EPITHELIUM What is meant by epithelium Define epithelium
EPITHELIUM
• • What is meant by epithelium? Define epithelium Why epithelium is called epithelium Why epithelium is given this name
• Following statements regarding epithelium are correct except A. Epithelium is layered collection of cells covering external and internal surfaces of the body, including the lining of vessels and other small and large cavities. B. The term, epithelium was used to refer to the cellular covering of the nipple. C. Epithelium is predominantly cellular tissue with numerous intercellular junctions D. Epithelium is a layered collection of cells with large amount of intercellular material. E. The main function of the epithelial lining of gastrointestinal tract is absorption.
• Epithelium, pl. epithelia. [Gr. epi- on + Gr. thēlē nipple] • Epithelium is layered collection of cells covering external and internal surfaces of the body, including the lining of vessels and other small and large cavities.
• This term (epithelium) was used to refer to the cellular covering of the nipple. • Nipple is also called thelium. • Thelium is a papilla or a nipple. • Later on the term epithelium has been extended to include the cellular coverings of the external and internal surfaces of the body.
• The term epithelium derives from the fact that the interface between epithelium and the underlying connective tissue frequently shows projections and depressions (epidermal and dermal papillae) which appear as small nipples.
• Epithelium is predominantly cellular tissue with numerous intercellular junctions and very little intercellular substance. • Epithelium is a layered collection of cells, held together in close contact by intercellular junctions, with a small amount of intercellular material.
Epithelium palm of hand. H&E 400 x.
Epithelium of Esophagus. H&E 100 x.
Eithelium lining Trachea. H&E 400 x.
Epithelium in Urinary bladder. H&E 400 x.
• Epithelium is the covering of internal and external surfaces of the body, including the lining of vessels and other small and large cavities. • Simple Squamous Epithelium lining a Capillary wall. • H&E stain. Magnification 400 x.
• What are the functions of epithelium
• Functions of epithelial tissue are protection, secretion, absorption and sensation.
• How the epithelium is separated from the underlying connective tissue
• ALLAH THE KHALLAQ-UL-ALLEEM ﺧﻼﻕ ﺍﻟﻌﻠﻴﻢ has placed a membrane between the epithelium and connective tissue called basement membrane. • Name the components of basement membrane
• This membrane consists of two components, basal lamina derived from epithelium and reticular lamina derived from connective tissue. • Describe the blood supply of epithelium • How the epithelium is gets its nutrition
• Epithelium is avascular. • Nutritive materials and oxygen enter it by diffusion through the cells and across basal lamina.
Classification of Epithelium • There are two types of epithelial tissue: –Surface Epithelium –Glandular Epithelium
SURFACE EPITHELIUM • The epithelium covering the body or lining the surfaces of body cavities, viscera and tubes or hollow channels in the body is called surface epithelium. • It is divided into two main varieties.
• • Classical: Here the cells forming the epithelium are arranged in regular layers. It may be single layered or many layered. Non-Classical: This type of epithelium contains single layered as well as many layered cells. They are not regular in arrangement.
• Classical Epithelium • Unilayered epithelium –Simple squamous –Simple cuboidal –Simple columnar
• Classical Epithelium • Multilayered epithelium –Stratified squamous –Stratified cuboidal –Stratified columnar
• Non-Classical epithelium • Complex Epithelium –Pseudostratified epithelium –Transitional epithelium –Seminiferous epithelium
• Non-Classical epithelium • Specialized Sensory Epithelium –Olfactory epithelium –Gustatory epithelium –Auditory epithelium –Retinal epithelium
Simple Squamous Epithelium • Simple squamous epithelium consists of a single layer of flat cells that resemble the tiles on a floor. • The nucleus of each cell is centrally placed and is rounded or oval.
• Simple Squamous Epithelium lining a Capillary wall. • H&E stain. Magnification 400 x. • The lining of all blood vessels is simple squamous epithelium, and usually is referred to as the endothelium.
