DIAGNOSI PRENATALE La diagnosi prenatale un complesso di














































































































































- Slides: 142
DIAGNOSI PRENATALE • La diagnosi prenatale è un complesso di indagini strumentali e di laboratorio che servono a valutare lo stato di salute del nascituro lungo tutto il decorso della gravidanza.
CONSULENZA GENETICA • La consulenza genetica è un momento cruciale nella diagnosi prenatale poiché si tratta di dare informazioni esatte alla coppia riguardo: – Le indicazioni.
INDICAZIONI ALL’INDAGINE CITOGENETICA PRENATALE • Età materna > di 35 aa
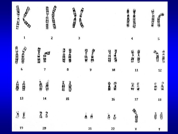
SINDROME DI DOWN
ETA’ MATERNA E ANEUPLOIDIE Maternal Age Trisomy 21 Trisomy 18 Trisomy 13 15 - 19 20 - 24 25 - 29 30 - 34 35 - 39 40 - 44 45 - 49 1: 1600 1: 1400 1: 1100 1: 700 1: 240 1: 70 1: 20 1: 17000 1: 14000 1: 11000 1: 7100 1: 2400 1: 700 1: 650 1: 33000 1: 25000 1: 20000 1: 14000 1: 4800 1: 1600 1: 1500
INDICAZIONI ALL’INDAGINE CITOGENETICA PRENATALE • Età materna > di 35 aa • Genitore portatore di riarrangiamento cromosomico bilanciato
TRASLOCAZIONE (6; 7)
TRASLOCAZIONE (13; 14)
INDICAZIONI ALL’INDAGINE CITOGENETICA PRENATALE • Età materna > di 35 aa • Genitore portatore di riarrangiamento cromosomico strutturale • Genitore con cariotipo aneuploide compatibile con un fenotipo normale (aneuploidie dei cromosomi del sesso, marker sovrannumerario)
INDICAZIONI ALL’INDAGINE CITOGENETICA PRENATALE • • Malformazioni fetali evidenziate ecograficamente Test sierologico su saungue materno positivo Sindromi mendeliane Varie (familiarità per S. di Down, precedente figlio con patologia cromosomica, motivazioni psicologiche, etc. )
CONSULENZA GENETICA • La consulenza genetica è un momento cruciale nella diagnosi prenatale poiché si tratta di dare informazioni esatte alla coppia riguardo – Le tecniche a disposizione.
TECNICHE DI DIAGNOSI PRENATALE • Tecniche non invasive: – Ecografia – Test sierologici su sangue materno – Cellule fetali nel sangue materno • Tecniche invasive: – – – Villocentesi Amniocentesi Funicolocentesi Fetoscopia Diagnosi preimpianto
TECNICHE INVASIVE
VILLOCENTESI • Epoca di esecuzione: XII-XIII settimane. • Esecuzione ambulatoriale. • Via di esecuzione: - transaddominale - transvaginale
VILLOCENTESI
AMNIOCENTESI • Epoca di esecuzione: XVI-XVIII settimane. • Esecuzione ambulatoriale. • Via di esecuzione: transaddominale
AMNIOCENTESI
FUNICOLOCENTESI • Epoca di esecuzione: XVIII – XXII settimane. • Esecuzione ambulatoriale. • Via di esecuzione: transaddominale.
CONSULENZA GENETICA • La consulenza genetica è un momento cruciale nella diagnosi prenatale poiché si tratta di dare informazioni esatte alla coppia riguarda – I rischi materni e fetali.
