epiteli di rivestimento uno o pi strati relativamente












































































- Slides: 76
epiteli di rivestimento uno o più strati relativamente ordinati di cellule… il lato superficiale è rivolto verso una cavità o verso l’esterno il lato profondo “poggia” su altri tessuti (in particolare connettivo)
peritoneo altro organo ma stessa organizzazione di base, nonostante le notevoli differenze morfologiche dell’epitelio
alcune localizzazioni di rivestimenti epiteliali • pelle • vie aeree • canale digerente • cavità del cuore e dei vasi sanguigni e linfatici • vie uro-genitali • cavità sierose • ecc…
Gli epiteli di rivestimento sono: …costituiti da cellule che formano una barriera che separa… …cavità interne o ambiente esterno all’organismo… …dal tessuto connettivo
Principali funzioni dei tessuti epiteliali • Protezione e isolamento • Scambio di sostanze fra ambiente e tessuti • Produzione di secrezioni specializzate (cellule ghiandolari)
un esempio di epitelio: il rivestimento dell’intestino tenue
villi intestinali i villi sono costituiti da un asse connettivale rivestito da epitelio
nella prossima immagine, villi in sezione trasversale… villi intestinali
villi intestinali in sezione trasversale …il tessuto connettivo e… l’epitelio forma una barriera continua fra… …il lume dell’organo è da notare la stretta aderenza fra le cellule epiteliali, separate solo da un sottilissimo interstizio (praticamente invisibile in questo preparato)
ovidotto tutte le cellule possiedono un lato basale a contatto con il connettivo (tramite la lamina basale)… in questo tessuto (come nel caso precedente) l’epitelio è formato da un singolo strato di cellule …e un lato apicale esposto in superficie
a differenza deiesofago precedenti, questo epitelio è costituito da numerosi strati di cellule anche in ciascuna di queste cellule è possibile identificare un lato basale (rivolto verso la lamina basale) e un lato apicale
epiteli: morfologia e funzione protezione, integrità, contenimento monostratificati pluristratificati permeabilità, secrezione, assorbimento
funzione meccanica degli epiteli protezione, integrità, contenimento concentriamoci su: a cosa si devono queste proprietà degli epiteli? • stabilità morfologica delle cellule • adesione fra cellule
caratteristiche generali dei rivestimenti epiteliali • sono costituiti da uno o più strati di cellule che formano una barriera con proprietà specifiche • hanno sempre una superficie libera esposta verso l’ambiente esterno o verso una cavità o un condotto • sono costituiti da cellule fittamente stipate e da scarso materiale extracellulare • sopo privi di vascolarizzazione • poggiano sempre su una membrana basale che li separa dal tessuto connettivo
negli epiteli, le cellule hanno un preciso orientamento; è pertanto possibile indicare con un nome preciso le loro varie parti lato apicale lume dell’organo superfici laterali lato basale lamina basale
questa regola non vale per tutti i tessuti… le cellule del sangue, per esempio, non possiedono alcun orientamento
le cellule epiteliali spesso possiedono una polarizzazione funzionale, rivelata dalla distribuzione asimmetrica di organelli laterale apicale Golgi in posizione intermedia e vescicole di secrezione accumulate all’apice della cellula nucleo dislocato in sede basale lamina basale laterale RER e mitocondri in sede basolaterale
Specializzazioni delle cellule epiteliali • La cellula epiteliale presenta specializzazioni strutturali collegate alla necessità di: – Produrre secrezioni – Espletare funzioni di trasporto – Mantenere l’integrità strutturale
