DR JORGE RAFAEL LOPEZ CAMPOS URGENCIAS MEDICAS 2











































- Slides: 43
• DR JORGE RAFAEL LOPEZ CAMPOS • URGENCIAS MEDICAS 2 DO AÑO
• Respiración intercambio de O 2 y CO 2 entre organismos y ambiente. 1. Ventilación: intercambio de gases entre la atmosfera y el ambiente 2. Perfusión: flujo de sangre venosa mixta a traves del pulmón y retorno de sangre arterial. 3. Intercambio gaseoso: transferencia de O 2 y CO 2 a traves de la membrana alveolo capilar. 4. Transporte de gases y captación 5. Regulación ventilación: control acido base, aumento o disminución de la ventilacion.
• Pulmón previamente sano: Pa. O 2 menor de 60 mm Hg. y/o Pa. CO 2 mayor de 49 en ausencia de alcalosis metabólica. En reposo a nivel del mar. • Relación Pa. O 2/Fi. O 2 menor de 300 • Requiere de la medición de gases en sangre arterial.
Clasificación de la IR • Velocidad de instalación: Aguda sobre crónica Crónica • Alteración gasométrica: Global Parcial
Causas de IR Encéfalo Médula espinal Neuromuscular Tórax y pleura Vía aérea superior Cardiovascular Parenquima pulmonar
condicion definicion Ej. clinico Alt. laboratorio Fallo respiratorio Alt. En la captación de O 2, eliminacion de CO 2 o ambas Asma severo Epoc reagudizado SDRA Pa. Co 2 50 mm. HG o > Pa. O 2 50 mm. Hg o < Fallo TO 2 Limitación en la entrega de O 2 a los tejidos, no se logra mantener el metabolismo aeróbico Anemia Intox. Con Monóxido(CO) Shock cardiogénico PVO 2 <40 mmhg (Presión venosa mixta de o 2) Acidosis láctica Fallo EO 2 Incapacidad de las células de extraer O 2 de la sangre y su uso para el metabolismo aeróbico Intox. Cianuro Shock distributivo PVO 2 > 40 mm. HG Acidosis láctica
Causas de IR • Falla intercambiador • • Agudas: SDRA EPA Neumonía TEP Atelectasia Crisis asmática Derrame pleural masivo Hemorragia alveolar Neumotórax extenso Crónicas: LCFA Fibrosis Pulmonar • Falla Primaria de Bomba • Agudas: Sobredosis de sedantes AVE TEC, TRQM Poliomielitis Guillain-Barré Miatenia Gravis Porfiria Torax Volante K+, PO 4, Mg • Crónicas: Toracopplastia Cifoescoliosis Apnea del sueño ELA
Intoxicación por CO correlación entre la Carboxi. HB y síntomas % sat. Carboxihb síntomas 0 -10 Ninguno 10 -20 Cefalea(vd ) 20 -30 Dolor pecho (hipoxia mioc. ) 30 -40 Cefalea severa, dolor de pecho, debilidad, N y V. 40 -50 Anterior+hipo VA dism. FC >50 Convulsiones, res. Cheyne Stokes, coma. Muerte Tratamiento Aporte de oxigeno con la FIO 2 (MASCARA CON RESERVORIO) Casos extremos: cámara hiperbárica
Causas de hipoxia • Hipoxémica Insuficiencia respiratoria aguda o crónica • Circulatoria Shock • Anémica Anemia, intoxicación por CO • Disóxica Shock, intoxicación por cianuro
