Dr Scrates Mora Guerrero Servicio de Gastroenterologa Hospital














































- Slides: 46
Dr. Sócrates Mora Guerrero Servicio de Gastroenterología Hospital San Vicente de Paúl PANCREATITIS AGUDA
Definición. Proceso inflamatorio el páncreas con compromiso variable del tejido peripancreático y órganos distales.
Definición.
Epidemiología. Incidencia en ascenso a nivel mundial. 200 -400 casos por millón de habitantes. Edad máxima de prevalencia 40 -60 años. No hay preferencia por raza, rasgos constitucionales, sexo u ocupación laboral.
Etiología. Litiasis biliar + alcoholismo + idiopática = 95% Litiasis Biliar: 85% Alcohol: 8 -15% Dislipidemia: 2% Riesgo de paciente con litiasis biliar de desarrollar una pancreatitis es de un 5%.
Etiología. Trauma abominal: cerrao, abierto, post. Qx. Vascular: Vasculitis, Isquemia. Tumores pancreáticos y periampulares. Misceláneos: Hipercalcemia; IRA; Úlcera péptica penetrada; Páncreas divisum 15 -20% origen idiopático. 70% Microlitiasis. Infecciosas: Virus de hepatitis, Cocksakie, CMV, Rubeola, Echo, Candida, parásitos (ascaris, eschistosomiasis).
Etiología. FARMACOS Furosemida Azatioprina Clorotiazidas Estrógenos Sulfamidas Tetraciclinas Propiltiuracilo
Etiología.
Patogenia Proceso inflamatorio agudo por fallo en los procesos de protección. 1. - Síntesis de enzimas inactivadoras. 2. - Presencia intracelular de proteasas inhibidoras. 3. - Secreción de enzimás de espacio citoplasmático. Activación intracelular (intraacinar) de enzimas pancreáticas (Tripsina). Autodigestión de la glándula.
Patogenia Biliar (Coledocolitiasis). Más frecuente en Costa Rica. El cálculo en su ubicación periampular, puede provocar obstrucción, permitiendo reflujo de bilis hacia el conducto de Wirsung. Muchas ocasiones se encuentran cálculos en las evacuaciones de pacientes con PAB.
ANATOMÍA PATOLÓGICA Simposium de Atlanta. -Pancreatitis Edematosa (Intersticial): 80%. Curan de 5 -7 días. -Pancreatitis Necrohemorrágica: 20% 30% de Mortalidad. Forma Leve Forma Severa 80% total 20% total Menos de 5% mortalidad Más de 20% mortalidad Menos de 5% FOM Más de 20% FOM
Cuadro Clínico Dolor abdominal: Más de 90% casos. Aparición precoz y brusca. Intensidad creciente. Antecedente de comida de grasa y alcohol. Localización inicial: epigastrio. Irradiación: Ambos hipocondrios y espalda. Generalización a todo el abdomen.
Cuadro Clínico Adopción de postura antiálgica: 80% px. Flexión de piernas sobre el tronco. Náuseas y vómito (54 -92%). Distensión abdominal, falta de emisión de gases y heces (50%). Fiebre: 12 -27% 1° Semana: Relacion con la inflamación pancreática propiamente dicha. Descarta colangitis. 2° Semana: Descartar complicaciones infecciosas. Necrosis pancreática infectada. Alta mortalidad.
EXPLORACIÓN FÍSICA Fascie álgica. Taquicardia Hipotensión Distensión abdominal, ausencia de ruidos intestinales. Epigastrio doloroso a palpación. Resistencia a palpación de hipondrio derecho. Ascitis. Signo de Cullen: Coloración azulada periumbilical (0 -3%). Signo de Turner: Coloración azuladaen flancos (0 -3%). Auscultación: Disminución del murmullo vesicular en bases pulmonares.
