ECHO BASICS II 2 D ECHO AND M
ECHO BASICS - II 2 D ECHO AND M – MODE BASIC VIEWS Dr. BENNY JOSE P. SENIOR RESIDENT DEPT OF CARDIOLOGY MEDICAL COLLEGE, KOZHIKODE.
2 D ECHO
OPTIMIZATION OF 2 D IMAGES TRANSDUCER SELECTION DEPTH ZOOM FOCUS GAIN TIME GAIN COMPENSATION DYNAMIC RANGE PREPROCESSING PERSISTENCE POSTPROCESSING B COLOR
OTHER VIEWS RIGHT LATERAL DECUBITUS • CONGENITAL HEART DISEASES • ASCENDING AORTA • AORTIC VALVE VELOCITIES RIGHT APICAL VIEW • CONGENITAL HEART DISEASES LARGE LEFT PLEURAL EFFUSION • PROBE ON THE BACK FOR DESCENDING THORACIC AORTA (DISSECTIONS)
PATIENT POSITIONING
PARASTERNAL AND APICAL VIEWS
SUBCOSTAL VIEW
SUPRASTERNAL VIEW
IMAGING PLANES
TRANSDUCER TERMINOLOGY MOVEMENT SUPERIOR INFERIOR LATERAL MEDIAL TILTING SUPERIOR INFERIOR ANTERIOR POSTERIOR ANGULATION MEDIAL LATERAL ROTATION PIVOTING OR TWISTING IMAGE INDEX MARKER ON THE OBSERVER’S RIGHT SIDE
2 D ECHO VIEWS
PARASTERNAL LONG AXIS
PARASTERNAL LONG AXIS
PARASTERNAL LONG AXIS VIEW
PLAX DEPICTING CORONARY SINUS AND DESCENDING THORACIC AORTA
PARASTERNAL LONG AXIS – RV INFLOW VIEW
PARASTERNAL LONG AXIS – RV INFLOW VIEW
PARASTERNAL LONG AXIS – RV INFLOW VIEW
CHIARI NETWORK
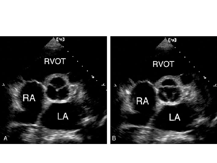
PARASTERNAL LONG AXIS – RV OT VIEW
PARASTERNAL LONG AXIS – RV OT VIEW
PARASTERNAL SHORT AXIS
PARASTERNAL SHORT AXIS - AT PULMONARY ARTERY BIFURCATION LEVEL
PSAX – LMCA AND RCA VISIBLE
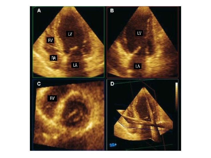
APICAL 4 CHAMBER VIEW
APICAL 4 CHAMBER VIEW
LV FALSE TENDON
MODERATOR BAND
APICAL 5 CHAMBER VIEW
APICAL 2 CHAMBER VIEW
APICAL 2 CHAMBER VIEW
APICAL 2 CHAMBER VIEW – OFF AXIS POSTERIOR TILT, MEDIAL ANGULATION, COUNTERCLOCKWISE ROTATION
APICAL 2 CHAMBER VIEW LA APPENDAGE
APICAL LONG AXIS VIEW
APICAL LONG AXIS VIEW
SUBCOSTAL LONG AXIS
SUBCOSTAL 4 CHAMBER VIEW
SUBCOSTAL SHORT AXIS
SUBCOSTAL SHORT AXIS
SUBCOSTAL GREAT VESSEL VIEW
SUPRASTERNAL LONG AXIS
SUPRASTERNAL SHORT AXIS
M – MODE SCAN
PULMONARY VALVE M MODE
THANK YOU
- Slides: 64