, kidneys, pericardium or meninges and in miliary TB of lung CXR may be negative initial Bone marrow study may diagnose Nontuberculous mycobacterial infections and deep-seated fungal infection 2007
FUO INFECTION ASSOCIATED § Dengue fever § Infectious mononucleosis § Scrub typhus § Typhoid fever § HIV § Malaria § Amebiasis § NG related sinusitis 2007
2007
Temporal artery 2007
Temporal artery biopsy (A) 2007
Temporal artery biopsy (B) 2007
Nodules (B) Wegener's granulomatosis 2007
Nodules (A) Wegener's granulomatosis 2007
Computed tomographic scan of a spleen with sarcoidosis 2007
Hepatic abscess 2007
Endoscopic features of active ulcerative colitis 2007
Thank You 2007