EPTEL DOKUSU Prof Dr Alpaslan GKMEN Adnan Menderes

































































































- Slides: 97
EPİTEL DOKUSU Prof. Dr. Alpaslan GÖKÇİMEN Adnan Menderes Üniversitesi Tıp Fakültesi Histoloji Ve Embriyoloji Anabilim Dalı
Canlı Organizma Organ Sistemleri Organlar Dokular Hücreler Organeller
DOKU NEDİR ? Belirlenmiş işlevleri yerine getirmek üzere, benzer özelliklere sahip hücrelerin bir araya gelmesiyle oluşan yapılardır.
Vücuttaki her bir doku tipi farklılaşmış ilgili hücrelerin temel özellikleri göz önüne alınarak sınıflandırılır. Buna göre organizmada bulunan dokular; 1. Epitel Dokusu, 2. Destek Dokusu, 3. a. Bağ Dokusu 4. b. Kıkırdak Dokusu 5. c. Kemik Dokusu 6. d. Kan ve lenf dokusu 7. 3. Kas Dokusu 8. 4. Sinir Dokusu 9. 5. Deri Dokusu olarak, beş alt gruba ayrılarak incelenir.
Epitel Dokusunun embriyonik kökeni Epitel dokusunun, embriyonun her üç germ yaprağından da köken alır Ø Derinin yüzey epiteli, ekdodermden, Ø Sindirim borusu endodermden, Ø Kan damarlarının endoteli mezodermden gelişir
Epitel Dokusu Nerelerde Bulunur ? Epitel Dokusu; 1. Vücudun dış yüzeylerini örten bölgelerde (Deri), 2. Vücut içindeki içi boş tüp veya boşlukların iç yüzünde (mide-barsak kanalı, kan damarları) ve 3. Salgı bezlerinin kanal bölümlerinde bulunmaktadır. ve salgılayıcı
Epitelin İşlevi nedir ? 1 Koruma: ØYırtılma ve aşınmalara karşı koruyuculuk Øİçerdiği keratin ve mukus sayesinde kurumaya parşı koruyuculuk 2. Emilme: ØBöbrek ve barsaktaki mikrovilluslar sayesinde emilim 3. Yüzey geçişi: ØHücre yüzeyindeki kinosilyumlar vasıtasıyla yüzeyel taşıma
4. Salgı: Ø Hormon, sindirim enzimi ve mukus salgılamak 5. Duyu algılaması: Ø Tat tomurcukları, olfaktör epitel 6. Kasılma Ø Bezlerdeki miyoepitelyal hücreler
Epitelin Özellikleri Nelerdir? Hücreler bitişiktir Hücrelerin yan yüzleri arasında güclü bağlantılar Hücrelerin bir yüzeyleri serbest olup bir boşluğa bakar Hücreler bazal membran üzerine oturmuştur Bazal membran Bağ dokusu
Epitelin Sınıflandırılması Epitel dokusu yaptığı işleve göre: 1. Örtü Epiteli 2. Bez Epiteli
Örtü Epitelin Sınıflandırılması İhtiva ettiği hücre tabaka sayısı dikkate alınarak iki alt gruba ayrılır. Basit Epitel: Bir tabaka hücre katmanı içermekte olup “tek katlı epitel” olarak da isimlendirilmektedir Tabakalı Epitel: Birden çok sayıda hücre tabakasına sahiptir “çok katlı epitel” olarak da isimlendirilir
Tek katlı (basit) Çok katlı
Tek Katlı Epitelin Sınıflandırılması 1. Tek katlı yassı epitel, 2. Tek katlı kübik epitel 3. Tek tatlı prizmatik epitel 1. Tek katlı (basit) yassı epitel: Damar endotelinde ve mezotelde Karşılıklı geçişlerin (gaz) daha hızlı yapılabilmesi için oldukça ince bir tabakadır
Dışarıya karşı korunmuş iç yüzeylerde bulunurlar. Øİçi boşluklu yapıların mezoteli, ØDamar ve kalbin iç yüzünü döşeyen endotel, ØEklem kapsüllerinin iç yüzünü döşeyen sinoviyal örtü epiteli, ØBowman kapsülünün yapraklarını döşeyen epitel pariyetal ve visseral
2. Tek katlı kübik epitel: Bu epitel hücreleri kübik bir şekle sahip olup, hücre çekirdekleri yuvarlak ve ortadadır. Bu epitel türü salgı ve emilim yapan bölgelerde bulunur (Böbrek tübülleri, tiroid folikülleri).
