Emotion and Cognition Historically emotion and cognition were

























































































- Slides: 89
Emotion and Cognition • Historically emotion and cognition were thought to be distinct and separable mental activities • E. g. , Plato proposed that the mind had 3 separable aspects: intellect, will, and emotion • Early information processing phase in psychology with computer metaphor did not focus on emotion
Emotion and Cognition • Recent focus on emotion comes from cognitive neuroscience research, which demonstrated that there are specific neural structures (esp. Amygdala), that are specialized for processing emotional stimuli
Emotion and Cognition • Amygdala is a small almond-shaped structure, just anterior to the hippocampus; it is located in medial temporal lobe • Although amygdala is specialized in processing emotion, it is now recognized that amygdala influences cognitive processes and is influenced by cognitive processes • Thus, both cognition and emotion need to considered in context of each other
Emotion and Cognition • Amygdala and related brain structures
Phineus Gage
Phineus Gage • Computer reconstruction of the path taken by tamping iron through skull of Phineus Gage
Emotion and cognition • Gage walked away from accident, could describe the accident the next day, and within a month was deemed able to resume work as a foreman • It became clear that Gage was “no longer Gage” • Prior to injury Gage was a sober, responsible, intelligent, home body, with no peculiar or bad habits; he was a responsible, valued employee • After injury he was erratic, given to grossest profanity, impatient, unwilling to listen to advice, and unable to plan effectively • Tamping iron damaged medial region of prefrontal cortex • Subsequent research has shown that damage to frontal lobes can lead to dramatic changes in personality while keeping perception, consciousness, and most cognitive functions intact
Emotion and cognition • Neural circuits of emotion – Emotion is believed to be multifactorial and to involve several circuits – several different types of emotional behaviors exist and their expression depends upon the specific nature of the task – several different brain regions are involved in emotion – These include the anterior cingulate, hypothalamus, and basal ganglia – 2 regions primarily involved in emotion are the amygdala and the orbitofrontal cortex
Emotion and cognition • Orbitofrontal cortex – Forms the base of the prefrontal cortex and is adjacent to the upper wall of the orbit above the eyes – Orbitofrontal cortex is broken down into two distinct areas: the ventromedial prefrontal cortex and the lateral orbitofrontal prefrontal cortex ventromedial prefrontal cortex – is one of the primary areas damaged in Phineus Gage – Exact function of orbitofrontal cortex is unclear, but it appears to be involved in regulating our ability to inhibit, evaluate, and act in social and emotional decision making situations
Emotion and cognition • Human orbitofrontal cortex, divided into the lateral orbitofrontal cortex (green) and the ventromedial prefrontal cortex (red)
Emotion and cognition • Human orbitofrontal cortex
Emotion and cognition • Emotional learning – places, persons, locations, and objects have an emotional valence or value associated with them – Valence is usually acquired through emotional learning – Some stimuli are inherently positive or negative; no learning is involved – e. g. , shock, very loud noise; these are referred to as primary reinforcers – Other stimuli are neutral initially but take on a positive or negative valence because they have positive or negative consequences associated with them; i. e. , the emotional valence is learned; called secondary reinforcers
Emotion and cognition • Fear conditioning – Fear conditioning used to investigate emotional learning of negative valences – Paradigm with rats – An initially neutral stimulus (CS conditioned stimulus) such as a light is paired with an aversive stimulus such as a mild shock (US unconditioned stimulus) – Shock elicits a fear response to shock, called an unconditioned response – With repeated trials the rat learns that the light predicts the shock and exhibits a fear response to light, called the conditioned response
Emotion and cognition • Fear conditioning – Fear conditioning has been used to investigate emotional learning of negative valences – Results show that damage to the amygdala impairs conditioned fear responses – However, damage does not damage usually damage the unconditioned fear response indicating that response does not depend upon the amygdala – Thus amygdala is associated with learning of fear – The neural circuit associated with fear learning is complex
