Femoral neck fracture Speaker Modular Patient profile n


































- Slides: 34
Femoral neck fracture Speaker : 骨科 林愈鈞 Modular : 簡松雄 主任
Patient profile n n Name:游 XX 菊 Gender: Female Age: 59 years old Chart number: 02766663
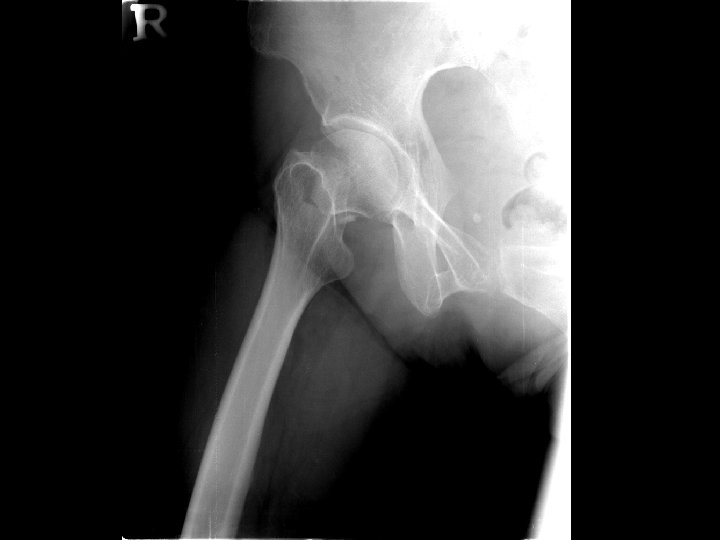
Chief complaint n Right hip painful deformity
Present illness n n The 59 year-old female was a victim of hypertension before. On 95. 3. 7, she suffered from slipped down and felt right hip pain and can’t walk. She was brought to our OPD for help. Severe pain with limited ROM was noted.
Physical examination n n Tenderness, swelling of the right hip ROM limitation (+), severe pain when moving
Past history n n n Diabetes mellitus: (-) Hypertension: (+) Drug allergy: denied Medication history: (-) Operation history: (-) Admission history: (-)
Tentative diagnosis n Right femoral neck fracture, Garden type III
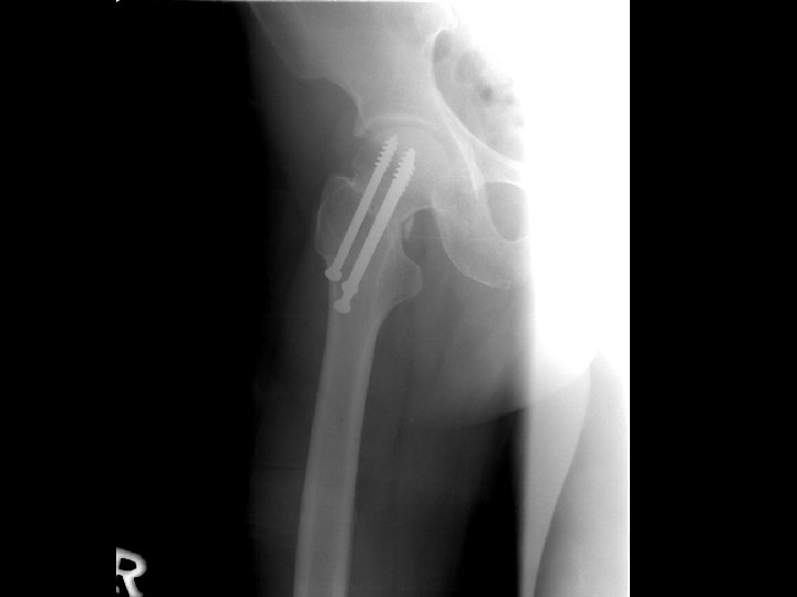
Plan n Arrange open reduction and internal fixation with three cannulated screws
EBM Discussion
Evidence-Based Medicine n n Patient : A 59 y/o female was a case of femoral neck displaced fracture, right hip Intervention : Open reduction and internal fixation Comparison : Arrangement of arthroplasty Outcome : Open reduction and internal fixation was better than arthroplasty of the outcome
Evidence-Based Medicine n n n One Question Sentence: Can open reduction and internal fixation be better than arthroplasty for the patient with femoral neck displaced fracture? Type of Question: Therapy Ideal Study type: SR of RCT or High-Quality RCT Feasible Study type: SR of RCT or High-Quality RCT Search Strategy Design : Database : Pub. Med Key words and search tactics: PCL + Avulsion fracture
JAAOS 2005; 13 P 220 -229
Search Strategy Design
Abstract 1 n n n Internal fixation versus arthroplasty for intracapsular proximal femoral fractures in adults. [Systematic Review] Cochrane Database of Systematic Reviews. 1, 2006. This version 1 st published online: 22 April 2003 in Issue 2, 2003.
