Erkek Genital Sistem Prof Dr Alpaslan GKMEN Histolojisi



















































































- Slides: 83
Erkek Genital Sistem Prof. Dr. Alpaslan GÖKÇİMEN Histolojisi Adnan Menderes Üniversitesi Tıp Fakültesi Histoloji ve Embriyoloji Anabilim Dalı
Erkek genital sistemi oluşturan yapılar • Testis içi genital kanallar – tubuli rekti – rete testis • Dış genital kanallar – – – duktuli duktus üretra efferentes epididimis deferens ejakulatoryus • Yardımcı bezler – vezikula seminalis – prostat – bulboüretral bez • Penis
Testisler o Testisler vücut boşluğunun dışında, skrotum adı verilen özellikli bir deri kıvrımı içine yerleşmiş, ovoid yapıda bir çift organdır olup boyutları 2 -3 x 4 x 3 cm. o Temel işlevi erkek üreme hücreleri, sprematozoonları oluşturmak ve bireye erkeklik özelliklerini kazandıran testesteron üretmektir.
Testis • Testis en dışta skrotum adlı deri kıvrımı ile kuşatılır. Bu kıvrım ile testislerin vücut boşluğu dışında yer alması; testislere spermatogenezis için gerekli olan düşük sıcaklığı (35 O C)sağlar.
Testis • Testisler karın boşluğundan inişleri sırasında kendileriyle ilişkili kan ve lenf damarları, otonom sinirler ve tunika vajinalis adı verilen bir periton kıvrımı da beraberinde skrotuma taşır.
Testislerin kanlanması Testisler kanı doğrudan abdominal aortadan ayrılan a. testikularis ile alır ve pleksus pampiniformis ile verir. Bu iki damar ile duktus deferens ile bir arada ilerleyerek spermatik kordon adını alır.
Ters Akım Isı Değişim Sistemi (CHES) Testisin arter ve venlerinin bu şekilde bir arada ilerlemesi Ters Akım Isı Değişim Sistemi (CHES) olarak adlandırılır. Bu sistem ile testislere giren kan testisten dönen daha soğuk kan ile soğutulmuş ve testisin sıcaklığının düşük tutulmasına yardımcı olunmuş olur.
Spermatogenezi etkileyen durumlar • Spermatogenez için, 35 0 C sıcaklık çok önemlidir. Bu sıcaklık, spermatik arteri saran venlerin oluşturduğu pampiniform pleksus tarafından skrotumda sağlanır. • Sıcaklığı dağıtmak için, ters yönlü akımla ısı değişimi görevi görür.
Spermatogenezi etkileyen durumlar • Sıcaklık 35 0 C’nin altına düşünce, spermatik kordondaki kremaster kasının ve skrotum kesesinin dartos kasının kasılması, sıcaklığı artırmak için testisleri karın boşluğuna yaklaştırır.
Kriptorşidizm (İnmemiş testis) • Gelişim esnasında, testis skrotuma ulaşamaz ve karın boşluğunda / inguinal kanalda kalır. • Bu durumlarda, normal vücut sıcaklığı 37 – 38 0 C olduğu için spermatogenez önlenir ve eğer durum çift taraflı ise, kısırlık oluşur.
Testislerin skrotuma inişi • İki aşamada gerçekleşir: - Transabdominal iniş MIS (Sertoli hücreleri üretir) tarafından kontrol edilir. - İnguinal – skrotal iniş Genitofemoral sinir tarafından taşınan kalsitonin gen-ilişkili peptit ile uyarılan androjen salınımının kontrolündedir.
Testislerin skrotuma inişi • Transabdominal iniş bozuklukları sık değildir. • Birçok çocukta inmemiş testis inguinal kanalda tespit edilebilir. Bu kanaldaki testisler çevredeki ligament ve kemikler tarafından travma ve basıya maruz kalırlar.