ØHücrelerin eni boyu yüksekliği birbirine eşittir Ø Çekirdek hücrenin şekline uygun yuvarlak ve hücrenin ortasına yerleşmiştir ØSitoplazması yassı hücreden daha bol olduğu için daha fazla organel taşır ve daha aktif hücrelerdir Ø Örtü işlevlerinin yanında emilim ve bazılarında salgılama özelliği de vardır
Bulunduğu yerler: ØOvaryumu örten epitel, basit kübik veya izoprizmatik bir özelliğe sahip olup örtücü bir fonksiyona da sahiptir Ø Tiroid follikülünde bulunan kübik epitel ise emilim ve salgılama özelliği taşır ØPankreas ve tükrük bezlerinin salgılama kanalında , akciğerlerde respiratuar bronşiyollerde, bazı böbrek tubüluslarında, lensin ön yüzünde
3. Tek katlı prizmatik epitel: Şekilleri dikdörtgen prizmasına benzer Hücre içi organellerin yerleşimi üst tarafa, hücre çekirdeği bazal membrana daha yakındır Bu tür hücrelerin işlevsel etkinlikleri oldukça yüksektir İnce barsaklarda emilim, midede salgılama yapan hücreler tek katlı prizmatiktir.
ØHücrelerin boyları basık prizmadan, yüksek prizmaya kadar değişebilir ØHücrelerin üst yüzeyinde yüzey farklılaşması vardır ØHücreler prizmatik veya silindirik biçimlidirler ØHücrelerin hepsi bazal membrana tek sıra halinde yerleşmiştir
ØHücreler yana gelince karşılıklı basınç nedeniyle prizmatik biçim almışlardır ØYan yana olan hücrelerin çekirdekleri aynı düzlemde gözlenir ØHücrelerin hepsinde çekirdek gözlenebilir ØÇekirdek hücrenin şekline uygun biçimdedir
Bulunduğu yerler: Ø Organizmada bol olarak gözlenir Ø Bu hücrelerde de koruma işlevi ile birlikte emilme ve salgılama özelliği de vardır Ø Midenin iç yüzünü döşeyen epitel ve bir çok bezlerin boşaltma kanallarını döşeyen epitel bu tiptir Ø Bu epitel hücrelerinde işlevsel yönünden bir kutuplaşma vardır
Ø Hücrenin lümene (boşluk) bakan yarımları üst yarımdır, tabana bakan yarımları bazal yarımdır Ø Midede bu hücrelerin üst yarımları mukus ile doludur Ø Mukus maddesi bu hücreler tarafından salgılanır, mukus midenin iç yüzünü ince bir tabaka halinde örter Ø Mide mukozasını kimyasal ve fiziksel etkenlere karşı korur
Tek katlı prizmatik (silindirik kinosilyalı ) silli epitel: Ø Bu epiteli uterus, tuba uterina, akciğerlerin küçük bronşları, paranazal sinuslar ve medulla spinalisin kanalis sentralisinde bulunan hücreler oluşturur Ø Siller hem temizleme işlevi yapar hem de boşluk içindeki yapıları ilerletme vazifesi vardır
Tek katlı prizmatik çizgili kenarlı epitel: Ø Barsakların iç yüzünü döşeyen epiteldir Ø Çizgili kenarı daha az belirgin bir epitelde safra kesesinin içini döşer Ø Bu epitelin serbest yüzeyinde yüzey farklılaşması vardır Ø Bu farklılaşma ışık mikroskobu seviyesinde çizgili kenar veya fırçamsı kenardır
Ø Elektron mikroskobik seviyede ise bu yüzey farklılaşması mikrovillus olarak tanımlanır. Ø Bu yüzey farklılaşmaları hücrenin serbest yüzeyinin yüz ölçümünü artırarak emilim alanını genişletmek amacıyla oluşmuştur
