Fetal Byme Bozukluklar Dr Rauf MELEKOLU Sunum Plan
Fetal Büyüme Bozuklukları Dr. Rauf MELEKOĞLU
Sunum Planı • • • Fetal Gelişim Fizyolojisi Fetal Büyüme Bozuklukları İçin Risk Faktörleri Fetal Büyüme Bozukluklarında Tarama ve Tanı Fetal Büyüme Bozukluklarında Takip ve Doğum Fetal Büyüme Bozuklukları ile İlişkili Komplikasyonlar
Fetal Gelişim • Fetal büyüme doku ve organların ardışık olarak büyüme farklılaşma olgunlaşması ile karakterizedir. • Fetal gelişimin belirleyicileri; annenin ihtiyacı olan besin ve mineralleri alması bu besin ve minerallerin plasentadan transferi fetusun büyüme potansiyelini belirleyen genetik yapısı dır.
Hücre Büyümesi • Hücre büyümesi üç ardışık fazda gerçekleşir. ➢ İlk faz olan hiperplazi fazı, gebeliğin ilk 16 haftasında! hücre sayısında hızlı artış ile karakterizedir. ➢ İkinci faz 32. haftaya kadar hem hiperplazi hem de hipertrofiyi içeren fazdır. ➢ Üçüncü faz 32. haftadan sonra fetal büyüme hücresel hipertrofi ile gerçekleşmekte, fetal yağ ve glikojen depolanmasının çoğunluğu bu fazda
Fetal Büyüme • Fetal yaşamın erken döneminde en önemli belirleyici fetusun genetik yapısı gebeliğin geç döneminde çevresel, besinsel ve hormonal etkilerin önemi artmaktadır. • İnsülin, insülin benzeri büyüme faktörü-I (IGF-I), IGF-II ve IGFBP fetal büyüme ve kilo almanın düzenlenmesi üzerinde rolünün olduğuna dair önemli kanıtlar mevcuttur. • IGF-II embriyonik ve erken fetal büyüme • IGF-I geç gebelik döneminde fetal büyümenin primer endokrin düzenleyicisi
Maternal Nutrisyon • Gebelik öncesi maternal ağırlık ve vücut kompozisyonu, bebeğin fetal büyümesi, gebelik sonucu ve yaşam boyu sağlığı için kritik öneme sahiptir. • Yetersiz maternal nütrisyon, fetuslarda adipozite ve kardiyovasküler hastalık riskini artırır. • Anne beslenmesinin bebeklerin uzun süreli metabolik sağlığı üzerindeki etkileri doğumda ağırlığından bağımsız olabilir.
Plasental Fonksiyon • Plasental fonksiyon fetusun kritik öneme sahip solunumsal, hepatik ve renal fonksiyonunu sağlaması nedeniyle fetal büyümenin düzenlenmesi üzerinde önemli etkiye sahiptir. • İnkomplet trofoblast invazyonu myometrial arterlerin değişime uğramasını (remodelling) engelleyerek azalmış uteroplasental kan akımına yol açtığı için preeklampsi ve gelişme geriliği ile ilişkilendirilmiştir.
ANORMAL FETAL BÜYÜME • Fetal büyüme bozuklukları sıklıkla, ➢ doğum ağırlığına göre; düşük doğum ağırlığı (<2500 gr) makrozomi (>4000 gr) ➢ gebelik yaşına göre; (!) gebelik yaşına göre küçük (SGA-small for gestational age) gebelik yaşına göre büyük (LGA- large for gestational age) olarak tanımlanır.
SGA vs. IUGR • Fetal büyüklük (tahmini doğum ağırlığı, tahmini abdominal çevre) gebelik yaşına göre 10. persentilin altına düşmüş ise SGA olarak sınıflandırılır. • Fetusun gelişme potansiyelinin herhangi bir anormal veya patolojik süreç nedeni ile kısıtlandığı durumlar fetal gelişme geriliği olarak tanımlanır. • Örneğin fetal büyüme eğrisi üzerinde tahmini fetal ağırlığı 60. persentil değerinde iken ilerleyen haftalarda sırayla 50, 40 ve 30. persentile düşen fetuslar gelişme geriliği olarak sınıflandırılabilirken SGA olarak tanımlanamaz.