Abstract 1 n n Search strategy: MEDLINE (1966 to January 2002), EMBASE (1988 to 2002, Week 2), Current Contents (1993 to 2002, Week 4), PREMEDLINE (January 2002) and selected orthopaedic journals and conference proceedings, and reference lists of relevant articles. Selection criteria: All randomised and quasirandomised trials comparing internal fixation with arthroplasty for intracapsular hip fractures in adults
Abstract 1 n Thirteen trials involving 2091 patients were included n Main results : ★ Internal fixation had a reduced length of surgery, operative blood loss, need for blood transfusion and risk of deep wound infection. ★ Arthroplasty had a lower re-operation rate and total cost in comparison with fixation. ★ No definite differences for hospital stay, mortality, degree of residual pain, regain of mobility or regain of same residential state were found ★ Hip and other composite scores : ORIF v. s Hemiarthroplasty No difference ORIF v. s THR Better in the THR group
Abstract 1 n Conclusions: ★ Internal fixation is associated with less initial operative trauma but has an increased risk of re-operation on the hip ★ Definite conclusions cannot be made for differences in pain and residual disability between the two groups. ★ The attending physician should choose the method which they feel is most appropriate for each individual patient.
Abstract 2 n n n Internal fixation compared with arthroplasty for displaced fractures of the femoral neck: a meta-analysis (Structured abstract) Centre for Reviews and Dissemination University of York, U. K. This version 1 st published online: Journal of Bone and Joint Surgery. American volume, 2003; 85 -A(9): 1673 -1681.
Abstract 2 n Outcomes assessment : Mortality, revision surgery, pain, function, complications (wound infection, hip dislocation, nonunion, avascular necrosis and post-operative confusion), blood loss and surgical time taken
Abstract 2 n n Search strategy: MEDLINE (1969 to June 2002); Science Citation Index and the Cochrane Controlled Trials Register; Four orthopaedic journals were handsearched (1998 to June 2002); bibliographies of two orthopaedic textbooks, and poster presentations of three orthopaedic societies (1996 to 2002). Selection criteria: Randomised or quasi-randomised trials study; Patients aged 65 years or older who had a displaced femoral neck fracture
Abstract 2 n n Twelve studies and two abstracts were eligible for inclusion (n=1, 933) Result : ★ Mortality No significant difference ★ Revision surgery Arthroplasty significantly reduced the risk ★ Pain & function No significant difference ★ Infection Arthroplasty was significantly increased ★ Blood loss & surgical time Arthroplasty was significantly increased
Abstract 2 n Conclusions : Arthroplasty significantly reduces the risk of revision surgery at the cost of greater infection rates, blood loss and operative time.
Abstract 3 n n Comparison of internal fixation with total hip replacement for displaced femoral neck fractures: randomized, controlled trial performed at four years The Journal of Bone and Joint Surgery, American volume Volume 87 -A(8), August 2005, p 1680– 1688
Abstract 3 n n Methods : 102 patients (mean age, eighty years) were randomly allocated to be treated with total hip replacement or internal fixation. Inclusion criteria : an age of at least seventy years, absence of severe cognitive dysfunction, an independent living status, and the ability to walk independently. The main outcome measurements were hip complications, reoperations, hip function, and healthrelated quality of life. Forty-eight-month follow-up evaluation
Abstract 3 Results: THA : ORIF at the forty-eight-month follow -up evaluation n Mortality rate 25% in both groups. – No significant difference n Rate of hip complications 4% : 42% (p < 0. 001) n Reoperation rates 4% and 47%, respectively (p < 0. 001) n The arthroplasty group had no additional hip complications or reoperations between the 24 ~48 month follow-up visits. In the fixation group, the percentage of hip complications increased from 36% to 42% and the percentage of reoperations increased from 42% to 47% during the same period.
Abstract 3 n n The hip function was significantly better and the decline in health-related quality of life was less pronounced in the arthroplasty group than it was in the fixation group at the 4, 12, and 24 month follow-up evaluations. 97% of the patients in the arthroplasty group and 57% of the patients in the fixation group who were available for follow-up at forty-eight months had no hip complications (p < 0. 001).
Abstract 3 n n n Conclusions: Compared with internal fixation, primary total hip replacement provides a better outcome for mentally competent elderly patients with a displaced femoral neck fracture. The complication and reoperation rates were significantly lower and hip function and health -related quality of life were at least as good at four years after the surgery.
Applicability
Thank You for Your Kind Attention