ETK MEKANZMASI VE TEMEL UYGULAMALAR Koray Gven Temel




































































- Slides: 68
ETKİ MEKANİZMASI VE TEMEL UYGULAMALAR Koray Güven Temel Girişimsel Radyoloji Kursu 9 -12 Ocak 2014, Antalya
Yaşam tarzının modifikasyonu Endovasküler Sigara bırakma Düzenli egzersiz PTA (anjioplasti) Diet Stent-graft Plak debulking (perkutan aterektomi) Tromboliz (akut) Perkutan trombektomi (akut) İlaç tedavisi Antiplatelet tedavisi Risk faktörlerinin kontrolu ( hipertansiyon, kan şekeri) Statinler, beta-blokerler Cerrahi Endarterektomi Periferik bypass graft Amputasyon
Cerrahi mi? Endovasküler Tedavi mi? Tüm hastalar medikal tedavi alırlar, bazı hastalar buna ilave cerrahi tedavi, bazı hastalar buna ilave endovasküler tedavi ile tedavi edilir
Anlamlı arteryal darlık >%50 Anlamlı basınç farkı >%10 Yakınma Klaudikasyon Kiritik bacak iskemisi Vasküler orijinli impotans
Darlık Oklüzyon Aorto-iliak Femoral-popliteal Infrapopliteal
Erişim yolları neler? Lezyon özellikleri nedir? Kanama riski nedir? Antegrad/Retrograd Obesite Uzunluk Antikoagülasyon Çap Damar kapama sistemi Ca Ardışık lezyon Lezyon çapına ve seçilecek tedaviye göre sheath çapı ne olmalı? Hasta konforu? Doktor konforu? Radyasyon miktarı? Maliyet Kılavuz tel seçimi nasıl olmalı? Hidrofilik CTO Sert/taşıyıcı Düşük profil
Antegrad Retrograd İpsilateral Kontralateral Aksiller/Brakial Radyal Popliteal Transpedal
(ANTEGRAD-RETROGRAD)
(RETROGRAD)
(RETROGRAD)
PTA POBA Subintimal PTA Cutting Scoring DEB Stent Dedike olmayan Dedike BMS Nitinol Scaffold Stent-graft Aterektomi İlaç kaplı Balon Stent Lazer Tromboliz
İlk tedavide mükemmel açıklık İşlem sırasında komplikasyon olmaması Damarın uzun süre (mümkünse sonsuz) açık kalması
İntimada kontrolsüz yırtık yaratarak (diseksiyon) subintimal yerleşimli plağı komprese eder
Vascutrak Bard Angiosculpt Angioscore Mini. Rail Abbott
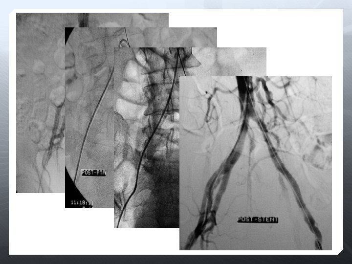
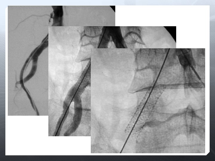
Aorta-İliak
Balonla genişleyebilen (BES) Kendiliğinden genişleyebilen (SES) Nitinol Kobalt Karbostent Çıplak (örtüsüz) (BMS) Eriyebilir-Scaffold Stent-graft (örtülü) İlaç kaplı (DES) Metal (çelik) …
PTA’ya yetersiz yanıt veya akımı engelleyen diseksiyon varlığında PTA’dan üstün olduğu bilinen damarlarda İlyak/subklaviyan a. oklüzyonlarında PTA’nın riskli olduğu alanlar
Bükülme bölgeleri Resteozun sık olduğu damarlar Çok ince damarlar Çok uzun darlık/oklüzyonlar
Viabahn kaplı stent
Her zaman laboratuarda bulundurulmalı Rüptür için Anevrizma AV fistül
Balon veya stent sonrası o damar ne kadar açık kalır?
0. 035’/0. 018’ kılavuz tel Lezyon geçmek için hidrofilik CTO wire Cross-over için uzun ve sert 4 F-7 F sheath 4 F-5 F kateter (Cobra, SIM 1, RDC, Sos-Omni, Vertebral, Bern, vb) Hidrofilik Sert Kılavuz Sheath Lümen heparinli serum ile yıkanır
BES Yüksek radyal kuvvet Yüksek radyoopasite Yerleştirmede keskinlik SES Esnek Düşük profil Hidrofilik kaplama
SFA
Re-entry cihazı
DİZALTI
Amaç uzun dönem açıklık değil, akımı restore etmek Olabildiğince çok damar restrore edilmeli Total ayak perfüzyonu iyileştirilir 3 damar run-off ile daha iyi SFA açıklığı sağlanır Oklüzyona karşı daha dirençli
Anjioplasti Subintimal anjioplasti Cutting-balon DEB Stent (BES, SES) DES Aterektomi Excimer laser
Anjioplasti Subintimal anjioplasti Cutting-balon DEB Stent (BES, SES) DES Aterektomi Excimer laser