RISCHI DELLA VILLOCENTESI • Rischi materni: – perdite ematiche – contrazioni uterine – isoimmunizzazione Rh • Rischi fetali: – aborto (2%) – anomalie agli arti per prelievi effettuati prima della X settimana di gestazione
RISCHI DELL’AMNIOCENTESI • Rischi materni: – Emorragia perforazione uterina. – Emorragia perforazione dei vasi addominali. – Isoimmunizzazione da fattore Rh. – Puntura della vescica. • Rischi fetali: – Aborto 0. 9% – Infezione <0. 01% – Puntura del feto
RISCHI AMNIOCENTESI IN BASE ALL’EPOCA DEL PRELIEVO Epoca del prelievo aborto % 10 -12 settimane 3 -5% 13 -15 “ 2 -3% 16 -18 “ 0. 9% anom fetali % 1 -2% 0. 4% 0. 1%
RISCHI DELLA FUNICOLOCENTESI • Rischi materni: – Rari ed equiparabili ad altre metodiche invasive. • Rischi fetali: – Aborto: 3%. – Sanguinamento. – Bradicardia. – Lacerazione o ematoma del funicolo.
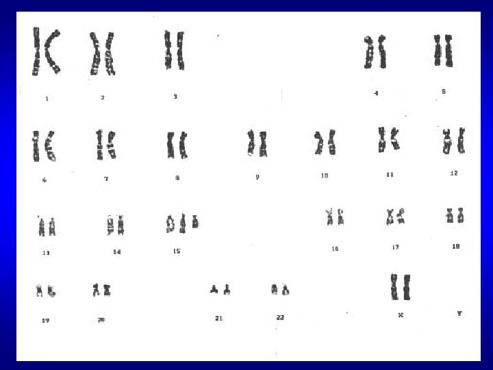
CONSULENZA GENETICA • La consulenza genetica è un momento cruciale nella diagnosi prenatale poiché si tratta di dare informazioni esatte alla coppia riguardo – Le patologie rivelabili : 1) determinazione del cariotipo 2) anomalie cromosomiche 3) malattie genetiche
ANOMALIE CROMOSOMICHE
ring(X)
CROMOSOMI MARKER • Il termine di cromosoma marker viene usato quando non è possibile la sua identificazione mediante le tecniche standard di bandeggiatura.
CROMOSOMI MARKER • Possono essere classificati come de novo o familiari. • Possono essere omogenei oppure a mosaico.
CROMOSOMI MARKER • 1: 700 -1. 000 casi in amniocentesi • 1: 400 in pazienti con ritardo mentale • 1: 4. 000 nella popolazione generale
CROMOSOMI MARKER • I cromosomi marker vengono classificati in: – Bi-satellitati. – Monosatellitati. – Markers non-satellitati
MARKERS BI-SATELLITATI
MARKERS CON SATELLITI AD UNA ESTREMITA’
CROMOSOMI MARKER • Le manifestazioni fenotipiche possono spaziare --fenotipo normale --fenotipo complesso con ritardo mentale e malformazioni varie.
CROMOSOMI MARKER • L’accertamento dell’origine cromosomica di un marker e la rapidità nell’identificazione sono di estrema importanza in diagnosi prenatale per poter stabilire la correlazione con eventuali effetti fenotipici.
TECNICHE IN USO • • • Bandeggi G, R, C NOR DA-DAPI FISH con sonde painting FISH con sonde locus-specifiche Pannelli di sonde painting di interi cromosomi (WCP)
TECNICHE IN USO • Sonde centromero-specifiche • Microdissezione cromosomica + FISH (rev. FISH) • Multicolor FISH (M-FISH) • M-FISH centromero-specifica (cen. MFISH) • Spectral Karyotyping (SKY)
CROMOSOMA 15
CROMOSOMA 15
CROMOSOMA 12
CROMOSOMA 3
CROMOSOMA 9
CROMOSOMA 22
CROMOSOMA 22
KIT PER DIAGNOSI PRECOCI SU AMNIOCITI • • TRISOMIA 21 TRISOMIA 13 TRISOMIA 18 MONOSOMIA X 47, XXY 47, XYY 47, XXX DETECTION 99%
DIAGNOSI DI MALATTIE GENETICHE distrofia di Duchenne fibrosi cistica sindrome di Martin Bell distrofia miotonica
DIAGNOSI MEDIANTE AMNIOCENTESI • DIFETTI DEL TUBO NEURALE
ULTERIORI INDICAZIONI ALLA FUNICOLOCENTESI • Diagnosi di malattie genetiche ematologiche: - talassemie ed emoglobinopatie - difetti della coagulazione - deficit immunologici • Diagnosi di infezioni fetali: - rosolia, toxoplasmosi, CMV • Terapia fetale: - trasfusioni intravascolari - infusioni di farmaci
CONSULENZA GENETICA • La consulenza genetica è un momento cruciale nella diagnosi prenatale poiché si tratta di dare informazioni esatte alla coppia riguardo: – Esito dell’analisi.