• SGA tanımı her ne kadar fetal gelişme geriliği olanları içeriyor olsa da herhangi bir anormal veya patolojik sürecin sonucu olmadan sadece yapısal olarak küçük olan normal fetusları da içermektedir. • Diğer yandan fetal gelişme geriliği olan fetus her zaman SGA olmayabilir.
• Fetal büyüklük (tahmini doğum ağırlığı, tahmini abdominal çevre) gebelik yaşına göre 90. persentilin üzerinde ise LGA olarak sınıflandırılır. • SGA ve gelişme geriliği olan fetuslarda olduğu gibi LGA olan fetuslar tanımı içinde konstitüsyonel olarak büyük fetuslar da mevcuttur. • Aynı şekilde normalden fazla büyümesi olan her fetus da LGA değildir.
• Gelişme geriliği olan fetuslar hem etyoloji hem de prognozlarının farklı olması dolayısıyla geleneksel olarak simetrik ve asimetrik olarak sınıflandırılmışlardır. • Simetrik gelişme geriliği gebeliğin erken döneminde geçirilmiş viral enfeksiyon veya anöploidi sonucu • Asimetrik gelişme geriliği (beyin koruyucu etki ile birlikte) gebeliğin geç dönemindeki komplikasyonların (preeklampsi gibi) sonucu
• SİMETRİK VE ASİMETRİK İNTRAUTERİN GELİŞME GERİLİĞİNİN AYIRICI TANISINDA EN SIK KULLANILAN ULTRASON PARAMETRESİ HC/AC ORANIDIR !! • Fakat anöploidi ile ilişkili asimetrik gelişim görülebilmesi, preeklampsi ile ilişkili simetrik gelişim görülebilmesi ve asimetrik gelişme geriliğinde beyin koruyucu etkiye rağmen morbiditeyi gösteren kanıtların olması gibi nedenlerle bu sınıflandırma geçerliliğini kaybetmiştir !
FETAL BÜYÜME BOZUKLUKLARI İÇİN RİSK FAKTÖRLERİ • Fetal gelişme geriliği ve normalden fazla büyüme için birçok risk faktörü tanımlanmış olup bunlar; Maternal Fetal Plasental faktörler olarak sınıflandırılabilir.
Maternal Faktörler-IUGR
• Kronik hipertansiyon, gestasyonel hipertansiyon ve preeklampsi, fetal gelişme geriliği riskini 3 -4 kat arttırarak en sık fetal gelişme geriliğine yol açan maternal hastalıklardır !!! • Sigara, alkol ve kokain kullanımı fetal gelişme geriliği riskini arttırmaktadır. Sigara kullanan gebelerde fetal gelişme geriliği riski 3, 5 kat artar !! • IUGR’YE NEDEN OLAN EN SIK KONJENİTAL ENFEKSİYON CMV!!
Fetal Faktörler-IUGR • Anöploidi ve birçok genetik sendrom fetal IUGR ile ilişkilendirilmiştir. • Birçok yapısal malformasyonu olan (kromozomal veya genetik anormallik olmadan) fetuslar da fetal gelişme geriliği açısından riskli! • Konjenital kalp hastalığı olan fetus ve yenidoğanlarda bu malformasyonu olmayanlar ile karşılaştırıldığında IUGRve SGA riski • Gastroşizis fetal gelişme geriliği ile ilişkili bir diğer malformasyondur ve gastroşizis olan fetusların %25’inde gelişme geriliği saptanır.
