Discrasias de clulas plasmticas Discrasias de clulas plasmticas
























































- Slides: 56
Discrasias de células plasmáticas
Discrasias de células plasmáticas n n Expansión de un clón único de células secretoras de Igs. Aumento sérico de una Ig. homogénea o sus fragmentos. Se comportan como procesos malignos. 15%: casos de muerte por enfermedad maligna de los leucocitos.
Mieloma múltiple n n n n Gammapatía más común. Neoplasia de células plasmáticas. Se origina en la médula ósea. Afecta múltiples lugares del esqueleto. Diseminación extraósea. ETIOLOGIA Y PATOGENIA: Enfermedad de células madres hematopoyéticas.
Mieloma múltiple Expresan: 1. PCA-1: células plasmáticas. 2. CD 10: células B tempranas. 3. CD 33: Células mielomonocíticas n n Transformación de una célula madre pluripotencial con diferenciación predominante hacia cels Bplasmáticas.
Mieloma múltiple Proliferación y diferenciación celular: IL-6. *IL-6 aumentada: mal pronóstico. *Producida por: CP, fibroblastos, macrófagos por influjo de IL-l. n Las citocinas median la destrucción ósea: principal hallazgo anatomopatológico. *Citocinas: FNT-B, IL-1, IL-6, M-CSF. n
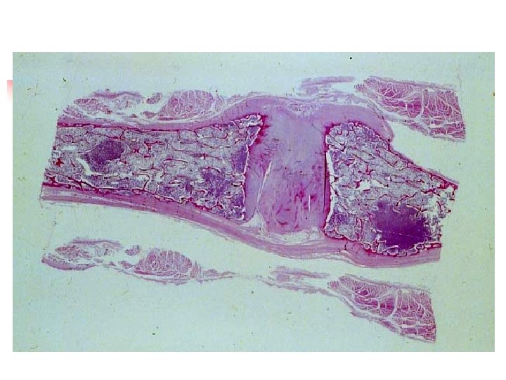
Mieloma múltiple MORFOLOGIA: n Presentación más frecuente: lesiones óseas, destructivas, multifocales. n Distribución: 1. Columna vertebral: 66% 2. Costillas: 44% 3. Cráneo: 41% 4. Pelvis: 28% 5. Fémur: 24% 6. Clavícula: 10 % 7. Escápula: 10%. n
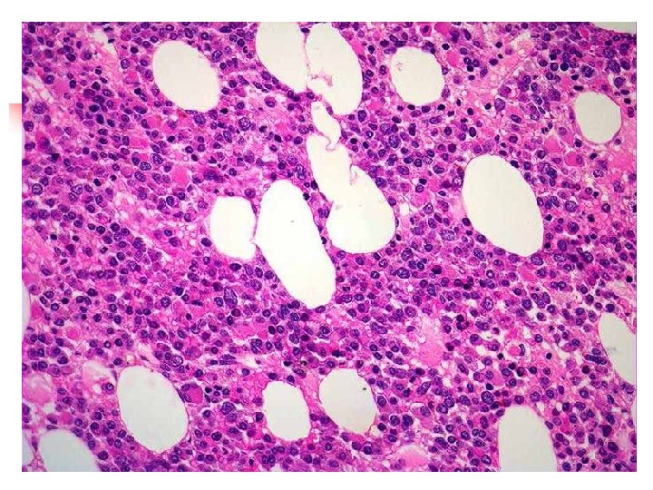
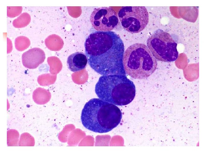
Mieloma múltiple Comienzo de la lesión: cavidad medular= hueso esponjoso = hueso cortical. n Corte del hueso: tejido blando, rojo, gelatinoso. n Rx: lesiones en sacabocados. (1 - 4 cm). Desmineralización difusa n HISTOLOGIA: n MO: CP aumentadas (10 -90%). n
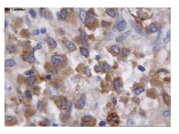
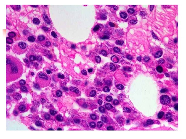
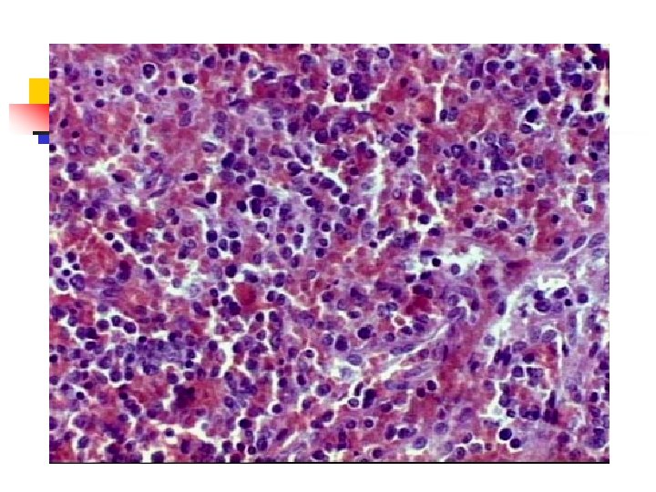
Mieloma múltiple Células plasmáticas: bien diferenciadas hasta indiferenciadas. n Infiltración : bazo, hígado, riñones, pulmones, ganglios linfáticos, otros. n Nefrosis del mieloma: afectación renal. *Característica peculiar *Macroscopía: riñones : 1. Tamaño variable 2. coloración: normal o pálida. n
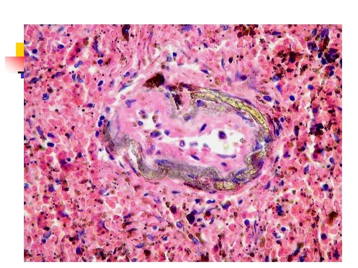
