Eredit Gene anomalo Locus Proteina anomala ADPKD tp


















- Slides: 18
Eredit. Gene anomalo Locus Proteina anomala ADPKD tp 1 AD PKD 1 16 p 13. 3 Policistina 1 ADPKD tp 2 AD PKD 2 4 q 21 Policistina 2 ARPKD AR PKHD 1 6 p 21 -23 Fibrocistina Nefronoftisi giovanile AR NPH 1 2 q 12 -13 Nefrocistina Nefronoftisi infantile AR NPH 2 9 q 22 -31 Inversina (interagisce con Nefrocistina e con Tubulina) Nefronoftisi dell’adolesc. AR NPH 3 3 q 21 -22 Proteina che interagisce con nefrocistina Mal. cistica della midollare tp 1 AD MCKD 1 1 q 21 ? Mal. cistica della midollare tp 2 AD MCKD 2 16 p 12 Uromodulina (anche nota come malattia glomerulocistica con iperuricemia e isostenuria)
Le cisti si formano per espansione dei tubuli renali. Normale Nell’ADPKD originano dia qualsiasi segmento nefronico e ben presto perdono la comunicazione col tubulo. Al contrario, nell’ARPKD le cisti derivano dal dotto collettore col quale restano in comunicazione. ADPKD ARPKD
• Rappresentazione schematica di una cellula del dotto collettore. Policistina 1 ( ADPKD 1) e policistina 2 ( ADPKD 2) sono colocalizzate nelle ciglia, nelle giunzioni aderenti intercellulari e nelle zone focali di adesione cellula-matrice. Le due proteine funzionano probabilmente da sensori dell’ambiente extracellulare trasducendo il segnale al nucleo attraverso il citoscheletro (tubulina e actina) e le cascate fosforilatorie. Anche la nefrocistina (NPH 1, proteina solo intracellulare Nefronoftisi giovanile) partecipa in questa trasduzione del segnale. Così facendo modulano processi fondamentali della morfogenesi renale (proliferazione, apoptosi, differenziazione epiteliale, polarità, adesione, migrazione, forma cellulare, diametro tubulare).
Recettori dell’Epithelial Growth Factor (EGFR) sono localizzati in posizione anomala nell’adulto policistico, luminale anziché basolaterale. Anche la Na/KATPasi è localizzata nel versante luminale piuttosto che basolaterale. Inoltre anziché esserci omodimeri di EGFR e di a 1 e b 1 Na/K-ATPasi si formano eterodimeri EGFR-erb-b 1 e a 1 b 2 Na/K-ATPasi.
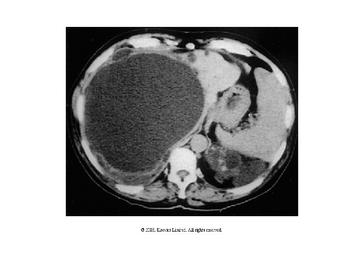
Rene policistico autosomico dominante dell’adulto (ADPKD, Autosomic Dominant Polycistic Kidney Disease) • • • Manifestazioni intorno alla 3°-4° decade di vita Non familiare fino al 25% dei casi Bilaterale Reni aumentati di volume, ma di aspetto “renale” Cisti distrib. omogeneamente tra corticale e midollare Originano da qualsiasi segmento nefronico Parenchima renale interposto non displasico Cisti epatiche (30% dei casi) Cisti pancreatiche (10% dei casi) Cisti tiroide, ovaio, endometrio, vescic. seminali, epididimo, etc. Anomalie cardiovascolari (18% dei casi) (Prolasso mitrale, Aneurismi aortici, etc) • Aneurismi arterie cerebrali (10 -22%) • Diverticolosi intestinale, ernia iatale, ernie addominali, diastasi dei retti
ADPKD: Manifestazioni • • Dolore addominale – Pielonefrite/infez. cisti – Nefrolitiasi (spesso uratica) – Emorragie cistiche – Diverticolite – Aneurisma addominale aortico – Nefromegalia Macro- microematuria (per rottura delle cisti) Ipertensione (50 -70% dei casi) Insufficienza renale cronica dalla 4° decade (>6° decade ca. 50% dei casi) Massa addominale Nefrolitiasi Eritrocitosi ADPKD tp 1 vs tp 2: 85 -90% dei casi vs. 10 -15%. Tp 2 comparsa più tardiva e più lenta evoluzione.
CAUSA DI NUOVI CASI DI UREMIA NEL 2001 NEL VENETO (casi incidenti)
ADPKD: Diagnosi – Criteri primari • Numerose cisti omog. distrib. tra cortic. e midoll. • Reni grandi • Familiarità – Criteri secondari • • Fegato policistico Aneurismi arteriosi cerebrali Cisti pancreatiche Insuff. renale
Screening per la presenza di aneurismi cerebrali nell’ADPKD Gli aneurismi cerebrali (ICA) sono spesso familiari nei pazienti con ADPKD
Rene policistico infantile (ARPKD: Autosomic Recessive PKD) • 1 ogni 20000 nascite • Gene anomalo: fibrocistina (PKHD 1) 6 p 21 -23 • Cisti sacciformi – 1 -2 mm x 1 -8 mm – Dotti collettori – Disgenesia biliare ARPKD in un neonato. L’ecografia ad alta risoluzione, pannello superiore, mostra dotti collettori dilatati (frecce) a disposizione radiale. La TAC contrasto (pannello inferiore) mostra un nefrogramma striato.
Manifestazioni cliniche dell’ARPKD
Manifestazioni cliniche dell’ARPKD • RENALI – Prenatali e neonatali • • • Oligoidramnios Nefromegalia ed iperecogenicità parenchima renale Distocia Insufficienza renale Distress respiratorio con ipoplasia polmonare (potenz. Fatale) – Infanzia-adolescenza • Nefromegalia • Ipertensione • Insufficienza renale cronica progressiva (sopravv. Renale del 60% a 15 anni, del 30% a 25 anni) • EPATICHE – Fibrosi portale – Ectasia vie biliari intra-epatiche
Cisti midollari e dotti collettori dilatati. Prominente dilatazione dei dotti midollari.