Developmental Defects Dr A Dovigi Orofacial Clefts n

























































- Slides: 57
Developmental Defects Dr. A. Dovigi
Orofacial Clefts
n n Development of the central face begins around the fourth week of human development. During the sixth and seventh week the medial nasal processes merge with each other and the maxillary processes of the first branchial arch
n n The primary palate is also formed by the merging of the medial nasal processes to form the intermaxiallary segment. This gives rise to the premaxilla which houses the four anterior incisors. The secondary palate is formed by the maxillary processes of the first branchial arch.
n n n During the sixth week bilateral projection emerge to form the palatal shelves which are initially oriented in a vertical position. As the mandible grows the tongue drops down and the shelves rotate to a horizontal position. By the eight week the shelves proliferate and fuse in the midline with the anterior portion fusing first then progressing to the posterior.
n n n Defective fusion of the medial nasal processes with the maxillary process leads to cleft lip (CL). Defective fusion of the palatal shelves leads to cleft palate (CP). CL & CP frequently occur together.
1 in 700 live births has CL CP n n n 45% of cases are CL + CP 30% are isolated CP 25% are isolated CL More than 250 developmental syndromes have been identified that are associated with clefts. Most facial clefts are isolated anomalies.
n Recently researchers have identified a genetic mutation in the fibroblast growth factor signaling pathway that is the likely cause of the most common forms of CL & CP. (Riley et. al. U of Iowa) University of Iowa researchers have discovered that mutations in FGF signaling pathway genes contribute to cleft lip and palate. The top figure shows the normal sequence for a region of the FGFR 1 gene; the bottom figure shows a mutation in the same region for a person with cleft lip and palate. (Credit: University of Iowa, Jeff Murray Lab/Bridget Riley)
Other rare clefts can occur. n n n Lateral facial cleft: lack of fusion of the maxillary and mandibular processes. Extends from the commisure to the ear resulting in macrostomia. 0. 3% of all facial defects. Oblique facial cleft: extends from the upper lip to the eye. Nearly always associated with CP. Severe forms can be incompatible with life. Very rare. Median cleft of the upperlip: failure of fusion of the medial nasal processes. Very rare, associated with a number of syndromes including oral-facial -digital syndrome.
Incidence n n n n n 1 in 700 live births in whites. 1. 5 times higher frequency in Asians. 0. 4 per 1000 live births in blacks. Native Americans have the highest incidence: 3. 6 per 1000 live births. Isolated CP is less common than CL CP 0. 4 per 1000 live births. CL CP is more common in males than females with a ratio of 1. 5: 1 Isolated CP is more common in females. 80% of CL is unilateral 20% is bilateral. 70% of unilateral CL is on the left side.
n n Complete or incomplete clefting can occur and there is a range with the most mild form exhibited as a bifid uvula to complete boney clefting with missing teeth (usually lateral incisors). Submucous palatal cleft can develop; there is intact mucosa but the underlying musculature of the soft palate is defective. There is frequently a notch in the bone along the posterior margin of the hard palate.
Treatment n n Treatment is challenging with a multidisciplinary approach which includes: general dentist, oral and maxillofacial surgeon, orthodontist, prosthodontist, pediatric dentist, plastic surgeon, speech pathologist, geneticist. It requires multiple surgeries throughout childhood during growth and development.
Commissural Lip Pits n n n Mucosal invaginations at the cornor of the mouth on the vermilion. Common 10 -20% of the adult population. Blind fistulas 1 -4 mm deep which may express fluid from minor salivary glands. Not associated with facial or palatal clefts but these patients have a higher prevalence of preauricular pits. No treatment necessary unless infected (surgical excision)
Paramedian Lip Pits n n n Rare congenital invaginations of the median lower lip. Usually bilateral symmetric fistulas. Can extend to a depth of 1. 5 cm. Usually inherited as an AD trait associated with cleft lip and/or cleft palate van der Woude syndrome or popliteal pterygium syndrome. May be excised for cosmetic reasons.