Çok Katlı Epitelin Sınıflandırılması Çok katlı epitel dokusu isimlendirilirken, serbest yüzeye komşu olan hücrenin özellikleri dikkate alınır Serbest yüzey Bazal membran Bağ dokusu
Çok Katlı Epitelin Sınıflandırılması Serbest yüzey Buna göre, 1. Çok katlı yassı epitel, 2. Çok katlı kübik epitel 3. Çok tatlı prizmatik epitel Bazal membran
1. Çok katlı yası epitel: Organizmada bu epitelin iki çeşidi gözlenir: a. Çok katlı yassı ( orta derecede keratinize ) epitel b. Çok katlı (yaygın keratinize) epitel
ØÇok katlı yassı epitel, organizmanın koruyucu epitelini oluşturur ØAğız, özefagus, vajen gibi yüzeyi her zaman nemli tutulan yapıları örter Ø Birbiri üzerine yığılmış bir çok hücre katmanından oluşmuştur ØHücrelerin düzen ve şekilleri oldukça özgündür
ØBazal membran üzerine oturan en derin hücre katı prizmatiktir ØBu hücreler bazal yüzlerinde hemidesmozomlarla bazal membrana bağlanırlar ØBu hücre katını, poligonal hücrelerden yapılmış bir çok hücre katları izler ØYüzeye doğru gittikçe hücreler yassılaşır serbest yüzde ise hücreler çok yassı olurlar
ØBu bazal membrana oturan prizmatik hücre katı ile orta poligonal hücre katları yüzeydeki yassı hücrelerden daha genç hücrelerdir Ø Bu genç hücrelerin çekirdekleri iridir. Kromatin ağı sıktır. Bundan dolayı da, çekirdek H-E ile koyu boyanır bu genç hücrelerin sitoplazmaları RNA yönünden zengin olduğu için bazofili gözlenir ØBazalde bulunan oldukça çoktur prizmatik hücrelerden mitoz
ØBu bazal tabaka üstteki spinozum tabakası ile birlikte stratum germinativum (doğurucu tabaka) adı da verilir ØOrta kattaki poligonal hücreler arasında intersellüler aralıklar vardır ØBu aralıklarda, metabolizma maddelerini taşıyan doku sıvısı dolaşır
Bulunduğu yerler: • Organizmanın dış yüzeyine açılan iç vücut boşluklarının ağız kısımlarını örter. • Örneğin ağız boşluğu, farinks, özefagus ve vajeni döşeyen mukoza epiteli, çok katlı yassı epiteldir • Ayrıca bu epitel tipine korneanın dış yüzünde ve pilika vokaliste de rastlanır.
Ø Organizmada çok katlı yassı epitelin en ince olanı göz korneasını örten epiteldir Ø Korneanın çok katlı yassı epiteli kuvvetli PAS pozitif bir bazal membran üzerinde 5 -7 hücre katmanından oluşmuştur Ø Burada epitelin bağ dokusuna dönük bazal yüzü düz ve muntazamdır Ø Papilla bulunmaz
Ø Ağız boşluğu farinks, özefagus, vajen ve üretranın son kısmı gibi dış cevre ilişkili vücut boşluklarını döşeyen çok katlı yassı epitel daha çok hücre katmanından yapılmıştır. Ø Bazal membranın altındaki bağ dokusu içinde yayılmış kapiller ağlarından metabolizma maddelerinin epitelin orta ve yüzey katlarına ulaşmasını, metabolizma artık maddelerinin ise ters yönde kapillere ulaşmasını sağlamak için orta hücre katlarında intersellüler aralıklar oldukça geniştir.