Causas de hipoxemia • Factores intrapulmonares: Difusión alveolocapilar de O 2 Cortocircuito (shunt) Relaciones ventilación/perfusión (VA/Q) Ventilación • Factores extrapulmonares: Presión inspiratoria de O 2 Ventilación Gasto cardiaco
Limitación de la difusión • • • De dudosa relevancia clínica Responde a la administración de O 2 Gradiente alveolo-arterial de O 2 elevada G(A-a)O 2= PAO 2 – Pa. O 2 > 20 PAO 2= (Pb – PH 2 O) Fi. O 2 – Pa. CO 2/R • Fibrosis pulmonar
Desequilibrio VA/Q • • • Mecanismo más frecuente Responde a la administración de O 2 Gradiente alveolo-arterial elevada Pa. CO 2 normal, elevada o disminuida EPOC, TEP
Cortocircuito o Shunt • • Sangre no ventilada No responde a oxígeno G(A-a)O 2 muy elevada Neumonía, SDRA, EPA
Causas de hipercapnia • Hipoventilación alveolar • Desequilibrio de las relaciones VA/Q
Causas de hipoxemia e hipercapnia: Diagnóstico diferencial Pa. O 2 VA Difusión Shunt VA/Q Pa. CO 2 G(A – a)O 2
Manifestaciones clínicas de Hipoxemia e hipercapnia • Hipoxemia: Compromiso de conciencia Cambios de personalidad Confusión, ansiedad Convulsiones coma Taquicardia, bradicardia Hiper o hipotensión Arritmias Isquemia miocardica Taquipnea cianosis • Hipercapnia: Compromiso de conciencia Cefalea Confusión sopor Coma, convulsiones Asterixis Mioclonías Edema papilar Hipotensión Arritmias
SINDROME DE DISTRESS RESPIRATORIO AGUDO Paradigma de la IR aguda
SDRA www. reeme. arizona. edu
Definición Injuria pulmonar aguda SDRA Pa. O 2/Fi. O 2 < 300 < 200 Infiltrados Bilaterales si si PCP < 18 mm. Hg
Causas de SDRA • • • Sepsis Aspiración Neumonía Intoxicación Ahogamiento Inhalación de tóxicos Quemaduras extensas Contusión pulmonar Tranfusiones • • • Embolía grasa Obstrucción vía aérea sup. Transplante Drogas Revascularización miocardica Pancreatitis Neumonía eosinofila BOOP TBC miliar
Fisiopatología del SDRA Injuria pulmonar o extrapulmonar Daño epitelial Proliferación celular Shunt “celular” Daño endotelial Edema Shunt “líquido” Vasoconstricción. HTp CRF y distensibilidad Hipoxemia Pérdida de vasoconstricción hipóxica
Mecanismos de hipoxemia • Pulmonares: Shunt: Edema, colapso, consolidación V/Q: Hipoventilación, pérdida de la vasoconstricción hipóxica, trombosis, sobredistensión alveolar, remodelación pulmonar tardia • Extrapulmonares: SVO 2 baja. Cortocircuito extrapulmonar
Mecanismos de perpetuación del SDRA • • • Foco inicial no controlado Traslocación bacteriana. FOM Infecciones nosocomiales Síndrome fibroproliferativo del SDRA Daño pulmonar inducido por la ventilación mecánica
SEPSIS SRIS Secuestro de PMNn Activación/adhesión de PMNn Migración de PMNn (quimiotaxis) Activación/liberación de enzimas y oxidantes Daño endotelial y epitelial SDRA
Tratamiento del SDRA • De la enfermedad causal: Buen pronóstico Embolia grasa Contusión pulmonar Sobredosis de drogas Edema pulmonar neurológico