CONSULENZA GENETICA Esito della consulenza genetica in coppie con feto affetto da aneuploidia dei cromosomi sessuali Tipo di aneuploidia XXX XXY XYY XO XXYY Varianti n. casi 162 127 111 13 4 2 n. interruzioni 57 51 31 7 3 1 % 36 40 28 54 75 50 Totale 539 171 32
CONSULENZA GENETICA • La consulenza genetica è un momento cruciale nella diagnosi prenatale poiché si tratta di dare informazioni esatte alla coppia riguardo: – Attendibilità dell’analisi
ATTENDIBILITA’ DELL’ANALISI • Amniocentesi • Funicolocentesi : feto di sesso maschile feto di sesso femminile 99% 50% • Villocentesi --colture a breve e lungo termine: trisomia 21 99% --altre trisomie --mosaicismi autosomici ed eterosomici --marker cromosomici SI RICHIEDE CONFERMA SUL LIQUIDO AMNIOTICO
FALSI POSITIVI E FALSI NEGATIVI IN UNO STUDIO DI 10000 CASI DI CVS • FALSI NEGATIVI : 1 su 2500 villocentesi • FALSI POSITIVI : --trisomie autosomiche omogenee 21 e 18 altre --trisomie autosomiche a mosaico 21 18 altre --anomalie gonosomiche --anomalie strutturali rob altre nessun errore 12%- 20% FP 54% 86% 100 45% 100% 54% FP FP FP
TECNICHE NON INVASIVE
SCOPO DI UN TEST NON INVASIVO IN GRAVIDANZA • Selezionare le donne gravide con un aumentato rischio di partorire un figlio con una patologia genetica, in particolare con una cromosomopatia o meglio con la sindrome di Down
TECNICHE NON INVASIVE • ECOGRAFIA • TEST SIEROLOGICI SU SANGUE MATERNO • CELLULE FETALI NEL CIRCOLO MATERNO
ECOGRAFIA • L’ecografia è importante perché consente ----di datare l’età gestazionale con precisione ----di valutare l’accrescimento fetale ----di diagnosticare le anomalie scheletriche ----di diagnosticare le cardiopatie ----di diagnosticare le agenesie degli organi
SCAN E ANOMALIE FETALI • L’ecografia eseguita tra 16 -22 settimane di gestazione ha una detection di anomalie fetali del 65%. NTD 61 -67%; Cardiopatie 11 -48% Anom. Renali 0 -64% ; Trisomia 21 28. 4% Trisomia 18 60 -80%; Triploidia 78% Turner 67% ; Klinefelter 5. 7%
Cellule fetali nel sangue materno • 1 -2 cellule fetali in 1 cc di sangue materno in tutto il decorso della gravidanza; • In 30 cc di sangue si troverebbero 30 -60 cellule fetali sufficienti per una diagnosi citogenetica -- 1 cellula fetale ogni 838 cellule materne in gravidanze normali -- 1 cellula fetale ogni 522 cellule materne nelle gravidanze con feto trisomico
CELLULE FETALI NEL SANGUE MATERNO
TEST SIEROLOGICI SU SANGUE METERNO
Ellementi di valutazione • Veri Positivi: soggetti AFFETTI risultati positivi allo screening= 1: 50 test • Falsi Positivi: soggetti SANI risultati positivi allo screening= 5 -7% • Veri Negativi: soggetti SANI risultati negativi allo screening • Falsi Negativi: soggetti AFFETTI risultati negativi allo screening= 1: 20003000 test