• Simple Squamous Epithelium lining the blood vessels called Vascular endothelium. • Mallory's stain. Magnification 400 x. • Note the pointer indicating the simple squamous cells of vascular endothelium.
• Simple Squamous Epithelium. Bowman's capsule, kidney glomerulus. • Stain hematoxylin and eosin (H&E). Magnification 400 x. • The pointer indicates the thin simple squamous epithelium, composed of a single layer of flattened cells often showing conspicuous bulging nuclei.
• Simple Squamous Epithelium of Bowman's capsule. • H&E stain. Magnification 600 x. • At increased magnification note the delicate thin cytoplasm of the simple squamous epithelial cells and the presence of prominent ovoid nuclei.
• Simple Squamous Epithelium of Bowman's capsule. • Mallory's stain. Magnification 400 x. • Here again you see thin flattened simple squamous epithelial membrane with its characteristic structure.
• SITES: • Endodermal: • Alveoli of lungs;
• Mesodermal: – Renal Corpuscles and thin segments of Loope of Hen. Ie of kidneys; – Lining of the Cardiovascular system (Heart, Blood vessels and Lymphatics); – Lining of Body Cavities (Pleural, Pericardial and Peritoneal). – Subarachnoid and Subdural cavities – Chambers of the Eye – Perilymphatic spaces of the Ear – Lining of the synovial membranes of Joint cavity and Bursae
• The surface of the ovary is covered, in the young female, with a layer of cuboidal cells which become flattened later in life. • The flat, thin cells are ideally suited to perform the functions of diffusion (alveoli of lungs) and filtration (glomeruli of kidneys).
• Simple squamous epithelium lining the cardiovascular system is given the special name of endothelium. • This is a wrong name given to this epithelium because it does not develop from endoderm rather it develops from mesoderm.
• The epithelial lining of body cavities is called mesothelium, • It does develop from mesoderm but many other epithelia develop from mesoderm yet they are not given the name mesothelium,
• The epithelium lining the synovial membranes of joint cavities and bursae, chambers of the eye, perilymphatic spaces of the ear, subarachnoid and subdural cavities is sometimes called mesenchymal epithelium which is a formality and creates inconvenience.
Simple Cuboidal Epithelium • Simple cuboidal epithelium consists of a single layer of cells shaped like cubes. • The nucleus of each cell is rounded and centrally placed.
• Simple Cuboidal Epithelium in Renal (kidney) tubules. • H&E stain. Magnification 400 x. • Simple cuboidal epithelium consists of a single layer of cells that in sections appear to be as wide as they are tall. In this frame, the upper pointer locates the supporting basal membrane for the simple cuboidal epithelium, while the lower pointer indicates a structure called the brush border. TEM shows that the brush border is composed of structures called microvilli.
• TEM [Tomographic Electron Micrograph] • Tomo-graphic [Gr. tomē a cutting + graphein to write] • An x-ray apparatus which makes a roentgenogram of a layer of tissue at any depth. • Roentgenogram is a film produced by roentgenography.
• Roentgenography is the photography by means of roentgen rays. Special techniques for roentgenography of different areas of the body have been given specific names, such as angiography, angiocardiography, encephalography, portography, pyelography, etc.
• Roentgen was a German physicist. His name was Wilhelm Conrad Röntgen. He was born in 1845 and died in 1923. He discovered roentgen rays in 1895. He was the winner of the Nobel prize in physics for 1901.
• Simple Cuboidal Epithelium of Kidney tubules. • Mallory's stain. Magnification 400 x. • Convoluted tubules of kidney are lined by simple cuboidal epithelium. The brush border of proximal convoluted tubule is indicated.
• Simple Cuboidal Epithelium. Kidney tubules. • Periodic acid-Schiff reaction. Magnification 400 x. • The periodic acid-Schiff (PAS) reaction is a histochemical technique that detects the presence of certain glycogenic mucopolysaccharides. The brush border of the simple cuboidal epithelium is stained dark redpurple, indicating a positive PAS reaction.