Ø Çok katlı yassı epitelin derin bazal yüzü düz değildir Ø Altındaki bağ dokusu ile birbirine geçen girinti ve çıkıntılar yapar Ø İşlevsel şartlara bağlı olarak epitel içine giren bu bağ dokusu uzantılara papilla adı verilir Ø Bu bağ dokusu papillalar çok sık kapiller ağı taşırlar ve hücre katman sayısı fazla olan epitelin beslenmesini kolaylaştırmaya yönelik özel yapılardır Ø Papillalar aynı zamanda çok katlı epitelin bağ dokusuna daha sıkı bağlanması da sağlamış olur.
Çok katlı keratinize epitel: Ø Vücudun dış kısmını örten yaygın keratinize çok katlı epitel Ø Derinin epidermis tabakasıdır. Ø Epidermis çekilme, kuruma gibi fiziksel ve kimyasal etkilere daha fazla maruz kalır Ø Epidermisteki hücre katları yüzeye yaklaştıkça canlılıklarını kaybederler Ø Hücrelerin çekirdekleri kaybolur ve hücre gövdesi sertleşir ve keratinleşen epitel çok ölür. katlı Halbuki yassı orta epitelde çekirdekleri varlıkları muhafaza ederler derece hücre
Ø Hücreler keratin adı verilen sert ve cansız bir madde ile dolarlar, bu olaya keratinizasyon adı verilir Ø Epidermisin çok katlı yassı epiteli kerantinleşen epiteldir Ø Kalınlığı 50 mikrondan birkaç santimetreye kadar değişebilir
2. Çok katlı kübik epitel: n Çok katlı kübik epitel n Bazı ter ve tükrük bezlerinin boşaltım kanallarında bulunur
2. Çok katlı prizmatik epitel: n Çok katlı prizmatik epitel n Kadın ve erkek üretrasını, konjiktivayı ve bazı bezlerin büyük boşaltım kanallarını döşer
Özel Epiteli Tipleri 1. Yalancı çok katlı epitel (Psödostratifiye) 2. Değişici epitel (Transisyonel)
1. Yalancı çok katlı epitel (Psödostrafiye) Bu epitel hücrelerin seviyelerinden dolayı çok katlıymış gibi görünmesine karşın bütün hücreler bazal membrana oturduklarından aslında tek katlıdır Çok katlı Yalancı çok katlı B. M.
ØBu epitel tipinden bazal membran üzerinde tek bir hücre katı vardır ØBütün hücreler bazal membran ile temas halindedir ØFakat hücrelerin yüksekliği ve düzenleri birbirinden farklıdır ØBir kısım hücreler geniş tabanları ile bazal membran üzerine otururlar ØFakat yüzeye kadar ulaşamazlar ØBir kısım hücreler ise daha yüksek boyludurlar ve dar sitoplazma kısımları ile bazal membrana otururlar ve epitelin serbest yüzeyine kadar uzanırlar
Bulunduğu Yerler: Ø Bu epitelin serbest yüz farklılaşması göstermeyen basit tipi; bir çok bezlerde boşaltma kanallarının iç yüzünü örter ØApikal yüzlerinde kinosilya olan tipi yalancı çok katlı (psödostratifiye) prizmatik (silindirik) kinosilyalı = silli epiteldir. ØBu epitel tipi büyük solunum yollarının içini döşer ØBu epitel tipinin apikal yüzlerinde sterosilya olan tipide erkek genital bölümlerinde gözlenir boşaltma yollarının bazı
2. Değişici epitel (Transisyonal) Bu epitel özelliği itibariyle tipik çok katlı epitel karekteristiğini taşımasına rağmen bazı yönlerden farklıdır. Bulunduğu organın gerilme ve şişmesine uyum sağlayacak biçimde organize edilmiştir