PERIODO DI EFFETTUAZIONE DI UN TEST SIEROLOGICO IN GRAVIDANZA • Primo trimestre • Secondo trimestre • Test combinati primo-secondo trimestre
I TRIMESTRE DI GESTAZIONE ma (entro la 10 -12 settimana) DOSAGGI SIEROLOGICI • Monotest: PAPPA + Età gestazionale Inibina + Età gestazionale • Bitest: PAPPA + Inibina + Età gest. PAPPA + b-HCG +Età gest. 59% DR 22% DR 65% DR
SECONDO TRIMESTRE (15 -19 settimane) TEST SIEROLOGICI DR CUT-OFF MONOTEST: h. CG 32% 1: 250 AFP 32% UE 3 30% BITEST: AFP + h. CG 58% TRITEST: AFP+Inibina+UE 3 71% AFP+Inibina+h. CG 71% AFP+h. CG+UE 3 80% h. CG+Inibina+UE 3 69% QUADRITEST: AFP+Inibina+h. CG+UE 3 79% AFP+Inibina+B-h. CG+UE 3 78% QUINTEST: AFP+Inibina+B-h. CG+UE 3+A-h. CG 81%
TEST INTEGRATI PRIMO E SECONDO TRIMESTRE ECO 10 -12 weeks (nucal translucency) DR 60 -77% 5% FP ECO (nucal translucency) 11 -14 weeks + BITEST (b-h. CG +PAPPA) DR 90% FP 5% ECO + BITEST I° trimestre (PAPPA + Beta-h. CG) + QUADRITEST II° trimestre (AFP+h. CG + u. E 3 + Inibina ) DR 90 -95% FP 5% Eco + tritest II trimestre DR 85 -90% (possibilità di valutare l’h. CG) NT + NB + Bitest (b-h. CG + PAPPA) DR 97% Eco (nucal translucency) 11 -14 weeks + tritest 15 -16 weeks DR ?
TRITEST • Si effettua tra 15 e 19 settimane di gravidanza; • Gli ormoni che si dosano sono: alfafetoproteina (AFP) gonadotropina corionica (h. CG) estriolo libero (u. E 3) • Il dosaggio degli ormoni viene espresso in Mo. M.
RUOLO FUNZIONALE IN GRAVIDANZA • AFP: - proteina trasportatrice (analogo dell’albumina) - regolazione funzione immunologica fetale - mantenimento P. O. nel liquido amniotico
SEDI DI PRODUZIONE • AFP: - Feto (fegato, apparato G-E, rene) - Placenta
Alfa-Feto-Proteina Modalità di passaggio nella circolazione materna Fegato, Rene App. Gastro. Enterico Circolazione Fetale CIRC. MATERNA (filtrazione attraverso membrane e placenta) Urine; Liquido Amniotico Nuova ingestione da parte del feto • Nel liquido amniotico la concentrazione è inferiore di circa 160 volte rispetto al sangue fetale. • Nel siero materno la concentrazione è inferiore di circa 300 volte rispetto al L. A. e di 50. 000 volte rispetto al sangue fetale.
Andamento MS-AFP dalla 15° alla 19° settimana di gestazione
Patologie fetali associate ad alterazioni dei valori di AFP Aumento valori AFP gravidanza gemellare anencefalia spina bifida meningocele mielomeningocele schisi parete addominale ipertensione gravidica nefrosi congenita ritardo crescita fetale parto prematuro morte fetale esercizio fisico Mo. M 2. 1 >2 -9 >10 >2. 5 >5 -9 >2. 5 >5. 0 >2. 0
Patologie fetali associate ad alterazioni dei valori di AFP Riduzione valori AFP Mo. M sindrome di Down trisomia 18 sindrome di Turner atresia anale <0. 6 <0. 5 <1 <0. 5
AFP + oligoidramnios e malformazioni fetali AFP >5 Mo. M + oligoidramnios = morte fetale prematurità malf. fetali morte perinat.