Emotion and cognition • Fear conditioning – Neural circuit associated with fear learning – Emotional stimulus (e. g. , CS light) seen by eyes; projects to thalamus; then sent (a) to amygdala “low road”; and (b) to sensory cortex (e. g. , visual cortex) “high road” for further analysis – The “low road” provides quick and dirty crude signal to amygdala that a stimulus resembling the CS was perceived; high road provides a more detailed analysis of sensory input, which then, if it is CS, is projected back to the amygdala
Emotion and cognition • Fear conditioning – Neural circuit associated with fear learning – Thus, there are 2 routes of projection to the amygdala; a fast signal that is susceptible to error and a slower route that less error prone – Advantageous when a dangerous signal is present to have this dual routes – Information from amygdala projects to regions that activate behavioral, autonomic, and endocrine (hormone) emotional responses – It also projects to anterior cingulate and ventromedial frontal lobe
Emotion and cognition • Emotional learning and memory • Neural circuit associated with fear contioning is believed to be an implicit memory system; its effects are expressed indirectly through a behavioral or physiological response though of course humans can directly express the response – Many emotional memories are believed to be implicit and explicit and are mediated by different brain regions
Emotion and cognition • Emotional processing by human to rattlesnake • Note: “high and low road” routes to amygdala; autonomic responses (e. g. , heart rate); actions of hiker modulated by ventromedial frontal regions
Emotion and cognition • Emotional learning and memory • Neural circuit associated with fear learning and memory – Phelps (1998) Patient SP had bilateral amygdala damage – Fear conditioning experiment – SP and controls were presented a blue square and during acquisition phase of study, the blue square was paired with a mild electrical shock to the wrist – SP and controls showed normal fear response to shock as measured by skin conductance response (SCR), an autonomic nervous system response indicating arousal – However, SP did not show a conditioned response to the conditioned stimulus (blue square) presented by itself
Emotion and cognition • Aside • Emotion elicits bodily reactions – when scared, heart beats faster and we sweat as a result of arousal of the autonomic nervous system – Skin conductance response (SCR) also called galvanic skin response (GSR) measures change in skin conductance resulting from activity of sweat glands; hence a measure of arousal
Emotion and cognition • Skin conductance response by SP and controls to conditioned and unconditioned stimulus
Emotion and cognition • Emotional learning and memory • Neural circuit associated with fear learning and memory SP however, had declarative memory for the experimental task and reported that she understood the association between the blue square and the electrical shock, and anticipated being shocked when shown the blue square Using the same experimental paradigm, patients with hippocampal damage and intact amygdala showed the opposite pattern of results – i. e. , normal autonomic conditioning, but were unable to report there was a blue square, or the association between the blue square and electrical shock Conclusion- amygdala necessary for implicit expression of emotional learning, but not necessary for explicit memory emotional events
Emotion and cognition • Social decision making – Frontal lobes are positioned to combine information from a variety of sources because of way information from the posterior regions projects to the frontal regions – Thus, it can select what behavior is appropriate in a given situation – The orbitofrontal lobes appear to help in the selection of appropriate actions when action is based on social cues – Patients with orbitofrontal lobe damage appear to have difficulty taking into account social context in their actions relying too heavily on perceptual cues, and producing inappropriate responses in a social context
Emotion and cognition • Social decision making – In terms of Shallice’s SAS model, the perceptual input is not combined with contextual information to select an appropriate response
Supervisory Attentional System Perceptual Structures Trigger Data Base Effector System Contention Scheduling
