EXAME PERICIAL OFTALMOLGICO Carla Eugnia Mallmann 2014 objetivo
EXAME PERICIAL OFTALMOLÓGICO Carla Eugênia Mallmann 2014
objetivo do exame n n verificar presença de lesão medir as seqüelas quantificar perda funcional fazer relação de nexo-causal com acidente ou atividade (doença ocupacional)
documentos n n n n boletim de atendimento na data do acidente CAT exames complementares atestados prescrições (medicamentos ou outros) prontuário hospitalar ficha médica do trabalho
exame oftalmológico geral n inspeção (locomoção, rosto, olhos) n motilidade extrínseca n reflexos fotomotores n acuidade visual n campo visual de confrontação
inspeção
anatomia
versões motilidade cover test
anatomia
Reflexo fotomotor direto Reflexo fotomotor consensual Função: regular a intensidade de luz que entra pela pupila. O aumento de luz causa miose não só no olho estimulado como no não estimulado. luz
outros testes visuais
campo visual por confrontação
exame oftalmológico especializado refração n biomicroscopia n fundoscopia n tonometria n ceratometria n
refração
retinoscopia
biomicroscopia
córnea
cristalino
uveítes
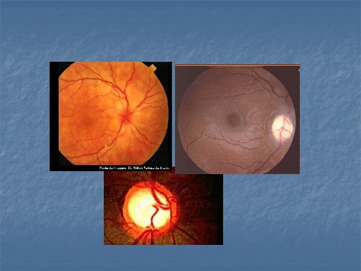
fundoscopia
tonometria
ceratometria
exames complementares n n n n campimetria angiografia fluoresceínica ecografia potencial visual evocado (PEV) eletroretinografia (ERG) tomografia de coerência óptica (OCT) citológico
campimetria computadorizada
angiografia fluoresceínica
ecografia ocular
OCT
potencial visual evocado
DOENÇAS RELACIONADAS AO TRABALHO Manual de Procedimentos para os Serviços de Saúde Série A. Normas e Manuais Técnicos; n. 114 Brasília/DF – Brasil 2001 Ministério da Saúde do Brasil Organização Pan-Americana da Saúde/Brasil
classificação legal brasileira (art. 20 da Lei 8. 213/91) n n grupo 1: doença profissional, “assim entendida a produzida ou desencadeada pelo exercício do trabalho peculiar a determinada atividade e constante da respectiva relação elaborada pelo Ministério do Trabalho e da Previdência Social; ” grupo 2: doença do trabalho, “assim entendida a adquirida ou desencadeada em função de condições especiais em que o trabalho é realizado e com ele se relacione diretamente, constante da relação mencionada no inciso I. ”
classificação de Schilling I = Trabalho como causa necessária: catarata dos vidreiros II = Trabalho como fator contributivo, mas não necessário: retinopatia hipertensiva III = Trabalho como provocador de um distúrbio latente, ou agravador de uma doença já estabelecida: conjuntivite alérgica
Ministério da Saúde Portaria nº 1339/GM em 18 de novembro de 1999.
