EXAMENUL MICROSCOPIC EXAMENUL MICROSCOPIC I PREPARATUL NATIV permite














- Slides: 14
EXAMENUL MICROSCOPIC
EXAMENUL MICROSCOPIC • I. PREPARATUL NATIV permite studierea – Mobilitatii germenilor – Morfologiei bacteriene Ø este un preparat microscopic umed, intre lama si lamela Ø examinarea microscopica se realizeaza cu microscopul optic, obiectiv mic (10 x, 20 x, 40 x), condensator coborat, microscopul cu fond intunecat, microscopul cu contrast de faza Tehnica de lucru- suspensie de germeni vii intre lama si lamela
EXAMENUL MICROSCOPIC • II. COLORATIA NEGATIVA – METODA BURRIpermite studierea – Germenilor greu colorabili – Germenilor cu capsula (Klebsiella spp. , S. pneumoniae) Coloranti : tus de China, safranina
EXAMENUL MICROSCOPIC • III. PREPARATE COLORATE permit studierea – Morfologiei germenilor – Dispozitiei germenilor – Afinitatii tinctoriale (colorabilitatea) BAZA PREPARATELOR COLORATE CONSTA IN EFECTUAREA UNUI FROTIU Etapele realizarii frotiurilor Ø etalarea Ø uscarea Ø fixarea Øcolorarea
EXAMENUL MICROSCOPIC • TIPURI DE PREPARATE COLORATE 1. COLORATII SIMPLE Ø se utilizeaza un singur colorant Ø se inlatura colorantul in exces Ø spalare, uscare Ø examinare la microscop cu obiectiv de imersie 2. COLORATII COMPUSE Ø COLORATIA GRAM Ø COLORATIA ZIEHL-NEELSEN Ø COLORATII SPECIALE
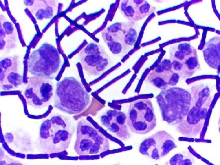
COLORATIA GRAM DIFERENTIAZA BACTERIILE GRAM POZITIVE DE CELE GRAM NEGATIVE ETAPE 1. Colorare cu violet de gentiana (2 min). Inlaturare colorant 2. Mordantare cu lugol (2 min). Spalare cu apa 3. Decolorare cu alcool-acetona (10 -15 sec) 4. Recolorare cu fuxina (2 min) 5. Spalare cu apa 6. Uscare. Examinare ls microscop cu obiectiv de imersie
EXEMPLE DE BACTERII GRAM POZITIVE SI GRAM NEGATIVE • COCI Ø GRAM POZITIV Staphylococcus spp. , Streptococcus spp Ø GRAM NEGATIV Neisseria spp. • COCOBACILI Ø GRAM NEGATIV Haemophilus spp, Acinetobacter spp.
EXEMPLE DE BACTERII GRAM POZITIVE SI GRAM NEGATIVE • BACILI Ø GRAM POZITIV Clostridium spp, Bacillus spp. , Corynebacterium spp Ø GRAM NEGATIV E. coli, Salmonella spp. , Shigella spp. , Proteus spp. , Pseudomonas spp.
• Bacil carbunos-prezenta endosporilor • Baci gram+