DISECCIN DE AORTA LUIS FELIPE RAMOS HURTADO RESIDENTE




















































- Slides: 52
DISECCIÓN DE AORTA LUIS FELIPE RAMOS HURTADO RESIDENTE DE CARDIOLOGÍA Clinica Cardiovascular Santa Maria
GENERALIDADES Ao FUNCIÓN • 200 millones de litros • Capas • Intima • Media • Adventicia • Gran fuerza tensil y elasticidad • Mantiene circulación anterógrada • Controla RVS y FC
GENERALIDADES Ao ANATOMÍA • División anatómica • Ao Ascendente • Raíz • Segmento tubular superior • Derecha de línea media • Arco Ao • Da arterias braquiocefálicas • Izquierda y luego posterior a la tráquea • Descendente • Inicia en mediastino posterior • Detrás de columna y esófago
GENERALIDADES Ao ENVEJECIMIENTO • Pérdida de elasticidad • Aumento de PP • Dilatación progresiva • Pérdida de distensibilidad • Podría alterar fx de VI • HTA • Aumento de VDF y PDF • Aumenta VO 2
GENERALIDADES DISECCIÓN Ao • Enfermedad no común • Incidencia de 2. 9/100. 000/año • Incidencia pico 6 -7 década de la vida • Mas frecuente en hombres • 75% antecedentes de HTA • Potencialmente fatal • Mortalidad de 1% por hora sin Tto • Inicio con desgarro intimal • Típicamente el desgarro se propaga anterógrado • Falso lumen
Brawnwald 53 -11
ETIOLOGÍA • Degeneración quística de la media • Síndrome de Marfán • Incidencia de 1: 7000 • Autosómico dominante, penetrancia variable • Mas de 100 mutaciones en gen de fibrilina • F d R para disección proximal • Disección a edad joven • 5% de las disecciones
ETIOLOGÍA • Ehlers-Danlos • Grupo heterogéneo de enfermedades del TC • Hipermovilidad articular, hiperextensión de piel y fragilidad de tejidos • 11 tipos diferentes • Prevalencia desconocida • Incidencia 1: 5000 • Compromiso aórtico en el autosómico, dominante tipo IV • Ectasia anulo aórtica y disección aórtica familiar • > 5 mutaciones en gen fibrilina 1 • Elastolisis y DQM en la patología
ETIOLOGÍA FORMAS ADQUIRIDAS • HTA • Afecta la composición de la pared arterial • Fibrosis adventicial obstruye vasa vasorum • Tabaquismo, dislipidemia, abuso de substancias • Enfermedades inflamatorias • Iatrogénica • Embarazo • Extremadamente raro • Datos del IRAD • Embarazo en Marfán: disección si Raíz > 40 mm
CLASIFICACIÓN • Clasificación de acuerdo frecuencia de disecciones • 65% ascendente • 20% descendente • 10% arco • 5% abdominal • Tres grande clasificaciones • De Bakey • Stanford • Descriptiva
Historia Natural Tipo A • Mortalidad 1 -2% x hora • Mortalidad con Tto médico • 20% a las 24 horas • 30% a las 48 horas • 40% a los 7 días • 50% al mes • Mortalidad con Tto quirúrgico • 10% a 24 horas • 13% a 7 días • 20% al mes • Causas de muerte
HISTORIA NATURAL Tipo B • Menos letal que la tipo A • Mortalidad a 30 días del 10% (no complicada) • Complicada • Mortalidad 20% a las 48 horas • Mortalidad 25% a 30 días
PRESENTACIÓN CLÍNICA • Dolor en 96% de los casos • Severo, desgarrante, punzante, migratorio • Anterior o posterior • ICC 7% • Síncope 13% • ECV 6% • Neuropatía periférica • Paraplejia • MS
PRESENTACIÓN CLÍNICA Hallazgos al EF • Variables • Reflejar ubicación de la disección • HTA 36% Vs 70% • Hipotensión 4% Vs 25% • Disminución o ausencia de pulso 15% vs 30%
Fig 53 -13
PRESENTACIÓN CLÍNICA Hallazgos al EF • Insuficiencia aórtica • 50 -66% de las DAA proximales • Varios mecanismos • Soplo de insuficiencia en 33% de los casos • PP ancha • Falla cardiaca • Neurológicas • 6 -19% de los casos • Mas frecuente en DA proximal • ECV 3 -6% • Alteración de conciencia o coma
Fig 53 -14
PRESENTACIÓN CLÍNICA Otras manifestaciones • IAM • Raro • Disección proximal compromete ostium • Mas frecuente el compromiso de la CD • Dx diferencial importante • Compromiso de arterias renales en 5 -8% • Isquemia mesentérica 3 -5% • Disminución de pulsos femorales 12% • Derrame pleural • Hemoptisis, odinofagia, Sind VCS, Sind Horner
LABORATORIO • Cuatro modalidades principales • Aortografía • TC • RM • Ecocardiografía • Objetivos • Confirmar o descartar la enfermedad • Determinar área anatómica comprometida • Definir características anatómicas • A quien estratificar ? ? ?