Double Lip n n n A redundant fold of tissue on the mucosa side of the lip. Usually congenital but can be acquired. Acquired may be associated with Ascher Syndrome (double lip, blepharochalasis, non toxic thyroid enlargement)
Ascher Syndrome Double Lip Blepharochalasis Thyroid Enlargement
Fordyce Granules n n n Ectopic Sebaceous glands on the oral mucosa. Can be found on the genital mucosa as well. Found in 80% of the population therefore should be considered a normal anatomic variation.
n n n Present as multiple yellow or white papules usually on the buccal mucosa or lateral portion of the vermilion of the upper lip. More commonly seen in adults. Histologically they are normal sebaceous glands.
Leukoedema n n Common oral condition 70 -80% of adult blacks and 50% of black children (10% in whites). Characterized by a milky white diffuse mucosa with a folded or wrinkled surface. The white appearance diminishes or disappears when the cheek is stretched.
Microglossia n n May be mild and difficult to detect to aglossia (very rare). Most cases reported are associzated with oromandibular-limb hypogenesis syndromes. Associated limb anaomolies such as hypodactylia (absence of digits) or hypomelia (hypoplasia of part or all of a limb). Can also be associated with situs inversus (mirror positioning of internal organs).
Macroglossia n n n Caused by a wide variety of conditions. Congenital and hereditary: vascular malformations (lymphangioma and hemangioma), hemihyperplasia, cretinism, Beckwith-Wiedemann syndrome, down syndrome, Acquired; amyloidosis, myxedema, acromegaly, angioedema, tumors.
Lingual Thyroid n n Ectopic thyroid gland located at the junction of the anterior 2/3 and posterior 1/3 of the tongue, the site of the developing foramen cecum in the midline. Based on autopsy studies 10% of men and women have some ectopic thyroid tissue in the posterior 1/3 of the tongue however it is not clinically evident. In 70% of cases this is the patient’s only thyroid tissue. 4 -7 times more frequent in females. Symptoms usually develop during puberty, pregnancy or menopause. Surgical removal or repositioning may be required.
Fissured Tongue n n Relatively common, cause unknown , may be hereditary factors, 2 -5% of the population. Strongly associated with geographic tongue many patients have both conditions. May be a component of Melkersson-Rosenthal Syndrome (fissured tongue, orofacial granulomatosis and facial nerve paralysis). No treatment is necessary, the patient should be instructed to brush the surface to clear food and debris which may cause irritation.
Hairy Tongue n n Accumulation of keratin on the filiform papilla on the dorsum of the tongue. Can be brown or black as a result of growth of pigment producing bacteria. Most people affected are heavy smokers, other causes are; antibiotic therapy, poor oral hygeine, radation therapy, oxidizing mouth rinses and antacids, overgrowth of fungal or bacterial oragnisms. Commonly affects the midline anterior to the circumvallate papillae. Should not be confused with hairy leukoplakia which occurs along the laterla border of the tongue in HIV patients.
Varicosities (Varices) n n Abnormally dilated and tortuous veins commonly in older people. Most common type is the sublingual varix in 2/3 of people older than 60 yrs. Solitary varices may occur in other areas of the mouth (lips and buccal mucosa). They usually become noticed after they become thrombosed, then they present as a bluish purple nodule in the mucosa. Sublingual varices are usually asymptomatic and require no treatment. Solitary varices may need to be biopsied to confirm the diagnosis or for esthetic reasons.
Caliber-Persistent Artery n n n A common vascular anomaly in which a large caliber artery extends up into the underlying submucosa without a reduction in diameter. More common in older adults. Occurs almost exclusively on the lip as a linear elevation from pale normal color to bluish. The artery can be seen by stretching the lip to reveal a pulsing vessel. Usually asymptomatic and no treatment is necessary. It is often biopsied when the lesion is mistaken for a mucocele or other vascular lesion (varix). Birsk bleeding is encountered during biopsy.
