Discusin de casos clnicos Dr Alfredo Vzquez Vigoa
















- Slides: 16
Discusión de casos clínicos Dr. Alfredo Vázquez Vigoa HTA 2008 Villa Clara
Presentación de caso n n HEA Paciente SPW, Edad 40 años MI: cifras elevadas de PA APP: HTA HEA: Paciente femenina, blanca, de 40 años de edad con antecedentes de HTA catalogada como esencial desde hace 6 años, para lo cual llevaba tto con IECAS control hasta hace 3 meses, cuando comienza a presentar cifras tensionales muy elevadas ( hasta 220/130 mm. Hg) que se acompañaron de cefalea, a pesar de triterapia que incluía un diurético.
Examen Físico Peso: 39 Kg. Talla: 155 cm. IMC: 16. 2 n MV globalmente disminuido. No estertores n Desdoblamiento del primer ruido. PA 190/130 mm Hg n Al examen físico abdominal no se auscultaron soplos. n
Exámenes Complementarios n n n n n Hb 143 g/l, VSG: 4 mm/h, Leucograma 6. 8 x 10/l , L- 39. 1 %, M- 3. 1 % , GR-57. 8 % Glucemia 4. 13 mmol/l, Creatinina 112 mmol/l FG: 36 ml/min ALT 10 u/l, AST 14 u/l, ALP 141 u/l, PT 68 g/l, ALB 44 g/l Ac Ùrico 282 umol/l, Urea 6. 96 mmol/l Cituria: L-0 H-0 Coagulograma: TPp-14. 4 s TPc- 12. 4 s TPTp-30. 4 s TPTc-30. 6 s TG 1. 52 mmol/l VLDL 0. 7 mmol/l Ionograma: Na-143 mmol/l K-3. 72 mmol/l CL-99 mmol/l Conteo de ADDIS V-120 ml Alb-0 L-2000 H-0 C-0
Exámenes Complementarios n n n US abdominal: Ambos riñones son simétricos con ligero aumento de la ecogenicidad de su parénquima fundamentalmente el derecho, al estudio con DD y DC muestran flujo sanguíneo con IR a 0. 75, baja pulsatilidad, midiendo el riñón derecho 95 X 38 X 7 mm y el RI 88 X 40 X 11. Suprarrenales no visibles. Llama la atención que existe gran turbulencia tanto en el interior de la VCI como en el interior de la V porta. Ligera hepatomegalia difusa. Discreto engrosamiento del anejo izq. Con múltiples quistes foliculares. Resto normal. ECG: Ritmo sinusal FC 59. Sin alt.
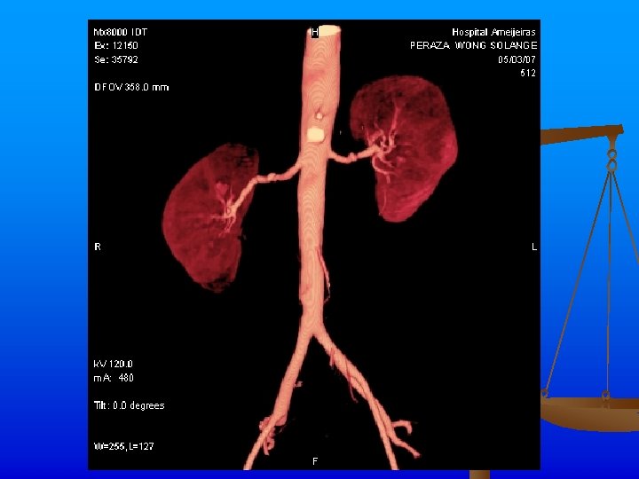
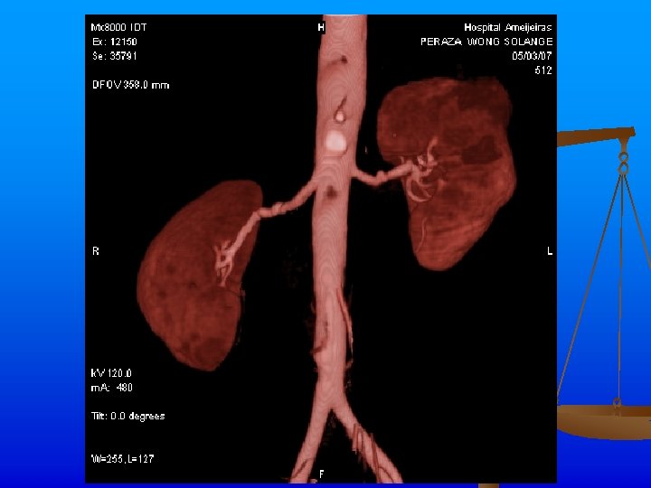
Exámenes Complementarios n n n Rx de tórax: Ligeros signos de hiperinsuflaciòn pulmonar. ICT normal. Índice de presiones de MI dentro de límites normales. Angio TAC: Se realiza angio. TAC abdominal inyectándose 120 ml de contraste, apreciándose áreas de estenosis y dilatación de ambas arterias renales, con un patrón arrosariado y zonas de hipoperfusión corticales en los polos de ambos riñones. Hay buena eliminación y concentración renal bilateral.
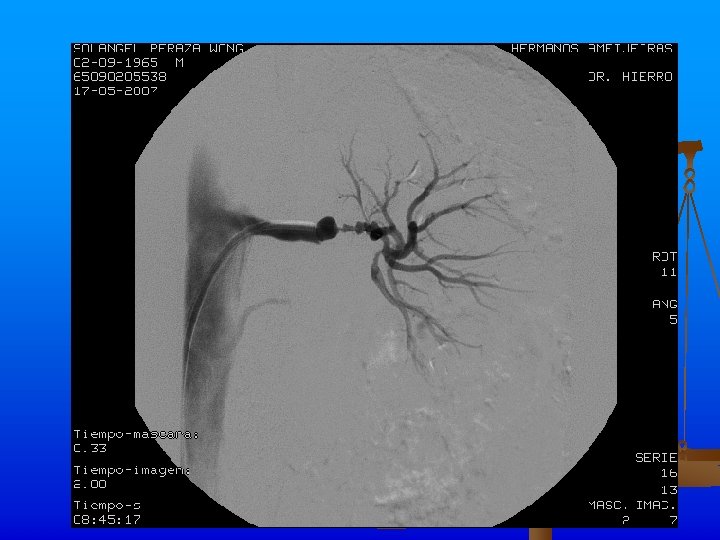
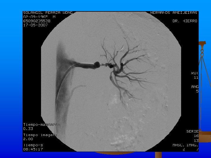
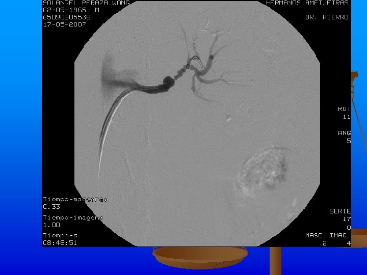
Se realiza angiplastia transluminar percutànea de arteria renal izquierda y se coloca stent de 18 X 4 mm con la administración de 1000 Uds. de heparina y la administración de contraste sin complicaciones
Diagnóstico definitivo HTA refractaria De causa: renovascular (Displasia fibromuscular de ambas arterias renales)