Emotion and cognition • Social decision making – Utilization and imitative behavior – Lhermitte (1983; 1986) showed that px with frontal lobe damage tended to rely excessively on perceptual input and show imitative and utilization behavior – E. g. , px pick up pencil on doctor’s table, and perform actions that were socially odd – e. g. , came in doctor’s office where there was a hammer, nail, and picture and began to hang the picture – Or socially inappropriate – left hypodermic needle in desk, doctor dropped his trousers, and turned his back on patient– patient pick up needle and jabbed it into doctor’s butt! (Don’t try to get this through ethics) – Lhermitte dubbed this utilization behavior -- patient’s rely too much on perceptual input to guide behavior
Emotion and Cognition • Imitative and utilization behaviors • Imitation. Patient mimics physician making threatening gesture
Emotion and cognition • Utilization behavior patient – when objects are placed in front of patient, he or she uses them – Patient tries to put on 3 pairs of glasses
Emotion and cognition • Emotional decision making – Damasio (1994) argued that rational decision making depends critically on an emotional evaluation of the consequences of an action – When weighing the consequences of an action we need to have an common measuring stick to assess the benefits and costs of an action – This metric was called by Damasio, a somatic marker – Somatic markers are bodily sensations (gut feelings) that help us evaluate our feelings about a potential action – Quick process that allows us to assess which options we feel most positively about, and they allow us to discard options that elicit negative feelings
Emotion and cognition • Emotional decision making – Test of somatic marker hypothesis (Damasio, 1994) – Provides an account of behavior of px with orbitofrontal (and perhaps amygdala) damage – Such patients understand events and objects that are emotionally affective, but they are stripped of emotional content (valence) associated with them – Skin conductance response (SCR) experiment – Purpose: to determine whether orbitofrontal px have normal SCR to pictures with emotional content – Note: these pictures have content by virtue of our memories; they are not intrinsically arousing like a loud noise or electrical shock
Emotion and cognition • Emotional decision making – Provides an account of behavior of px with orbitofrontal (and perhaps amygdala) damage – Such patients understand the events and objects that are emotionally affective, but they are stripped of emotional content (valence) associated with them
Emotion and cognition • Emotional decision making – Test of somatic marker hypothesis (Damasio, 1994) – Background about SCR • Emotion elicits bodily reactions – when scared, heart beats faster and we sweat as a result of arousal of the autonomic nervous system – Skin conductance response (SCR) also called galvanic skin response (GSR) measures change in skin conductance resulting from activity of sweat glands; hence a measure of arousal
Emotion and cognition • Emotional decision making – Test of somatic marker hypothesis (Damasio, 1994) – Px with orbitofrontal damage and controls were shown a series of emotional and neutral photos; SCR was measured – Results showed that px with orbitofrontal damage did not show autonomic emotional response to emotional stimuli, unlike controls – However, both groups showed an autonomic response to an intrinsically negative stimulus like a loud noise
• 13. 8 Top panel shows examples of neutral (N) and Emotional (E) stimuli used in experiment • Bottom panel shows SCR responses of patients and controls
Emotion and cognition • Emotion and declarative memory – Consolidation refers to a process by which memories become more stable over time, and in some cases performance on tasks requiring memory improves – In the case of declarative memories for emotional events this process appears to take time and occurs through the modulation of hippocampal processing during storage not encoding
Emotion and cognition • Emotion and declarative memory – Experimental approach to investigate effects of amygdala activation on declarative memory ä Investigators disrupted or enhanced amygdala processing after memory encoding ä E. g. , Study – maze learning task with rats (maze learning requires hippocampus); after learning rats were given drug that induced excitation response in amygdala or saline (baseline) injection ä Group with elevated amygdala response showed better memory for the maze than baseline group (Packard & Teather, 1998)
Emotion and cognition • Emotion and declarative memory – Experimental approach to investigate effects of amygdala activation on declarative memory ä Amygdala enhances hippocampal consolidation through activation of the beta-adrenergic system in the amygdala (a system that is hormonally activated); it has been shown that beta blockers that block beta-adrenergic receptors also eliminate the effects of arousal on memory ä Note: the hormonal changes that affect hippocampal consolidation are released during emotional arousal in situations of danger.
