Epithelial Tissue covering epithelium glandular epithelium sensory epithelium

  • Slides: 32
Download presentation
上 皮 组 织 Epithelial Tissue

上 皮 组 织 Epithelial Tissue

被覆上皮(covering epithelium) 上皮组织的分类 腺上皮(glandular epithelium) 感觉上皮(sensory epithelium)

被覆上皮(covering epithelium) 上皮组织的分类 腺上皮(glandular epithelium) 感觉上皮(sensory epithelium)

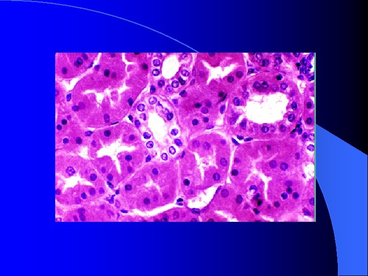
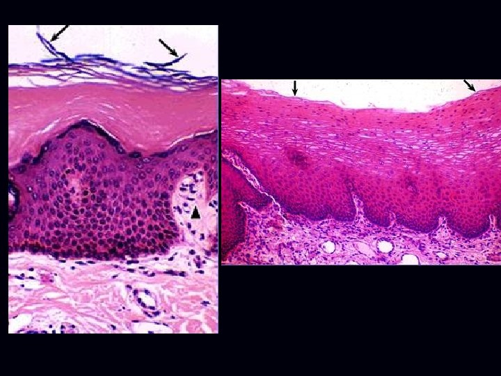
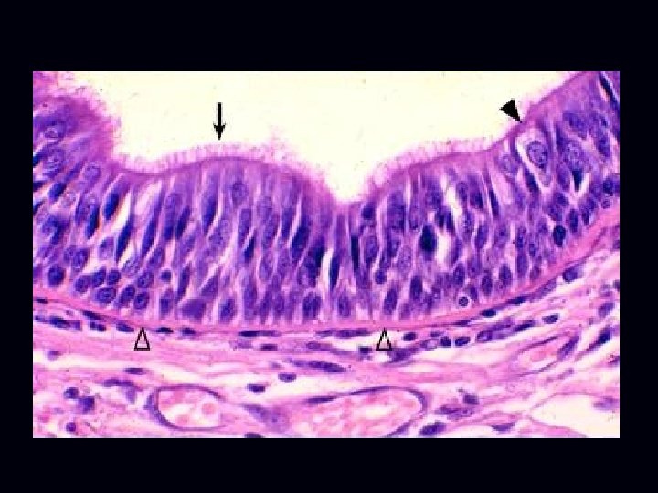
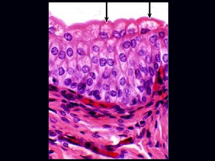
二、被覆上皮 依据上皮细胞的层数和细胞的形状分类 扁平上皮 Squamous Epi. 单层 立方上皮 Cuboidal Epi. simple 柱状上皮 Columnar Epi. 假复层纤毛柱状上皮

二、被覆上皮 依据上皮细胞的层数和细胞的形状分类 扁平上皮 Squamous Epi. 单层 立方上皮 Cuboidal Epi. simple 柱状上皮 Columnar Epi. 假复层纤毛柱状上皮 被覆上皮 Covering Epi. pseudostratified ciliated columnar Epi. 扁平上皮 Squamous Epi. 复层 stratified 变移上皮 Transitional Epi.

三、上皮组织的特殊结构(specialized structure) 细胞衣 cell coat 游离面 微绒毛 microvillus 纤毛 cilium 紧密连接 tight junction 上皮细胞

三、上皮组织的特殊结构(specialized structure) 细胞衣 cell coat 游离面 微绒毛 microvillus 纤毛 cilium 紧密连接 tight junction 上皮细胞 侧面 中间连接 intermediate junction 桥粒 desmosome 缝隙连接 gap junction 基膜 basement membrane 基底面 质膜内褶 plasma membrane infolding 半桥粒 hemidesmosome

(二)上皮细胞的 侧面 1、紧密连接 (tight junction) 2、中间连接 (intermediate junction)

(二)上皮细胞的 侧面 1、紧密连接 (tight junction) 2、中间连接 (intermediate junction)

3、桥粒 (desmosome)

3、桥粒 (desmosome)

4、缝隙连接 (gap junction)

4、缝隙连接 (gap junction)

(三)上皮细胞的基底面 1、基膜(basement membrane) 基板(basal lamina) 网板(reticular lamina) 2、质膜内褶(plasma membrane infolding) 3、半桥粒(hemidesmosome)

(三)上皮细胞的基底面 1、基膜(basement membrane) 基板(basal lamina) 网板(reticular lamina) 2、质膜内褶(plasma membrane infolding) 3、半桥粒(hemidesmosome)

质膜内褶 Plasma membrane infolding

质膜内褶 Plasma membrane infolding