Estudio del Cariotipo Cromosomas y Genes ESTUDIO DEL
















































- Slides: 48
Estudio del Cariotipo “Cromosomas y Genes”
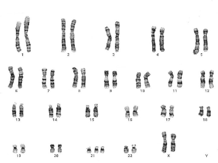
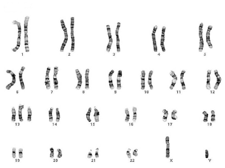
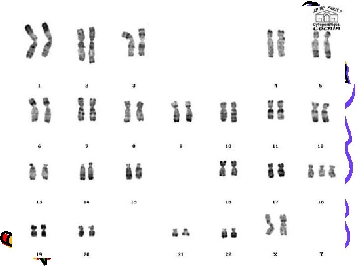
ESTUDIO DEL CARIOTIPO • Se denomina cariotipo al conjunto de cromosomas de una especie determinada. Su determinación se realiza observando durante la metafase la dotación cromosómica de una célula y la obtención de una fotografía de esta observación permite investigaciones genéticas sobre ese individuo o esa especie.
Cariotipo Humano • La dotación cromosómica normal de la especie humana es de 46, XX para las mujeres y de 46, XY para los varones • En el cariotipo humano los cromosomas se ordenan de mayor a menor. Hay cromosomas grandes, medianos y pequeños. Al ordenar los comosomas se constituyen 7 grupos atendiendo no sólo al tamaño sino también a la forma de las parejas cromosómicas, dentro del cariotipo humano podemos encontrar cromosomas metacéntricos (tienen los dos brazos aproximadamente iguales en longitud), submetacéntricos (con un brazo más pequeño que otro) y acrocéntricos (con un brazo corto muy pequeño).
Brazo corto Centrómero Brazo largo Cromátidas hermanas
Lámina 2
X Y
Clasificación de los Cromosomas • • • El cromosoma se encuentra constituido básicamente por el centrómero que divide el cromosoma en un brazo corto o brazo p y un brazo largo o brazo q. Algunos cromosomas presentan satélites en el brazo corto. Según la posición del centrómero, los cromosomas se clasifican en: Metacéntricos: el centrómero se localiza a mitad del cromosoma y los dos brazos presentan igual longitud. Submetacéntricos: la longitud de un brazo del cromosoma es algo mayor que la del otro. Acrocéntrico: un brazo es muy corto (p) y el otro largo (q). Telocéntrico: sólo se aprecia un brazo del cromosoma al estar el centrómero en el extremo (este tipo de cromosomas no se encuentran en el cariotipo humano).
Srta. Débora Ruiz B. Nivel: NM 2
Idiograma • • • • Un idiograma es la representación esquemática del tamaño, forma y patrón de bandas de todo el complemento cromosómico, los cromosomas se sitúan alineados por el centrómero, y con el brazo largo siempre hacia abajo. Los grupos que comprende el cariotipo humano son los siguientes: - Cromosomas grandes Grupo A, (cromosomas 1, 2 y 3), meta y submetacéntricos Grupo B, (cromosomas 4 y 5), submetacéntricos - Cromosomas medianos Grupo C, (cromosomas 7, 8, 9, 10, 11, 12 y además los cromosomas X), submetacéntricos Grupo D, (cromosomas 13, 14 y 15) acrocéntricos - Cromosomas pequeños Grupo E, (cromosomas 16, 17 y 18) submetacéntricos Grupo F, (cromosomas 19 y 20) metacéntricos Grupo G, (cromosomas 21 y 22) acrocéntricos Por acuerdo los cromosomas sexuales X e Y se separan de sus grupos correspondientes y se ponen juntos aparte al final del cariotipo Srta. Débora Ruiz B. Nivel: NM 2
Srta. Débora Ruiz B. Nivel: NM 2
Números cromosómicos Srta. Débora Ruiz B. Nivel: NM 2
Srta. Débora Ruiz B. Nivel: NM 2
Monosomías • Pérdida de un cromosoma • Muchas veces es letal sobre todo en autosomas, • Hemicigocidad de alelos letales recesivos.
Síndrome de Turner. 45, X 0 Ocurre 1/3000 nacimientos. Gran proporción mueren en útero.
Caso 47, XXX Diferenciación femenina, ocurre 1/1200 nacimientos femeninos. Normales, algunas veces menor desarrollo de características sexuales secundarias, esterilidad y retraso mental. Ocurren casos 48, XXXX y 49, XXXXX. Caso 47, XYY Varones estatura > 1. 80 y aptitudes criminales, inteligencia bajo lo normal.
Monosomía parcial: síndrome cri-du-chat. Se pierde parte del cromosoma 5. 46, -5 p. Llanto parecido al maullido de un gato Malformaciones en glotis y laringe Malformaciones anatómicas Complicaciones gastrointestinales, cardíacas y retraso mental. (sobreviven) 1/50, 000
Trisomías. En cromosomas sexuales efecto es menor que en autosomas 47, XYY y 47; XXX son viables Se pueden detectar trisomías por observación de la división meiótica. Se forman trivalentes Desplazandose uno a un lado y los otros dos al otro polo.