• Simple Cuboidal Epithelium. Kidney tubules. • H&E stain. Magnification 600 x. • Characteristic simple cuboidal epithelium at an increased magnification is visible.
• Simple Cuboidal Epithelium. Kidney tubules. • Soule's gold chloride reaction. Magnification 400 x. • The gold chloride reaction stains reticular fibrills, which in this case are located in the basement membrane. The pointer indicates the basement membrane.
• Simple Cuboidal Epithelium. Liver hepatic cells. • H&E stain. Magnification 400 x. • While actually a component of a glandular structure, the hepatic cells of the liver appear morphologically as a type of cuboidal epithelium in histological sections.
• Simple Cuboidal Epithelium. Germinal epithelium of the ovary. • H&E stain. Magnification 400 x. • Note that a layer of simple cuboidal epithelium covers the free surface of the ovary.
• SITES: – Endodermal: • Follicles of thyroid gland:
• Mesodermal: – Germinal epithelium covering the surface of ovary – Corneal endothelium of anterior chamber of eye – Kidney tubules (proximal and distal tubules of nephron)
• Ectodermal: – Intercalated ducts of salivary glands – Lens of the eye (anterior layer) – Pigment epithelium of the Retina
• The surface of the ovary is covered, in the young female, with a layer of cuboidal cells which become flattened later in life. It is called germinal epithelium. The term "germinal epithelium" is a misnomer, arising from an erroneous belief that these cuboidal cells give rise to the primodial germ cells. It is not germinatig or giving rise to any thing. Some authors now use the term cuboidal surface epithelium.
• In fact during fetal life primary and secondary cords develop from the surface epithelium of developing ovary. • The secondary cords later on forms follicular cells of primordial follicles.
• Corneal endothelium of anterior chamber of eye covers the posterior surface of the cornea and is reflected on to the front of the iris, and also lines the spaces of the iridocorneal angle.
• Simple cuboidal cells perform the functions of secretion and absorption.
Simple Columnar Epithelium • Simple columnar epithelium consists of a single layer of cells shaped tike columns standing on end. The end of each cell that rests on the basal lamina is known as the basal part of the cell. The nuclei are centrally placed or are located near the bases of the cells.
• Simple Columnar Epithelium lining the Stomach. • H&E stain. Magnification 100 x. • It is composed of modified mucus cells. Note that the mucous material in the apical portion of the cells is pale staining, homogenous in appearance.
• Simple Columnar Epithelium lining the Stomach. • Mallory's stain. Magnification 40 Ox. • The tall simple columnar epithelial cells of the stomach mucosa when stained with the Mallory method show a quantity of pale staining mucous material within the apical cytoplasm.
• Simple Columnar Epithelium lining Gall bladder. • H&E stain. Magnification 400 x. • Longitudinal sections of simple columnar epithelium reveal cells that are tall, elongated, prismatic in morphology, and are provided with an ovoid nucleus usually located toward the basal end of the cell. Simple columnar epithelial cells rest upon a thin basement membrane.
• Simple Columnar Epithelium. Gall bladder. • H&E stain. Magnification 600 x. • On the free surface of the tall columnar cells the presence of a darker staining band forming a structure known as the striated border. Like the brush border in cuboidal cells, the striated border is composed of microvilli.
• Simple Columnar Epithelium of Small intestine (Duodenum). • H&E stain. Magnification 400 x. • As characteristic of a simple columnar epithelium, note the single row of tallelongated prismatic cells. The pointer on the left side indicates the striated border, while the larger pointer terminates in the mucus plug of a goblet cell.
• Simple Columnar Epithelium of Small intestine (Duodenum). • H&E stain. Magnification 600 x. • The same picture at higher magnification. Note again the tall prismatic cells, the striated border and a well-defined goblet cell with its mucus plug.
• Simple Columnar Epithelium of Small intestine (Duodenum). • Masson's stain. Magnification 400 x. • Note again the characteristic tall prismatic cells. Goblet cells are clearly seen, one of which is indicated by the pointer.
