Dr Muhammad Younus MBBS MCPS FCPS Pulmonology Rib
Dr. Muhammad Younus MBBS, MCPS, FCPS (Pulmonology)
Rib Fractures
Anatomy 4
Anterior Thoracic Landmarks � � Suprasternal Notch – U shaped depression Sternum – “breastbone” = 3 parts 1. 2. 3. Ø Manubrium Body Xiphoid process Angle of Louis – manubriosternal angle continuous with the 2 nd Rib Ø Costal angle- usually 900 or <. (increases when rib cage is chronically overinflated)
Posterior Thoracic Landmarks � Vertebra Prominens – Flex head, feel most prominent bony projection at base of neck = C 7 next lower one is T 1 � Spinous Processes – spinal column� Scapula – symmetrical , lower tip at the 7 -8 th Rib � 12 th Rib = midway b/t spine & side
Ribs • 12 pairs of ribs • 7 true ribs • 5 false ribs (including 2 floating ribs) • Head of rib articulates with vertebra Ribs move as a unit to accommodate breathing Intercostal spaces = (spaces between ribs) • •
False and Floating Ribs • All 12 pairs of ribs attach to the building blocks of the spine (vertebrae) in the back. The 12 pairs of ribs consist of: • True ribs: The first seven ribs attach to the sternum (the breast bone) in the front and are known as true (or sternal) ribs. False ribs: The lower five ribs do not directly connect to the sternum and are known as false ribs. The upper three false ribs connect to the costal cartilages of the ribs just above them. The last two (#11 and 12) are false ribs. They have no ventral attachment (no anchor at all in front) and are called floating ribs. • •
Cervical Rib � Supernumerary (Extra) Rib present above the 1 st rib � Arises from 7 th cervical vertebra � Present in 1 in 500 peoples � Can cause thoracic outlet syndrome due to compression on the brachial plexus and subclavian artery.
Rib Fractures � Trauma is the most important cause of rib fractures � First Rib : Rare , associated with cranial, maxillofacial , cervical spinal injuries , multiple rib fractures and life threatening vascular injuries. � Second, Third and fourth : Associated with major vascular injuries and injury to brachial plexus.
Rib Fractures � Fifth to Ninth ribs : can be single or multiple. Multiple fractures can present as flail chest, which is present when paradoxical respiratory movement occurs in a segment of the chest wall. This type of fracture requires at least 2 segmental fractures in each of 3 adjacent ribs, the costal cartilages, or the sternum
Rib Fractures to twelfth ribs : Associated with thoracic and lumber vertebral injuries Injuries to spleen , kidneys adrenals , liver may occur. � Tenth
Rib Fractures � Pathological Rib Fractures: occurs spontaneously without trauma due to weakness of the bone by the underlying disease. - Metastasis - Multiple myeloma - Hyperparathyroidism
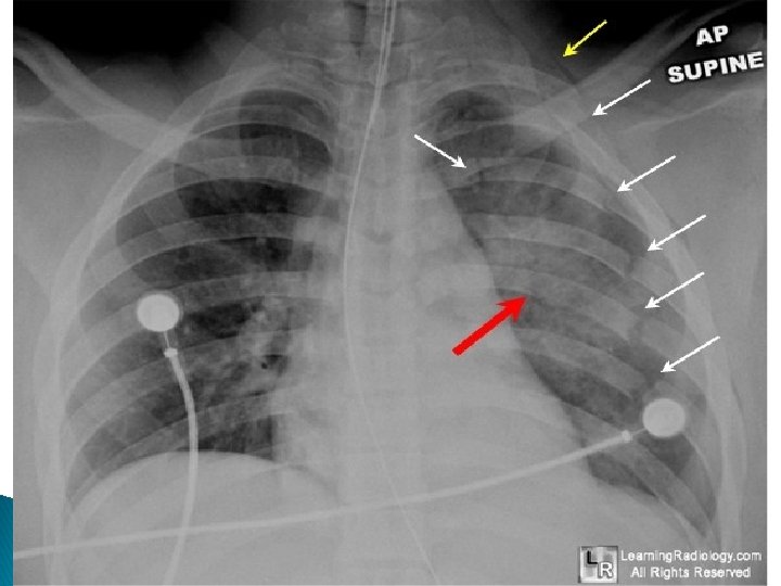
Complications ◦ Pulmonary contusion (almost always) �Airspace disease representing hemorrhage into the alveoli usually subjacent to the point of impact ◦ Pulmonary laceration �Lacerations in the lung may be blood-containing, air-containing, or both �Frequently masked by the surrounding pulmonary contusion ◦ Pneumothorax (very common) �Since the severity of the injury means a supine radiograph will be performed, pneumothoraces may only be seen on chest CT ◦ Hemothorax (common) ◦ Pneumomediastinum ◦ Subcutaneous emphysema ◦ Mediastinal hemorrhage ◦ Aortic injuries
Flail chest � Flail chest is traditionally described as the paradoxical movement of a segment of chest wall caused by fractures of 3 or more ribs anteriorly and posteriorly within each rib. � Variations include posterior flail segments, and flail including the sternum with ribs on both sides of the thoracic cage fractured. � Severe blunt trauma
Sternum breastbone � Lies in anterior midline of thorax � Three parts: ◦ Manubrium ◦ Body ◦ Xiphoid process � Surface landmarks ◦ Jugular notch ◦ Sternal angle ( angle of Louis) �
Manubrium � Broad, upper part of the sternum � Quadrangular shape, wider superiorly and narrower inferiorly � Articulates with the clavicles and the first two ribs.
