Digestive System Anatomy n Digestive tract n n



































































- Slides: 67
Digestive System Anatomy n Digestive tract n n n Accessory organs n n Alimentary tract or canal GI tract Primarily glands Regions n n n n Mouth or oral cavity Pharynx Esophagus Stomach Small intestine Large intestine Anus
Functions n n n Ingestion: Introduction of food into stomach Mastication: Chewing Propulsion n n Deglutition: Swallowing Peristalsis: Moves material through digestive tract
Functions n n n Mixing: Segmental contraction that occurs in small intestine Secretion: Lubricate, liquefy, digest Digestion: Mechanical and chemical Absorption: Movement from tract into circulation or lymph Elimination: Waste products removed from body
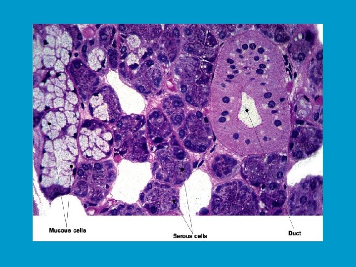
Digestive Tract Histology
Digestive System Regulation n Nervous regulation n Involves enteric nervous system n n Types of neurons: sensory, motor, interneurons Coordinates peristalsis and regulates local reflexes n Chemical regulation n Production of hormones n n Gastrin, secretin Production of paracrine chemicals n n Histamine Help local reflexes in ENS control digestive environments as p. H levels
Peritoneum and Mesenteries n Peritoneum n n Visceral: Covers organs Parietal: Covers interior surface of body wall Retroperitoneal: Behind peritoneum as kidneys, pancreas, duodenum Mesenteries n n n Routes which vessels and nerves pass from body wall to organs Greater omentum Lesser omentum
Oral Cavity n Mouth or oral cavity n n Lips (labia) and cheeks Palate: Oral cavity roof n n n Vestibule: Space between lips or cheeks and alveolar processes Oral cavity proper Hard and soft Palatine tonsils Tongue: Involved in speech, taste, mastication, swallowing
Teeth n Two sets n n n Primary, deciduous, milk: Childhood Permanent or secondary: Adult (32) Types n Incisors, canine, premolar and molars
Tooth structure:
Salivary Glands n Produce saliva n n n Prevents bacterial infection Lubrication Contains salivary amylase n n Breaks down starch Three pairs n n n Parotid: Largest Submandibular Sublingual: Smallest
Pharynx and Esophagus n n Pharynx n n n Nasopharynx Oropharynx: Transmits food normally Laryngopharynx: Transmits food normally Esophagus n n Transports food from pharynx to stomach Passes through esophageal hiatus (opening) of diaphragm and ends at stomach n n Hiatal hernia Sphincters n n Upper Lower
Deglutition (Swallowing) n Three phases n Voluntary n Bolus of food moved by tongue from oral cavity to pharynx n Pharyngeal Reflex: Upper esophageal sphincter relaxes, elevated pharynx opens the esophagus, food pushed into esophagus n Esophageal n Reflex: Epiglottis is tipped posteriorly, larynx elevated to prevent food from passing into larynx
Phases of Deglutition (Swallowing)
Stomach Anatomy: n Openings n n n Gastroesophageal: To esophagus Pyloric: To duodenum Regions n n Cardiac Fundus Body Pyloric
Stomach Histology: n Layers n n Serosa or visceral peritoneum: Outermost Muscularis: Three layers n n n Outer longitudinal Middle circular Inner oblique Submucosa Mucosa
Stomach Histology n n Rugae: Folds in stomach when empty Gastric pits: Openings for gastric glands n Contain cells n n n Surface mucous: Mucus Mucous neck: Mucus Parietal: Hydrochloric acid and intrinsic factor Chief: Pepsinogen Endocrine: Regulatory hormones
Hydrochloric Acid Production
Movements in Stomach
Phases of Gastric Secretion
Small Intestine n n Site of greatest amount of digestion and absorption Divisions n n Modifications n n Duodenum Jejunum Ileum: Peyer’s patches or lymph nodules Circular folds or plicae circulares, villi, lacteal, microvilli Cells of mucosa n Absorptive, goblet, granular, endocrine
