Epithelial tissue Dr Anna L Kiss Department of




































- Slides: 36
Epithelial tissue Dr. Anna L. Kiss Department of Anatomy, Histology and Embryology Semmelweis University Budapest 2017
Tissues Clusters of cell having a. ) the same morphology, b. ) the same function, c. ) same origin 4 basic tissue: - epithelial tissue - connective and supportive tissue - muscle tissue - nervous tissue
Epithelial tissue - polygonal, tightly attached cells - small amount of intercellular matrix - junctions - membrana basalis -functions: isolation, protection vs. transport: surface covering polarized transport: secretion: glandular epithelium absorption: absorptive epithelium sensory, pigment epithelium -origin: all the 3 germ layers (ecto-, meso-, endoderm)
Epithelial tissue • surface covering • glandular • sensory • absorptive • pigment
Surface covering epithelium: highly polarized cells Hemidesmosomes
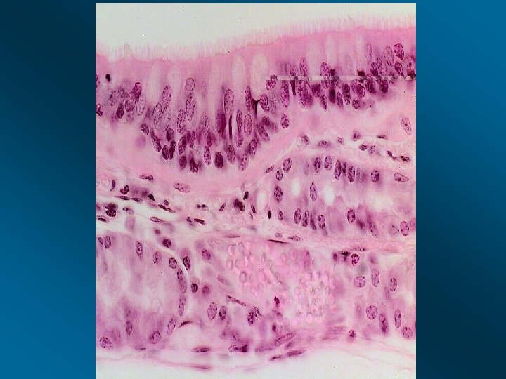
Surface covering epithelium simple: squamous cuboidal columnar pseudostratified
Simple squamous epithelium - endothel - kidney (Bowman capsule) - serous membranes (mesothelium) - lung (alveoli) - transport, diffusion or filtration (basement membrane !) - can be fenestrated
vessels - endothel
Simple cuboidal epithelium - kidney tubules - ducts of glands - active transport!
Simple columnar epithelium - uterus - stomach, intestine - special types (cilia, microvili, stereocilia on the apical membrane) - transport, absorption
Pseudostratified columnar epithelium Respiratory system: cilia protection
Surface covering epithelium stratified epithelium: 1. ) squamous keratinized non-keratinized 2. ) cuboidal 3. ) columnar ? urothelium (transient epithelium)
Stratified squamous epithelium - non-keratinized esophagus vagina - keratinized skin -minimal transport minimális, protection, isolation - the basal cells are dividing, the upper cells are dying
Stratified non-keratinized epithelium str. planocellulare str. polygonale, spinosum str. basale, cylindricum, germinativum
Stratified keratinized epithelium str. planocellulare: • str. granulosum • str. lucidum • str. corneum thick keratine layer: isolation, protection
Stratified keratinized epithelium Str. lucidum Str. granulosum Str. spinosum Str. basale Str. corneum
Transient epithelium (urothelium) -Urinary system (urether, urinary bladder, urethra) - simple or stratified? - EM: pseudostratified? STRATIFIED!!!
Glandular tissue - Specialized cells: secretion Endokrin- or exocrin glands
Exocrine glands Unicellular glands: – Endoepithelial: goblet cells – exoepithelial
Secretory granules Golgi RER
WGA Lectin immunohistochemistry
Exocrine glands simple compound tubular alveolar Tubulo-alveolar
Exocrine glands -Secretory pathway - merocrine: continuous exocytosis (most of the glands) - apocrine: modified sweat gland, mammary gland - holocrine: (the whole cell becomes secretum) sebaceous gland
Merocrine secretion
Apocrine secretion
Holocrine secretion
Secretory pathways
Exocrine glands chemical composition of the secretum: a. ) serouos: protein strong basophyl staining well developed r. ER
Exocrine glands b. ) mucus glands: carbohydrate well developed Golgi apparate
Exocrine glands c. ) mixed Gianuzzi demilune
Salivary glands: duct system
Intralobular: intercalated+striated ducts
Felhasznált irodalom Röhlich Pál: Szövettan. Budapest, 1999 A szövettani képek a Humánmorfológiai és Fejlődésbiológiai Intézet gyűjteményéből származnak. Carola R, Harley JP, Noback CR: Human Anatomy & Physiology, Mc. Graw-Hill Inc. , USA, 1990 Wikipedia