Testislerin skrotuma inişi • Son araştırmalarda, insülin benzeri faktör 3 ve hoxa 10 genlerindeki mutasyonların, iki taraflı kriptorşidizmle ilişkili olduğu gösterilmiştir.
Varikosel • Spermatik kordon venlerinin anormal şekilde genişlemesi / genleşmesi sebebiyle oluşur. • Varikosel Sperm üretimi azalır (oligospermi). • Spermatik kordon venlerinin spermatik arterle ters yönlü akım – ısı değişim mekanizması sayesinde, testiküler ısının 35 C’de tutulması çok önemli…
Testisler Testisin yapısını oluşturan ilk tabaka düzensiz sıkı bağ dokusundan yapılmış tunika albuginea adı verilen kapsüldür. Kapsülün altında bol damar içeren tunika vaskuloza adlı diğer bir kapsül bulunur. Bu kapsüller testis içine kıvrımlar yaparak testisi lobüllere (bölmelere) ayırır. Her bir testis yaklaşık 250 lobül içerir.
Testisler Her bir lobül içinde 1 – 4 arasında değişen seminifer tübüller yer alır. Burada spermiyumlar üretilir. Seminifer tübüllerin çevresinde bağ dokusu ve bu dokunun içinde leydig hücreleri ve bağ dokusu hücreleri bulunur.
Testisler Tübüller kıvrılarak ilerler ve tubuli rekti adlıyla düz bir şekilde devam edip son olarak rete testise açılırlar. Tubuli rektilerin epiteli sertoli hücreleriyle döşeliyken rete testise doğru kübik epitele geçiş olur ve rete testiste de kübik epitel olarak devam eder.
Seminifer tübüller • Spermatozoonların üretildikleri yerlerdir. Dışta tunika (lamina) propriya -miyoid hücrelerbulunur. • Herbir seminifer tübül 30 -80 cm uzunluğunda, 150 -250 µm kalınlığındadır. Herbir testiste yaklaşık 1000 tanedirler. Seminifer tübül duvarında iki tip hücre yer alır: – Sertoli hücreleri – Spermatogenetik hücreler •
Sertoli hücresi Puberteden sonra çoğalma göstermeyen, salgı yapmaya özelleşmiş, büyük, prizmatik hücredir. Çekirdekleri bazalde ve oval şekildedir. Birbirlerine sitoplazmik uzantılarını gönderip aralarında ZO tipi sıkı bağlantılar kurarlar. Spermatogenetik hücreler bu uzantıların arasında yerleşmiştir. 1. 2. 3. 4. 5. 6. 7. Görevleri: Eşey hücreleri için gerekli besini ve fiziksel desteği sağlamak Sitoplazmik artıkları fagosite eder. Fruktozca zengin bir sıvı sentezler ve salgılar. Birbirleriyle yaptıkları sıkı bağlantılarla spermatogenetik hücreleri içlerinde muhafaza ederek kandaki savunma hücrelerinin otoimmünitesinden korurlar (Kan Testis Bariyeri) ABP ve inhibin salgılar. Testiküler transferrin ile demir alınımını sağlar. Anti Müllerian Hormon (MIF) ile embriyogenezisde ovaryum oluşmasını engeller.
Spermatogenik hücreler Erken gelişim döneminde vitellus sapından göç eden primordiyal germ hücrelerinden köken alan, olgun erkek üreme hücreleri ve onların değişik gelişim aşamalarındaki hücrelerdir. Çoğalma aşamalarına göre bazalden lümene sıralanırlar.
Spermatogenezis Bazalde bulunan spermatogonyum hücreleri ana spermatogenik hücreler olup diğerleri bunlardan köken alır. Ana hücre koyu boyanan tipte spermatogonyum A hücresi olup daha sonra açık tip spermatogonyum A’ya ve spermatogonyum B’ye dönüşür. Bu arada hücreler çok sayıda mitoz bölünme geçirirler ama bir miktarı her zaman kaynak hücre olarak kalarak spermatogenezisin ömür boyu devam edebilmesini sağlar.