DOENÇAS DO OLHO E ANEXOS RELACIONADAS COM O TRABALHO (GRUPO VII DA CID-10) redação dada pelo Decreto nº 6. 042, de 12 de fevereiro de 2007 - vide inciso I do art. 5º do Decreto nº 6. 042, de 2007 -- blefarite (H 01. 0) -- conjuntivite (10) -- ceratite e ceratoconjuntivite (H 16) -- catarata (H 28) -- inflamação corioretiniana (H 30) -- neurite óptica (H 46 -- distúrbios visuais subjetivos (H 46)
blefarite 1. arsênio e seus compostos arsenicais: associada a quadros dermatológicos (hiperceratose, dermatite eczematosa, ceratite hiperpigmentação e câncer de pele) 2. radiações ionizantes: radiodermites agudas ou crônicas, com blefarite e queda dos cílios 3. cimento: quadros graves, com edema e congestão palpebral, geralmente associadas à conjuntivite 4. radiação infravermelha: forjadores e outros trabalhadores em siderurgia
conjuntivite q q q q arsênio e seus compostos arsenicais berílio e seus compostos tóxicos: associada à doença pulmonar aguda ou crônica, dermatite de contato, granulomas de pele e irritação de mucosas, nasofaringite, traqueobronquite, faringite flúor e seus compostos tóxicos iodo cloreto de etila tetracloreto de carbono outros solventes halogenados tóxicos: cloreto de metileno, clorofórmio, 1, 2 -dicloroetano, tricloroetileno, 1, 1, 1 tricloroetano
q q q q q acrilatos cimento enzimas de origem animal, vegetal ou bacteriana furfural e álcool furfurílico isocianatos orgânicos radiações ionizantes: associada à síndrome de olho seco radiação ultravioleta radiação infravermelha: forjadores e outros metalúrgicos, associada ou não a catarata selênio e seus derivados tetracloreto de carbono
anatomia
ceratite e ceratoconjuntivite 1. arsênio e seus compostos arsenicais 2. ácido sulfídrico (sulfeto de hidrogênio) 3. radiações ionizantes: quadro de ceratite tipo filamentoso ou intersticial, agravado pela secura ocular 4. radiação infravermelha 5. radiação ultravioleta: arco voltaico da solda elétrica é frequente e lesivo
catarata radiação ultravioleta q radiações ionizantes: trabalhadores da indústria nuclear, fabricação de tubos de raiox, radiologistas q radiação infravermelha: vidreiros, trabalhadores de fornos de fundições ou de laminação a quente de metais q
inflamação corioretiniana na verdade leia-se “uveíte” n manganês e seus compostos tóxicos
neurite óptica q q q brometo de metila cloreto de metileno (diclorometano) e outros solventes clorados neurotóxicos tetracloreto de carbono sulfeto de carbono metanol: intoxicação aguda por ingestão - raras
distúrbios visuais subjetivos brometo de metila q cloreto de metileno e outros solventes clorados neurotóxicos q
ergoftalmia n síndrome da fadiga visual pelo computador luminescência/brilho n fixação de perto n piscamento e olho seco n
n n acuidade visual (AV) = grau de visão central ou direta eficiência visual (EV) = conjugação da visão central com a periférica, medida em cada olho separadamente e avaliada por meio de três funções: acuidade visual, campo visual e motilidade ocular n EV monocular = tabela n EV binocular: 3 X (% EV do melhor olho) + (% EV do pior olho)/4
quantificação n tabela de Snellen-Wecker
definições § visão subnormal: 0, 1 (20/200) ou campo entre 20 e 50º § cegueira profissional ou legal: conta dedos a curta distância ou percebe vultos § cegueira total = amaurose § monocularidade: 1 olho normal e outro com visão subnormal ou pior
definições pedagogicamente, define-se como: - cego aquele que, mesmo possuindo alguma visão, necessita de instrução em Braille; - portador de visão subnormal aquele que lê tipos impressos ampliados ou com o auxílio de potentes recursos ópticos. (Antônio João Menescal Conde – Prof. do Instituto Benjamin Constant) http: //www. asac. org. br - Associação Sorocabana de Atividades para Deficientes Visuais
abreviaturas usada em oftalmo AV = acuidade visual c/c ou s/c = sem ou com correção AO = ambos os olhos cd = conta dedos mm = movimento de mãos PL = percepção luminosa SPL = sem projeção luminosa J 1 a J 6 = Jaeger (tabela para perto)
CAPACIDADE FUNCIONAL X CAPACIDADE LABORAL
LEI Nº 6. 194, DE 19 DE DEZEMBRO DE 1974 – art 3º. Dispõe sobre Seguro Obrigatório de Danos Pessoais causados por veículos automotores de via terrestre, ou por sua carga, a pessoas transportadas ou não. ANEXO (Incluído pela Medida Provisória nº 451, de 2008)
DPVAT Tabela para Cálculo da Indenização em Caso de Invalidez Permanente % sobre Invalidez Discriminação importância Permanente segurada Perda total da visão Total 100 de ambos os olhos Parcial Perda total da visão de um olho, quando o segurado já não tiver a outra vista Perda total da visão de um olho 70 50
- Slides: 64