Signo de Cullen y Turner
Laboratorio Amilasa: Elevación más de tres veces su valor normal Lipasa: Su elevación descarta origen salival, intestinal, ginecológico. Enzimas individuales: 60 -80% de diagnóstico. Amilasa + Lipasa: 92 -96% diagnóstico. El nivel de Amilasa o Lipasa NO predice si la Pancreatitis es leve o severa.
Laboratorio
Laboratorio Leucocitosis: (15000/20000). Aparición de formas jovenes. Hematocrito elevado. Hiperglicemia (50%) Frecuente elevación de: Bilirrubinas: más de 4 mg/dl Fosfatasa alcalina Transaminasas Hipocalcemia (3 -30%)
Laboratorio LDH muy elevada: mal pronóstico. Hipoalbuminemia: (menos 3 mg/dl). Pancreatitis grave: alta Mortalidad. Hipertrigliceridemia (15 -20%): Amilasa falsamente normal. ALT elevado (más 150 UI) sugiere pancreatitis biliar
Radiología Radiografía de abdomen: Datos de irritación peritoneal. Asa centinela: Por atonía gástrica intestinal. Signo de amputación del colon por distensión de colon transverso. Calcificaciones: Hipocondrio derecho: Origen biliar. Área Pancreática: Pancreatitis crónica. Zona Renal: Hiperparatiroidismo. Ultrasonido Abominal: valora dilatación de vía biliar, presencia de litiasis y edema de páncreas.
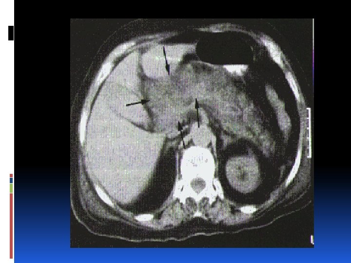
Radiología Gold standar: Tomografía Axial Computarizada contraste IV. Brinda información sobre: Configuración de la glándula y la existencia o progresión de exudados. TAC Dinámica: Disminución en captación de contraste IV= Pancreatitis Necrohemorrágica.
Radiología ¿Cuándo debemos indicar una TAC? Signos de Pancreatitis Aguda Severa. Ausencia de mejoría clínica a las 72 horas. Duda diagnóstica. Sospecha de infección: Fiebre mayor de 38° Tipo de TAC: contraste IV ¿Qué buscamos con la misma? Necrosis: Disminución en captación de contraste. Colección líquida Diagnósticos alternativos. Pronóstico. Establecer severidad.
CLASIFICACIÓN DE TOMOGRÁFICA DE BALTHAZAR.
Diagnóstico Diferencial Úlcera Péptica Perforada. Colecistitis Aguda Enfermedades Vasculares Mesentéricas. Ruptura de: Quiste de ovario, trompa de falopio o embarazo ectópico. IAM Apendicitis Obstrucción Mecánica Intestinal Diverticulitis Intoxicación por plomo.
Complicaciones Sistémicas: Primeras dos semanas. Shock Hipovolémico Complicaciones Cardíacas Insuficiencia respiratoria Necrosis de Tej. Cel. Subcut. Hemorragia tubo digestivo CID Necrosis Tubular Aguda Rotura y hemorragia esplénica Complicaciones Hepatobiliares FOM Locales: Más tardías , después de dos semanas. Necrosis pancreática. Pseudoquistes pancreáticos.
Complicaciones locales: Necrosis Pancreática: Diagnosticada por TAC contraste I. V. 1. Estéril 2. Infectada Pseudoquiste Pancreático: Colección líquida de secreción pancreática con pared no epitelial. Sospechar en pancreatitis que no mejora en una semana. Pocos requieren tratamiento quirúrgico. Aspirar los de rápido crecimiento. 50% se resuelven en forma espontánea.
Complicaciones locales: Abscesos: Colección de pus pancreático o peripancreático. Mortalidad: 20 -60% Aparecen a la 2ª o 3ª semana: fiebre, malestar abdominal creciente, taquipnea, taquicardia, intolerancia a v. o y leucocitosis. Orientación diagnóstica: burbujas de aire retrogástrica en radiografía simple de abdomen. Confirmación diagnóstica: Aspiración con aguja guiada por US o TAC. Tratamiento: Drenaje temprano.