Small Intestine Secretions n Mucus n n Digestive enzymes n n Protects against digestive enzymes and stomach acids Disaccharidases: Break down disaccharides to monosaccharides Peptidases: Hydrolyze peptide bonds Nucleases: Break down nucleic acids Duodenal glands n Stimulated by vagus nerve, secretin, chemical or tactile irritation of duodenal mucosa
Duodenum and Pancreas
Duodenum Anatomy and Histology
Liver n Lobes n n n Major: Left and right Minor: Caudate and quadrate Ducts n n Common hepatic Cystic n n From gallbladder Common bile n Joins pancreatic duct at hepatopancreatic ampulla
Functions of the Liver n Bile production n n Storage n n n Hepatocytes remove ammonia and convert to urea Phagocytosis n n Glycogen, fat, vitamins, copper and iron Nutrient interconversion Detoxification n n Salts emulsify fats, contain pigments as bilirubin Kupffer cells phagocytize worn-out and dying red and white blood cells, some bacteria Synthesis n Albumins, fibrinogen, globulins, heparin, clotting factors
Blood and Bile Flow
Duct System
Gallbladder Bile is stored and concentrated n Stimulated by cholecystokinin and vegal stimulation n Dumps into small intestine n Production of gallstones possible n n Drastic dieting with rapid weight loss
Pancreas n Anatomy n Endocrine n n Exocrine n n Pancreatic islets produce insulin and glucagon Acini produce digestive enzymes Regions: Head, body, tail n Secretions n Pancreatic juice (exocrine) n n n Trypsin Chymotrypsin Carboxypeptidase Pancreatic amylase Pancreatic lipases Enzymes that reduce DNA and ribonucleic acid
Bicarbonate Ion Production
Gastric hormones:
Large Intestine: n n n Extends from ileocecal junction to anus Consists of cecum, colon, rectum, anal canal Movements sluggish (18 -24 hours)
Large Intestine n Cecum n n Colon n n Ascending, transverse, descending, sigmoid Rectum n n Blind sac, vermiform appendix attached Straight muscular tube Anal canal n Internal anal sphincter (smooth muscle) External anal sphincter (skeletal muscle) n Hemorrhoids: Vein enlargement or inflammation n
Secretions of Large Intestine n Mucus provides protection n n Parasympathetic stimulation increases rate of goblet cell secretion Pumps Exchange of bicarbonate ions for chloride ions n Exchange of sodium ions for hydrogen ions n n Bacterial actions produce gases called flatus
Histology of Large Intestine
Movement in Large Intestine n Mass movements n n Local reflexes in enteric plexus n n n Gastrocolic: Initiated by stomach Duodenocolic: Initiated by duodenum Defecation reflex n n Common after meals Distension of the rectal wall by feces Defecation n Usually accompanied by voluntary movements to expel feces through abdominal cavity pressure caused by inspiration
Reflexes in Colon and Rectum:
Digestion, Absorption, Transport n Digestion n Breakdown of food molecules for absorption into circulation n Mechanical: Breaks large food particles to small n Chemical: Breaking of covalent bonds by digestive enzymes n Absorption and transport n Molecules are moved out of digestive tract and into circulation for distribution throughout body
Lipoproteins n Types n Chylomicrons n n n VLDL n n Enter lymph Transports cholesterol to cells HDL n Transports cholesterol from cells to liver
Water and Ions: n Water n n Can move in either direction across wall of small intestine depending on osmotic gradients Ions n Sodium, potassium, calcium, magnesium, phosphate are actively transported
Effects of Aging Decrease in mucus layer, connective tissue, muscles and secretions n Increased susceptibility to infections and toxic agents n n Ulcerations and cancers