ØPelvis renalis, üreter, mesane ve üretranın başlangıç kısmında bu tip epitel vardır ØHacimleri değişir ØBu organlar kısa süre içinde önemli basınç ve hacim değişmelerine uğrarlar ØHücrelerin biçimi, düzeni ve kat sayısı değişir Ø Organ dolu olduğu ve duvarları genişlediği zaman bu epitel iki veya üç katmandan oluşur ØYüzeyel hücreler geniş yassı olurlar bu geniş yassı hücrelerin altında bazal membran üzerinde iki kat derin hücre tabakası olur. ØBu hücreler kübik veya prizmatiktirler
ØKasılma sonucu boşalan organda ise epitel kalınlaşır 4 -6 hücre katmanı görülür ØBoşalan organda yüzeyel hücreler prizmatik şekillidir ØBu prizmatik hücrelerin lümene bakan kabarık = konveks serbest yüzleri va altındaki hücreler üzerine oturan girintili çıkıntılı yüzleri var Ø Bu hücreler bir iki çekirdek içerirler ve sitoplazmaları yoğun ve koyu boyanırlar
ØDerin hücreler; birbiri üzerine binmiş durumda bazal membran üzerinde hücre katları yaparlar ØBu derin hücreler uzun veya armut şeklinde hücrelerdir, dar yuvarlak üst yüzleri ile altındaki hücrelerin oyuk derin yüzleri içine girerler ØApikal ve bazal yüzdeki bu yapısal durum organ dolu olup da gerildiği zaman, yüz ölçümünün genişlemesi ile kaybolur
ØTonofilamanlar yüzeyel hücrelerin serbest yüzleri altındaki yoğun sitoplazmada çoktur ØBu yoğun sitoplazma tabakası koruma desteklik görevi de yapar ØOrganın lümeninde bulunan hipertonik idrar içine su geçişini engeller ØTonofilamanlar, hücrede desmozomlara doğru yönelirler ØDesmozomlar derin hücreler arasında azdır dolayısıyla daralma ve genişleme sırasında derin hücreler birbiri yanından kayarak yer değiştirmeleri kolaylaşır
Özelleşmiş Epitel n n Goblet Hücreleri: Tek hücreden meydana gelmiş bir bezdir. Bunların etrafını bir bağ dokusu kılıfı çevrelemez. Genellikle epitel hücreleri arasında yerleşmişlerdir. Şekilleri kadehe benzediği için, kadeh hücreleri veya kalsiform hücreler olarakta bilinirler. Sindirim sisteminde mideden itibaren sayıları giderek artamaya başlar ve kolonda en üst düzeye ulaşır. Ayrıca solunum sisteminde de bol miktarda goblet hücresi vardır. Bu hücreler asit glikoprotein nitelikte salgı yaparlar.
Özelleşmiş Epitel n n Sindirim sisteminde mukozal yüzeyi kayganlaştırıp, bu bölgeleri pankreatik enzimlerden ve bakteriyal tutulumdan korurlar. Işık mikroskobunda, hücrenin üst bölümünde büyük mukus içeren veziküllere sahip köpüksü görünümdedir. Taban kısmında, çekirdek ve az miktarda GER yerleşiktir. Bol miktarda bulunan oligosakkarit kalıntılarından dolayı PAS pozitif boyanır.
Özelleşmiş Epitel n n Miyoepitelyal Hücreler: Dış salgı bezlerinin son kısımlarında, salgı hücresi ile bazal lamina arasında bulunan ektodermal kökenli hücrelerdir. Sitoplazmasında aktin, miyozin ve tropomiyozin miyofilamanları bulunduğu için kasılabilirler. Seröz asinusları saran miyoepitelyal hücreler, dallanmış şekildedir ve basket hücreleri olarak da bilinirler. Müköz tübüllerdeki miyoepitelyal hücreler, yıldızsı (stellat) şekildedirler.