Fetal Faktörler-IUGR • Down sendromu, trizomi 13, 18 ve Turner sendromu daha yüksek oranlarda gelişme geriliği ile ilişkilidir. • IUGR’ye NEDEN OLAN EN SIK FETAL KROMOZOMAL NEDEN TRİZOMİ 21! • Normalden fazla fetal büyümede de genetik faktörler etkilidir. • Örneğin fetal hiperinsülinemi ile ilişkili Beckwith-Wiedemann sendromu aşırı fetal büyümeye yol açar.
Plasental Faktörler-IUGR • Azalmış plasental perfüzyona yol açan anormal plasentasyon fetal gelişme geriliği ile en çok ilişkilendirilmiş patolojidir. • Fetal gelişim kısıtlılığı ile bazı plasental bozukluklar (dekolman, enfarkt, sirkumvallat plasenta, hemanjiom ve korioanjiom) ve umblikal kord anormallikleri (velamantöz veya marjinal kord insersiyonu) de ilişkilendirilmiştir.
• Plasentadaki anormal vasküler bağlantılar çoğul gebeliklerle ilgili ciddi gelişme geriliği ve uyumsuz büyümeden sorumlu tutulmuşlardır. • Plasenta akreata ve plasenta previa gibi diğer plasental bozukluklar ile fetal gelişme geriliği arasında tutarlı bir ilişki gösterilememiştir. • Bütün gebeliklerin yaklaşık %1’inde tek umblikal arter bulunur. • Eşlik eden anatomik veya kromozomal anormalliklerin yokluğunda tek umblikal arter saptanması bazı çalışmalarda fetal büyüme geriliği ile ilişkilendirilmiş iken bazı çalışmalarda bu ilişki gösterilememiştir.
Maternal Faktörler-Makrozomi • Annede pregestasyonel veya gestasyonel diyabet varlığı normalden fazla fetal gelişim ile ilişkilidir. Diyabete bağlı maternal hiperglisemi, fetusta insülinin artmış sekresyonuna neden olarak fetusta kas gelişimine, artmış yağ depolanmasına ve organomegaliye yol açar. • İleri anne yaşı ve obezite normalden fazla fetal büyüme için diğer risk faktörleridir
• İNTRAUTERİN GELİŞME GERİLİĞİNİN EN SIK NEDENİ PLASENTAL YETMEZLİKTİR. !! • IUGR’YE YOL AÇAN PLASENTAL ANOMALİ PLASENTA CIRCUMVALLATA !!
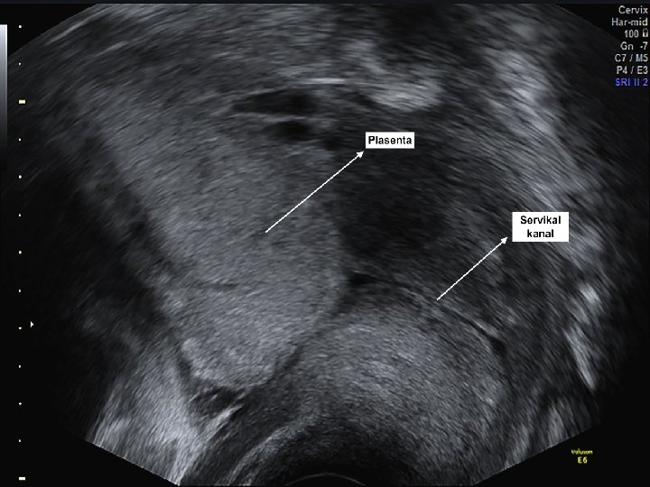
FETAL BÜYÜME BOZUKLUKLARINDA TARAMA VE TANI • Fetal büyüme bozukluklarının taranmasında medikal ve obstetrik öyküyü takiben fizik muayenede gebeliğin 24 - 38. haftaları arası uterus fundus yüksekliğinin ölçümü kullanılmaktadır. • Anormal fetal büyüme tipik olarak ultrasonografide fetusun güncel biyometrik ölçümleri ile gestasyonel yaş için beklenen biyometrik ölçümleri arasında tutarsızlık olması ile tanınır. • Tanı büyük ölçüde doğru gebelik haftasını belirlemeye bağlıdır!
