Explorarea radioimagistica in patologia hepatobiliara In functie de
Explorarea radioimagistica in patologia hepato-biliara
In functie de indicatii –accesibilitate: Metode principale: § Ecografia; § Radiografia abdominala simpla; § Scintigrafia; § Computer tomografia; § Colangio-colecistografia § § Metode complementare: IRM; Angiografia; Duodenografia hipotona; Colangiografia directa: ERCP Percutan transhepatic § § § Metode cu scop terapeutic: Drenaj percutan; Drenaj biliar extern; Proceduri interventionale.
Algoritm de diagnosticare radioimagistica in patologia hepatica Radiografia simpla: Ø Deplasarea diafragmului: o Globala-hepatomegalie; o Focala-in leziuni nodulare pe fata diafragmatica. Ø Calcificari pe aria hepatica; Ø Prezenta de aer: o Intraparenchimatos; o Biliar; o Portal;
Ultrasonografia : -uzuala, rapida, accesibila, informativa; -ideala pentru leziuni focale cu continut fluid; -tumorile solide sint mai greu de diferentiat. Scintigrafia: -rezultate bune in indentificarea leziunilor focale; -are valoare in aprecierea volumului si configuratia hepatica; -slaba specificitate.
Computer tomografia Tehnica: -sectiuni contigui de 8 -10 mm, 5 mm pentru hil si cai biliare -nativ +contrast: cu rol in diferentierea leziunilor de parenchimul normal q Leziunile focale • Sunt de regula spontan hipodense • Incarcare mai mica decat a parenchimului hepatic Exemple: v Tumori hepatice-primitive sau secundare v Chiste; v Abcese; v Hematoame; v Steatoza.
Rezonanta magnetica -folosita complementar de regula , la pacientii care nu pot sa faca examen CT cu substanta de contrast -secventele sint alese in functie de patologie , mai utilizate fiind secventele pentru punerea in evidenta a cailor biliare (colangio-IRM)
Ciroza alcoolica
Ciroza posthepatica
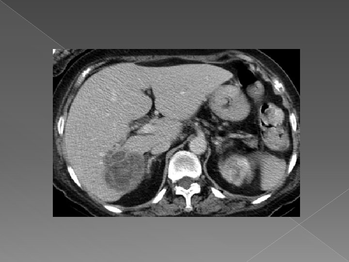
Chiste
Abces hepatic
Adenom hepatic
Hemangiom hepatic
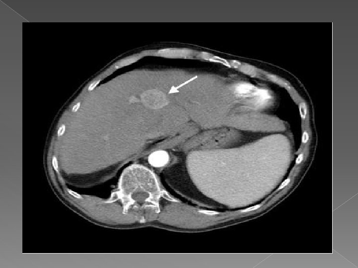
Carcinom hepatocelular
Metastaze hepatice
Radiodiagnosticul afectiunilor sistemului hepatobiliar Anatomia arborelui biliar: Ø Caile biliare intrahepatice(CBIH) isi au originea de la canaliculele intralobulare canalele perilobulare spatiile porte Ø Caile biliare extrahepatice(CBEH)constau din calea biliara principala (CBP)si vezica biliara(VB) /CBP/-segmentele hilar, intraepiploic, retrodoudenopancreatic, intraparietal. CBEH la unirea celor 2 CBIH ce formeaza canalul hepatic comun ce se intinde pana la unirea cu canalul cistic formand canalul coledoc.
Metodele pentru diagnostic Colecistografia Pregatirea bolnavului: cu 2 -3 zile se exclud celulozicelor si vegetalelor. Inainte cu o zi la 18: 00 -19: 00 se ia un prinz gras(2 oua, sunca, paine prajita cu unt). Dupa 30 min se administreaza contrastul opac, oral sau i/v Contraindicatii : -sensibilitate la iod; -hipertiroidie; -insuficienta hepatica; -insuficienta renala.