LABORATORIO • Rx tórax • Hallazgos inespecíficos y raramente Dx • Ensanchamiento de la silueta Ao • Ensanchamiento de mediastino superior • Comparación con estudios previos • Derrame pleural • Normal
53 -15
LABORATORIO • Electrocardiograma • Hallazgos no específicos • HVI 33% • Diagnóstico diferencial • Elevación de ST en IRAD • Tipo A 4. 6% • Tipo B 0. 7% • Biomarcadores
LABORATORIO Aortografía • Primera técnica descrita • Signos angiográficos directos • Visualización de 2 luces • Visualización del Flap • Signos indirectos • Deformidad de la luz • Engrosamiento de la pared • Anormalidades en las colaterales • Insuficiencia aórtica
LABORATORIO Aortografía • Sensibilidad entre el 88% y 77% • Especificidad 94% • Falsos negativos por trombosis de la luz falsa • Ventajas • Determina extensión • Determina compromiso de colaterales • Complicaciones • Evaluación de coronarias • Desventajas • Inherentes al procedimiento
53 -16
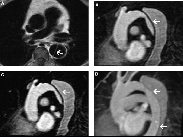
LABORATORIO TC • Presencia de dos luces • Reconstrucción tridimensional • Sensibilidad y especificidad entre 96 -100% • Demora 25 -35 segundos • 125 ml de medio de contraste • Seguimiento
LABORATORIO TC • Ventajas • No invasivo • Mayor disponibilidad • Identifica trombos y derrame pericárdico • Evaluación de colaterales • Desventajas • Medio de contraste • Rara ves se identifica sitio de desgarro • No detecta IM
53 -18 y 53 -19
LABORATORIO RM • Sensibilidad y especificidad del 98% • Angiograma con gadolinio • Ventajas • No invasivo • No medio de contraste ionizante • Múltiples cortes
LABORATORIO RM • Desventajas • Disponibilidad • Pacientes con marcapasos, clips • No consistente identificación de IM • Problemas para monitoreo y tratamiento • Seguimiento posquirúrgico • Evaluación de lesiones crónicas
LABORATORIO Ecocardio • Presencia de flap intimal ondulante • Desplazamiento de calcificación intimal • Engrosamiento de la pared aórtica • Ventajas • Disponibilidad • Movilidad • No invasivo • Fácil de realizar • Reberveraciones y artefactos producen falsos + • TT • Sensibilidad 59 -85% • Especificidad 63 -96%
LABORATORIO Ecocardio TE • Gran proximidad de esófago a la aorta • Sensibilidad 98 -99% • Especificidad 94 -97% • Dificultades visualización • Ascendente distal • Arco proximal • Tronco coronaria • Troncos supra aórticos • Visualiza insuficiencia aórtica y derrame pericard. • Ayuda en Dx diferencial
53 -20 53 -21
TRATAMIENTO Médico • Manejo agresivo temprano • Limitar progresión de la enfermedad • Monitoreo estricto • PAS < 110 • FC 60 -80 LPM • Manejo de dolor • Pericardiocentesis • Compromiso de aorta descendente
TRATAMIENTO Quirúrgico • Mortalidad pre operatoria 3 -20% • Compromiso de Ao ascendente • Prevenir complicaciones • Compromiso de Ao descendente • No control de dolor • Progresión retrograda • Diámetro aórtico en expansión
Indications for Definitive Surgical and Medical Therapy in Aortic Dissection Surgical Treatment of choice for acute proximal dissection Treatment for acute distal dissection complicated by the following: Progression with vital organ compromise Rupture or impending rupture (e. g. , saccular aneurysm formation) Retrograde extension into the ascending aorta Dissection in the Marfan syndrome Medical Treatment of choice for uncomplicated distal dissection Treatment for stable, isolated arch dissection Treatment of choice for stable chronic dissection (uncomplicated dissection presenting 2 weeks or later after onset)
TRATAMIENTO Fenestración y Stent • Indicaciones en evolución • Restauración de flujo en 90% • Mortalidad a 30 días del 30% • Supervivencia a 1 año 90% • Paraplejia rara con Stents < 16 cm
DISECCIÓN ATÍPICA Hematoma intramural • Hemorragia contenida dentro de la capa media • No hay desgarro • Clínicamente no diferenciable de la DA • F de R similares a DA • Desenlaces clínicos similares a DA • Evolución • Persistencia del hematoma • Reabsorción • Aneurisma • Disección
DISECCIÓN ATÍPICA Hematoma intramural • Prevalencia 10 -30% de las sospechas de DA • Menos probable la ruptura • Lleva a DA entre 28 -47% • Mortalidad según manejo 47% Vs 24% • Manejo similar a DA • Requiere seguimiento • Aorta >50 mm mayor riesgo de progresión
DISECCIÓN ATÍPICA Ulcera ateroesclerótica penetrante • Ulceración de placa que penetra en la lamina elástica interna • Permite formación de hematoma • Mas frecuente en aorta descendente • 25% penetra en la media • Dx por TAC o RM • Historia natural no clara • Manejo quirúrgico • Inestabilidad, ruptura, pseudoaneurisma • Dolor, embolización, dilatación progresiva
DISECCIÓN DE AORTA LUIS FELIPE RAMOS HURTADO RESIDENTE CARDIOLOGIA UPB