ERKN KAFA TRAVMASI YNETM DR CEM YILDIRIM PROF



































- Slides: 35
ERİŞKİN KAFA TRAVMASI YÖNETİMİ DR. CEM YILDIRIM PROF. DR. FIRAT BEKTAŞ
PATOFİZYOLOJİ Kafa travması (olay anı) > birincil hasar Hipotansiyon ve hipoksi > ikincil hasar Hiperventilasyon > p. CO 2 düşer Vazokonstrüksiyon; ödem ve hematomun büyümesini engeller ancak… Hiperventilasyon uzarsa İskemi Hücre ölümü olur Acil tıp uzmanının görevi ikincil hasarı engellemek ya da azaltmaktır
PATOFİZYOLOJİ İKİNCİL İNTRAKRANİAL HASAR NEDENLERİ Kanama İskemi Ödem İKB artışı Nöbet İKİNCİL SİSTEMİK NEDENLİ İNTRAKRANİAL HASAR NEDENLERİ Hiper/hipo glisemi Ateş anemi
VİTAL BULGULARIN YORUMLANMASI Hipotansiyon + taşikardi = ŞOK Genellikle başka nedenlerden Nadiren skalp hematomu (özellikle çocuklarda) Ani gelişen hipotansiyon ve taşikardi Herniasyon olabilir Hipertansiyon + bradikardi = Cushing refleksi (artmış İKB göstergesi) Bradipne = Erken İKB artışı bulgusu Cheyne-Stokes / santral nörolojik hiperventilasyon = beyin sapı hasarı Hastalarda hipertermi önlenmelidir
KAFA TRAVMASI – HASTANE ÖNCESİ Birincil hedef Hipotansiyon ve hipoksinin önlenmesi SKB>90 mm. Hg pa. O 2>60 mm. Hg, sat 02>%90 Her ikisinin düzeltilmesi sağ kalım üzerinde etkili
KAFA TRAVMASI – ACİL SERVİS BİRİNCİL BAKI ABCDE D – Disability Pupil boyutu ve ışık reaksiyonu GKS belirlenmesi Lateralizan motor defisit bakılması Omurganın stabilizasyonu
KAFA TRAVMASI – ACİL SERVİS İKİNCİL BAKI Tüm baş, yüz ve skalp inspeksiyonu Baş ve yüzün palpasyonu Fraktür ve laserasyonlar Pupil değerlendirilmesi ve GKS Duyu ve motor muayene Servikal değerlendirme ve X-RAY Nörolojik yaralanmanın dökümentasyonu
TRAVMATİK BEYİN YARALANMASI (TBY) Travmatik beyin yaralanması(TBY) mekanik güçler sonucunda beyin fonksiyonlarında bozulma olarak tanımlanır. -Hafif (gks 14 -15) -Orta (gks 9 -13) -Ağır (gks 3 -8 ) Tek başına orta tby li hasta mortalite < %20, %40’ında BT de anormal bulgu vardır ve % 8 inde cerrahi girişim gerekmektedir.
Hafif dereceli travmatik beyin yaralanmasi Hafif dereceli tby (konküzyon) belirgin kanama veya diğer büyük lezyonlar olmaksızın(gks 14 -15) değişen sürelerde nörolojik ve nörofizyolojik fonksiyon kaybı ile karakterizedir. Hafif dereceli tby yapısal hasardan ziyade metabolik hasara neden olur. Bu nedenle de BT gibi yapısal görüntüleme teknikleri tanı koymada faydasız olabilir. Metabolik hasar aksonal bütünlükte ve aksonal transportta hasara neden olur.
Hafif dereceli travmatik beyin yaralanmasi Hafif dereceli tby künt kuvvet yada hızlanma-yavaşlama yaralanmasından sonra ilişkili belirti ve bulgularla karakterizedir. Hastanın kliniğinde çok değişken olabilir. -Baş ağrısı, bulantı-kusma, dikkat bozukluğu -Bulanık görme, nöbet, dengesiz yürüme, baş dönmesi -Amnezi, anksiyete, sersemlik vs…
Hafif dereceli travmatik beyin yaralanmasi Alkol varlığı ve diğer yaralanmalar tanıyı koymada zorluklar yaratır. Halen, konküzyon tanısını koymada güvenilir bir test yok. Sıklıkla fizik muayeneleri normaldir. Tam nörolojik muayene önemlidir. Taburcu edilen hastalar takip önerileri ile taburcu edilmeli. takip önerileri baş ağrısı, kusma, güçsüzlük, uyuşukluk, hafıza problemleri, sersemlik hissi depresyon ve anksiyeteyi içermelidir.