Radiografia abdominala simpla Calcificari biliare; § Vezicula de portelan; § Calcificari pancreatice; § Aerobilia-prezenta de aer in caile biliare Cauze : anastomoze biliodigestive, colecistita emfizematoaza § ü Vizualizarea CB se poate face si spontan, prin reflux al substantei de contrast in cadrul unui tranzit baritat gastroduodenal
Colecistografia orala -ofera date morfologice si functionale: functia de concentrare, rezorbtie, de contractie si evacuare a VB. Ø Examenul trebuie sa cuprinda minimum 2 incidente si administrarea unui pranz colecistochinetic(prinz gras)pentru apreciera contractiilor peretilor. ü In caz de litiaza biliara, procese inflamatorii, atonie veziculara-VB nu se contracta si astfel nu se opaciefeaza colecistografie negativa ü In icter obstructiv-colecistogrfia per osnegativa, dar colecistogrfia i/v pozitiva
Colangiocolecistografia intravenoasa Permite examinarea VB, CB incazul colecistografia per os e negativa. • Cu 24 h inaintea examinarii se testeaza sensibilitatea la iod • Dupa opcifierea. VB se administreaza prinzul colecistochinetic pt examinarea capacitatii de contractie si evacuare a VB. •
Colangiografia percutana transhepatica Se executa cand bilirubinemia depaseste 3 mg% Ø Se injecteaza substanta de contrast iodata direct in arborele biliar intrahepatic prin abord extern transparietal , sub repraj fluoroscopic ecografic acul avand o directie usor ascendenta in planul arcului costal XI Ø Se indica in bilantul icterelor obstructive de. CBPproximale �
Colangiografia peroperatorie Colangiografie transhepatica 2) Colangiografie intraoperatorie-prin punctie hepatica directa in timpul laparatomiei 3) Colangiografie pe tub Kher Indicatii: -litiaza restanta in CBPsi CBIH; -stenoza postoperatorie precoce; -fistule biliare. 1)
Colangiografia pe tub Kehr (in forma de. T cu rol de drenaj), sau prin punctie percutana transhepatica(metoda Kapandji) permite evidentierea calculilor din caile biliare, a spasmelor functionale, si a stenozelor organice(inflamatorii sau tumorale)
Colangio-pancreatografia prin endoscopie retrogrda(ERCP) Presupune reperarea si cateterizarea endoscopica a papilei Vater si injectarea directa a subst. de contrast v Permite opacifierea atit a CB cit si a celor pancreatice v Permite inspectia endoscopica, a stomacului, si duodenului, recoltarea de biopsii de la nivelul papilei. v
ERCP: metoda diagnostica si terapeuticaØ Drenajul biliar endoscopic, extragerea calculilor coledocului transendoscopic, dilatarea stenozelor, bilitomia endoscopica. v
Ecografia Avantaje: accesibilitate, cost scazut, repetabilitateamonitorizarea in timp � Dezavantaje: sensibilitate diagnostica, limitata pentru leziuni mici de. CBPdistala, litiaza de cai biliare nedilatate Ecoendoscopia-explorarea transduodenala a capului de pancreas, a. CBPsegm. distal, a reg. ampulare, a raporturilor vasculare �
Computer tomografia � � � Se realizeaza mod spiral nativ si cu contrast nonionic injectat i/v Permite un bilant complet: CB, pancreas, vase, leziu ni asociate. Buna vizualizare a portiunii intrapancreatice a. CB; a CB la pacientii obezi sau in aerocolie marcata Randament mai scazut decat ecografia in cazul litiazei biliare Metoda cu destinatie tintita , utilizata cosecutiv ecografiei
CT prin reconstructie
� Colangio CT-achizitia spirala post colangiografia transparietala. � IRM si colangiopancreatografi a prin RM-evalurea neinvaziva a arborelui biliar a parenchimului hepatic si pancreatic , struct. vasculare intra si extrahepatice
Metode radioizotopice cu Tc 99 -permit vizualizarea atit a parenchimului hepatic cit si a eliminirii biliare � Angiografia –explorarea circulatiei arteriale si venoase; q Indicatii: hemobilia, traumatismele, preoperator in chirurgia tumorala, diagnosticul extinderii vasculare sau biliare a tumorii hepatice � Arteriografia: injectarea subst. de contranst selectivin trunchiul celiac si suppraselectiv in art. hepatica si in art mezenterica superioara; abord femural retrograd. �
- Slides: 40