Spermatogenezis • Spermatogonyum B bir yerde mitoz bölünmeyi keser ve primer spermatositleri oluşturur. • Seminifer tübüllerde görülebilen en büyük spermatogenik hücreler olmasıyla ayırt edilebilirler. Daha sonra primer spermatositler I. mayoza girerek sekonder spermatositleri oluştururlar. Bu evre çok kısa sürüp hemen olgunlaşma aşamasına geçtikleri için oluşan sekonder spermatositler preparatlarda pek rastlanmaz. • Sekonder spermatositler II. mayoza girerek spermatidleri dönüşürler.
Spermiyogenezis Spermatidlerden spermatozoonlar oluşurken meydana gelen değişikliklere spermiyogenezis adı verilir, dört aşamada gerçekleşir. 1. Golgi aşaması: GER’de hidrolitik enzimlerin sentezi, golgide pre-akrozomal granüllerin paketlenmesi ve tek bir akrozomal vezikülün oluşumu ve flagellar aksonemin oluşumu. 2. Kep aşaması: Akrozomal vezikülün boyutu artar ve en son boyutuna ulaşıp akrozom adını alır. 3. Akrozomal aşama: Spermatid morfolojisinde çok sayıda değişiklikle karakterizedir. Çekirdek yassılaşır, özel şeklini alır, mitokondriyonlar yer değiştirir, hücre uzar. 4. Maturasyon(olgunlaşma) aşaması: Spermatid sitoplazmasının atılması ile karakterizedir.
Spermiasyon • Olgunlaşmasını tamamlayan ve serbestleşen spermatozoanın seminifer tübül lümenini atılmasıdır.
Spermatogonium A (Koyu) Testisler Spermatogonium A (Açık) Spermatogonium B Primer Spermatosit Sekonder Spermatosit (Spermatid) Spermatozoon (Sperm)
Tunika (membrana) propriya (Peritübüler doku) Fibroblastlar bulunmaz. İnsanlarda 3 -5 tabaka halindedir. kasılma özelliğine sahip miyoid hücreler tunika propriyada dairesel olarak yerleşik bulunurlar. Bu hücreler, düz kas gibi işlev görerek spermatozoonları tübül boyunca hareket ettirmelerinin yanı sıra, kollajen sentezleyerek fibroblastların işlevini de üstlenirler. Tunika propriya yaş arttıkça kalınlaşır. Miyoid hücre sırası dışında kan damarları, lenf damarları ve leydig hücreleri bulunur.
Leydig hücreleri Geniş, poligonal, eozinofilik hücrelerdir. Fetüste 5. aydan itibaren faaliyeti duran leydig hücreleri puberteden sonra ömür boyu sürecek faaliyetine tekrar başlar. Testosteron üretirler. • Testesteron: – Erken embriyonik safhada gonadların erkek yönde farklılaşmasında gereklidir. – Pubertede sperm üretimi, yardımcı bezlerin salgısı ve ikincil cinsiyet özelliklerinin belirmesinde rol oynar. – Ergin bireyde, sperm üretiminin ve ikincil cinsiyet özelliklerinin devamında rol oynar.
Testis Tümörleri • Büyük çoğunluğu, tedavi edilmemiş kriptorşidizmle bağlantılıdır. • Hormonal tedavi h. CG uygulaması, testislerin inişini uyarabilir. • Eğer bu olmazsa Cerrahi uygulama • Testis, skrotal kesenin duvarına tutunur Orşiyopeksi.
Kabakulak • Puberte sonrası dönemdeki erkekler de, % 20 – 30 oranında akut orşitle seyreden sistemik viral bir enfeksiyon dur. • Genellikle, kabakulak sebepli orşit sonrasında spermatogenik işlevde değişiklik beklenmez.