Mo. M di AFP e rischio di patologia fetale Mo. M Rischio 2. 5 1 -3% 3 - 4. 9 4 -7% >5 35 - 37%
STRUTTURA • h. CG: Glicoproteina (2 subunità: a-h. CG e b-h. CG)
RUOLO FUNZIONALE IN GRAVIDANZA • h. CG: - azione luteotrofa nelle prime settimane - probabile azione di controllo sulla risposta immune materna nel 2° e 3° trimestre
SEDI DI PRODUZIONE • h. CG: - placenta (sinciziotrofoblasto)
Gonadotropina Corionica Modalità di regolazione della produzione Nelle gravidanze affette da DS i livelli sierici materni di h. CG risultano superiori a quelli delle gravidanze normali
Andamento MS-h. CG dalla 15° alla 19° settimana di gestazione
Patologie fetali associate ad alterazioni dei valori di h. CG Aumento valori di h. CG Mo. M gravidanza gemellare sindrome di Down triploidia paterna sindrome di Turner trisomia 16 ritardo di crescita fetale ipertensione gravidica schisi parete addominale parto prematuro 1. 84 >2 >2 >2. 5 >2
Patologie fetali associate ad alterazioni dei valori di h. CG Riduzione valori h. CG Mo. M trisomia 18 triploidia materna aborti <0. 5 <1 <1
STRUTTURA • UE 3: Ormone steroideo (2 forme: libera e coniugata)
RUOLO FUNZIONALE IN GRAVIDANZA • Estriolo: - azione di stimolo sull’endometrio - smaltimento degli estrogeni circolanti
SEDI DI PRODUZIONE • Estriolo: - Madre (precursori) - Feto (surrene/fegato DHEAS) - Placenta (estriolo libero)
Estiolo non coniugato Modalità di passaggio nella circolazione materna Surrene fetale DHEAS Fegato fetale Placenta Precursori Fegato materno OH-DHEAS Estriolo coniugato La madre produce i precursori necessari alla sintesi dell’estriolo; il fegato materno svolge inoltre funzione di coniugazione dell’estriolo libero. L’emivita dell’UE 3 è molto breve, dell’ordine di 20 -30 minuti.
Andamento MS-UE 3 dalla 15° alla 19° settimana di gestazione
Patologie fetali associate ad alterazioni dei valori di UE 3 Valori elevati Mo. M triploidia >2. 0 Valori ridotti trisomia 21 trisomia 18 ittiosi s. da geni contigui aborti Mo. M <0. 7 <0. 5 <0. 1 <1
Mediia Mo. M dei markers sierici in gravidanze affette da DS • AFP: 0. 72 • h. CG: 2. 08 - free b-h. CG: 2. 2 - free a-h. CG: 1. 3 • UE 3: 0. 7
Principali fattori di correzione
TRITEST : consulenza genetica prima dell’effettuazione del test • Consulenza genetica per spiegare : --cosa è il tritest --cosa serve il tritest --come si selezionano i casi positivi --il significato della positività --la percentuale di detection di patologie fetali --la affidabilità del test --i falsi negativi
TRITEST : consulenza genetica in casi di positività del test • Nei casi di positività del test, la gravida viene convocata presso il Servizio di Genetica dove le vengono fornite tutte le spiegazioni relative alla positività del test e i consigli su cosa effettuare per un decorso più sereno della gravidanza.
Andamento annuale Tri-test 1995 - 2003 2245 1974 1948 1293 1218 1452 1360 1538 609 5% 6% 10% 9% 9% 9% 8% 5. 6% 5. 9%
Tri-Test : 1995 -Giugno 2004 • • • Totale test : Età gestante > 35 anni Età gestante < 35 anni Totale positivi : Veri positivi : Falsi negativi : Detection rate totale : Detection rate Down Efficacia dello screening 14803 2980 11823 1136 52 1084 8 86. 6% 80% 92% (20. 2%) (79. 8%) (7. 7%= 1: 13 analisi) (0. 43%) (7. 3%) (0. 05%)
