Enfermedad de Takayasu vs Hematoma artico Edurne Alonso









- Slides: 9
Enfermedad de Takayasu vs Hematoma aórtico Edurne Alonso Sendín 1, Ane Elorriaga Madariaga 1, Iñigo Lecumberri Cortés 2 Sº de Cardiología 1 Sº de Radiodiagnóstico 2 Hospital Universitario Basurto
Caso clínico Mujer de 44 años, de nacionalidad boliviana. Hipotiroidismo en tratamiento sustitutivo como único antecedente de interés. Enfermedad actual: Acude a Sº de urgencias por opresión precordial de reposo de varios meses de evolución, acompañado de sensación de pesadez en brazo izquierdo, parestesias en la mano izquierda y acúfenos en oído izquierdo. Según refiere la paciente, la clínica había empeorado los últimos días. Exploración física: destaca una discordancia entre la TA de ambos brazos (155/50 en el derecho y 120/70 en el izquierdo), así como asimetría de pulsos (carotídeos y femorales) y soplo carotídeo izquierdo. Ante sospecha de Sd. Aórtico agudo se solicita angio. TAC de aorta urgente.
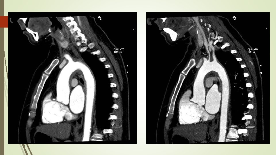
El estudio se informa como Hematoma aórtico agudo intramural tipo A, extendiéndose desde la raíz de aorta hasta la bifurcación de las iliacas primitivas. Ante dicho hallazgos, la paciente es trasladada a la Unidad Coronaria para monitorización y Cirugía Cardiaca. A las 24 horas de ingreso y previa intervención quirúrgica se solicita, angio. TAC de aorta helicoidal sincronizado para una mejor caracterización de la afectación aórtica, con los resultados que se muestran a continuación.
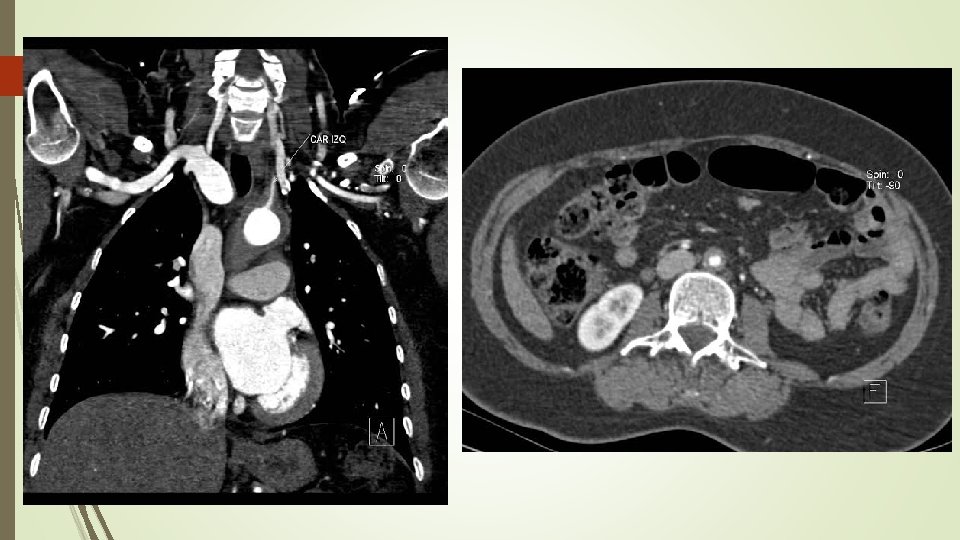
Angio. TAC aorta helicoidal sincronizado - Engrosamiento en forma de semiluna de aorta torácica ascendente y un engrosamiento circunferencial difuso de arco aórtico y aorta torácica descendente, alcanzando la bifurcación ilíaca. - Engrosamiento circunferencial del origen los troncos supraaórticos con estenosis filiforme del origen y primeros centímetros de carótida común izquierda. - Oclusión de arteria subclavia izquierda desde origen de arteria vertebral con repermeabilización de arteria axilar por colaterales. - Estenosis de la aorta abdominal en todo su recorrido siendo filiforme a nivel infrarrenal con diámetro mínimo de 5 mm. - Dilatación post estenótica ilíaca de común derecha. Hallazgos compatibles con Enfermedad Takayasu en fase crónica
Enf. De Takayasu Hematoma aórtico intramural Vasculitis. Infiltración de céls. MN y formación de granulomas en pared de aorta y sus ramas. Rotura de los vasa vasorum de la capa media, provocando una hemorragia contenida hasta la adventicia. Mujeres <40 a, orientales. Asociación a HTA Afectación s/t subclavia 50 -80% Ao descendente Asimetría de pulsos, soplos, signos de hipoperfusión Imagen: estenosis, dilataciones, oclusiones, aneurismas, circulación colateral Tto: CT a dosis altas e inmunosupresores. Tto Qx. 35% progresa a disección DIAGNÓSTICO DIFERENCIAL Imagen: engrosamiento en forma de media luna o circunferencial, sin afectación de la forma ni el tamaño de la luz arterial Tto: Qx. En pac. asintomáticos, con buen control de TA e imagen estable se recomienda tto conservador.