• Simple Columnar Epithelium of Duodenum. • H&E stain. Magnification 600 x. • It is not unusual to find in the simple columnar epithelium lining of the intestinal tract an infiltration of small darkly stained cells. The pointer indicates one such cell, a leukocyte (white blood cell) from the circulating blood.
• • Simple Columnar Ciliated Epithelium Uterine tube. H&E stain. Magnification 400 x. The pointer indicates the cilia, present on the free surface of the simple columnar cells.
• • Simple Columnar Epithelium Oviduct. H&E stain. Magnification 600 x. Note the tall prismatic morphology of the cells and the well stained nuclei. The cilia are indicated by the pointer.
• SITES: – Endodermal: • Stomach, Intestines, Gall bladder, Appendix, Rectum and Anal canal above the anal valves • Fallopian tube. Uterus and Cervix – Mesoderm: • Collecting ducts of kidney – Ectodermal: • Striated ducts of Salivary glands • Simple columnar cells perform the functions of secretion and absorption,
Pseudostratified epithelium: • This is a single layered epithelium resting on the basal lamina. The cells are of different heights. Some cells are shorter and the others are taller. All cells do not reach the surface. There may be basal, spindle shaped and twisted cells. So the nuclei of these different types and heights of cells are seen at different levels from the basal lamina. Thus giving the epithelium a stratified appearance.
• Pseudostratified epithelium is usually associated with lymphocytes which are present between the epithelial cells at different levels from basal lamina, thus increasing the stratified appearance of the epithelium. • So Pseudostratified epithelium is actually single layered epithelium but it appears to be stratified to human beings.
• So which of the excellences of your Rabb, you will deny?
• Pseudostratified Columnar Epithelium lining Trachea. • H&E stain. Magnification 400 x. • Note the presence of cilia and goblet cells. The pointer indicates the mucus plug of a goblet cell. As this type of epithelium is formed of cells of varying height, one gets the impression of two rows of nuclei. This appearance is a characteristic that will help you to identify the pseudostratified epithelium from the upper respiratory tract. Another feature associated with pseudostratified columnar epithelium from the upper respiratory region is the presence of a prominent wide basement membrane.
• Pseudostratified Ciliated Columnar Epithelium with goblet cells lining the Trachea. • H&E stain. Magnification 600 x. • The pointer indicates a broad basement membrane.
• Pseudostratified Columnar Epithelium lining Epididymis. • H&E stain. Magnification 400 x. • It is composed of tall columnar epithelial cells whose free surface possess stereocilia. The stereocilia are indicated by a pointer. Stereocilia are elongated microvilli.
• Pseudostratified Columnar Epithelium of Epididymis. • Mallory's stain. Magnification 400 x. • Note the irregular rows of nuclei and the presence of stereocilia on the free surface.
• SITES: • Endodermal: • Respiratory tract • (Nasal cavities, Nasopharynx, Laryngopharyx, Larynx, Trachea, Bronchi and Bronchioles) • Mesodermal: • Male reproductive tract • (Efferent ductules, Epididymis, Vas deferance, Ejaculatory ducts. Prostate gland urethera)
• Types • • Pseudostratified epithelium with goblet cells: This type of epithelium usually has got cilia. It is present in the Respiratory tract, starting from Nasal cavities up to the Respiratory Bronchioles. It is also called respiratory epithelium. Pseudostratified epithelium without goblet cells: This type of epithelium usually has got steriocilia. It is present in the Male reproductive tract, starting from Efferent ductules upto the cavernous part of Male Urethera.
Stratified Squamous Epithelium • It consists of many layers of cells; the surface cells are flattened, and the deeper cells are thicker. The basal cells are continually undergoing cell division; the new cells are pushed toward the surface, where they are worn off. As the cells rise to the surface, they move farther away from their nourishment. As a consequence, the cells shrink, become harder, and finally die.