Patologie diagnosticate tra 1995 -2004 48 anomalie cromosomiche (1: 33 test) 32 DS (1: 44) 6 Turner 4 Klinefelter 6 trisomie 18 3 difetti tubo neurale 1 difetto parete addominale TOTALE = 52 PATOLOGIE DIAGNOSTICATE
FALSI NEGATIVI Caso 1 Caso 2 Caso 3 Caso 4 Caso 5 Caso 6 Caso 7 Caso 8 data 1996 1997 1998 1999 2001 2003 patologia s. di Down s. di Down età materna 34 aa 33 aa 38 aa 24 aa 31 aa 28 aa 40 aa 37 aa
Tritest e amniocentesi effettuate 1195 -2003 • Aminocentesi attese 2980 • Anomalie cromosomiche 30 • Amniocentesi eseguite 1101 >35 aa 377 (33. 6%) <35 aa 724 (66. 4%) • Amniocentesi risparmiate 1879 • Bambini sani non abortiti 8 -18 • Euro risparmiati 1879 x 250 e. =469. 000
Valutazione dei risultati • Sensibilità del test (D. R. ) 86. 6% • Falsi positivi 7. 3% • Falsi negativi 0. 05 • Efficacia dello screening 92%
Soft markers, h. CG elevata e aneuploidie fetali 7374 donne età < 35 anni, tritest negativo, 432 h. CG isolata > 2. 5 Mo. M 5. 86% (1: 18 -20 tritest) 432 h. CG isolate > 2. 5 Mo. M 35 associavano un soft markers ecografico (8. 41% ) In 35 h. CG isolate >2. 5 Mo. M + soft markers 8 aneuploidie (22. 86%) 6 trisomia 21 2 XO (22. 86 % ) 27 cariotipo normale (77. 8% ) Tritest negativo, h. CG isolata >3. 0 Mo. M, assenza soft markers NESSUNA ANOMALIA CROMOSOMICA FETALE
TEST INTEGRATI PRIMO E SECONDO TRIMESTRE Soft markers 12 -13 weeks h. CG > 3 Mo. M in tritest negativo a 15 -16 weeks AMNIOCENTESI Eco negativa 12 -14 weeks h. CG >3 Mo. M in tritest negativo a 15 -16 weeks ECO tra 16 -18 weeks : PRESENZA SOFT MARKER AMNIOCENTESI h. CG > 3 Mo. M in tritest negativo 15 -16 weeks assenza di soft markers NON AMNIOCENTESI
Perché il test di screening • Perché l’amniocentesi ha un rischio di aborto pari all’ 1% • Perché non più del 40% di Down nasce da donne con età maggiore di 35 anni • Perhè solo il 15% delle gravidanze avviene in donne di età >a 35 anni • Perché si trova una patologia genetica ogni 100 amniocentesi e si perde nel contempo un feto normale • Perché i costi sono sproporzionati
Fine diagnosi prenatale
ALTERAZIONI ORMONALI E DECORSO DELLA GRAVIDANZA h. CG >2. 5 Mo. M, UE 3 <0. 5 Mo. M • • ipertensione gravidica aborto parto pretermine morte fetale intrauterina 5. 5% 3. 0% 3. 5% 4. 0%
ALTERAZIONI ORMONALI E DECORSO DELLA GRAVIDANZA AFP >2. 5 Mo. M, h. CG >2. 5 Mo. M, UE 3 <0. 5 Mo. M • • ipertensione gravidica aborto parto pretermine morte fetale intrauterina 3. 0% 0. 3% 3. 6% 1. 8%
ALTERAZIONI ORMONALI E DECORSO DELLA GRAVIDANZA AFP >2. 5 Mo. M, h. CG >2. 5 Mo. M • • • ipertensione gravidica aborto parto pretermine morte fetale intrauterina sclerosi placentare 2. 4% 10. 7% 3. 6% 2. 4%
ALTERAZIONI ORMONALI E DECORSO DELLA GRAVIDANZA AFP >2. 5 Mo. M, UE 3 <0. 5 Mo. M • • ipertensione gravidica aborto parto pretermine morte fetale intrauterina 2. 0% 11. 8% 2. 0% 7. 8%
DIAGNOSI PRENATALE GRAVIDANZA CON RISCHIO A PRIORI (ETA’ MATERNA AVANZATA); GRAVIDANZA IN CUI IL RISCHIO FETALE SI EVIDENZIA NEL CORSO DELLA GRAVIDANZA --TEST SIEROLOGICO MATERNO POSITIVO, --ECOGRAFIA POSITIVA PER PAT. GENET.
Soft markers e rischi di trisomia 21 • • • Plica nucale > 6 mm Cisti plessi corioidei Ipercogenicità intestinale Femore corto Omero corto rischio 10 volte di più “ 1. 5 volte in più “ 2. 5 volte in più