Tratamiento farmacológico • • Estabilización hemodinámica Oxigeno Balance hídrico negativo Corticoides? ? Oxido nitrico Prostaciclina AINE Antagonistas de leucotrienos
EPOC + ICC www. reeme. arizona. edu
EPOC + INFECCION RESP. www. reeme. arizona. edu
Causas de la exacerbación aguda de la EPOC • • Infecciosa Alergia Inhalación de tóxicos Abandono del tratamiento Aumento en la producción de moco Insuficiencia cardiaca TEP Sedantes
Progresión de la EPOC Injuria Tabaco, polución Clearence mucociliar Colonización bacteriana Daño vía aérea Mediadores bacterianos Respuesta inflamatoria PMN citoquinas
Factores pronósticos en IR crónica • Persistencia de hábito tabáquico • Cor Pulmonale: Hipoxemia Acidosis Policitemia Pérdida del lecho vascular pulmonar • VEF 1 • Comorbilidad
Indicaciones de oxigenoterapia en IR crónica • Paciente con EPOC estable con Pa. O 2 basal < 55 mm Hg en dos ocasiones por un periodo de 4 semanas. • Paciente EPOC con Pa. O 2 entre 55 y 59 asociado a: Hipertensión pulmonar Hematocrito > 55% Sobrecarga ventricular derecha Cor Pulmonale Arritmias • IR no EPOC con Pa. O 2 < 60 mm Hg
Fi. O 2 3 l/min 26% 4 l/min 28% 5 l/min 30% 7 l/min 35% 10 l/min 40% 12 l/min 50% 15 l/min 24% 1 l/min 28% 2 l/min 32% 3 l/min 36% 4 l/min 40% 5 l/min 44% 6 l/min 40% 5 -6 l/min 50% 6 -7 l/min 60% 7 -8 l/min Con reventilación 60 -80% 10 -15 l/min Sin reventilación > 80% 10 -15 l/min Máscara Venturi SISTEMAS DE BAJO FLUJO Cánula nasal Máscara de O Máscara- Reservorio www. reeme. arizona. edu 2 25% SISTEMAS DE ALTO FLUJO RELACIÓN FIO 2 Y FLUJO DE O 2 EN LOS DIFERENTES SISTEMAS DE OXIGENOTERAPIA Flujo O 2
• • • Intubación • Fin=asegurar la vía aérea permeable • 30% dificultad en la intubación 96% ET • Sólo 1% requiere cricotiroidectomía 4% NT • Regla 7 P • Preparación: 10 minutos antes intubación • Preoxigenación 5 minutes antes • Pretratamiento 3 minutes antes • Paralisis con inducción • Protección 30 seconds posterior • Posición 45 seconds después • Post-intubación manejo 60 seconds post induction
• Causas de ingreso ARM: • -IRA 66% SDRA, ICC, NPT, Sepsis, complics. cx, Trauma • Coma 15% • Exacerbación Epoc 13% • Enfs. NM 5% *ESFUERZO Inspiratorio en IRA puede aumentar 4 -6 veces • Su valor normal�� fatiga músculos inspiratorios+Injuria Pulmonar • • Objetivos= disminuir trabajo respiratorio • • revertir hipoxemia y/o acidosis resp. • • progresiva • •
Complicaciones ARM • • • Dism. Output cardíaco • Barotrauma • Injuria pul. Asoc ARM • Aumento PIC • NPT asoc. ARM
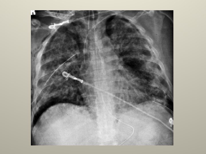
Pequeño Neumotorax www. reeme. arizona. edu
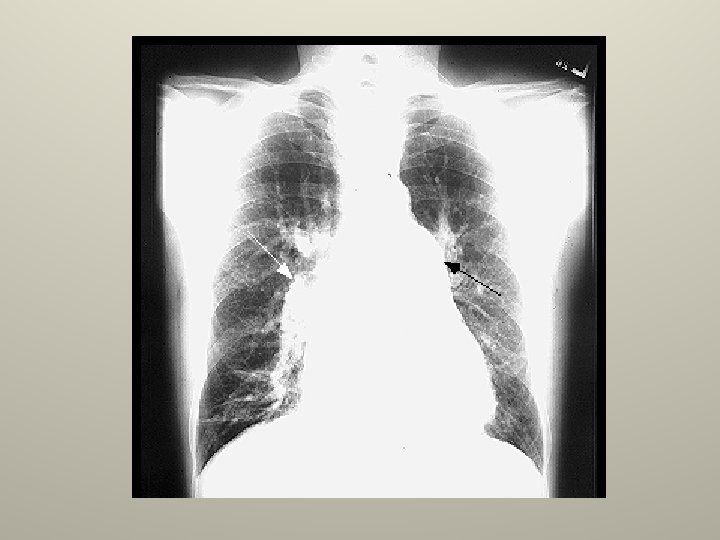
Gran Neumotorax www. reeme. arizona. edu