Facolta di Medicina e Chirurgia Anno Accademico 2007


























- Slides: 26
Facolta’ di Medicina e Chirurgia Anno Accademico 2007 -8 CHIRURGIA TORACICA Prof. Marcello Migliore Empiema pleurico
EMPIEMA PLEURICO Definizione E’ un processo suppurativo a carico delle sierose pleuriche dovuto all’insediamento di germi che provocano un’infiltrazione di granulociti neutrofili con formazione e raccolta nello spazio pleurico di essudato purulento. La cronicizzazione di un empiema è dovuta o ad un ritardo nella diagnosi o ad un trattamento inadeguato o a continue reinfezioni
EMPIEMA PLEURICO I microorganismi più frequentemente responsabili dell’empiema sono Staphylococcus aureus Streptococchi Gram-negativi
EMPIEMA PLEURICO Eziopatogenesi E’riconducibile a 3 gruppi principali: 1 Contaminazione pleurica 2) Inoculazione diretta nel cavo pleurico 3) Infezione pleurica per via ematogena
EMPIEMA PLEURICO Eziopatogenesi Contaminazione pleurica duvuta da parte di focolai suppurativi a sede in organi contigui (60%). Il polmone è il più frequentemente in causa con processi polmonitici (empiema metapneumonico, 50% dei casi) ascessi polmonari e brochiectasie; altre fonti possibili sono il mediastino (mediastinite da rottura esofagea post-traumatica o strumentale iatrogena; molto raramente linfoadeniti mediastiniche) e piuttosto infrequentemente la loggia cervicale posteriore profonda o infezioni della parete toracica o della colonna vertebrale.
EMPIEMA PLEURICO Eziopatogenesi Inoculazione diretta nel cavo pleurico (35 -39%). In tal caso l’infezione avviene per inoculo diretto dei germi, iatrogeno (interventi chirurgici sul torace, VATS, toracentesi, tubi di drenaggio, ecc. . . ), post-traumatico (lesioni traumatiche aperte) o per presenza di fistola bronco-pleurica o rottura di bolle subpleuriche. Infezione pleurica per via ematogena (1%). In questi rari casi il focus infettivo si trova distante dal cavo pleurico dove giunge e si localizza per via ematogena (fenomeno setticopiemico); esempio classico l’osteomielite.
EMPIEMA PLEURICO American Thoracic Society ATS • Stadio 1: fase essudativa Caratterizzata da essudazione delle membrane pleuriche e formazione di un sottile strato di essudato (empiema libero); si ha deposizione di fibrina sulle superfici pleuriche ma, per quanto vi sia anche una precoce proliferazione angiofibroblastica, lo strato di essudato non è abbastanza spesso da impedire la riespansione del polmone se e quando svuotato il cavo pleurico.
EMPIEMA PLEURICO American Thoracic Society ATS · Stadio 2: fase fibrino-purulenta. I depositi di fibrina sulle superfici pleuriche ed in particolare sulla pleura parietale divengono cospicui con formazione di tralci e sacche (empiema saccato), l’essudato diviene torbido o francamente purulento ma la pleura rimane relativamente integra ed il polmone, sebbene meno mobile, può essere ancora riespanso.
EMPIEMA PLEURICO American Thoracic Society ATS Stadio 3: fase di organizzazione. Dopo 3 -4 settimane la persistente infiammazione determina un’infiltrazione massiva di fibroblasti con neoformazione di tessuto di granulazione e deposizione di fibre collagene, a costituire veri e propri sepimenti connettivali. Entrambi i foglietti pleurici si ispessiscono e, da sottili e lucenti quali normalmente sono, divengono scabri e di colorito opaco fino ad assumere la conformazione di lamine connettivali - cosiddette cotenne pleuriche - dello spessore di 1 -2 cm (si assiste perfino ad una neofomazione arteriolare, ad opera degli angioblasti, in seno alla reazione fibrosa).
EMPIEMA PLEURICO Col tempo, tali cotenne, per fenomeni di sclero-jalinosi, si irrigidiscono sempre più e tendono a chiudersi per retrazione della parete toracica, quadro caratteristicamente chiamato “fibrotorace”. Il polmone rimane “incarcerato” all’interno di tale spessa corteccia fibrosa e non può essere riespanso se non decorticato.