Mieloma múltiple n n Nefrosis del mieloma ( histología ) : Infiltrados intersticiales de CP Cilindros proteínicos: *en TCD, colectores. * Proteínas de Bence Jones, Igs completas *Propiedad tintorial del amiloide. *Rodeados de células gigantes multinucleada Necrosis o atrofia de células tubulares.
Mieloma múltiple n n n n Nefrosis del mieloma ( histología ): Calcificación metastásica Amiloidosis Pielonefritis. ASPECTOS CLINICOS: Incidencia máxima: 50 - 60 años. Sexo: sin predilección.
Mieloma múltiple Hallazgos clínicos, proceden de: 1. Infiltración de órganos (hueso) : *Fracturas *Hipercalcemia 2. Producción de Igs anormales: infecciones n Electroforesis: n 99 % : aumento de Igs , cadenas L. n 55 % : Igs monoclonales (componente M). Ig. G n 25% : producen Ig. A n
Mieloma múltiple 60 -70% : proteinuria de Bence-Jones, componente M en plasma. n 20% : proteinuria de Bence-Jones , sin aumento de moléculas completas de Ig en suero. n 7 % : síndrome de hiperviscosidad. (Ig. A). *Hemorragias retinianas *Hemorragia prolongada *Alteraciones neurológicas. n
Mieloma múltiple Insuficiencia renal: *Segunda causa de muerte. *Ocurre en 50 % de pacientes. *Multifactorial. Pts de Bence Jones = tóxicas para el epitelio tubular. n Anemia: normocítica-normocrómica. n Leucemia de células plasmáticas (rara). n
Mieloma múltiple n n n PRONOSTICO: Depende de estadio en el momento del Dx Múltiples lesiones, sin tx: 6 - 12 meses. Quimioterapia: remisión 50 -70% Supervivencia media: 3 años.
Mieloma solitario (plasmocitoma) n n n 3 - 5 % de gammapatías monoclonales. Lesión solitaria de CP, en el hueso o partes blandas. Lesiones óseas: en las mismas localizaciones que el mieloma múltiple. Lesiones extraóseas: pulmones, senos paranasales, oro-nasofaringe. Discreta elevación de proteína M, en sangre u orina.
Plasmocitoma n n Plasmocitoma óseo: progresión a mieloma múltiple. *10 - 20 años sin progresión. Plasmocitoma primario extraóseo: rara vez diseminan. *Los de vias respiratorias superiores: enfermedad limitada.
Macroglobulinemia de Waldenstrom. n n 5% de gammapatías monoclonales. Infiltración de MO similar a la leucemia. *Linfocitos, CP y formas híbridas que sintetizan Ig. M monoclonal. Mezcla de mieloma múltiple y linfoma de linfocitos pequeños. Secreción de Ig + infiltración difusa de tejidos linfoides.
