ENFERMEDADES VASCULARES CEREBRALES Tema 3 Hemorragia Cerebral DEFINICIN
ENFERMEDADES VASCULARES CEREBRALES Tema 3: Hemorragia Cerebral
DEFINICIÓN l Disrupción de sangre en el parénquima cerebral, en el sistema ventricular o en el espacio subaracnoideo. l Enfermedad grave, con elevadas mortalidad y secuelas. l Supone 15 - 20% de todos los ICTUS.
Tipos Hemorragia intraparenquimatosa l Hemorragia subaracnoidea l Hemorragia subdural / epidural l
HEMORRAGIA INTRAPERENQUIMATOSA Supone el 10% de todos los ictus l Mortalidad elevada (20%-50%) l Importantes secuelas: sólo 1/5 de los supervivientes será independiente a los 6 meses. l l Factores Riesgo: Edad l HTA es el principal factor de riesgo modificable; está presente en el 45 -70% de los hematomas cerebrales. l Alcoholismo crónico. l Yatrogenia: la toma de dicumarínicos, fibrinolisis. l
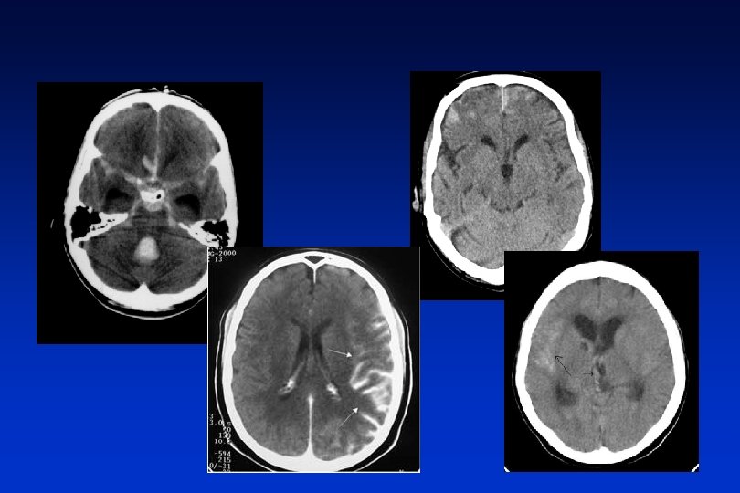
Hemorragia Intraparenquimatosa
Hemorragia profunda - HTA Hemorragia lobar – otras causas
Causas y características hematomas intraparenquimatosos ETIOLOGIA Hipertensión arterial (40 -70%) LOCALIZACION* Ganglios de la base, cerebelo, tronco, sustancia blanca subcortical EDAD Mayores de 45 años Malformaciones vasculares (4 -10%) Lobares Jóvenes Angiopatía amiloidea (5 -10%) Lobares Ancianos Tumores cerebrales (2 -10%) Atípicas Anticoagulación, fibrinolisis (9 -14%) Lobares Drogas simpaticomiméticas Indeterminada (10%) Ancianos Jóvenes
ASPECTOS DIAGNOSTICOS l La clínica: la localización y del tamaño del hematoma. l El inicio suele ser gradual. l Sugestivas de sangrado: cefalea, vómitos, deterioro del nivel de conciencia (síntomas de Hipertensión Endocraneal). l Pueden crisis epilépticas en la fase aguda, con mayor prevalencia en los hematomas lobares que en los profundos. l La disminución del nivel de conciencia y el tamaño en TAC tienen valor predictivo.
Hemorragias, Hipertensión Endocraneal y Herniación Cerebral 1) Herniación del cíngulo por debajo de la hoz del cerebro. 2) 2) Herniación diencefálica con descenso del tallo encefálico 3) 3) Herniación transtentorial, sobre la tienda del cerebelo y 4) 4) Herniación amigdalina a través del agujero occipital.
Hipertensión craneal: TRATAMIENTO l Cabecera a 30 grados (drenaje venoso y de LCR). l Sustancias osmóticas: manitol y furosemida. Los corticoides no han demostrado beneficio. l Hiperventilación: reducción de la p. CO 2 l Técnicas QX: l Drenaje de LCR mediante ventriculostomía. l Craniectomía y descompresión
HEMATOMA CEREBRAL: TRATAMIENTO ESPECÍFICO MEDIDAS GENERALES: l Control de TA: bajar si >180/110 HEMORRAGIAS SECUNDARIAS A DICUMARINICOS: Vitamina K: 10 mg intravenosos en inyección lenta l Plasma fresco congelado o concentrado de factores l HEMORRAGIAS SECUNDARIAS A HEPARINA l Sulfato de protamina. CIRUGÍA: Supratentoriales : Hematomas lobares con deterioro l Infratentoriales: l Hidrocefalia l Hematoma cerebeloso > 3 cm l
HEMORRAGIA SUBARACNOIDEA (HSA) l Extravasación de sangre dentro del espacio subaracnoideo. l Primaria l Secundariamente desde foco hemorrágico próximo. l Suponen entre el 5% de todos los ICTUS. l incidencia de 6 -16 casos/100000 habitantes por año, incidencia que no se ha reducido. l Hemorragia subaracnoidea espinal o medular.