Sperm Kordonunda Bükülme (Testis Torsiyonu) • Spermatik kordonun bükülmesi, testislere gelen arteriyel kan akımını ve testislerden giden venöz kan drenajını bozabilir. • Bu durum, genellikle fiziksel bir travma veya tunika vajinalis içinde anormal testis hareketi sebebiyle oluşur. • Eğer hemen tedavi edilmezse Hemorajik enfarkt oluşur ve bütün testis dokusunda nekroz meydana gelir.
Dış Genital Kanallar • Epididimis - Duktuli Efferentes
Epididimis - Duktuli Efferentes • Rete testisin devamı, mediastinum testisin üst ucundan yaklaşık 20 kanalcık şeklinde devam eden duktuli efferentesler spermleri rete testisten alarak testisin çıkışındaki epididimise iletirler. • Ayrıca luminal sıvının geri emilimi ile spermatozoanın iletimi görevleri de vardır. • Epiteli, kübik hücreler ve silyalı prizmatik hücrelerden oluştuğu için dalgalı bir görünüm arz eder. • Epitelin altında bazal lamina, altında da gevşek bağ dokusu ve ince bir düz kas tabakası bulunur. Resim: Pikrik asit + Hematoksilen
Dış Genital Kanallar • Epididimis - Duktus Epididimis
Epididimis - Duktus Epididimis • Spermiyumların bekletilip olgunlaştığı yaklaşık 7 m uzunluğunda kıvrıntılı tübüllerden oluşan, testiste inen bir kıvrıntı oluşturan kanalcık sistemidir. • Stereosilyalı yalancı çok katlı prizmatik epitel, bazal lamina, sıkı bağ dokusu ve tek sıra dairesel düz kas tabakalarından oluşur. Epitelde bazal ve esas hücreler yer alır. • Spermiyumların hareket kazandığı yer olmasına karşın gliserofosfokolin adlı glikoproteini salgılayarak kapasitasyonu, spermiyumların dişi genital sisteme ulaşana kadar engeller. Ayrıca luminal sıvı geri emilimini ve sitoplazmik artıkların fagositozunu yapar.
Dış Genital Kanallar • Duktus Deferens (Vas Deferens)
Duktus Deferens (Vaz Deferens) • Spermatozoayı epididimisten duktus ejakulatoriyusa iletmekle görevli, kalın kaslı duvara sahip bir kanaldır. • Epiteli, stereosilyalı yalancı çok katlı prizmatik epitel olup lümeninde düzensiz invajinasyonlar vardır. Bazal laminanın altındaki bağ dokusu fibroelastik yapıdadır. Fibroelastik tabakayı içte ve dışta uzunlamasına ortada dairesel 3 düz kas tabakası, onu da ince gevşek bağ bir dokusu kuşatır.
Dış Genital Kanallar • Duktus Ejakulatoryus
Duktus Ejakulatoryus • Prostat bezi içinde yer alan spermiyumları üretraya veren kısa kıvrıntılı bir kanaldır. • Epiteli basit prizmatiktir. • Epitelin altındaki bağ dokusu kıvrıntılı olduğundan lümen düzensiz görünür. • Duvarında düz kas bulunmaz.
Yardımcı Üreme Bezleri • Vezikula Seminalis
Vezikula Seminalis • 15 cm uzunluğunda kıvrıntılı tübüler yapılı bir çift organdır. • Epiteli; yalancı çok katlı prizmatik epitel, altında fibroelastik bağ dokusu, içte dairesel dışta uzunlamasına düz kas tabakası en dışta da ince fibroelastik bağ dokusu ile sarılıdır. • Semen hacminin %70’ini oluşturan, fruktozdan zengin sıvı salgılar. Semenin soluk sarı rengi seminal veziküllerden salgılanan lipokrom pigmentine bağlıdır.