Özelleşmiş Epitel n Bu hücrelerin kasılması ile ekzokrin salgı, boşaltım kanallarına geçer. Miyoepitelyal hücreler gözyaşı, tükrük, meme ve ter bezleri ile testisin seminifer tübülleri etrafında yerleşiktir.
Özelleşmiş Epitel n n Diffüz (Yaygın) Nöroendokrin Sistem (DNES): Polipeptid salgılayan hücrelerdir. Çekirdek üstüne yerleşimli Golgi kompleksini, az sayıda GER ve taban kısmında salgı granüllerini içerir. Amin prekürsörlerini alıp dekarboksile ettiklerinden dolayı sitoplazmalarında, epinefrin, norepinefrin ve serotonin bioaktif aminlerini konsantre ederler. Bundan dolayı APUD hücreleri olarakta biliniyorlardı. Fakat bu hücrelerin hepsi amin prekürsörlerini dekarboksike ede- medikleri sonradan belirlendiği için, APUD yerine DNES terimi kullanılmaya başlanmıştır. Çoğu APUD hücreleri, tek hücreli bezler olup diğer epitelyal hücreler arasına dağılmıştır. Bunlar başlıca embriyonik nöral kristadan türerler.
Özelleşmiş Epitel n Sayı, çeşitlilik ve dağılım bu hücrelere diffüz nöroendokrin sistem özelliğini kazandırmıştır. Bazı APUD polipeptidleri komşu hücreler üzerine parakrin etki gösterirken, diğerleri kan dolaşımına girerek uzaktaki hücreler üzerine endokrin etki yapar.
Paneth Hücreleri • Paneth Hücreleri: İnce bağırsakta Liberkühn kriptalarının (basit tübüler veya dallanmış tübüler bezlerin) altında yerleşik olan piramit şeklindeki hücrelerdir. Lizozim olarak adlandırılan anti-bakteriyel maddeyi salgılar.
Pariyetal Hücreler • Pariyetal Hücreler: Mide bezlerinde bulunan piramidal hücrelerdir. Apikal hücre zarı, derin girinti ve çıkıntılar yaparak intraselüler kanalikülleri oluşturur. Kanaliküller, yuvarlak ve tübüler veziküllerden (tubüloveziküler sistem) zengindir. Pariyetal hücreler, HCl ve mide intrinsik faktör sentezleyip mide boşluğuna verir.
Bez Epiteli n Salgı yapan epiteli ifade eder. Endokrin ve ekzokrin olmak üzere iki çeşittir. Pankreasın Langerhans adacıkları, adrenal (böbrek üstü) bezler, hipofiz, tiroid ve paratiroid bezleri, endokrin bezlere örnektir. Retiküler liflerce desteklenen endokrin bezler, kordon veya follikül şeklinde düzenlenmiştir. En sık kordon şekli, kılcal yumakların veya kan sinüzoidlerinin etrafındaki anastomozlar biçiminde görülür. Hücre içinde depolanan hormon (böbrek üstü bezi, hipofizin ön lobu, paratiroid bezi, v. s), uygun sinyal molekülü veya sinirsel uyarı aracılığıyla salınır. Endokrin bezin folliküler türünde ise, salgı hücreleri folliküler boşluğu çevirir ve üretilen hormonu alıp depolar. İlgili sinyal bu hücrelere ulaştığında, depolanan hormon tiroid bezinde olduğu gibi
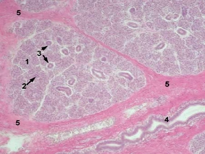
Ekzokrin Bezler n Salgılarını bir boşaltım kanalı yoluyla dış ortama verirler ve kapiller ağ yönünden çok zengin değillerdir. Pankreasın ekzokrin bez kısmı, parotis, submandibular (çene altı) ve sublingual (dilaltı) bezler, ekzokrin bezlere birer örnektir.