Manubrialsternal Joint �A ridge where the manubrium and the body of the sternum meet � Raised horizontal ridge located at the second rib joint
Xiphoid Process � Xiphoid means “sword-shaped” � May be bone or cartilage � Apex of thoracic arch � “Pit” of stomach, where heartburn often occurs
Sternal Fractures � Blunt trauma to chest � Rarely may occur during CPR � Stress fractures weight lifters , golfers � Long term steroids, severe kyphosis Fractures usually occurs at body or manubrium X-Rays Chest PA & Lateral Views , USG Chest CT chest.
Normal chest
Pectus excavatum � Most common congenital deformity of anterior chest wall. � Also called funnel chest , sunken chest, cobblers chest. � Lower end of sternum is depressed alongwith costal cartilages. � Treatment is surgical repair.
Pectus Excavatum (Funnel)
Barrel Shape chest � AP diameter is equal or more than transverse diameter. � COPD
Barrel Chest
Pectus Carinatum � Also called pigeon chest. � Characterized by protrusion of sternum and ribs � Congenital, Obstructive airway disease, Marfan syndrome, turner syndrome, Ehlers danlos syndrome. � Treatment is external braces or surgical.
Pectus Carinatum (Pigeon)
Sternal defects � Very rare � Sternal defects can be categorized into 4 types, : - thoracic ectopia cordis - cervical ectopia cordis - thoracoabdominal ectopia cordis - cleft sternum. � Sternal foramina – perforation in sternal body clinically insignificant. � Perforation of xiphoid process in elderly.
Sternal Biopsy � Often used for bone marrow needle biopsy because of its breadth and subcutaneous position � Commonly used for specimen for bone marrow transplant and for the detection of metastatic cancers and blood dyscrasias.
Reference Lines � Anterior Chest ◦ Midsternal line ◦ Midclavicular line � Posterior Chest ◦ Vertebral line – midspinal ◦ Scapular line
� Lateral Chest ◦ Anterior Axillary line ◦ Posterior Axillary line ◦ Mid–axillary line
Thoracotomy � Surgical creation of an opening through the thoracic wall � Types : - Anterior thoracotomy - Posterolateral thoracotomy - Anterolateral thoracotomy � Posterolateral thoracotomy is the most commonly used site.
Median sternotomy � Sternal splitting for the mediastinal operations � For upper lobe lung tumours � CABAG � After surgery the halves of sternum are joined using wire sutures.
Indications of thoracotomy � � � � Atelectasis, the permanent collapse of lung tissue Benign (non-cancerous) tumors or cysts Confirmation of a diagnosis, such as for lung disease Diaphragm disorders Diseased or damaged blood vessels of the heart or lungs Empyema, or infection in the chest cavity Heart disease Hemothorax, or blood in the lungs Lung damage caused by emphysema or bronchietasis Pleurodesis, a procedure to treat a buildup of fluid in the chest cavity Pneumothorax, or injuries that cause the collapse of lung tissue Pulmonary embolism, or a blood clot in the lungs or pulmonary artery Severe and very specific types of chest injury or trauma, such as certain types of stabbings or gunshot wounds Some types of cancer including lung cancer Trachea (windpipe) or esophageal (swallowing tube) conditions
Bone Grafting �A bone graft is surgery to place new bone or bone substitutes into spaces around a broken bone or bone defects. � If the transplanted bone comes from another person, it is called an allograft. � If the transplanted bone comes from another part of your own body, it is called an autograft.
THANK YOU
- Slides: 56