EMPIEMA PLEURICO Oltre al fibrotorace, più frequente complicanza, è opportuno citare il drenaggio spontaneo Empiema necessitatis, condizione in cui l’essudato purulento si fa strada attraverso i tessuti molli della parete toracica fino alla cute Fistola bronco-pleurica, condizione in cui l’essudato purulento erode la parete di un bronco e si riversa nell’albero tracheo-bronchiale con espettorato (vomica).
EMPIEMA PLEURICO Quadro clinico Nelle forme acute la sintomatologia è caratterizzata da uno stato tossinfettivo con rialzo termico accompagnato da tachicardia, dolore toracico, dispnea, tosse, prostrazione con astenia intensa emoftoe per la congestione polmonare
EMPIEMA PLEURICO Quadro clinico Nelle forme croniche il paziente continua ad avere febbre con stato tossico generale, tosse e dispnea; compaiono anemia, pallore, anoressia e calo ponderale, ipoproteinemia, VES elevata.
EMPIEMA PLEURICO Quadro clinico All’esame obiettivo del torace si rileva: • Ispezione: riduzione delle escursioni respiratorie nell’emitorace interessato che si presenta ipomobile o immobile. • Palpazione: riduzione o abolizione del fremito vocale tattile. • Percussione: ipofonesi plessica (con possibile linea di Damoiseau-Ellis) • Ascoltazione: murmure vescicolare lontano o abolito, possibile la presenza di soffio bronchiale e sfregamenti pleurici.
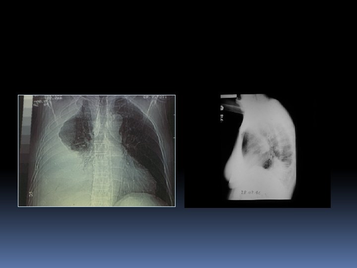
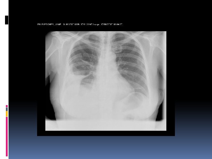
EMPIEMA PLEURICO Diagnosi Esame Radiografico del torace: mette in evidenza un’ipodiafania dell’emitorace interessato (con possibile margine laterale che si innalza fino all’ascella); possibile la presenza di livelli idroaerei per produzione di gas da parte dei batteri. In laterale può evidenziarsi, negli empiemi a sede postero-laterale, il segno tipico di un’opacità posteriore a forma di D -invertita (pregnant lady sign). Negli empiemi saccati l’ipodiafania appare come un’opacità simil-parenchimale.
EMPIEMA PLEURICO Diagnosi Esame TAC torace: mette in evidenza la presenza delle sacche di versamento è l’ispessimento della pleura viscerale Esame culturale del liquido pleurico: Spesso la diagnosi è intraoperatoria
EMPIEMA PLEURICO Trattamento Innanzitutto va instaurato un trattamento medico con antibioticoterapia, per controllare l’eventuale infezione primitiva alla base e terapia di supporto nutrizionale e delle condizioni generali
EMPIEMA PLEURICO VATS Essenziale per un trattamento adeguato e per prevenire la cronicizzazione è un drenaggio adeguato del cavo pleurico che permetta al polmone di riespandersi (obliterando il cavo pleurico) e che oggi viene attuato con chirurgia miniinvasiva. La VATS (Video Assisted Thoracic Surgery) permette di • evacuare completamente il contenuto dell’empiema • operare un’adeguata toilette • rottura delle eventuali sacche formatesi ed asportazione dello strato di fibrina dalla superficie del polmone • inserire visivamente il tubo di drenaggio nella posizione più appropriata
EMPIEMA PLEURICO VATS Tale procedura può essere, inoltre, messa in atto in anestesia locale potenziata (con sedazione più o meno marcata), (pazienti ad alto rischio). E’ importante che il drenaggio sia chiuso (con valvola ad acqua tipo Bulau), di diametro sufficiente e declive.
EMPIEMA PLEURICO Trattamento Nelle forme cronicizzate in cui, nonostante il drenaggio del cavo empiematico, non si ottenga la riespansione del polmone per l’avvenuta formazione di cotenne pleuriche occorre attuare l’intervento chirurgico di decorticazione pleurica, ossia l’asportazione della pleura viscerale ispessita dal polmone