Polarità delle cellule epiteliali • Molte cellule epiteliali sono specializzate in: – Produzione di secrezioni esocrine o endocrine – Movimento di fluidi sulla superficie epiteliale – Movimento di fluidi e soluti attraverso l’epitelio stesso • Di solito, queste cellule mostrano una polarità lungo l’asse che si estende dalla membrana basale alla superficie libera • La polarità consiste nella distribuzione asimmetrica di organelli e di specializzazioni di membrana
Polarità di una tipica cellula “cilindrica” • Superficie libera provvista di microvilli o ciglia • Golgi vicino al nucleo • Nucleo vicino alla MB • Mitocondri concentrati verso il lato basale • Membrana cellulare ripiegata e adesa alla MB • Cellula fermamente adesa alle cellule adiacenti
specializzazioni di membrana • le diverse superfici delle cellule epiteliali (apicale, basale, laterali) possono presentare una varietà di specializzazioni di membrana. • seguono alcuni esempi…
superficie apicale • ciglia • microvilli
epitelio ciliato
epitelio ciliato (TEM) cellule ciliate; è appena visibile lo scheletro microtubulare delle ciglia
cilia in sezione trasversale
ciglio le ciglia sono estroflessioni citoplasmatiche dotate di motilità propria; il battito sincrono delle ciglia provoca lo scorrimento di fluidi lungo la superficie epiteliale
microvilli
epitelio cilindrico semplice
microvilli
microvilli in sezione trasversale
microvilli i microvilli sono immobili; il loro scopo è di aumentare la superficie di assorbimento dell’epitelio
superfici laterali • le cellule epiteliali sono dotate di specializzazioni di membrana che: – consentono l’adesione fra cellule adiacenti garantendo l’integrità meccanica del rivestimento – impediscono il libero passaggio di sostanze fra lume dell’organo e connettivo vedi presentazione: giunzioni intercellulari
superficie basale Le cellule epiteliali poggiano su… • Lamina basale – Glicoproteine – Rete di filamenti proteici • Lamina reticolare – Fasci di grosse fibre proteiche di origine connettivale
connettivo cellula epiteliale lamina basale
classificazione degli epiteli di rivestimento in base alla stratificazione – monostratificati (incluso il caso speciale degli e. pseudostratificati) – pluristratificati (incluso il caso speciale degli e. di transizione) in base alla morfologia delle cellule – pavimentosi o squamosi – cubici o isoprismatici – cilindrici o colonnari o batiprismatici in pratica, nonostante le combinazioni possibili siano teoricamente numerose, gli epiteli più comuni nell’organismo umano sono: - epiteli semplici (pavimentosi, cubici e cilindrici) - epiteli pavimentosi pluristratificati - epiteli pseudostratificati
esempi di epiteli di rivestimento
Epiteli semplici • Relativamente sottili • Le cellule hanno tutte la stessa polarità (vedi oltre) e i nuclei formano sono approssimativamente allineati • Sono fragili • Rivestono: – Compartimenti – Condotti • Ottimi per: – Assorbimento – Secrezione
ovidotto: esempio di epitelio cilindrico semplice questo particolare epitelio è “ciliato”; il battito delle ciglia favorisce il movimento di muco lungo il lume della tuba e quindi lo spostamento di ovocita e spermatozoi l’“altezza” della cellula (distanza fra superficie apicale e superficie basale) è maggiore della sua larghezza alcune cellule epiteliali secernono muco
questo schema mostra come le cellule non siano, in realtà, “cilindriche”; il termine “prismatico” è forse più corretto. epitelio cilindrico semplice
