Fall 35 24 Jahre alte Frau Mit 5

























- Slides: 25
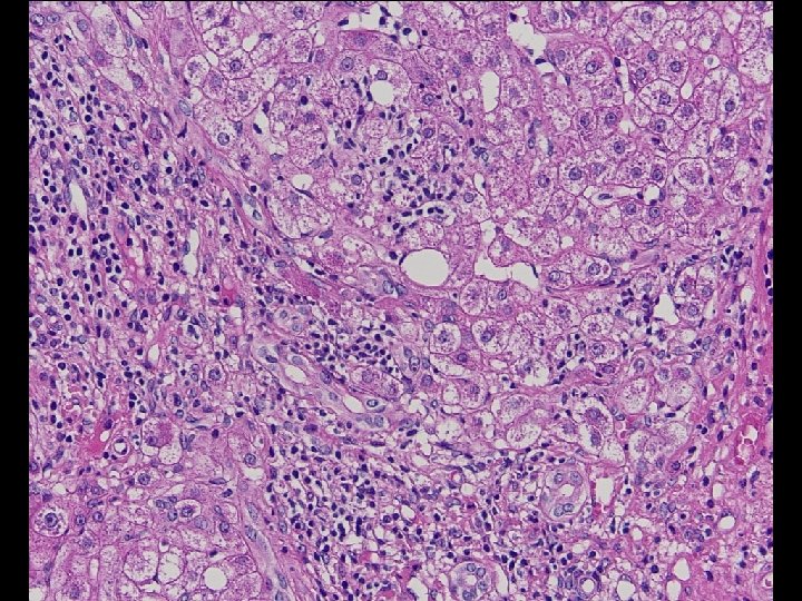
Fall 35 24 Jahre alte Frau. Mit 5 Jahren Exstirpation eines Kraniopharyngeoms; seit dieser Zeit Diabetes insipidus centralis und aggressive Verhaltensstörung. Schwer behinderte Patientin. Langjähriger Diabetes mellitus Typ IIb, Adipositas permagna. Mit 22 Jahren Kolonkarzinom. Aktuell: Computertomografisch Verdacht auf beginnende Leberzirrhose. Transaminasenerhöhung.
IAP-08 -28
IAP-08 -28
IAP-08 -28
IAP-08 -28
IAP-08 -28
Ubiquitin IAP-08 -28
Fall 33: NASH mit Zirrhose
NAFLD NAHS - Häufigste Lebererkrankung im Westen (20 -40% der Bevölkerung betroffen), - Alkoholkonsum < 20 g/Woche NASH Fibrose Zirrhose - NAFLD mit Entzündung - Assoziiert mit metabol. Syndrom,
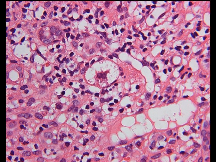
10 -jähriges Kind, erhöhte Leberenzyme
Diagnose einer NASH (Mindestkriterien) • Überwiegend makrovesikuläre, Läppchenzentren betreffende Steatose, die im Stadium der Zirrhose aber verschwinden kann; • Milde Infiltration des Leberparenchyms durch neutrophile Granulozyten und Rundzellen; • Ballonierung der Hepatozyten.
10 -jähriges Kind, erhöhte Leberenzyme IAP-08 -28
Zusatz-Kriterien für NASH • • • Mallory-Hyalin Glykogen-Lochkerne Perisinusoidale Fibrose der Zone 3 Megamitochondrien (Adoleszenten) portale lymphozytäre Entzündung.
NAFLD des Kindesalters • NAFLD/NASH ist die häufigste Lebererkrankung im Kindesalter. • Die Häufigkeit nimmt stetig zu. • Insulin-Resistenz/metabol. Syndrom ist der Haupt-Risikofaktor • Häufig eine portale Betonung der Entzündung und portale Fibrose.
Tabelle 3. NASH Clinical Research Network Scoring System (I) NASH-Aktivitäts-Score (NAS) Grad der Steatosis Lobuläre Entzündung Hepatozytäre Ballonierung 0: <5% 0: Keine 1: 5 -33% 1: 2 Foci/20 x. Feld 1: Leicht, wenige Zellen 2: 34 -66% 2: 2 -4 Foci/20 x. Feld 2: Mäßig – stark, viele Zellen 3: >66% 3: > 4 Foci/20 x. Feld NAFLD Aktivitäts-Score (NAS): 0 -8 Steatose (0 -3) + Lobuläre Entzündung (0 -3) + Ballonierung (0 -2) < 3 = keine NASH, ≥ 5 = sichere NASH
Tabelle 3. NASH Clinical Research Network Scoring System (II) Fibrose (mit Masson´s Trichrom-Färbung) 0: Keine 1 a: Leichte Zone 3 perisinusoidale Fibrose, nur bei Trichrom Färbung zu sehen 1 b: Mäßige Zone 3 perisinusoidale Fibrose, kann gesehen werden mit H&E 1 c: Nur portale Fibrose 2: Zone 3 perisinusoidale Fibrose und periportale Fibrose 3: Verbrückende Fibrose 4: Zirrhose
Differentialdiagnose der NASH (Beispiele): - Alkoholische Lebererkrankung (Fall 32) - Medikamente: Amiodarone (Fall 34), Tamoxifen, Steroide, hoch aktive antiretrovirale Therapie=HAART (Fall 31) - Virale Hepatitis HCV (Typ 3 a!) - Ernährungsassoziierte Erkrankungen: Totale parenterale Ernährung, Bariatrische Chirurgie -Nicht-insulin-assoziierte metabolische und endokrine Erkrankungen Wilson-Krankheit (Fall 1)
Patientin mit Chemotherapie bei Mamma-Ca (CASH)
Parameter NASH Makrovesikuläre Steatose +++ + Ballonierung der Hepatozyten +++ ++ Neutrophil-granulozytäre Infiltrate im Parenchym + +++ Zone 3 perisinusoidale Fibrose ++ ++ Glykogenlochkerne periportal +++ + Mallory-Hyalin der Zone 3 + +++ Satellitose - +++ Portale Inflammation + (Adult) ++ (Adoleszenz) + Sklerosierende hyaline Nekrose Zone 3 (+) ++ Veno-okklusive Läsion - ++ Duktuläre Proliferation - ++ Cholangiolitis - + Akute Cholestase - + GOT/GPT <1 >2 Metabolisches Syndrom +++ ?
Antworten (46) • Zirrhose, reg. Hyperplasie (x 13) • Akute Virushepatitis (x 1) • NASH, Zirrhose (x 18) • Tox. Zirrhose (x 2) • Makroreg. Knoten (x 2) • - (x 3) • FNH (x 3) • NRH (x 2) • HCC (x 1) © Relevanz der NASH-Scores für die Therapie?