Semen • Semen is an organic fluid, also known as seminal fluid, that usually contains spermatozoa.
Yardımcı Üreme Bezleri • Prostat
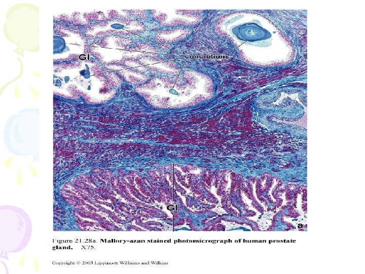
Prostat • En büyük yardımcı bezdir. • Üretra ve duktus ejakulatoriyusu içerir. • Kapsülü, damardan zengin, düzensiz sıkı bağ dokusu ve düz kas hücreleri içerir. • Stroması, kapsülden köken alır ve bağ dokusu ve düz kas hücreleri içerir. • 30 -50 adet birleşik tubulo-alveolar bez topluluğundan oluşur. • Bezler 3 konsantrik tabakada toplanır; mukozal, submukozal, esas tabakadaki bezler
Prostat • Mukozal bezler; üretraya en yakın ve en kısalarıdır. • Submukozal bezler; mukozal bezlerin çevresindedir ve onlardan daha geniştir. • Esas bezler; en çevrede, en çok sayıda ve en geniş bezlerdir. Prostat bezinin çoğunu oluştururlar. • Prostat bezleri basit yalancı çok katlı prizmatik epitelle döşelidir. Protein sentez ve salgısı yaparlar. • Prostat taşları (corpora amylacia): kalsifiye glikoproteinler, özellikleri bilinmiyor. • Prostat salgısı; lipidler, proteolitik enzimler, asit fosfataz, fibrinolizin ve sitrik asitten zengin bir sıvıdır.
Yardımcı Üreme Bezleri • Glandula Bulbo Üretralis
Glandula Bulbo Üretralis • 3 -5µm çapında küçük birleşik tubulo-alveolar bezlerdir. • Fibroelastik kapsül; fibroblastlar+düz kas hücreleri+ ürogenital diyaframdan köken alan iskelet kas hücreleri içerir. • Bağ dokusu bölmeleri bezi lobüllere ayırır. • Epiteli basit kübikten prizmatiğe kadar değişir. • Mukus salgısı üretra lümeni için kayganlaştırıcı işlev görür.
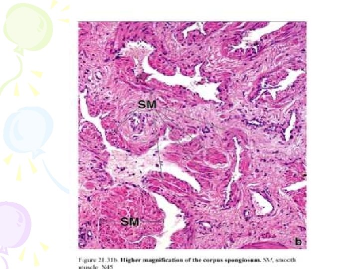
Penis • Hem idrarı dışarı atar, hem de birleşmeyi sağlar. • Üç adet erektil dokudan oluşur. • İki adet korpora kavernoza ve 1 adet korpus spongiozumdan oluşur. • Penil üretra korpus spongiozumda yer alır. • Herbir erektil cisim gevşek bağ dokusu kılıfla sarılıdır, hipodermis bulunmaz ve penis dermisle örtülüdür. • Glans penis • Prepisyum; retraktil deri kılıf
Penis • Birbirinden bağ dokusu ve düz kas hücrelerinden oluşmuş trabeküllerle ayrılan endotelle döşeli çok sayıda ve değişik şekillerdeki boşluklardan oluşurlar. • Erektil doku derin ve dorsal penis arterlerinden kanlanır. • Dallanan arterlerin bir kısmı kapiller pleksus bir kısmı da kıvrıntılı (helical) arterleri oluşturur. • Helikal arterler erektil dokunun vasküler boşluklarına kan akımını sağlar. • Venöz drenaj, derin dorsal ven ile olur. Bu vene 3 bölgeden kan drene olur. • 1 -glans penisin tabanından • 2 -korpora kavernozanın dorsalinden • 3 -korpora kavernozanın ventralinden ve korpus spongiozumdan