Orta-Ciddi dereceli travmatik beyin yaralanmasi Birincil yaralanmalar kontüzyon, hematom(epi-subdural, intraparankimal, sak, ventrikül içi kanama), diffüz aksonal yaralanma, kan-beyin bariyerinin bozulması, nörokimyasal hemostazın bozulması ve elektrokimyasal fonksiyonların bozulmasını kapsar. İkincil yaralanmalar kalsiyum ve iyon değişimleri, mitokondriyal hasar, serbest radikallerin üretimi ve hücre ölümüne yol açan enzimatik aktiviteyi içerir.
Orta-Ciddi dereceli travmatik beyin yaralanmasi Ciddi ve orta dereceli tby li hastaların yönetiminde amaç ikincil beyin yaralanmasını önlemek, tedavi edilebilir kitle lezyonlarını saptamak ve diğer hayatı tehdit eden yaralanmaları saptamaktır. İkincil beyin yaralanması hipoksemi, hipotansiyon, anemi, hiperglisemi ve hiperterminin önlenmesi, kafa içi kitlenin boşaltılması ile önlenebilir veya en aza indirebilir. Hipotansiyon(ta<90) ve hipoksemi (pao 2<60) iki kat mortalite ilişkilendirilebilir. Anemi de(hemotokrit<30) oksijen taşıma kapasitesini düşürdüğünden yüksek mortalite ilişkilidir
Orta-Ciddi dereceli travmatik beyin yaralanmasi Orta ve ciddi tby li hastalarda uygun tesise hızlı transport kritiktir. Hastane öncesi entübasyon tartışmalıdır. Bazı çalışmalar hastane öncesi entübasyonda daha kötü sonuçlar göstermiştir. Sebepler arasında da transport esnasında yapılan hiperventilasyon gösterilmiş. Hiperventilasyondan kaçınmak gerekmektedir Hipotansiyon hızlı düzeltilmedir.
Orta-Ciddi dereceli travmatik beyin yaralanmasi Tanıda BT oldukça hassastır ve rehberlik eder BT de gecikme acil cerrahi müdahalede ciddi gecikmeye yol açar BT görüntüleme endikasyonları (Amerikan Acil Hekimleri Kolej klavuzu) a) gks<15 b) >65 c) Koagulopati d) >1 metre veya 5 basamaktan düşme
Orta-Ciddi dereceli travmatik beyin yaralanmasi Erişkinlerde beyin Bt için en sık kullanılan iki kural mevcut. 1. New Orleans Kriterleri 2. Kanada Kafa BT Kuralları
Orta-Ciddi dereceli travmatik beyin yaralanmasi Her ikisinin de acil cerrahi gerektirecek hastaları saptamada duyarlığı % 100 dür ama seçicilikleri kısıtlıdır. Bu kurallar antikoagülan kullanan hastalar ve çocuklara uygulanmamalıdır, çünkü geçerlilik çalışmalarından çıkarılmıştır
orta-ciddi dereceli travmatik beyin yaralanmasi Artan kafa içi basınç • >20 mm Hg KİB yüksek mortalite ve morbite ilişkilidir. • Acil serviste KİB ölçümü pek mümkün olmamakta, bu nedenle hastanın öykü ve fizik muayene bulguları ile değerlendirilmeli • Baş ağrısı, bulantı, kusma, nöbet, letarji, • Hipertansiyon, bradikardi ve agonal solunumu içerir. • Sık nörolojik muayene ve nörolojik kötüleşme halinde beyin BT gerekir
orta-ciddi dereceli travmatik beyin yaralanmasi Artan kafa içi basınç -pupillerde genişleme, hemiparezi herniasyon bulgusudur. -Acil serviste KİB ı azaltmak için Pa. CO 2 35 -45 arasında ve oksijen saturasyonu %95 üzerinde tutulmalıdır. -Ayrıca yeterli sedasyon sağlanmalıdır ve yatak başı 30 derece yükseltmek gerekmektedir.
orta-ciddi dereceli travmatik beyin yaralanmasi Artan kafa içi basınç(tedavi) § Mannitol ; - Mannitol KİB azaltır ve serbest radikal temizleyicidir. -30 dakika içinde etkisi başlar ve 6 -8 saat etkisi sürer -0, 25 -1 gr/kg dozunda yüklemesi verilir. § Hiperventilasyon; -Ciddi TBY de uzun süre önerilmez. -Pa. CO 2<20 in altında kesinlikle önerilmez -Sadece herniasyon tehlikesinde kısa süreli önerilmektedir. • Nöbeti hemen tedavi etmek gerekir(nöbet KİB ve kanamayı arttırır)
Özel kafa yaralanmalari Saçlı deri kesileri; § Yoğun kaybına yol açabilir ve hemen kontrol edilmelidir. § Doğrudan bası, epinefrinli lidokain ile bası yada sütürasyon önerilir. Kafa tası kırıkları • Açık kafatası kırığı - 1 gr vankomisin ve 2 gr seftriakson ıv verilir -Kemik parçalarının beyne temasını engellemek gerekmektedir.