ESPACIO SUBARACNOIDEO 1. Espacio subaracnoideo 2. Cisternas basales 3. Intraventricular
Diagnóstico diferencial Subdural Subaracnoidea
HSA ETIOLOGÍA • Aneurismas arteriales: • Saculares o congénitos. • Fusiformes o arterioscleroso. • Micóticos. • Otras malformaciones vasculares: • HSA no-aneurismáticas: • HSA traumáticas:
ANEURISMAS INTRACRANEALES l Dilataciones localizadas de la pared de las arterias l Suelen situarse en el espacio subaracnoideo de la base del craneo. l 80 -90% de ellos son aneurismas saculares o congénitos. l Su localización más frecuente es la arteria comunicanterior, seguido de la comunicante posterior, cerebral media y tronco basilar; con un claro predominio en la circulación anterior, origen de más del 80%. l En el 20% de los casos los aneurismas son múltiples.
ANEURISMAS INTRACRANEALES l Por qué se producen aneurismas: q Factores Congénitos. q Factores Hemodinámicos (arteriosclerosis y HTA). q Factores Hereditarios: incidencia familiar de aneurismas, poliquistosis renal, pseudoxantoma elasticum, la enfermedad de Marfan, síndrome de Ehlers-Danlos, la displasia fibromuscular. q Infección: aneurismas micóticos (distales).
EPIDEMIOLOGÍA ANEURISMAS l Series necrópsicas en las que se han encontrado hasta en el 5% de la población l La incidencia de HSA es mucho más baja. l La mayoría de aneurismas intracraneales no llegarán a romperse nunca. l Son factores de riesgo para la ruptura de un aneurisma y la consiguiente HSA q Edad, sexo femenino, raza negra q Tabaquismo y alcoholismo q HTA
HSA CLÍNICA l CEFALEA en estallido q Síntoma de inicio. q Instauración en segundos q Muy intensa q Localización generalizada, aunque algunos pacientes pueden presentar dolores cervicales o a lo largo del raquis l Depresión variable del nivel de conciencia l Náuseas y vómitos. l Crisis comiciales o síntomas focales que pueden ser indicativos del origen del sangrado l Hasta en un 10% de los casos el debut de las HSA es con colapso, apnea y muerte súbita
HSA CLÍNICA: SÍNTOMAS CENTINELA l Cefalea “centinela” 25 -50% en las semanas precedentes. l Síntomas de origen pseudotumoral: l Parálisis compresiva del III par craneal en aneurismas de Aco. P. l Parálisis del VI par craneal. l Defectos visuales campimétricos (nervio óptico y quiasma).
HSA CLÍNICA: SIGNOS / EXPLORACIÓN l Síndrome meníngeo, puede tardar algunas horas. l Depresión del nivel de conciencia (variable) l Síntomas focales dependen de localización: q Paresia de pares oculomotores q Paresias motoras l Fondo de ojo: hemorragias subhialoideas o preretinianas 25%.
Hemorragias subhialoideas (Terson)
EXPLORACIONES COMPLEMENTARIAS l Tomografía computerizada: La sensibilidad de la TC > 90% primeras 24 horas. l Patrones aneurismáticos. l HSA perimesencefálica. l Sospecha y TC negativa: punción lumbar (PL) l Angiografía: FUNDAMENTAL q Lo más pronto posible. q Terapia endovascular.
PRONÓSTICO HSA La mortalidad de la HSA: 25%, al mes está entre el 40%. l Causas muerte: l Sangrado inicial l Resangrado hasta un 20 -30% de los aneurismas no tratados l Isquemia cerebral es la segunda causa de mortalidad. l Factores que condicionan el pronóstico de la HSA: l Estado neurológico a la admisión. l Edad l La cuantía de la HSA y la inundación o no del sistema ventricular. l Se utilizan diversas escalas: l Hunt y Hess (clínica). Del 1 (cefalea leve) al 5 (coma) l Fisher (radiológica). Del 1 (TAC negativo) al 4 (invasión de ventrículos o hematoma franco) l
Complicaciones HSA Resangrado (inmediato) l Cerrar el aneurisma l Vasoespasmo (segunda semana) -> isquemia secundaria l Nimodipino, Magnesio l Terapia triple H (hidratación, hipertensión, hemodilución) l Angioplastia l Hidrocefalia (primeros días) l Derivación externa o shunt ventrículo-peritoneal l
HSA TRATAMIENTO: medidas específicas l Prevención del resangrado: l Exclusión del aneurisma mediante cirugía l Exclusión del aneurisma por terapia endovascular l Fármacos antifibrinolíticos
- Slides: 30