FATORES DE RISCO Migrao alto risco baixo risco
FATORES DE RISCO • • • Migração (alto risco → baixo risco); Exposição a luz solar (vit. D); Fatores estressores; Agentes infecciosos (EBV); Gestação; Tabagismo (RR → SP)
EM X GENÉTICA • Mais comum em brancos; • Suscetibilidade é poligênica; • Cromossomo 6 – MHC – II • • DR 15*1501 DRB 5*0101 DQA 1*0102 DQB 1*0602
SINAIS E SINTOMAS • Pode ser assintomática – 0, 1% • Quatro formas clínicas – Remitente recorrente (RR) – 80%; – Secundariamente progressiva (SP); – Primariamente progressiva (PP); – Recidivante progressiva
ESCALA DE INCAPACIDADE
SURTO/RECORRÊNCIA • Disfunção aguda do SNC; • Dura pelo menos 24 h; • Ausência de febre/alteração metabólica; Todos os eventos que ocorrem DENTRO DE UM MÊS são únicos!!!
REMISSÃO • Melhora ou desaparecimento dos sintomas; • Duração mínima de 24 h; Para ser significativa, deve durar pelo menos 30 dias!!!
SÍNDROME CLÍNICA ISOLADA (CIS) • Primeiro episódio de disfunção neurológica sugestiva de desmielinização no SNC; • Mono x multifocal; • Manifestações – Neurite óptica; – Mielite transversa; – Sd tronco encefálico; – Sd hemisférica; – Sd cerebelar • 30 -70% evoluem para MS definida.
SINTOMAS
SINTOMAS
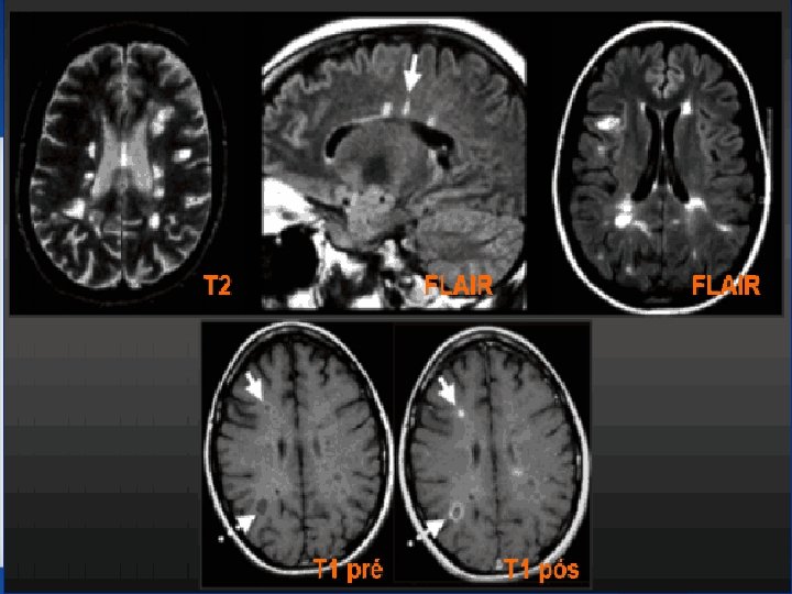
DIAGNÓSTICO • História – Episódios prévios (Sd clínica isolada) – História familiar • Exame físico – Evidência objetiva (Sd neurônio motor superior) • Testes adicionais – MRI – CT – Banda oligoclonal – Potencial evocado visual
T 1 PRÉ/PÓS CONTRASTE
PEV
PEV
LÍQUOR •
LÍQUOR
DX DIFERENCIAL • Infecções – Doença de Lyme, Sífilis, Leucoencefalopatia multifocal progressiva, HIV, HTLV-1 • D. Inflamatórias – LES, S. Sjögren, vasculites, sarcoidose, Doença de Behçet • D. Metabólicas – Degeneração combinada subaguda (def B 12), adrenoleucodistrofia, doenças mitocondriais (MELAS, CADASIL), outras doenças genéticas • Neoplasias – Linfoma de SNC • Doenças Medulares – Malformações, doenças mielodegenerativas
TRATAMENTO
TERAPIAS • • • Glicocorticóides (surto) Imunomoduladores Imunossupressores Plasmaferese Imunoglobulina Transplante autólogo
SURTO • Glicocorticóide EV – Metilprednisolona 1 g EV/ dia de 3 -5 dias • Ações – Reduz a inflamação – Diminui citocinas pró-inflamatórias – Diminui proliferação de células T e B • Não há diferença na recuperação – Ocorre mais rápido • Diminui o risco de progressão
IMUNOMODULADORES • Interferon Ia • Copolímero-1 (Copaxone) – Menos efeitos colaterais Monitorar: • Interferon beta Ib • Hemograma; • F(x) hepática; • Interferon beta Ia • TSH. • Glatirâmer • Efeitos colaterais – Necrose cutânea – Sd flu-like – Gravidez/depressão => critérios de exclsão – Agravamento da espasticidade – Fenômenos auto-imunes
TX CÉLULAS TRONCO • “Formatar” o sistema imune; • Imunossupressor + Rx. T corpo inteiro; • Reimplante de células tronco do próprio indivíduo • Indicações – Secundariamente progressiva – Primariamente progressiva
PROGNÓSTICO • Curso variável • CIS = neurite óptica + 3 lesões MRI => 51% MS em cinco anos • 1 -3 leões x mais de 20 => mesmo prognóstico • Bom px – Sexo feminino – Jovens – Pouco défciti em 5 anos.
PROGNÓSTICO • Mau prognóstico – Homens – Negros – Elevada idade de início – Surtos frequentes no início – Pequeno intervalo entre 1º e 2º surtos – Recuperação incompleta do 1º surto – 1º surto com acometimento cerebelar – Formas progressivas
NEUROMIELITE ÓPTICA • Doença de Devic • Considerada “variante de MS” • Hoje – Canalopatia imunomediada – Anticorpo sérico anti-AQP 4
VARIANTE DE MARBURG • “MS aguda” • Processo desmielinizante fulminante; • Morte em 1 -2 anos
« Symptômes, sont en réalité rien d'autre que les pleurs de la souffrance organes » Obrigado
- Slides: 35