Özel kafa yaralanmalari Kafa tası kırıkları • Kafa kaide kırıkları; -otore, rinore, mastoid ekimoz (battle sign), periorbital ekimoz (rakun gözü), hemotimpanium, vertigo, işitme azlığı, sağırlık. -otore ve rinoreyi saptamak zor olabilir. Hastalar burnundan veya kulaktan berrak sıvı geldiğini ifade edebilir. (halka bulgusu güvenilir değildir. ) -Bu hastalarda menenjit riski mevcut. Profilaktik antibiyotik yapılmalıdır. (2 gram seftriakson ve 1 gram vankomisin)
Özel kafa yaralanmalari Serebral kontüzyon ve intraserebral kanama § Sıklıkla SAK ile ilişklidir. § Künt travma ile aynı tarafta yada karşı tarafında olmakta. § Hemen yaralanma sonrası BT normal olabilir. Subaraknoid kanama § Parankim ve subaraknoid damarların yırtılması ile oluşur § Orta-ciddi TBY li hastalarda en sık anormal Bt bulgusudur. § SAK ı olan hastalarda mortalite 3 kat artmıştır
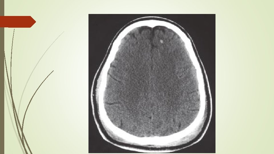
Özel kafa yaralanmalari Epidural hematom; § Kafa tası ve dura mater arasında kan toplandığında meydana gelir § Orta meningeal arter yırtılmasıyla meydana gelir. § Klasik öykü lucid periyodunu takiben bilinç kaybı ve hızlı nörolojik ölümdür. Ancak bu tablo vakaların az kısmında meydana gelir. § Arter kanaması olduğu için saatler içinde herniasyona neden olabilir.
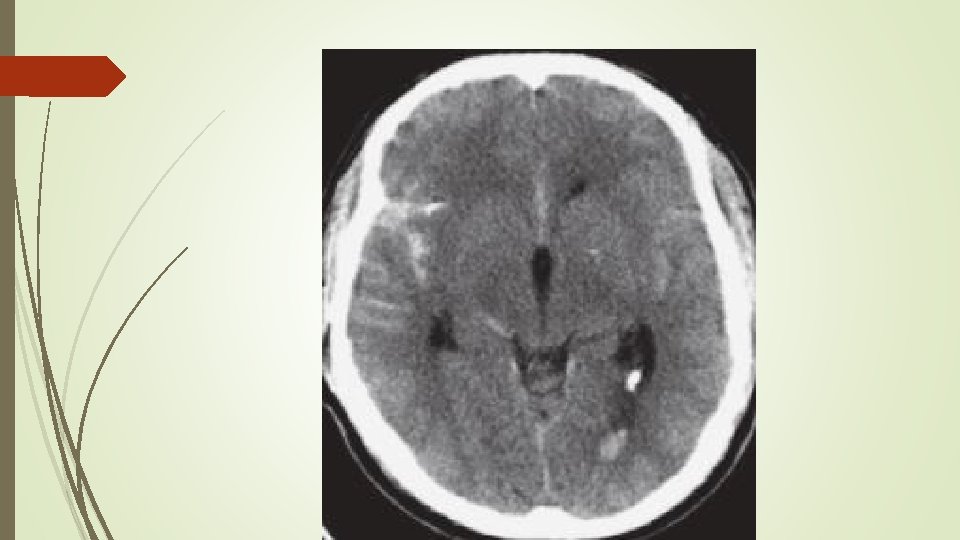
Özel kafa yaralanmalari Subdural hematom; § Köprü venlerin yırtılmasıyla meydana gelir. § Dura mater ile araknoid arasında hematom oluşumuna neden olur § Aşırı atrofik beyinler, yaşlılar ve alkolikler akut subdural hematoma daha yatkındır. § Akut (ilk 2 hafta) ve kronik (14. günden sonra) olabilir. § Akut subdural hematom BT de sütür hattını geçen hiperdens görünürken, kronik subdural hipodens görülür.
Özel kafa yaralanmalari Diffüz aksonal yaralanma • Beyin sapında ve beyaz cevherde aksonal liflerin kesilmesidir. • Klasik olarak motorlu araç kazası gibi künt travmalardan sonra meydana gelir. • Ciddi diffüz aksonal yaralanmada ödem hızla gelişir. • Sıklıkla geri dönüşümsüz hasarla sonuçlanır. • Bt normal olabilir. • Tedavi antiödem tedavi ve KİB azaltmakla sınırlıdır.
TEŞEKKÜRLER…