Encphalopathie hypertensive Runion ARCO du 101105 Ranimation polyvalente

















- Slides: 17
Encéphalopathie hypertensive Réunion ARCO du 10/11/05 Réanimation polyvalente La Roche sur Yon FLORENCE WASMER
Mme F. âgée de 33 ans est hospitalisée en Réanimation pour état de mal épileptique n ATCD Migraine n Fausse couche en 2004 n Métrorragies depuis 2 -3 mois en cours d’exploration (biopsie du col en attente) n n Traitement habituel n Adepal
HDLM n n n Céphalées intenses depuis une semaine avec vomissements Le 4/11/2005, clonies du membre supérieur droit puis de l’hémicorps droit, perte de contact, sueurs Appel SAMU n n n Persistance clonies MSDt, pas de Babinsky, Glasgow 3, perte d’urine PA à 230/160 mm. Hg, dextro à 2, 10 g/L PEC immédiate n n Rivotril, IOT, sédation Loxen
Aux Urgences
Aux Urgences n PL n n n LCR clair Biochimie n n Cytologie n n hématies 78/mm 3 glycorachie 4. 92 mmol/l protéinorachie 0. 41 g/l éléments 5/mm 3 culture stérile NFS n n leucocytes 23030/mm 3 Hb 13. 4 g/dl plaquettes 564000/mm 3 Ionogramme n n Na 136 mmol/l K 4. 8 mmol/l Créatinémie 387 µmol/l Urée 19. 9 mmol/l
HYPOTHESES DIAGNOSTIQUES quant à l’atteinte cérébrale ?
Les hypothèses évoquées n n n Encéphalopathie hypertensive Méningoencéphalite herpétique Microangiopathie thrombotique Thrombophlébite cérébrale Tumeur cérébrale Etat de mal épileptique idiopathique
n EEG : pas argument pour un état de mal non convulsivant , suspicion d’atteinte pontique
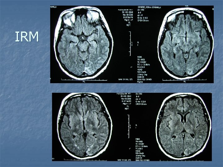
IRM
Diagnostic n n IRM cérébrale : hypersignaux Flair du cortex pariéto-occipital gauche compatible avec une encéphalopathie aigue hypertensive FO normal
HYPOTHESES DIAGNOSTIQUES quant à l’atteinte rénale ?
Les hypothèses évoquées n n HTA maligne avec atteinte rénale SHU Glomérulopathie (GEM secondaire) Uropathie obstructive
Biologie Hb 13. 4 g/dl , haptoglobine 2. 58 g/l , LDH 521 U/l, schizocytes <1% pas hémolyse n ECBU : <10000/ml leucocytes <10000/ml hématies absence de germes au direct n EPPU : protéinurie 0. 34 g/l 0. 68 g/24 h 62. 3% alb, 11. 3% α 1 glob, 9. 4% α 2 glob, 7. 1% βglob, 9. 9% γ n
Examen morphologique n Echographie rénale: dilatation des cavités à droite et à gauche, un bassinet dilaté à gauche et non dilaté à droite
Diagnostic et traitement n n Uropathie obstructive Traitement n n Montée de sondes JJ Constatation per opératoire n n n Tumeur du col Pas d’envahissement du trigone, compression extrinsèque des uretères (adénopathies lombo aortiques? ) Anatomopathologie n Carcinome infiltrant du col utérin
Evolution n n Amélioration de la fonction rénale avec diminution de la créatinémie Normalisation de la pression artérielle
Diagnostic final n n Encéphalopathie hypertensive secondaire à une insuffisance rénale aigue obstructive Carcinome épidermoide infiltrant du col