Epitelio cilindrico semplice: sommario • particolarmente adatto ai processi di secrezione e assorbimento • riveste: – la maggior parte del tubo digerente – molti dotti escretori ghiandolari – la tuba uterina
Epitelio pseudostratificato ciliato
trachea: esempio di epitelio pseudostratificato tutte le cellule sono a contatto con la membrana basale… … ma solo una parte di esse raggiunge la superficie apicale
trachea (TEM) cellula basale, che non raggiunge la superficie apicale cellula ciliata; è appena visibile lo scheletro microtubulare delle ciglia cellula mucosa; sono evidenti numerosissime vescicole piene di muco in sede apicale e la superficie priva di ciglia
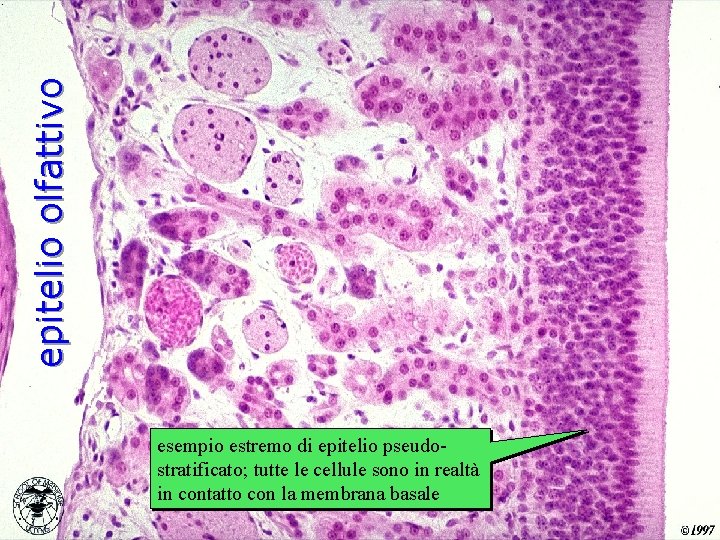
epitelio olfattivo esempio estremo di epitelio pseudostratificato; tutte le cellule sono in realtà in contatto con la membrana basale
altro esempio di epitelio pseudostratificato l’osservazione di una sezione diversa, tuttavia, rivela un punto di contatto questa cellula sembra non contrarre rapporti con la membrana basale
Epitelio clindrico pseudostratificato • apparentemente formato da più strati cellulari • i nuclei si osservano ad altezze diverse rispetto alla base dell’epitelio • in realtà tutte le cellule sono a contatto con la MB
Epitelio pavimentoso semplice
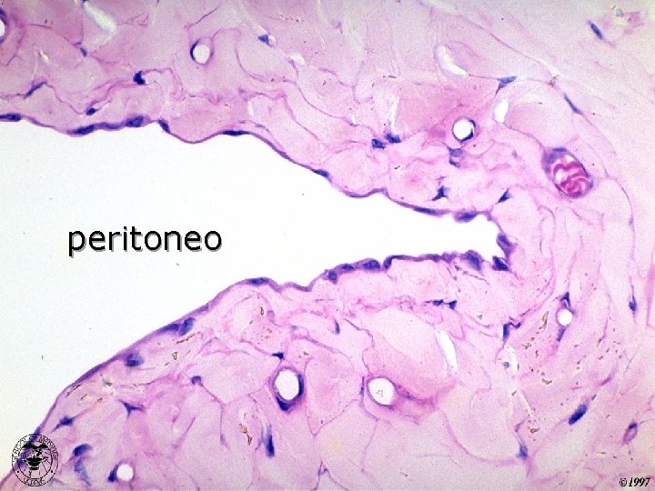
peritoneo
epitelio di mesentere
polmone
alveoli
alveoli
piccolo vaso sanguigno
Altro schema di epitelio pavimentoso semplice Cellula epiteliale Membrana basale Connettivo
Caratteristiche dell’epitelio pavimentoso semplice • sottile e delicato: si trova solo in regioni protette • il ridotto spessore delle cellule favorisce lo scambio di sostanze fra i due lati del rivestimento, come nel caso degli alveoli polmonari o dei capillari sanguigni
Localizzazioni dell’epitelio pavimentoso semplice • Superficie respiratoria del polmone • Cavità corporee (mesotelio) – pleura, pericardio, peritoneo • Rivestimento interno di cuore e vasi sanguigni (endotelio)
rene
tiroide
Epitelio cubico semplice
altro schema di epitelio cubico semplice
Epitelio cubico semplice; caratteristiche: • Limitata protezione: secrezione e assorbimento Localizzazioni: • Epitelio ghiandolare – Pancreas, tiroide, salivari… – Dotti ghandolari • Tratti delle vie urinarie
esofago
pavimentoso stratificato (tem)
epitelio cheratinizzato (epidermide) strato germinativo strato spinoso strato dei granuli strato corneo
Epitelio pavimentoso stratificato
Altro schema di epitelio pavimentoso pluristratifcato è la morfologia degli strati più superficiali che fa definire questo epitelio “pavimentoso”
Caratteristiche dell’epitelio pavimentoso stratificato • Robusto: si trova dove le sollecitazioni meccaniche sono severe • Gli strati superficiali vengono eliminati con l’accrescimento degli strati profondi
Epitelio pavimentoso stratificato • Epidermide (cheratinizzato) • Mucose – Bocca – Faringe – Esofago – Vagina – Retto
Rigenerazione a partire dallo strato germinativo Questa cellula è stata “sorpresa” nell’atto di dividersi. Sono visibili i cromosomi in via di allontanamento dalla piastra equatoriale (anafase)
Strato germinativo • Cellule germinative, adese alla membrana basale, provvedono al ricambio degli epiteli
transizione
transizione
Epitelio di transizione • Il numero di strati varia in relazione allo stato funzionale dell’organo • per esempio, lo spessore dell’epitelio della vescica urinaria diminuisce con il riempimento di quest’ultima
epitelio di transizione
Epitelio cubico stratificato • Raro: protezione, secrezione, assorbimento • Dotto di ghiandola sudoripara
che tipo di epitelio? che tipo di epitelio riveste questo dotto?