Ekzokrin Bezler n Yaptıkları salgının özelliğine göre seröz, müköz ve miks (karma) bezler olmak üzere alt gruplara ayrılabilir. Pankreasın ekzokrin kısmı ve parotis, tamamen serözdür. Submandibular ve sublingual bezler ise, karma tipte salgı yapan ekzokrin bezlerdir. Gözle görülebilen (anatomik, makroskobik) bu bezlerden, seröz bezler asinuslardan (alveolus), müköz bezler ise müköz tübüllerden meydana gelmiştir.
Ekzokrin Bezler n Gerek seröz ve gerekse müköz salgı yapan son kısımlar, kübik epitel hücreleriyle örtülü olan interkalar (başlangıç, inisyalis) kanallara açılır. Daha sonra birleşen bu kanallar, striat (çizgili, intralobüler) kanalı oluşturur. Çizgili kanallar, kendi aralarında birleşir ve bağ dokusu septalarının (bölmelerinin) içine ekskratuvar (salgısal, interlobüler) kanallar şeklinde açılır. Bu kanallar da, kendi aralarında birleşerek parotis bezinde Stenon, submandibüler bezde Wharton ve sublingual bezde ise, majör sublingual kanal adı altında ağız boşluğuna açılır. Makroskobik bezlerin dışında, sıkı bağ dokusu kılıfı bulunur. Septalar bu kılıftan içeri doğru girerek, bezi loblara ve lobçuklara ayırır.
Ekzokrin Bezler n Çizgili kanalların en önemli özelliği, hücre tabanından çekirdeklere doğru uzanan zar katlantılarından meydana gelmiş olmalarıdır. Bu katlantılarda bol miktarda bulunan mitokondriyonlar, katlantının uzun eksenine paralel olarak yerleşmiştir. Böyle bir yerleşim, özellikle işlevsel açıdan yoğun olan ve çalışmaları esnasında göreceli olarak daha fazla enerji tüketen tükrük bezi ve böbrek proksimal ve distal tübülleri için oldukça önemlidir.
Ekzokrin Bezler n Parotisin ve pankreasın ekzokrin bez kısmı saf serözdür. Pankreasta çizgili kanalın olmaması, sentroasiner hücrelerin bulunması ve Langerhans adacıklarının mevcudiyeti, parotisle pankreası birbirinden ayırır. Submandibular ve sublingual bezler karma bezlerdir yalnız, submandibular bez seröz ağırlıklıdır. Submandibular ve sublingual bezlerde gözlenen seröz yarımaylar (Gianuzzi yarımayları), gerçekte bir tespit hatasıdır. Klasik yöntemlerde seröz yarımaylar gözlenirken, hızlı dondurma yönteminden sonra, seröz yarımaylar gözlenemez. Bunlar, klasik tesbit yöntemleriyle elde edilen dokuların ışık ve elektron mikroskobu altında gözlemlenen artefaktlarıdır
Ekzokrin Bezler n Seröz bezlerde bol miktarda bulunan zimojen granüller, sitoplazmanın üst kısmında yer alır. Seröz bezler, akıcı kıvamda ve protein yapısında salgı yapar. Hücre çekirdekleri, ortada yerleşiktir ve yuvarlak şekillidir. Hematoksilen – eozinle boyanan kesitlerde, hücrenin bazal kısımları hematoksilenle, apikal kısımları ise eozinle boyanır.
Ekzokrin Bezler n Müköz bezler ise, karbonhidrat yapısında salgı yapar. Sitoplazmalarının üst kısmında, bol miktarda müsinojen granüller vardır. Bu granüller hema- toksilen ve eozin boyalı kesitler hazırlanırken kaybolduğu için, hücrelerin bu kısımları genellikle boş olarak görülür. Ayrıca, klasik histoloji preparatı hazırlama yöntemiyle elde edilen bez yapılarında, müköz bez hücrelerine ait çekirdekler periferik (çevresel) yerleşimli ve yassı olarak görülür. Hızlı dondurma yönteminde ise, bu hücrelerin çekirdeklerinin aslında yuvarlak şekilli ve merkezi yerleşimli oldukları ortaya çıkmıştır. Müköz bez hücreleri, koyu kıvamda salgı üretir ve açık renkte boyanır.
