Diz Ars Zehra ASLAN AYDODU KT Aile Hekimlii















- Slides: 15
Diz Ağrısı Zehra ASLAN AYDOĞDU KTÜ Aile Hekimliği AD 24. 05. 2016
• 14 yaşında kız • Birkaç haftadır aralıklı olan sağ diz ağrısı • Ağrı aktivite ile kötüleşmekte, istirahat ile azalmakta • Ağrı kesici kullanmamış • Hasta voleybol oynuyor fakat ağrı başladığından beri oynamamış
• Fizik muayenede inspeksiyon normal; varus veya valgus deformitesi yok • Hastanın kilosu normal • Patellar tendon ve tibial tüberkülde hassasiyet mevcut • Efüzyon veya eritem yok • Eklem hareket açıklığı normal ve sol taraf ile benzer • Ligaman ve menisküsler sağlam
Tanınız nedir? • A. Osgood-Schlatter hastalığı • B. Osteokondritis dissekans • C. Osteosarkoma • D. Patellofemoral disfonksiyon • E. Sinding-Larsen-Johansson hastalığı
• Cevap: Osgood-Schlatter hastalığı
Osgood-Schlatter Hastalığı • Tibial tüberkülün osteokondrozisi • Aşırı yaralanmanın neden olduğu tibial tüberkülün apofizinin dahil olmadığı kronik olaydır. • Proksimal tibial fizis hattı genellikle ergenlik döneminde kapanır. Bu bölüm kemikleşirken güçlü olan fibrokartilajdan daha zayıf olan kolumnar kartilaja dönüşür. • Quadriseps kasının sıçrama, çömelme, merdiven çıkma gibi tekrarlayan kasılmaları sonucu patellar tendon tibial tüberkülü çekmeye başlar. .
• Osgood-Schlatter hastalığı erkeklerde çok sıktır. • Hastalar tek taraflı, aktivite ile kötüleşen, istirahat ile rahatlayan ön diz ağrısı ile başvururlar. • %25 -30 hastada semptomlar bilateraldir.
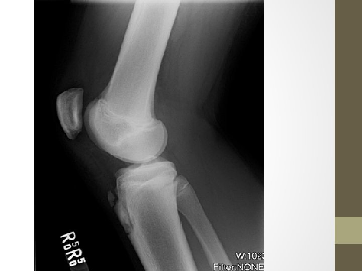
• Fizik muayenede tibial tüberkül üzerinde şişlik ve hassiyet mevcuttur. • Diz ekstansiyonu veya çömelme ağrıyı arttırabilir. • Hamstring ve quadriseps kasları gergindir. • Radyografi tanısal değildir, diğer ağrı nedenlerini dışlamak için yardımcı olur. • Patellar tendonda kalsifikasyon ve kalınlaşma, tibial tüberkülde düzensiz kemikleşme ve üstteki yumuşak dokuda şişlik görülebilir.
• Konservatif tedavi yeterlidir çünkü büyüme plağı kapandığında geriler. • Tedavi buz ve analjeziklerle ağrı kontrolü ve fizik tedaviyi içermelidir. • Semptomlar şiddetli ise , hasta mikrofraktürlere neden olmamak için aktiviteyi azaltmalıdır. • Sporcuların 2 -3 ay spordan kaçınmaları gerekebilir.
Osteokondritis dissekans • Ergenlerde subkondral kemiğin hasarına bağlı olarak eklem ağrısına neden olur. • Ağrı kartilaj ve kemiğin osteonekrozu ve subkondral kemik stres fraktürüne bağlı olarak ortaya çıkar. • Bacağın tam ekstansiyona gelmemesi klinik açıdan yardımcı olabilir fakat radyografik olarak doğrulanmalıdır.
Osteosarkom • Kemiğin malign tümörüdür ve sıklıkla distal femurda görülür. • Geceleri ve aktivite ile artan kronik ağrıya sebep olur.
Patellofemoral disfonksiyon • Genç bireylerdeözellikle sporcularda ön diz ağrısının sık bir nedenidir. • Patella eklem yüzeyleri arasındaki inflamasyona bağlı gelişir ve patellaya bası ile kötüleşir. • Ağrı tırmanma, zıplama ve oturma ile artar.
Sinding-Larsen-Johansson Hastalığı • Patellanın inferior kısmından patellar tendonun aşırı çekimine bağlı gelişen apofizittir. • Patellar tendon ve inferior patellada ağrı ve hassasiyete sebep olur. • Genellikle 9 -12 yaşındaki erkeklerde meydana gelir.
Kaynak • ELIZABETH ROTH, MD; MICHAEL MIROCHNA, MD; and DAVID HARSHA, MD, CAQSM, St. Vincent Hospital, Indianapolis, Indiana, Am Fam Physician. 2012 Sep 15; 86(6): 569 -570.