EPTEL DOKU KONU EPTEL DOKU rt Epiteli Tek

  • Slides: 19
Download presentation
EPİTEL DOKU

EPİTEL DOKU

KONU : EPİTEL DOKU Örtü Epiteli üTek Katlı Kübik Epitel üTek Katlı Mikrovilluslu Prizmatik

KONU : EPİTEL DOKU Örtü Epiteli üTek Katlı Kübik Epitel üTek Katlı Mikrovilluslu Prizmatik Epitel üTek katlı Yassı Epitel üYalancı Çok Katlı Kinosilyalı Epitel üÇok Katlı Yassı Epitel üÇok Katlı Değişici Epitel Salgı (Bez) Epiteli üGoblet Hücresi üSeröz Bez, Müköz Bez

KONU: ÖRTÜ EPİTELİ ü Tek Katlı Mikrovilluslu Prizmatik Epitel ü Tek Katlı Kübik Epitel

KONU: ÖRTÜ EPİTELİ ü Tek Katlı Mikrovilluslu Prizmatik Epitel ü Tek Katlı Kübik Epitel ü Yalancı Çok Katlı Kinosilyalı Epitel

Tek Katlı Mikrovilluslu Prizmatik Epitel Preparat: İnce barsak (38) Kesit: Enine Boya: Hematoksilen-Eozin Genel

Tek Katlı Mikrovilluslu Prizmatik Epitel Preparat: İnce barsak (38) Kesit: Enine Boya: Hematoksilen-Eozin Genel Görüntü (4 X 10) Lümen

10 X 10

10 X 10

villus

villus

Tek Katlı Mikrovilluslu Prizmatik Epitel Çekirdek Sitoplazma Bazal Membran Mikrovillus Çekirdek Tek Katlı Mikrovilluslu

Tek Katlı Mikrovilluslu Prizmatik Epitel Çekirdek Sitoplazma Bazal Membran Mikrovillus Çekirdek Tek Katlı Mikrovilluslu Prizmatik Epitel

Tek Katlı Mikrovilluslu Prizmatik Epitel

Tek Katlı Mikrovilluslu Prizmatik Epitel

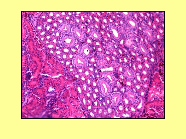
Tek Katlı Kübik Epitel Preparat: Böbrek(25) Kesit: Enine Boya: Hematoksilen-Eozin

Tek Katlı Kübik Epitel Preparat: Böbrek(25) Kesit: Enine Boya: Hematoksilen-Eozin

Tek Katlı Kübik Epitel Lümen Çekirdek

Tek Katlı Kübik Epitel Lümen Çekirdek

Tek Katlı Kübik Epitel Preparat: Tiroid Kesit: Enine Boya: Hematoksilen-Eozin

Tek Katlı Kübik Epitel Preparat: Tiroid Kesit: Enine Boya: Hematoksilen-Eozin

Tiroid Folikülü Kolloid Tek Katlı Kübik Epitel

Tiroid Folikülü Kolloid Tek Katlı Kübik Epitel

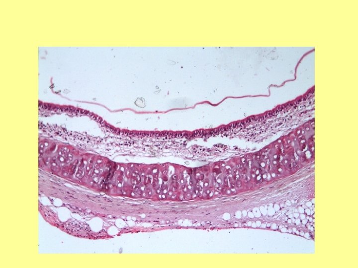
Yalancı Çok Katlı Kinosilyalı Epitel Preparat: Trakea-Özefagus (39) Kesit: Enine Boya: Hematoksilen-Eozin Lümen Özefagus

Yalancı Çok Katlı Kinosilyalı Epitel Preparat: Trakea-Özefagus (39) Kesit: Enine Boya: Hematoksilen-Eozin Lümen Özefagus Trakea Genel Görüntü (4 X 10)

Yalancı Çok Katlı Kinosilyolu Epitel Bazal Membran

Yalancı Çok Katlı Kinosilyolu Epitel Bazal Membran

Kinosilyum Yalancı Çok Katlı Kinosilyalı Epitel

Kinosilyum Yalancı Çok Katlı Kinosilyalı Epitel