Doenas Infectocontagiosas II Sfilis Toxoplasmose e Leptospirose 2108



































- Slides: 35
Doenças Infectocontagiosas II: Sífilis, Toxoplasmose e Leptospirose 21/08
Sífilis terciária: aneurisma de aorta= aneurisma sifilitico
Sífilis terciária: aneurisma de aorta
AD Sífilis terciária: aneurisma de aorta ? ? ? ? ? Onde está o sangue
ME: coloração q evidência a mielina (subs branca); SÍFILIS TERCIÁRIA
SÍFILIS CONGÊNITA PRECOCE: < 2 ANOS
Sinal de Wimberger Destruição medial da metáfise proximal da tíbia
Pseudoparalisia de Parrot sífilis congênita precoce
Tríade de Hutchinson (SC tardia): Dentes de Hutchinson; Ceratite intersticial; Tíbia em sabre.
Destacamento da epiderme: SC precoce
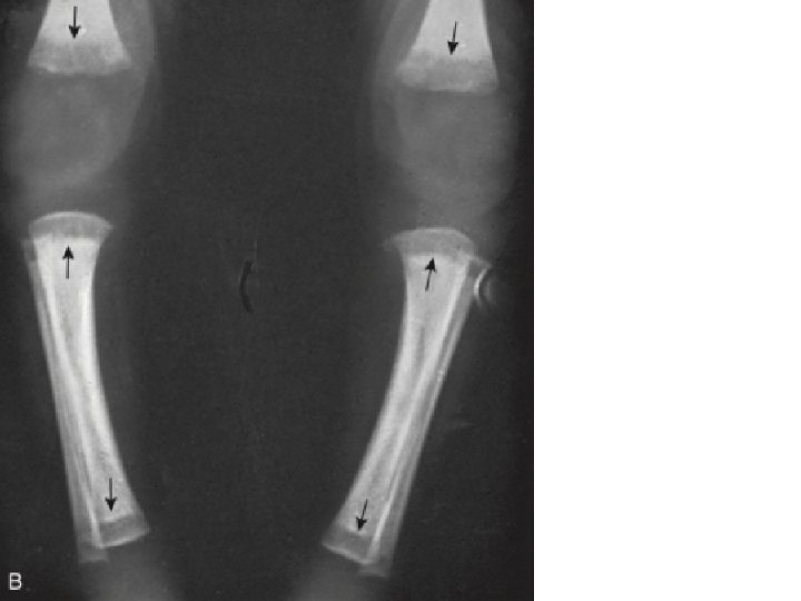
Tíbia em sabre, encurvamento anterior e aumento da densidade pela aposição óssea após a periostite sífilis congênita tardia
Sinal de Wimberger: lesão na metáfise medial da tibia. sífilis congênita precoce
SC: Acometimento múltiplo de ossos, principalmente nas diáfises e metáfises
MACROSCOPIA DO CÉREBRO
TRANSMISSÃO: contaminação humana é por via oral, pela ingestão de oocistos esporulados presentes no solo contaminado ou bradizoítos na carne mal cozida
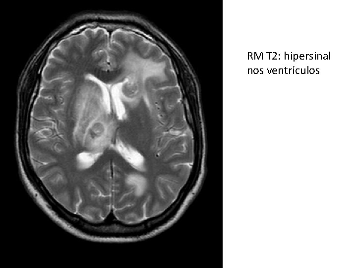
RM T 1 corte axial de cerebro
RM T 2: hipersinal nos ventrículos
FLAIR= sequencia ponderada em T 2 com inversão do sinal do liquor: LCR fica preto, mas o que é edema permanece branco (qq liquido q não for LCR fica branco).
RM T 1 COM CONTRASTE Lesão anelar da neurotoxo não tem capsula
Toxoplasmose no SNC em pacientes imunocomprometidos: Sinais e sintomas de toxo aguda envolvem principlamente o SNC; Encefalite necrosante é causada por invasão direta do parasito; Necrópsia destes pacientes têm demonstrado o acometimento em múltiplos órgãos, e não apenas no SNC; Cometimento do SNC na toxo se dá no parênquima cerebral e não nas meninges;
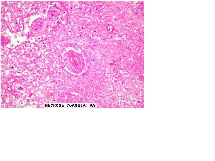
Toxoplasmose A grande maioria dos pequenos vasos intracorticais mostram proliferação e reduplicação das camadas, não sendo possível distinguir entre média e íntima. Na vasculite os microrganismos parasitam as células endoteliais, que morrem, sendo substituídas por outras. No processo há espessamento da parede, produção de várias camadas de membrana basal e fibras reticulínicas com conseqüente redução ou oclusão da luz. A obliteração vascular generalizada leva a necrose coagulativa. Habitualmente, a necrose isquêmica do cérebro é liqüefativa, como no infarto.
ENDARTERITE OBLITERANTE - NEUROTOXO
Muito espessada por fibrose. Os vasos freqüentemente mostravam endarterite obliterante, com grande espessamento da íntima e redução ou obliteração da luz.
Toxoplasmose na gestação Se a mãe se infectar durante o primeiro trimestre, a incidência de infecção transplacentária é a menor (cerca de 15%), mas a doença no neonato é a mais grave. Se a infecção materna ocorrer durante o terceiro trimestre, a incidência de infecção transplacentária é maior (em torno de 65%), mas o neonato costuma apresentar manifestações subclínicas da doença.
Leptospirose Nefrite que cursa com hipocalemia.
SINDROME DE WEIL: icterícia + insuficiência renal + hemorragia Manifestação da leptospirose grave No rim, as leptospiras migram para o interstício, os túbulos renais e o lúmen tubular, causando nefrite intersticial e necrose tubular. Outro fator também pode contribuir para o dano renal: a vasculite de pequenos vasos, que causa alterações de permeabilidade com consequente hipovolemia, contribuindo para a necrose de células tubulares.
Necrose tubular aguda Sombra turva do citoplasma Nefrite intersticial