Epididyme Structure Fonctions Contrle des fonctions pididymaires Maturation




















































- Slides: 52
¨Epididyme Structure Fonctions Contrôle des fonctions épididymaires Maturation épididymaire Liquide épididymaire ¨Glandes annexes Vésicules séminales Prostate ¨Spermatozoïdes et plasma séminal
EPIDIDYME ¨Transport des spermatozoïdes ¨Maturation des spermatozoïdes : acquisition du pouvoir fécondant Mobilité fléchante Aptitude à se fixer sur la zone pellucide ¨Elaboration du liquide épididymaire ¨Stockage des spermatozoïdes
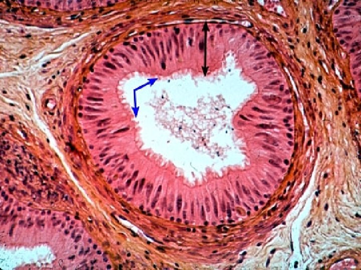
STRUCTURE (1) ¨Long tube Homme : 5 m Bélier : 60 m Etalon : 80 m ¨Trois parties Tête Corps Queue
STRUCTURE (2) ¨Paroi Epithélium Cellules musculaires lisses ¨Epithélium pseudostratifié - Cellules principales Stéréocils/Appareil de Golgi, RER /Vésicules Jonctions étanches apicales (Tight jonctions)
FONCTIONS ¨Fonctions de sécrétion ¨Fonctions d’absorption ¨Fonctions métaboliques ¨Transport et maturation des spermatozoïdes
Fonctions de sécrétion 1. Protéines et Glycoprotéines Rôle dans la fertilité Fixation à la zone pellucide Prévention de la réaction acrosomique Protéines intervenant dans la mobilité 1. Ions Potassium Phosphore 1. Petites molécules organiques Inositol (Glucose Endocellulaire) Carnitine (Acétylcarnitine)
Fonctions d’absorption ¨Réabsorption du liquide épididymaire Eau (90%) ¨Concentration des spermatozoïdes ¨Absorption de protéines spécifiques (endocytose) Androgen Binding Protein Transferrine
Fonctions métaboliques ¨Réabsorption du liquide épididymaire Glycolyse ¨Métabolisme des acides gras (Acétyl. Co. A) ¨Testostérone Dihydrotestostérone (DHT) 5 -réductase ¨Biosynthèse des prostaglandines PGE 2 PGF 2 ¨Métabolisme de la vitamine D
Mâturation épididymaire 1. Modifications structurales, biochimiques et métaboliques 2. Acquisition de la mobilité fléchante 3. Acquisition de l’aptitude à se fixer sur la zone pellucide et la membrane cytoplasmique ovocytaire 1. Aptitude à féconder l’ovocyte et à assurer un développement embryonnaire normal
Modifications structurales, biochimiques et métaboliques (1) ¨NOYAU Mâturation nucléaire Condensation de la chromatine Ponts disulfures (Cystéine) ¨ACROSOME Mâturation des enzymes acrosomiques (Proacrosine-Acrosine)
Modifications structurales, biochimiques et métaboliques (2) ¨CYTOPLASME Disparition de la gouttelette de cytoplasme (pièce intermédiaire) ¨MEMBRANE PLASMIQUE LIPIDES Stérols Phospholipides Stabilité membranaire
Acquisition de la mobilité fléchante De la tête à la queue Tête : mouvement vibratile Queue : mouvement progressif linéaire AMPc intracellulaire dépendante Calcium intracellulaire p. H intracellulaire Substrat : Carnitine Acétylcarnitine
Aptitude à se fixer sur la zone pellucide et la membrane cytoplasmique ovocytaire Protéines de la spermiogenèse (ZP 3 sur la zone pellucide) Protection contre la capacitation spontanée Protéines (Elimination, Fixation, Résidus glycosylés) Charges électriques modifiées Résistance, stabilité : « fécondance » du spermatozoïde
Aptitude à féconder l’ovocyte et à assurer un développement embryonnaire normal Mammifères : Queue de l’épididyme Homme : tête-corps
Contrôle des fonctions épididymaires ¨Contrôle hormonal Androgènes (Testostérone+ABP, DHT+ABP) Production locale de DHT (5 -réductase) Différenciation Activité fonctionnelle ¨Contrôle local ABP
Liquide épididymaire ¨Eau ¨Ions ¨Protéines testiculaires (ABP, Transferrine) ¨Protéines épididymaires ¨Enzymes (Glycossidase) ¨Acide sialique ¨Inositol ¨Carnitine ¨Stéroïdes (Testostérone, DHT)
GLANDES ANNEXES ¨Essentiel du volume du plasma séminal d ’un éjaculat (3/4) Vésicules séminales Prostate ¨Sécrétions androgéno-dépendantes
VESICULES SEMINALES ¨Organes en forme de sac pairs ¨Surface bosselée ¨Muqueuse : Epithélium prismatique simple Cellules principales Cellules basales ¨Musculeuse épaisse
VESICULES SEMINALES FONCTIONS ¨Réabsorption du liquide séminal ¨Spermatophagie ¨Sécrétion androgénodépendante
SECRETIONS DES VESICULES SEMINALES (1) ¨ 2/3 du volume du plasma séminal ¨p. H alcalin (7, 5 à 8) ¨Potassium : Mobilité ¨Acides Aminés ¨Prostaglandines ¨Fructose ¨Phospholipides
SECRETIONS DES VESICULES SEMINALES (2) 1. Protéines de transport, de structure, modulatrice des réactions immunitaires (action immuno-suppressive) exemple: La séménogéline (coagulation du sperme) La fibronectine (coagulum) Rôle : formation du coagulum séminal, modifications de la mobilité des spermatozoïdes, immunosuppression= 1. Enzymes
PROSTATE (1) FONCTIONS ¨ 1/3 du volume du plasma séminal ¨p. H 6, 5 -7 ¨Sécrétion androgénodépendante
PROSTATE (2) FONCTIONS ¨Enzymes de liquéfaction du sperme Protéases Phosphatases acides prostatiques (PAP) Antigène spécifique de prostate (PSA) ¨Polyamines Spermine (mobilité, inhibition de la capacitation) Cadavérine
PROSTATE (3) ¨Protéines immunosuppressives ¨Cholestérol ¨Ions Sodium, potassium, calcium Zinc : - protection - stabilisation de la chromatine des spermatozoïdes
EJACULAT NORMAL ¨SPERMATOZOÏDES ¨PLASMA SEMINAL Volume : 2 p. H : 7, 2 à Abstinence à 6 ml 7, 8
SPERMATOZOIDES ¨ >20. 106/ML 40. 106/recueil ¨ Mobilité a: rapide et progressive b: lente ou faiblement progressive c: sur place d: immobile a+b>50% ¨ Morphologie normale>30% ¨ Vitalité>75%
PLASMA SEMINAL ¨Liquide testiculaire (Transferrine) ¨Sécrétions épididymaires (Carnitine, Glycosidase) ¨Sécrétions des vésicules séminales (Fructose) ¨Sécrétions prostatiques (Zinc, PAP) ¨Sécrétions des autres glandes
RÔLE DU PLASMA SEMINAL (1) ¨Rôle mécanique ¨Stabilisation de la membrane spermatique (facteur décapacitant) ¨Mobilité du spermatozoïde ¨Condensation nucléaire Zinc stabilise le noyau
RÔLE DU PLASMA SEMINAL (2) ¨Voies génitales féminines Activation du tractus (Contraction) Inhibition des réactions immunitaires (Prostaglandines) ¨Rôle important de toutes les sécrétions du tractus génital mâle