Dfinition Appareil de Golgi Lappareil de Golgi est



























- Slides: 27
Définition Appareil de Golgi
� L'appareil de Golgi est un organite cellulaire formé d'un ou de plusieurs dictyosomes disséminés dans le cytoplasme.
Un dictyosome est un empilement de saccules membraneux aplatis, dont la légère courbure permet de distinguer une face convexe ou face cis et une face concave ou face trans
L'appareil de Golgi a pour fonction de modifier, de concentrer, de trier et d'emballer les protéines dans des vésicules
Il fait l'intermédiaire entre le réticulum endoplasmique et la membrane plasmique
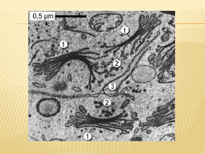
Structure
L'appareil de Golgi est un organite constitué d'un ou plusieurs dictyosomes (en général : un seul dictyosome dans les cellules animales, et plusieurs dizaines dans les cellules végétales)
Un dictyosome est un empilement de saccules membranaires de forme discoïdale et d'un réseau de canalicules appelé réseau trans-golgien
Les différentes parties de l'appareil de Golgi sont identifiées par les colorants suivants : � le tétroxyde d'osmium colore le golgi-cis ; � la dinucléoside diphosphatase colore le golgi-trans ; � la phosphatase acide colore le réseau trans golgien.
LA COMPOSITION CHIMIQUE : la membrane golgienne les protéines consistent de 60 à 65 % les lipides : de 35 à 40 % C'est une composition intermédiaire entre le RE et le membrane plasmique
COMPARTIMENTS FONCTIONNELS DE L'APPAREIL DE GOLGI
� marquer les protéines (pendant une durée de 1 -5 min = pulse) à l'aide d'un acide aminé précurseur radioactif administré in vivo (injection intraveineuse) ou in vitro (ajout à des cellules). Après élimination du précurseur, on étudie au sein de la cellule, au microscope électronique, la progression des protéines radioactives. � On note: � 1 - au temps 1 min environ, leur présence dans le réticulum endoplasmique rugueux. � 2 - au temps 5 min, leur apparition dans le Golgi accompagnée d'une disparition du réticulum. � 3 - au temps 20 min, leur localisation dans le trans Golgi. Cette approche a permis de préciser la présence de trois compartiments fonctionnels dans l'appareil de Golgi: cis médian et trans. � Ensuite se sont ajoutés des compartiments intermédiaires qui assurent la communication avec le compartiment précédent.
RÔLES DE L'APPAREIL DE GOLGI Rôle fondamental dans les modifications posttraductionnelles des protéines issues du réticulum.
� 1 -Glycosylation des protéines � 2 -Glycosylation des lipides � 3 -Sulfatation des protéines (SO 4) � 4 -Coupures protéolytiques: Les coupures protéolytiques sont initiées dans le trans Golgi et se poursuivent dans les grains de sécrétion du compartiment post-golgien, pour devenir protéines actives
LE COMPARTIMENT POST-GOLGIEN
C'est le lieu de rencontre des voies d'exocytose (biosynthèse) et d'endocytos
Deux types d'organites y sont présents: - les grains de sécrétion et les vésicules synaptiques pour la voie d'exocytose. - les endosomes et les lysosomes pour la voie de l'endocytose.