• Stratified Squamous Epithelium is of two types – Keratinized or Cornified – Non-Keratinized or Non-Cornified • Keratinized or Cornified is again of two types – Stratified Squamous Keratinized Dry Epithelium – Stratified Squamous Cornified Wet Epithelium
• • Stratified Squamous Keratinized Dry Epithelium is present on the dry surfaces, such as epidermis of the skin. This epithelium consists of five different layers of cells.
1. Stratum basale: a single layer of columnar ceils 2. Stratum spinosum: many layers of polyhedral cells 3. Stratum granulosum: two to three layers of flattened cells having keratohylin granules 4. Stratum lucidum: homogeneous amorphous layer with dying cells 5. Stratum corneum: dead scale like cell and fibrils embedded in a tough protein material called keratin
• Keratinized Stratified Squamous Epithelium of Thick Skin of the palm of hand. • H&E stain. Magnification 400 x. • The pointer indicates a wide layer of flattened keratinized epithelial cells. In this area the superficial cells are devoid of nuclei and have been reduced to cornified scales. The deeper layers of this epithelium show cells that vary in morphology from flattened squamous to the rounded and low columnar cells. A thin basement membrane separates the basal layer of epithelial cells from the underlying connective tissue.
• Keratinized Stratified Squamous Epithelium of Thick Skin. • H&E stain. Magnification 400 x. • Note the broad area of keratinized epithelium where the cells have been reduced to cornified scales. Moving down toward the basal layers of the epithelium there is a transition into living viable cells, which are at first flattened or squamous, becoming rounded and becomes low columnar as the basal region is reached. The basal layer of cells is supported by a thin basement membrane.
• Keratinized Stratified Squamous Epithelium of Thin Skin from the skin of the abdominal area. • H&E stain. Magnification 100 x. • The superficial layer of cornified cells is considerably thinner than that seen in the thick skin. The pointer indicates the basal layer of the epithelium that is supported by basement membrane and the underlying fibrous connective tissue.
• Keratinized Stratified Squamous Epithelium of Thin Skin from the skin of the abdominal area at higher magnification. • H&E stain. Magnification 400 x. • The pointer indicates the thin layer of keratinized epithelium where the cells have been reduced to flattened cornified scale-like structures. The deeper portions of the stratified squamous epithelium show variations in morphology ranging from cells that are elongated and flattened to cells of the basal layer that are irregularly ovoid or cuboidal and low columnar in morphology. Beneath the basal layer is a basement membrane and the supporting fibrous connective tissue.
• SITES: – Ectodermal: • Skin including External auditory meatus and the Vestibule of the Nose • Lateral aspect of the Tympanic membrane • Anus • Male External genitalia • Kertin material resists trauma and bacterial and fungus infections and is watertight.
• Stratified Squamous Cornified Wet Epithelium is present on wet surfaces, such as lining of the anterior two third of the oral cavity, the epithelium consists of four layers. This epithelium lacks stratum lucidum.
• Keratinized Stratified Squamous Epithelium lining the hard palate. • H&E stain. Magnification 100 x. • This is a preview of the phenomenon of parakeratinization. In nonkeratinized stratified squamous epithelium, the superficial cells are viable living structures that show no signs of keratinization. Areas of the oral mucosa, such as gums and hard palate, exhibit parakeratinizations in which the superficial cells show some signs of keratinization, but many cells retain their nuclei. The pointer indicates such an area. Note the small densely stained nuclei.