Macroglobulinemia de Waldenstrom n n Morfología: No existe erosión ósea ni hallazgos radiográficos característicos. Médula ósea: infiltrado escaso-profuso, por linfocitos, CP, linfoplasmacitoides. No forma masas tumorales características del mieloma
Tienen el tamaño aproximado de un puño cerrado y es el órgano linfático de mayor tamaño. Esta situado en el cuadrante superior izquierdo de la cavidad abdominal y tiene una irrigación abundante n Filtra la sangre y reacciona inmunológicamente ante los antígenos transportados por esta n
n n n La sustancia del bazo se llama pulpa esplénica, que desde los puntos de vista morfológico y funcional puede divertirse en dos regiones: pulpa blanca y pulpa roja El bazo está rodeado por una cápsula de tejido conjuntivo denso desde la cual parte trabéculas hacia el parénquima del órgano. El tejido conectivo posee miofibroblastos con propiedades contráctiles
n El hilio se ubica en la superficie mediante el bazo y es por donde pasan la arteria, vena, nervios y vasos linfáticos. Los vasos linfáticos se originan en la pulpa blanca cerca de las trabeculas
n n n La pulpa blanca consiste en una acumulación gruesa de linfocitos alrededor de la arteria central, formando la vaina linfática periarterial, que en los cortes histológicos se tiñe basofila, compuesta principalmente por linfocitos T Los linfocitos B se encuentran en los nódulos esplénicos o de Malpighi La pulpa roja contiene una gran cantidad de glóbulos rojos que filtra y degrada. Consiste en sinusoides esplénicos separados por los cordones esplénicos (de Billroth).
Los sinusoides venosos esplénicos son capilares especiales revestidos por células endoteliales, formando espacios intracelulares prominentes los cuales permiten que los glóbulos rojos entren y salgan con facilidad n Los cordones esplénicos están formados por la malla laxa de células reticulares y fibras reticulares que contiene glóbulos rojos, macrófagos, linfocitos, plasmocitos y granulocitos n
La circulación dentro de la pulpa roja permite que los macrófagos detecten antígenos en la sangre( arteria central, penicilares y capilares envainados)
n Funciones inmunes n n n presentación de antígenos activación y proliferación de linfocitos producción de anticuerpos eliminación de antígenos Funciones hemopoyéticas n n Captación y destrucción de glóbulos rojos y plaquetas viejos, dañados y anormales recuperación del hierro de la hemoglobina formación de glóbulos rojos durante cierta etapa de la vida fetal almacenamiento de sangre
Alteraciones del bazo n n n Esplenomegalia: aumento del tañamo del bazo Sensación de pesandez, o ocupación, molestias por compresión. Hiperesplenismo: 1. 2. 3. Esplenomegalia Disminución de alguno de los elementos formes de la sangre. Corrección de las citopenias con la esplenectomìa.
Procesos asociados a esplenomagalia n n n n Infecciones Hipertensión portal Procesos linfohematógenos Procesos inmunitarios Enfermedades de depósito Amiloidosis Otros.
Esplenitis aguda n n n Aumento de tañamo del bazo Reblandecimiento de la pulpa roja Congestión aguda de la pulpa roja Inflamación aguda y crónica Formación de abscesos Necrosis
Esplenomegalia congestiva n n n Hipertensión portal o esplénica Cirrocis hepática, valvulopatías tricuspídea o pulmonar, trombosis de la vena porta, trombosis de suprahepáticas. Tamaño de 1000 gr o más, aumento de la consistencia Engrosamiento de la cápsula Fibrosis de la pulpa roja Nódulos de Gamna-Gandy.
Infarto esplénico n n n Oclución de la arteria esplénica principal o ramificaciones por émbolos. Infartos blancos o anémicos Infartos sépticos
Alteraciones congénitas n n n Agenecia del bazo Hipoplasia del bazo Bazos accesorios
Neoplasias del bazo n n Fibromas, osteomas, condromas Linfangiomas, hemangiomas Hamartomas Neoplasia linfoides
En los tiempos de cambios drásticos, son los que aprenden quienes heredan el futuro. El que ya ha aprendido se encuentra a sí mismo equipado para vivir en un mundo que ya no exist exis Eric Hoffer ( 1902 -1983)