• Anormal biyometri saptanan hastalarda anormal fetal büyümenin fetal, plasental veya maternal nedenlerinin belirlenmesi amacıyla klinik ve ultrasonografik muayene yapılması gerekir. • Tahmini fetal ağırlığın saptanması için birçok formül önerilmiştir. • Bu formüllerin birçok parametre içermesine (biparietal çap, oksipitofrontal çap, baş çevresi, femur uzunluğu, abdominal çap ve abdominal çevre) karşın tahmini fetal ağırlıkta yanılma ortalama %10 -15 arasındadır ve bu oran %25’e kadar çıkabilmektedir.
• Gebelik yaşının tespitinde erken gebelikte en değerli ultrasonografik ölçüm parametresi CRL’dir. • İkinci trimesterda ise BPD ve HC daha doğru sonuçlar verir. • Üçüncü trimesterda ise en değerli ölçüm AC’dir. AC fetal büyüme ve ağırlık için en değerli parametredir.
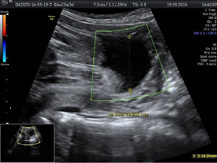
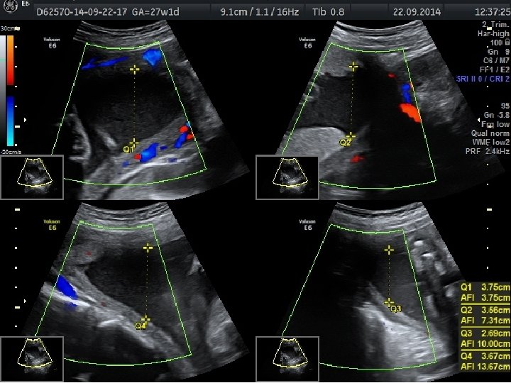
FETAL BÜYÜME BOZUKLUKLARINDA TAKİP VE DOĞUM • Günlük pratikte gelişme gerilikli fetusların takibi, ultrasonografi ile fetal biyometri ve amniyotik sıvı miktarının belirli aralıklarla ölçülmesi ile ve nonstres test veya biyofizik profil gibi antepartum fetal iyilik hali testleri ile yapılmaktadır. • Plasental yetmezliğe bağlı gelişen fetal gelişme geriliğinde standart fetal izlem ile birlikte fetal arterial/venöz dolaşımın Doppler değerlendirmesinin nonstres test ve biyofizik profili ile birlikte kullanımının daha iyi fetal sonuçlar ile ilişkili olduğu gösterilmiştir.
NST
BFP Skorlama 10 8 6 4 Normal Tekrar edilmesi gereken şüpheli Anormal
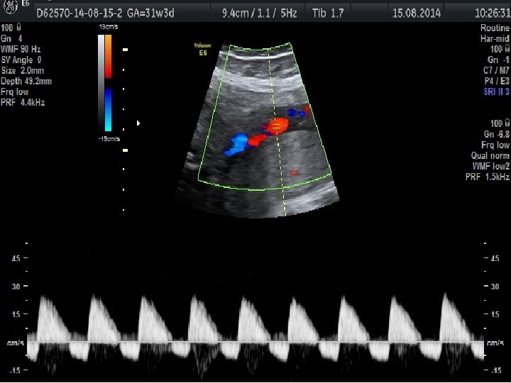
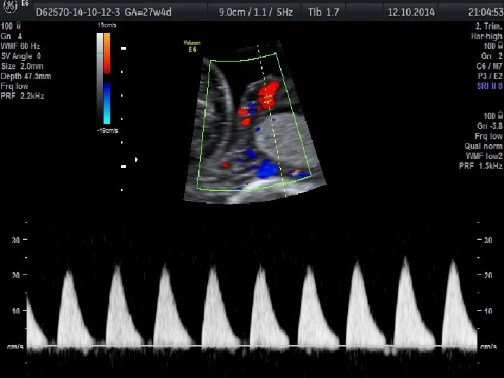
Obstetrik Doppler Ultrasonografi • Umblikal arter Doppler’i en yaygın olarak kullanılan fetal Doppler değerlendirmesidir ve en fazla kullanılan Doppler parametresidir. • Orta serberal arter Doppler • Umblikal arter Doppler değerlendirmesinde direnç artışı, diyastol sonu akımda kayıp veya ters dönme saptanması , artmış perinatal mortalite hızı ile ilişkili olmakla birlikte fetal gelişme geriliği olgularında doğum zamanlamasının belirlenmesini de etkilemektedir.