• SITES: – Ectodermal: • Lips, Gums, Hard palate • Dorsal surface of the tongue especially filliform papillae • Female External Genitalia
• It is interesting to note that while performing Ablution (Wadu )ﻭﺿﻮ or taking bath (Ghusal )ﻏﺴﻞ we wash only those organs of the body which have Stratified Squamous Cornified Epithelium. • Holy Qur’an says:
• "0 Believers, when you rise to offer Salat ﺻﻼﺓ you must wash your faces and hands and arms upto the elbows and wipe your heads with wet hands and wash your feet up to the ankles; and if you have become unclean ﺟﻨﺎﺑﺖ , cleans yourselves with a full bath. "
• According to the practice and instructions of the Holy Prophet, the washing of the whole face includes the washing of oral cavity and the vestibule of nose before proceeding with the face. It is also essential to wipe the ears from outside and inside as they form a part of the head. The hands should be cleansed first of all because the other parts are to be cleansed with them. • A full bath (Ghusal )ﻏﺴﻞ is essential in case one becomes unclean ﺟﻨﺎﺑﺖ by cohabitation or by a discharge of semen.
• Stratified Squamous Non-Keratinized or Non. Cornified Epithelium is present on wet surfaces only, such as esophagus. Here the cells do not contain keratin. This epithelium consists of three layers. – Stratum basale; a single layer of columnar cells – Stratum spinosum; many layers of polyhedral cells – Stratum superficialis; two to three layers of flattened cells without, keratohylin granules
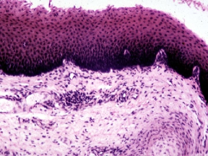
• Nonkeratinized Stratified Squamous Epithelium lining Esophagus. • H&E stain. Magnification 100 x. • Here you see an epithelial membrane composed of many layers of cells. The superficial cells are flattened and squamous in morphology, a structural characteristic that gives this epithelium its name. The deeper cells are rounded or even cuboidal in morphology. The basal cells are low columnar in shape. The pointer indicates the basal cells of this epithelial membrane that rest upon a supporting connective tissue.
• Nonkeratinized Stratified Squamous Epithelium of Epigiottis. • Verhoeff's stain. Magnification 100 x. • Nonkeratinized Stratified Squamous Epithelium of Esophagus. • H&E stain. Magnification 400 x. • The superficial cells are squamous in morphology. The cells become thicker as you go deeper. The basal cells are low columnar in morphology.
• SITES: – Ectodermal: • Anal Canal (below the anal valves) • Part of urethera • Conjunctiva and Cornea • External genitalia and lower two third of vagina – Endodermal: • Posterior one third of Oral cavity • Pharynx (Oral part) • Part of Larynx and Part of Epiglotis • Esophagus • Upper one third of vagina
• This epithelium can resist wear and tear, and protect the underlying tissues.
• Stratified Cuboidal Epithelium • Stratified cuboidal epithelium is also multilayered epithelium has got cuboidal surface cells. It is relatively rare epithelium.
• Stratified Cuboidal Epithelium in the Ducts of a sweat gland. • H&E stain. Magnification 400 x. • Stratified cuboidal epithelium is relatively rare in human body. Located in the duct system of the sweat glands it consists of two layers of cells that are cuboidal in shape.
• STIES: • Ectodermal: Ducts of Salivary, Sweat and Sebaceous glands; • Mesodermal: Secondary, Tertiary and Gra'afian Follicles
• Stratified Columnar Epithelium • Stratified columnar epithelium is also comparatively rare. It consists of columnar surface cells which rest on several layers of irregular cuboidal cells.
• SITES: • Ectodermal: Larger ducts of Salivary, Sweat, Sebaceous and Mammary glands; Cavernous part of male urethera; • Endodermal: Pharynx; • Stratified columnar epithelium is found chiefly where stratified squamous epithelium joins pseudostratified ciliated columnar epithelium.
Transitional Epithelium • It is also called urinary epithelium because it is only present in urinary tract. The surface cells are large and cuboidal, with a condensed, darkly staining superficial layer of cytoplasm reflective of the abundant microfilaments there. These dome shaped cells have characteristic convex free surfaces and facet-like indentations in their under surfaces. The deeper cells are polygonal, cuboidal or irregular. The basal layer appears to be columnar.
• In the dilated bladder, the epithelium consists of two or three layers of cells. In the contracted bladder the epithelium becomes five or six layered. This is the reason why this epithelium is called transitional epithelium. • There is not only a change in the number of layers; the shape of the cells is also different at different states of the bladder. The lower cells are smaller and irregularly polygonal in the dilated bladder, while they are flask-shaped or pear-shaped in the contracted bladder.