Pseudoquiste y Absceso
Complicaciones locales: Ascitis Oclusión Intestinal
Pronóstico Protocolo de seguimiento con triple monitoreo 1. Clínica 2. Imágenes 3. Score pronóstico Mortalidad: Global: 13 -15% Complicaciones Sistémicas o necrohemorrágicas hasta un 50%. Pseudoquiste: 15% Absceso : 20 -60% Absceso sin drenaje: 100%
Pronóstico Criterios de Ranson: Estos signos tienen doble importancia: 1. Ayudan a identificar los pacientes que tienden a sufrir complicaciones. 2. Útiles para determinar pronóstico.
Pronóstico
Pronóstico
Pronóstico Correlación entre puntaje de APACHE II y Mortalidad: 0 -9%: 10% 10 -14%: 15% 15 -19%: 25% 20 -24%: 30% 25 -29%: 48% 30 -34%: 75% Más de 35%: Más de 90%
Pronóstico Predictores de Severidad: Criterios de Ranson: Mayor o igual a 3. Criterios de APACHE: Mayor o igual a 8 Presencia de FOM (Shock, Insuficiencia respiratoria, Insuficiencia renal). Índice Tomográfico de severidad: Score de Balthazar.
Tratamiento En la mayoría de los pacientes la pancreatitis (85 -90%) cura 3 a 7 días después de iniciado el tratamiento. El objetivo del tratamiento es disminuir la secreción pancreática y esencialmente dejar que el páncreas repose.
Tratamiento Las medidas convencionales consisten en: 1. - Enfermedad Leve (80%): Ayuno Hidratación parenteral: Sol. Fisiológica 3 -5 L/día, debido a la depleción del espacio intravascular, generado por el 3 er espacio intraabdominal. Analgésicos parenterales según necesidad (opioides): Meperidina, Fentanilo, Morfina. Sonda Nasogástrica. Con frecuencia la dieta en el paciente con pacreatitis se inicia del 3° a 6° día y una dieta regular al séptimo día de haber iniciado el tratamiento, cuando se ha ido el dolor y la anorexia.
Tratamiento Pancreatitis Grave (20%): UCI Control estricto de líquidos. Sonda Foley y SNG. Nutrición: Enteral por SNY (NE): Previene desarrollo de atrofia intestinal. Disminuye probabilidad de translocación bacteriana. Poco riesgo y bajo costo. Nutrición Parenteral Total (NPT): En caso de íleo paralítico.
Tratamiento ANTIBIÓTICO A) Desde un inicio si hay: Colangitis asociada (menos 5%): Ampicilina + Gentamicina o Ampicilina + Sulbactam. Necrosis pancreática: Mas de 30% de glandula afectada demostrado por TAC de inicio: Imipenem (Discutido). B) Pacientes con necrosis infectada o abscesos pancreáticos: 1° se toma muestra por punción y se inicia Imipenen hasta obtener resultados de cultivo. IMIPENEM 500 mgs I. V. c/8 h. CIPROXINA 500 mgs I. V. c/12 h. Metronidazol 500 mgs IV c/8 h.
Tratamiento Cirugía: Precoz (menos de 7 días): Única indicación sería, la duda diagnóstica al no poder descartarse otro causa de dolor abdominal. Después del 10° día: Necrosis infectada, comprobada por punción diagnóstica con aguja fina.
Tratamiento Cirugía Tardía: Tratamiento de complicaciones locales: Pseudoquistes. Abscesos. Tratamiento adecuado de la patología biliar para evitar recurrencias (CPRE + Colecistectomía).
Tratamiento COLANGIOGRAFIA RETRÓGRADA ENDOSCÓPICA: 1. Mientras cursa la pancreatitis: Pancreatitis + Colangitis asociada Pancreatitis Severa litiásica. Se realiza esfinterotomía y extracción de cálculo. 2. Una vez resuelta la pancreatitis: En las pancreatitis litiásicas leve con litiasis coledociana residual, posteriormente se realiza la colecistectomía (momento varía según cirujano).
¡MUCHAS GRACIAS!