Emotion and cognition • Emotion and declarative memory Effects of amygdala activation have also been reported for nondeclarative (habit memory) memory mediated by the striatal regions (Packard & Cahill, 2001) – It has been proposed that functional purpose of this process is to increase chances that stimuli that result in an emotional reaction are more likely to be not forgotten
Emotion and cognition • Emotion and declarative memory – Experimental approach to investigate effects of amygdala activation on declarative memory ä Amygdala enhances hippocampal consolidation through activation of the beta-adrenergic system in the amygdala (a system that is hormonal activated); it has been shown that beta blockers that block beta-adrenergic receptors also eliminate the effects of arousal on memory ä Note: the hormonal changes that affect hippocampal consolidation are released during emotional arousal in situations of danger. – it has been proposed that functional purpose of this process is to increase chances that stimuli that result in an emotional reaction are more likely to be not forgotten
Emotion and cognition • Emotion and declarative memory – Declarative memory is better for emotional arousing stimuli – Amygdala has a secondary role in declarative memory (although a primary role in nondeclarative emotional memory) – Px with amygdala damage did not show an arousalenhanced memory (e. g. , La Bar & Phelps, 1998) – Also there was a correlation between strength of an amygdala response to an emotional stimulus at encoding and subsequent memory performance as measured in a neuroimaging study (e. g. , Cahill et al. , 1996) – Thus amygdala influences declarative memory but medial temporal lobe is critically involved in acquisition of declarative memories
Emotion and cognition • Emotion and declarative memory – Experimental approach to investigate effects of amygdala activation on declarative memory – Effects of delay on emotional memory – If arousal affects storage of declarative memories via the amygdala, then there should be slower forgetting of emotional than neutral stimuli – Kleinsmith & Kaplan (1963) presented word-digit pairs at study; half the words were emotional and arousing; half were neutral – At test, words were presented and participants recalled the digits; participants were tested immediately or after 24 hours
Emotion and cognition • Emotion and declarative memory – Kleinsmith & Kaplan (1963) – Results – On immediate test there was no difference between neutral and emotional words – At 24 hour delay digits paired with emotional words were better recalled
Emotion and Cognition • Kleinsmith & Kaplan (1963) • Recall of digits paired with emotional or neutral words on immediate test or after 24 hour delay
Case Description of AM § Successful businessman prior to TBI § Average to very superior general intellectual functioning § Normal academic, attention, and executive function abilities § Generally intact memory abilities § Poor social judgment; everything is positive Park et al. (2001) Neuropsychologia
Neuropsychology of semantic memory • How are other types of information represented in semantic memory? – Some evidence suggests that evaluative information is processed and stored in a different location than denotative information
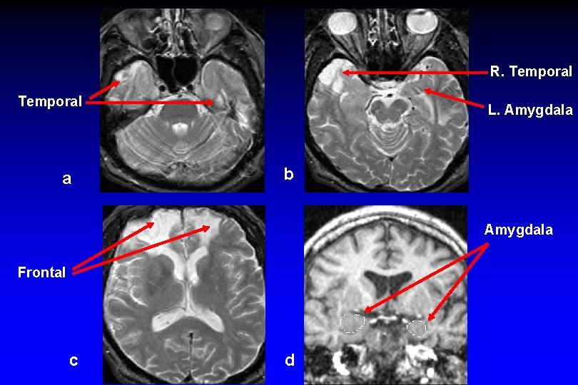
R. Temporal a L. Amygdala b Amygdala Frontal c d
Attitude Priming Study of AM § Purpose: to investigate AM’s evaluative rating of words § Hypothesis: impaired automatic evaluation of negative but not positive evaluative stimuli Park et al. (2001) Neuropsychologia
Attitude Priming (continued) § Method: attitude priming paradigm – Participants: AM and 8 age - and education matched controls § Procedure: – Phase 1: rate single words as “good” or “bad” – hypothesized positivity bias Park et al. (2001) Neuropsychologia
Rating of Words in Phase 1
Response Latency to Phase 1 Words
Phase 2 prime (pos or neg) 250 ms blank screen 50 ms target (pos or neg) Task: rate target as good or bad as quickly as possible
Control Priming Results Phase 2
AM Priming Results Phase 2