• Duktus venosus Doppler’inin kötü perinatal sonuçları tahmin etmedeki katkısı sınırlı olmakla birlikte yenidoğan sonuçlarını öngörmede en önemli kardiyovasküler parametre duktus venosus Doppler’idir.
Eğer akım transdu sere doğru ise, yol uzunluğu kısadır ve geri dönen frekans yu ksektir. Eğer akım transdu serden uzaklaşıyorsa, yol uzar ve geri dönen frekans azalır.
• Gelişme geriliği olan fetusların optimal doğum zamanı altta yatan etyolojik faktöre, gestasyonel yaşa, maternal ve fetal duruma göre değişmekle birlikte bu fetuslarda iyatrojenik preterm doğum sıklığı artmıştır. • Bu hastaların yönetimi hastaya özel ve multidisipliner yaklaşımla ele alınmalıdır. Fetal gelişme geriliği tek başına sezaryen ile doğum endikasyonu olmamakla birlikte doğum şekli birçok klinik faktöre bağlı değişmektedir.
• Fetal gelişme geriliğinde doğum zamanlaması hakkında iki strateji öne sürülmüştür: 1) izole fetal gelişme geriliği olan olgularda 38+0 -39+6 gebelik haftasında doğum 2) ek risk faktörü olan fetal gelişme geriliği olan olgularda 34+0 -37+6 gebelik haftasında doğum (oligohidramnios, anormal umblikal arter Doppler bulgusu, maternal risk faktörleri gibi)
• Fetal gelişme geriliğinde doğum 34 haftadan önce planlanıyor ise ideal olanı perinatoloji konsültasyonu sonrası doğumun yenidoğan yoğun bakım ünitesi olan merkezlerde planlanmasıdır. • Ayrıca doğumdan önce antenatal kortikosteroidlerin uygulanması ve 32 haftadan önce doğum planlananlarda fetal ve neonatal beyin koruyucu etki nedeniyle magnezyum sülfat tedavisi başlanması daha iyi neonatal sonuçlar alınmasını sağlayacaktır.
LGA • Normalden fazla fetal büyüme saptanan fetusların antenatal izlemi ve doğum zamanlaması altta yatan etyolojik faktöre göre değişmektedir. • Gestasyonel veya pregestasyonel diyabete bağlı makrozomi saptanan hastalarda diyet, egsersiz, insülin ve diğer antihiperglisemik ajanlar ile glisemik kontrolün sağlanması, nonstres test ve biyofizik profili gibi periyodik antenatal testlere gebeliğin 3. trimesterinde başlanması (sıklıkla 32. hafta) daha iyi fetal ve neonatal sonuçlar ile ilişkilidir.
• Bu hastaların yönetiminde, geç dönem intrauterin ölüm, büyümenin devam etmesine bağlı omuz distosisi ve sezaryen doğumdan kaçınmak için doğum indüksiyonun optimal zamanlaması hakkında kanıta dayalı öneri yapabilecek yeterli veri yoktur. Buna rağmen iyi glisemik kontrolü olan gestasyonel diyabetli hastalarda elektif doğum indüksiyonun 39. gebelik haftasından önce planlanmaması gerektiği konusunda görüş birliği mevcuttur. • Omuz distosisine bağlı doğum yaralanması riskini azaltmak için diyabetik gebeliklerde planlı sezaryen ise tahmini fetal ağırlık ≥ 4500 gr olduğu durumlarda önerilmelidir.
