Enterocolitis Necrotizante Dr Francisco Javier Saitua Doren ECN













































- Slides: 45
Enterocolitis Necrotizante Dr. Francisco Javier Saitua Doren
ECN - DEFINICION – Síndrome del período neonatal con etiología múltiple, caracterizado por edema, ulceración y necrosis de la mucosa y pared intestinal, con sobre infección bacteriana secundaria de la pared ulcerada. Produce un síndrome de respuesta inflamatoria sistémica (SRIS) y finalmente una falla multiorgánica con coagulación intra vascular diseminada y la muerte del paciente.
ECN - HISTORIA • 1825 primer caso descrito en Austria • A fines del siglo XIX se reconoce como entidad clínica • 1939 se reconoce en USA. • 1943 Primera cirugía exitosa • 1963 se publica la primera serie clínica.
ECN - EPIDEMIOLOGIA • • Incidencia general 0. 84 / 1000 RNV 1 - 3 % de los RN en UCINN 7. 9 % RN de < 1500 g Enfermedad endémica con brotes epidémicos
ECN - ETIOLOGIA • • • Múltiples mediadores inflamatorios (PAF) Isquemia ‑ reperfusión intestinal Alimentación enteral precoz Drogas (AINE), Cocaína Infección bacteriana y viral Edad gestacional y bajo peso de nacimiento • Inmadurez del tracto gastrointestinal (anatómica, funcional e inmunológica).
ECN- CLASIFICACION (Bell) Etapa I: sospecha a CEG, sepsis inicial, Rx. distensión de asas moderada Etapa II: confirmada Ileo, sepsis más intensa , Rx: Ileo – pneumatosis b Hematoquezia Celulitis de pared, masa, grave, Rx: ascitis, gas porta Etapa III: grave Muy grave, CID, peritonitis Rx: ascitis Rx : pneumope ritoneo
ECN-ETAPIFICACION • • Frecuencia en menores de 2500 gr Etapa I: 17% Etapa II: 6 % Etapa III: 4%
ECN-FISIOPATOLOGIA • Isquemia y/o hipoxia intestinal • Pocos minutos de isquemia producen el daño que llevará finalmente a la ECN. • La mucosa es el segmento más afectado • Rol de la alimentación • Producción de gas (distensión, gas Porta, pneumatosis,
ECN-MICROBIOLOGIA • Aeróbicas: enterobacterias, gram + • Anaeróbicas: Clostridium • Es frecuente que en niños con ECN grave se asocie sepsis por Candida • Virales: Rotavirus
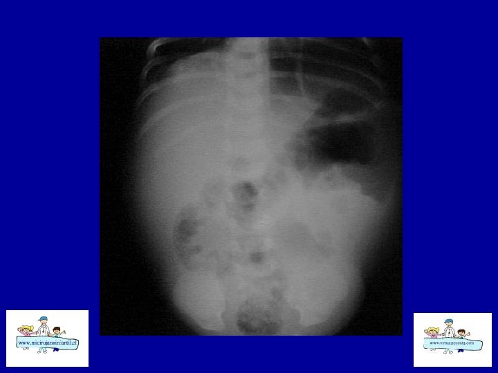
ECN-RADIOLOGÍA SIMPLE • • Distensión de asas Pneumatosis intestinal Asa fija (centinela) Gas Porta Edema de pared Ascitis Aire libre
ECN-LABORATORIO • Radiología Simple • Laboratorio: Acidosis metabólica, cultivos Recuento plaquetario, Hematocrito • Estudio de líquido peritoneal • Criptoantígeno T • Control seriado
ECN-CLINICA • • Factores de riesgo Alimentación Signos: a. Ileo: distensión, residuo bilioso (verde), dolor. • b. Sufrimiento de la mucosa y pared intestinal: Hematoquezia, masa, celulitis • c. Sepsis
ECN-DIAGNOSTICO DIFERENCIAL • • Enterocolitis Necrotizante Malrotacion con vólvulo intestinal Peritonitis Meconial Perforación ileal aislada
ECN-TRATAMIENTO • Médico: • Siempre iniciar tratamiento ante sospecha • SNG, suspender alimentación, NPTC, Manejo del Shock, Transfusión de Plaquetas, antibióticos parenterales, evitar manipulación excesiva.
ECN- Indicaciones de cirugía • Absoluta: Perforación intestinal • Relativas: Deterioro estado general, Masa palpable? , celulitis de pared, Gas Porta? , obstrucción intestinal, Paracentesis alterada, Asa centinela en Rx abdomen simple. • 25 a 30 % de ECN requieren cirugía. • 19 % en los > 1500 gr y 41 % en los < 1500 gr.
ECN-TRATAMIENTO • Quirúrgico: Laparotomías amplias • Drenaje peritoneal • Aseo abdominal y resección de asas necróticas • Ostomía vs Cierre primario • Second Loock
ECN-TRATAMIENTO • Cierre de derivación: desde 3 semanas a 10 meses. Según ubicación • Cierre precoz de ileostomía puede presentar complicaciones en la anastomosis, ECN recurrente del segmento distal. • Cierre Tardío: trastornos dérmicos y/o hidroelectrolíticos. • Siempre realizar estudio radiológico distal
ECN-Pronóstico • Secuelas: Intestino corto, bridas y estenosis intestinal (15 – 25%) • Sobrevida general: 76% • Sobrevida quirúrgica 60%. • A mayor edad y peso del RN mayor sobrevida.
Sobrevida quirúrgica
ECN - SECUELAS • • Intestino Corto Bridas Estenosis de colon Secuelas de prematurez: Desnutrición, Retraso del lenguaje y del DSM
ECN - SECUELAS • Estenosis intestinal (cicatrización de pared isquémica) • Su frecuencia ha aumentado en los últimos años (14 – 36 %), mayor en etapas avanzadas • Siempre sospechar y se debe descartar • Distensión abdominal, bajo peso, intolerancia alimentaria, dolor, hematoquezia, sepsis.