Summary of Attitude Priming § Positivity bias in rating single words § Slowed responses only to words rated as bad § Priming in positive valence condition only § Conclusion: AM can automatically access positive but not negative evaluative information Park et al. (2001) Neuropsychologia
Connotation Generation Study of AM § Purpose: to determine whether AM could access negative evaluative information when directed § Task: describe two positive and two negative features of single words (e. g. , coffee) § Same 92 words used as primes in Experiment 1 Park et al. (2001) Neuropsychologia
Acceptable Good and Bad Connotations
Semantic priming and AM • Purpose of experiment – to determine whether AM would show normal semantic priming – prior research has shown that the latency to respond to a target is facilitated when the prime preceding the target is semantically related compared to when it is unrelated • Method – similar to Phase 2 of the first study
Semantic priming and AM • Method – similar to Phase 2 of the first study – task: show prime-then target; make a lexical decision about target item (word/nonword)
Semantic priming and AM
Conclusions • Conclusions – AM impaired in his automatic processing of negative evaluative information äpositivity bias äno priming for negative evaluative words – AM not impaired in his denotative or semantic processing of words – suggests a dissociation between these two aspects of semantic memory
Memory consolidation and sleep • Memory consolidation and sleep – Memory – 3 stages – Encoding – Consolidation – Retrieval
Memory consolidation and sleep • Consolidation (Stickgold, 2005) – Process during which memory representation becomes stabilized (i. e. , less susceptible to interference) – Or memory representation is altered (e. g. , integrated) so that performance is improved
Memory consolidation and sleep • Sleep – Night of sleep composed of series of approx. 90 minute cycles – Each cycle divided into periods of rapid eye movement (REM) sleep and non-REM sleep – non-REM sleep divided into 4 stages reflecting deepness of sleep
Memory consolidation and sleep • Categorization of sleep stages over a night of sleep
Memory consolidation and sleep • Sleep – Stage 3 and 4 deepest sleep, called slow-wave sleep (SWS) – SWS refers to patterns of large, slow oscillations (. 5 – 4 Hz) observed on electroencephalogram (EEG)
Memory consolidation and sleep • Sleep – Stage 3 and 4 deepest sleep, called slow-wave sleep (SWS) – SWS refers to patterns of large, slow oscillations (. 5 – 4 Hz) observed on electroencephalogram (EEG)
Memory consolidation and sleep • Sleep and motor procedural learning – Effects of sleep investigated in a simple numerical sequence (4, 1, 3, 2, 4), tapped on a computer keyboard (Walker, et al. 2002) – Participants improved steadily with practice over 12 30 -second trials – Effects of sleep or wakeful delayed testing shown in next slide
Memory consolidation and sleep • No improvement if retest over 12 hours of wakefulness, but improvement if 12 hours included sleep
Memory consolidation and sleep • Sleep and motor procedural learning – Improvement in sleep was correlated with stage 2 non-REM sleep – Additional findings – Sleep deprivation prevented overnight improvement – It has been shown that a 90 -minute mid-day nap showed 10% improvement
Memory consolidation and sleep • Sleep and motor procedural learning – Studies with other procedural memory tasks including a perceptual task (texture discrimination) have shown similar improvements in performance with sleep – However, improvement was most strongly correlated with SWS – Conclusion: perceptual and motor skill tasks improved with sleep, but stage of sleep varies with task
Memory consolidation and sleep • Declarative memory and consolidation – Evidence for consolidation of declarative memory is weaker (Stickgold, 2005; Marshall & Born, 2007) – Since at least 1885 it has been known that sleep sustained memory more than wakefulness – Standard account until recently – not consolidation, but a reduction in interference during sleep responsible for higher memory performance
Memory consolidation and sleep • Declarative memory and consolidation – There is relatively good evidence that sleep stabilizes newly encoded memories by making them more resistant to interference (Marshall & Born, 2007)