Salgılama Çeşitlerine Göre n Merokrin (Ekrin) Salgılama: Salgılama ürünü, veziküllerle hücrenin apikal yüzeyine taşınır. Veziküller hücre zarıyla birleşir ve içeriklerini ekzositozla dış ortama verir. Pankreasta da olduğu gibi, vücutta en sık görülen salgılama çeşidi merokrin tiptedir.
Apokrin Salgılama n Salgı ürünü hücre zarının apikal kısmından ayrılırken, bir miktar hücre zarını da beraberinde götürür. Bu salgılama biçimi meme bezlerinde, derinin apokrin, göz kapağının siliyer (Moll’s) ve dış kulak yolunun seromüsinöz bezlerinde görülür.
Holokrin Salgılama n Salgı ürünü, olgunlaşmaya devam eden hücrenin içinde birikir. Daha sonra, salgı ürünü içinde bulunduğu hücreyle birlikte dış ortama atılır. Örnek: Overler, derideki yağ ve göz kapağındaki Meibomian bezleri
Vücudumuzda, bezlerin kanal ve salgı kısımlarının değişik şekilde bir araya gelmesiyle aşağıdaki bez yapıları meydana gelir: A Basit Tübüler Bezler: Kalın barsağın salgı bezlerinde olduğu gibi salgısal kısımları, goblet hücrelerince meydana getirilmiş düz tübüler yapıdaki bezlerdir. B Basit Kıvrıntılı Tübüler Bezler: Derideki ter bezleri, kıvrıntılı tübüler bir yapı gösterip, dermiste yerleşik olan salgı kısımlarından meydana gelmiştir. C Basit Dallı Tübüler Bezler: Midenin pilor bölgesindeki mukus salgılayan bezlerdir. Geniş salgısal kısımlara sahip olan dallı tübüler bezler, mukus salgılar. D Basit Alveoler Bezler: Üretradaki paraüretral ve periüretral bezlerdir. Bu tür bezler, değişici epitelin bir çıkıntısı olarak gelişir ve tek tabakalı salgısal hücrelerden oluşur.
Vücudumuzda, bezlerin kanal ve salgı kısımlarının değişik şekilde bir araya gelmesiyle aşağıdaki bez yapıları meydana gelir: E Basit Dallı Alveoler Bezler: Midenin kardiya bölgesindeki mukus salgılayan bezlerdir. Bu bezlerin kısa ve tek boşaltım kanalları, doğrudan yüzeye açılır. F Bileşik Tübüler Bezler: Sindirim sisteminde özefagus ve duodenum ile solunum yollarının mukoza altında yerleşik bezlerdir. Duodenum submukozasındaki Brunner bezleri, buna tipik bir örnektir. Bu bezler, müköz alkali sıvı ile birlikte polipeptid yapısında bir hormon olan urogastronu (human epidermal growth factor) salgılar. Bu hormon mideden HCl üretimini baskılar ve epitel hücrelerin mitotik aktivite hızını artırır. G Bileşik Tübüloalveoler Bezler: Submandibüler bezler iyi bir örnektir. Bu tür bezler, hem seröz ve hem de müköz salgı kısımlarına sahiptirler. H Bileşik Alveoler Bezler: Pankreastaki ekzokrin bezlerdir.
Klinik – Endometriyozis n Periton boşluğundaki değişik yerlerde, ektopik endometriyum dokusunun (bez yapısının) olmasıdır. Bazen, göz ve beyin gibi periton dışındaki sahalarda da görülebilir. Endometriyozisin etyolojisi, tam bilinmemektedir. Fakat muhtemelen menstruasyon döngüsü esnasında bazı endometriyal hücrelerin diğer yerlere göç etmesinden kaynaklandığı düşünülmektedir. Vakaların çoğunda, endometriyozise kistler de eşlik eder.