Síndrome de Down • Pliegue prominente en el ángulo de cada ojo y son bajos • Cabezas pequeñas y redondas • Lengua saburral y sobresaliente • Manos anchas y cortas, mueren a los 50 años. • Propensos a enfermedades respiratorias, cardíacas y leucemia • Sufren Alzheimer. • 3/20, 000
Fig. 5 Huellas palmares comparativas entre un individuo normal y otro con síndrome de Down. (Fuente: Turpin, R. ; lejeune, J. 1965. Les chromosomes humaines. Gauthier. Villars)
Fig. 1 Niña de raza mongola con síndrome de Down. Su facies se distingue de la de un niño normal de la misma raza. (Fuente: Mc. Kusix, V. A. 1961. Medical genetics. Pergamon Press)
Síndrome Patau 47, +13 Profundo retraso mental, fisura labiopalatina y polidactilia, Malformaciones en muchos sistemas orgánicos. Mueren a los 6 meses y la mayoría son varones. Edad promedio de padres 32 años. 1/20, 000 nacimientos
Síndrome Edwards 47, +18 Niños + pequeños, cráneos alargados, orejas faunescas, cuello ancho, dislocación congénita de las caderas, mentón deprimido. Ecabalgamiento de los dedos Viven menos de 4 meses, mueren por neumonía o fallo cardíaco Edad materna alta 34. 7 años, bebés mayormente hembras, se presenta 1/8000 nacidos
Trisomía 3 con delección • Síndrome Wolf. Hirshorn – Problemas morfológicos – Cabeza grande ictiforme – Retraso y mortalidad temprana
Lugares frágiles. Lugares susceptibles a sufrir roturas cromosómicas. Síndrome del X frágil (Martin Bell). Forma más corriente de retraso mental hereditario 1/2500 H, 1/5000 M. Es un carácter dominante. Pero el 30 % de las mujeres son retrasadas y el 80 % de los hombres; sufren rostos alargados y estrechos, mentones salientes, orejas grandes y tamaño testicular aumentado.
X frágil
Trisomías. La trisomía del cromosoma 21 produce el síndrome de Down (47, XX + 21 ó 47, XY + 21). Los afectados tienen retardo mental en diferente grado, corazón defectuoso, baja estatura, párpados rasgados, boca pequeña, lengua salida, cráneo ancho y marcha lenta. Las mujeres son fértiles y los transmiten al 50% de su progenie; los hombres son estériles. Los cromosomas sexuales también pueden afectarse por una trisomía. Los individuos afectados por el síndrome de Klinefelter (47, XXY) son varones estériles con rasgos femeninos y retraso mental. Son fértiles, altos y de conducta controversial. Sus células tienen un número anormal de cuerpos de Barr. En el síndrome triequis o metahembras (47, XXX) son mujeres fértiles de apariencia normal pero con tendencia al retardo mental. En la polisomía XYY (47, XYY) Los afectados presentan estatura elevada, acné, un tamaño mayor de dientes, conducta agresiva y la espermatogénesis puede o no estar alterada.
Monosomías. La falta de un cromosoma produce una monosomía conocida como el síndrome de Turner (45, X) que ocurre en mujeres quiénes desarrollan baja estatura, dobleces característicos en el cuello y retardo mental moderado. En la pubertad no menstrúan ni desarrollan caracteres sexuales secundarios. No presentan cuerpo de Barr como las mujeres normales, pues el único cromosoma X que presentan está activado.
ALBINISMO
ALCAPTONURIA (manchas en los ojos, artrítis, orina negra al contacto con el aire. . . )
Efecto de la radiación UVA sobre el DNA (ausencia de enzima corrector en Xeroderma pigmentosum)
Xeroderma pigmentosum
Xeroderma pigmentosum
TALASEMIA MENOR: glóbulos rojos elipsoidales (mutación génica por sustitución de un aminoácido en la hemoglobina)
ANEMIA FALCIFORME: Glutámico sustituido por valina en posición 6 de las cadenas beta de la hemoglobina
ANEMIA FALCIFORME
Trisomías en los cromosomas sexuales Espermatozoide con dos cromosomas Y Óvulo con dos cromosomas X Espermatozoides normales Óvulo normal XYY Hombre (Trisomía XYY) XXX Superhembra (Síndrome triplo X) XXY Hombre (Síndrome de Klinefelter)
SINDROME KLINEFELTER XXY Los varones que padecen este síndrome tienen la constitución cromosómica XXY. Aparece con una frecuencia de l/700 niños nacidos y parece que aumenta la probabilidad con la edad de los padres. Son estériles porque no tienen espermatogénesis. Se estima que un 25 por 100 de los varones Klinefelter presentan retraso mental (muchas veces por la falta de atención que han tenido). También pueden darse constituciones cromosómicas XXXY o XXXXY.
CARIOTIPO TURNER XO
CARIOTIPO XYY Los individuos afectados son generalmente muy altos y delgados. La mayoría presenta un acné severo durante la adolescencia. Pueden asociar también problemas antisociales o del comportamiento o tener una inteligencia inferior a la media.
Síndrome XYY. Este síndrome se ha observado con una frecuencia de 1/1. 000 (Chieri y col. 1972 ) dentro de la población general Argentina. En estadísticas mundiales las cifras son semejantes 1 a 4 /1. 000 en recién nacidos y 0. 84/1. 000 en hombres infertiles. El fenotipo de estos individuos presentan la característica casi constante de talla alta. Un 1 a un 2% de ellos exhiben conductas agresivas con tendencia a la criminalidad. El espermograma revela generalmente una azoospermia o una severa oligoospermia si bien hay casos descritos de fertilidad.