Memory consolidation and sleep • Declarative memory and consolidation – Protective effects of sleep for declarative memory – Ellenbogen et al. (2006) investigated whether sleep would protect memories against interference
Memory consolidation and sleep • Declarative memory and consolidation – Used an A-B, A-C interference paradigm in which participants were presented a list of word pair associates (A-B); followed by 12 hr, retention period (sleep, wake); 12 min before test, participants in interference condition presented AC pairs; no interference condition did not get A-C pairs – Aside – A-C pairs are known to interfere with recall of A-B pairs
Memory consolidation and sleep • Experimental design • 4 groups (interference, no interference) crossed with (sleep, wake)
Memory consolidation and sleep • No interference condition; marginal difference in recall of AB pairs • Interference condition; sleep-1 much higher recall than wake-1
Memory consolidation and sleep • Declarative memory and consolidation Conclusion from study sleep protects declarative memories from interference General conclusion: Unlike procedural memories, sleep does not typically result in improved declarative memory for studied material, although it has been shown in some tasks and situations
Memory consolidation and sleep • Interactions across memory systems (Robertson, 2004) – many behaviors involve a combination of declarative and procedural memories – E. g. , using your PIN, a tool (e. g. , hammer), your cell phone all appear to involve a combination of declarative and procedural memories
Memory consolidation and sleep • Interactions across memory systems (Robertson, 2004) – When both declarative and procedural knowledge are acquired simultaneously evidence suggests that sleep is required for improved procedural performance; when a motor skill is acquired implicitly sleep does not appear to be required for there to be improved skilled performance
Memory consolidation and sleep • Interactions across memory systems (Robertson, et al, 2004) – Robertson et al. (2004) investigated interactions between declarative and procedural memory using an serial reaction time task (SRTT) paradigm, in which memories were acquired explicitly or implicitly
Memory consolidation and sleep • Interactions across memory systems (Robertson, 2004) – SRTT task – visual cue presented on screen in 1 of 4 locations – participants pushes response corresponding to location of cue – In SRTT task a sequence of the same 12 cues is repeated (sequential trial) – Random trial – a random set of 12 keys
Memory consolidation and sleep • Interactions across memory systems (Robertson, 2004) – Difference between response time in sequence and random trials measure of skilled learning – Explicit condition – participants were cued and told when the sequence switched to repeating sequence – Implicit condition – participants were given no instruction
Memory consolidation and sleep • Interactions across memory systems (Robertson, 2004) – Design – – Sleep condition tests at (8 pm and 8 am) – Wake condition tests at (8 am and 8 pm) – Memory (explicit, implicit) – Thus (sleep, wake) crossed with (explicit, implicit)
Memory consolidation and sleep • Implicit group showed improvement after 12 hours in wake and sleep • Explicit group showed improvement only after sleep
Memory consolidation and sleep • Interactions across memory systems (Robertson et al. , 2004) – In a follow-up experiment the amount of time between test 1 and test 2 was investigated in the implicit group
Memory consolidation and sleep • Implicit group • For there to be improvement there needs to be more than 15 minutes for this to be observed
Memory consolidation and sleep • Conclusion – When skills are acquired along with declarative memory, there is little motor skill processing consolidation during wakefulness, but there is during sleep
Memory consolidation and sleep • Conclusion – Raises the possibility that declarative memories may interfere with consolidation – Robertson (2009) has proposed that during wakefulness the two systems interact with each other and may interfere with each other during consolidation – However, during sleep the 2 systems become disconnected allowing for consolidation of motor skill memories