FETAL BÜYÜME BOZUKLUKLARI İLE İLİŞKİLİ KOMPLİKASYONLAR • Fetal büyüme bozuklukları gebelik komplikasyonları için bir göstergedir ve bu fetuslarda özellikle artmış pretem doğum oranları erken ve geç dönem morbidite ve mortaliteyi arttırmaktadır • Fetal gelişme geriliği ölü doğum riskini önemli oranda arttırmaktadır.
• 32 -42 hafta arası canlı doğumlarda serebral palsi oranları, fetal büyüme standart eğrilerine göre 10. persentilin altı doğum ağırlığına sahip yenidoğanlarda, 25 -75. persentil arasındaki doğum ağırlığına sahip yenidoğanlara göre 4 -6 kat fazladır. • Benzer şekilde doğum ağırlığı 97. persentilin üzerinde olan yenidoğanlarda serebral palsi oranları 1, 5 - 3 kat daha fazladır
• Gelişme geriliğinin kendisi ve gelişme geriliğine bağlı gerçekleştirilen iyatrojenik preterm doğum ile ilişkili diğer neonatal morbiditeler polistemi, hiperbilirubinemi, kronik hipoksi, hepatik glikojen depolarının azalmasının sonucu oluşan hipoglisemi, hipotermi, intraventriküler hemoraji, nekrotizan enterokolit, sepsis ve respiratuvar distres sendromudur.
• Normalden fazla büyüme ilişkili erken dönem sonuçlar maternal pelvis ve fetus arasındaki uyumsuzluğa bağlı doğum travmasını içerir. • Makrozomik fetuslarda en sık görülen yaralanma tipi doğum eylemi ve doğum sırasında fetal boynun lateral ekstansiyonuna bağlı oluşan brakial pleksus yaralanmasıdır. • Normalden fazla fetal büyüme ilişkili neonatal morbiditeye yol açan diğer etkenler ise polistemi, hipokalsemi, hiperbilirubinemi , fetal hiperinsülinemi ve hipoksi sonucu oluşan hipoglisemidir.
Uzun dönem sonuçlar • Epidemiyolojik çalışmalar gelişme geriliği olan fetusların çocukluk çağında zihinsel gelişimde gecikmeye ve erişkin hayatta obezite, tip II diyabetes mellitus, koroner arter hastalığı ve inme gibi hastalıklara yatkınlığı olduğunu göstermiştir. • Makrozomik bebeklerde de erişkin dönemde obezite, tip II diyabet ve kardiyovasküler hastalıkların daha sık görüldüğünü gösteren çalışmalar mevcuttur.
TARTIŞMA
SORULAR • İntrauterin gelişmeyi etkileyen hormon hangisidir? A)tiroksin B)İnsülin C)Glukagon D)ACTH E)Epinefrin
• Aşağıdakilerden hangisi intrauterin gelişme geriliğine yol açan bir etken değildir? A) Annenin daha önceden doğum yapmış olması B) Enfeksiyöz hastalıklar C) Uterin kan akımının azalması D) Plasental transportun bozulması E) Annenin normalden az kilo alması
• Termde intrauterin gelişme geriliğinde en uygun yaklaşım hangisidir? A) Hemen doğum B) Biyofizik skor ile takip C) Doppler ve NST takibi D) Amnion miktarına göre doğum E) Kontraksiyon stres test
• Aşağıdaki problemlerden hangisi çok düşük doğum ağırlıklı infantların kısa dönem sorunları arasında yer almaz? A) Respiratuvar Distres Sendromu B) Nekrotizan Enterokolit C) Periventriküler lökomalazi D) Strabismus E) Patent duktus arteriosus
Aşağıdaki fetal damarların hangisinde oksijen satürasyonu en yüksektir? A) Ductus venosus B) Arteria umbilicalis C) Vena cava inferior D) Vena pulmonalis E) Ductus arteriosus
TEŞEKKÜRLER. .
- Slides: 71