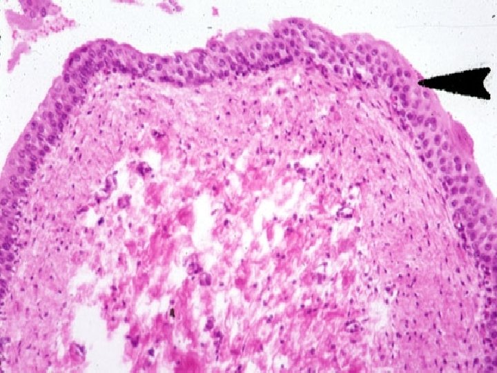
• Transitional Epithelium of Urinary bladder. • H&E stain. Magnification 100 x. • Transitional epithelium is a type of stratified epithelium characteristically found within the human urinary system. Here it lines the urinary bladder, the ureter and portions of the urethra as well as the pelvic region of the kidneys. There is a considerable amount of variation in the appearance of transitional epithelium. Often the superficial surface cells are large and rounded, giving the free surface an irregular or undulating appearance. The pointer indicates the area of the superficial cells.
• Transitional Epithelium in Urinary bladder. • H&E stain. Magnification 400 x. • Note the change in morphology of cells. The superficial cells are large rounded. The cells are irregularly polyhedral in the intermediate zones. Then the cells become pear-shaped, and finally in the basal region the cells are rounded or cuboidal.
• Transitional Epithelium of Urinary bladder. • Mallory's stain. Magnification 400 x. • Note the characteristics of transitional epithelium and compare with the previous sections stained with hematoxylin and eosin.
• Under electron microscope the luminal surface of the superficial dome-shaped cells displays alternating crests and hollows/troughs. The apical cytoplasm contains numerous membrane bounded fusiform vesicles. These are derived from the surface membrane. When the bladder contracts, the crests rise and join with one another and the troughs are pinched off as vesicles, perhaps under control of the web of microfilaments. This process thus serves to reduce the surface area. The vesicles are retuned to the surface cell membrane during distention of the bladder. These vesicles may be digested by the lysosomes.
• In that case ALLAH (the most beneficent) may develop new vesicles from rough endoplasmic reticulum as is true for plasma membranes of other cell types. • ALLAH The Rahman and The Rahim has made the outer leaflet of the cell membrane of the luminal surface of the dome-shaped superficial cells definitely thicker to prevent undue water loss from underlying tissues into hypertonic urine in the lumen and HE (ALLAH) has provided tight occluding junctions between these cells to prevent diffusion via intercellular routes.
So which of the blessings of your Rabb will you deny?
• The deeper cells have numerous in folding and inter digitations with one another but desmosomes are scarce. These folds disappear when the bladder is distended. • A basement membrane is usually indistinct under light microscope. Electron microscopy shows it to be limited to a basal lamina and a thin mat of reticular collagen fibers, It is interesting to note that all the layers of the transitional epithelium including dome-shaped cells of superficial layer have some contact with the basal lamina. So in fact it is a single layered epithelium.
• SITES: • Mesodermal: Pelvis of the Kidney Ureter • Endodermal: Urinary bladder A portion of Urethera close to bladder in female Prostatic Urethcra in male
• Pigmented Epithelium in the Retina of the eye. • H&E stain. Magnification 400 x. • The external layer of the retina of the eye is referred to as the pigment epithelium. The pigment epithelium possesses a quantity of the substance called melanin. Functionally, the pigment epithelium absorbs light and tends to prevent light reflection. In this photomicrograph, as indicated by the pointer, are many large granules of dark brown melanin pigment.
• There may be developmental classification for epithelium. 1. Epithelium developing from ectoderm 2. Epithelium developing from mesoderm 3. Epithelium developing from endoderm
- Slides: 161