Endocrine System Histology Laboratory Orientation Hypothalamus and Hypophysis
Endocrine System Histology Laboratory Orientation
Hypothalamus and Hypophysis Median eminence Hypothalamohypophyseal tract Infundibulum Pars nervosa
Primary plexus of hyophyseal portal veins in median eminence Superior hypophyseal artery Long and short hypophyseal portal veins Drainage of the veins to cavernous sinus Inferior hypophyseal artery Secondary plexus of hypophyseal portal veins
Cross (transverse) section Frontal view #226 (H) xc trichrome (human) #226 (H) xc H&E (human)
#226 H (H&E) S S #226 (trichrome)
226 (H&E) Sinusoidal capillaries
Hypophysis (sagittal section) use for Pars nervosa and intermedia #227(H) sag Trichrome #226 (H) sag H&E
Pars nervosa Note capillaries and pituicyte nuclei #227 (H) sag trichrome #226 (H) sag HE
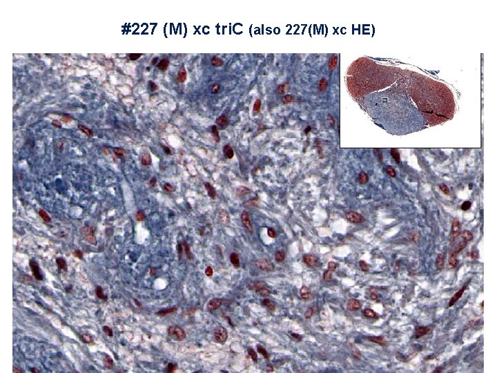
#227 (M) xc tri. C (also 227(M) xc HE)
#227 (M) xc Monkey Pars Intermedia #227 (M) xc Trichrome
#226 (H) sag HE and 227 (H) sag tri. C Pars intermedia (PI) and remnants of Rathke’s pouch (RP) PI PI RP RP
#229 Human, sagittal Infundibular Stalk Hypophyseal portal veins (system) Also, #229 B Human, Infundibular Stalk
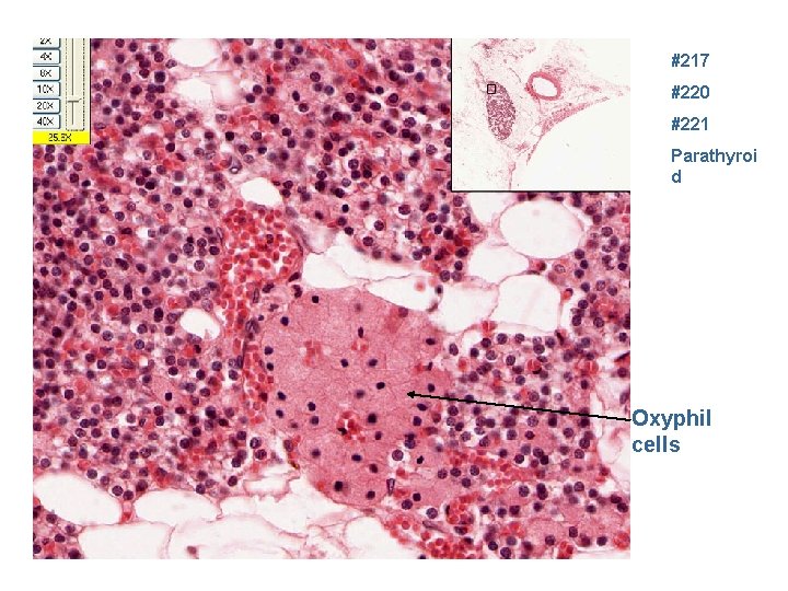
#217 Thyroid gland Parathyroid gland
#218 Rat Normal #218 Rat Hyperactive #218 Rat Hypoactive
#217 #220 #221 Parathyroi d Oxyphil cells
Kidney and Suprarenal Glands in situ
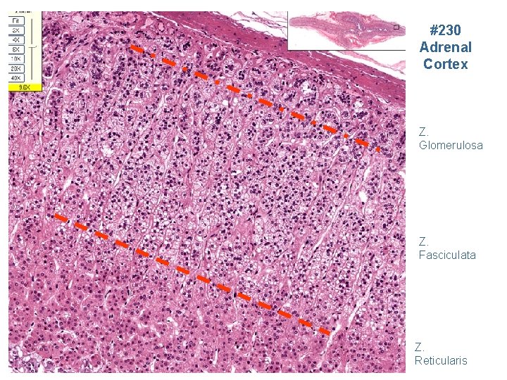
#230 Human Adrenal (suprarenal) gland
#230 Human Adrenal gland
#230 Adrenal Cortex Z. Glomerulosa Z. Fasciculata Z. Reticularis
#230 Adrenal Medulla Branch of central vein
#231 Monkey adrenal gland
Web. Slide 95: pancreas Islet of Langerhans – contrast with surrounding acinar cells and note the rich capillary bed.
- Slides: 23