Exostoses n n n Localized boney protuberances that arise from the cortical plate. The best known are the torus palatinus and the torus mandibularis. Most often discovered in adults: Buccal exostoses: a bilateral row of boney hard nodules along the facial aspect of the max and mand alveolar ridge. Palatal exostoses (palatal tubercles) occur along the lingual aspect of max tuberosities. Solitary exostoses; may occur in response to local irritation. May develop beneath free gingival or skin grafts. May see Reactive Subpontine exostosis which may develop from alveolar crest bone
Torus Palatinus n n n A common exostosis that occurs in the palatal vault in the midline. Sometimes classified according to their morphology: Flat torus has a broad base and a smooth surface; Spindle torus has a midline ridge along the palatal raphe; Nodular torus has multiple protuberances that may coalesce forming grooves; Lobular torus has a lobular mass that may arise from a singular base. Most are small (less than 2 cm) but they can increase in size throughout life. They are usually asymptomatic however the overlying mucosa can become irritated secondary to trauma. Most studies show a prevalence of 20 -35% with a female: male ratio of 2: 1. the prevalence peaks during early adult life tapering off in later years showing these are dynamic lesions. Surgical removal is indicated if they become irritated and tramatized or fabrication of a denture base.
Torus Mandibularis n n n A common exostosis that develops along the lingual portion of the mandible. Above the mylohyoid in the premolar region, bilateral in 90% of cases. Can appear on periapical radiographs superimposed over the roots of the teeth. Prevalence 5 -40% depending on the study, more common in Asians and Inuit. Prevalence peaks in early adult life and tapers in later years. It also correlates with bruxism and remaining teeth which supports it’s response to functional stress. Surgery may be needed to accommodate a lower denture.
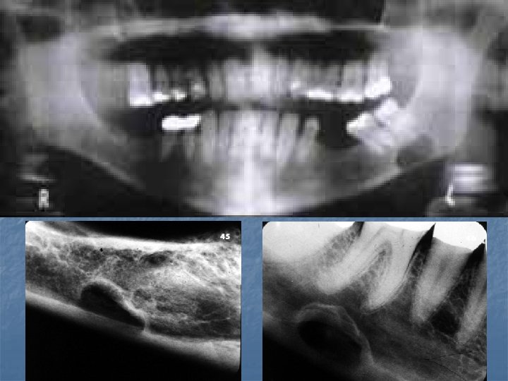
Stafne Defect n n Asymptomatic radiolucent lesionlocated near the angle of the mandible that represents a concavity of the cortical bone caused by the submandibular gland. It is below the IDN between the molar teeth and the angle of the mandible
Board Questions
Speech problems associated with cleft lip and palate are usually the result of: n n n A. Poor tongue control that produces lisping. B. the inability of a soft palate to close air flow into the nasal cavity. C. the inability of the tongue to close air flow from the epiglottis. D. missing teeth that make formation of articulation sounds by the tongue difficult. E. poor lip musculature or heavy scars in the lips that limit vowel sound production.
n B. the inability of a soft palate to close air flow into the nasal cavity.
A cleft lip occurs following the failure of permanent union between which of the following? n n n A. The palatine processes. B. The maxillary processes. C. The palatine processes with the frontonasal processes. D. The maxillary processes with the palatine processes. E. The maxillary processes with the frontonasal processes.
n E. The maxillary processes with the frontonasal processes.
Most clefts are isolated anomalies that occur in: A. Blacks on the left side. B. Asians on the right side. C. Whites on the left side. D. Native Americans on the left side.
n D. Native Americans on the left side.
Paramedian Lip Pits are associated with: n n Ascher Syndrome Beckwith-Weidemann Syndrome Van der Woude syndrome Down syndrome
n Van der Woude syndrome
Blepharochalasis, double Lip and non-toxic thryoid enlargement are associatyed with which syndrome/ n n Beckwith-Weidemann syndrome Down syndrome Ascher syndrome Popliteal Pterygium syndrome.
n Ascher syndrome
A lingual thyroid can be safely surgically removed in all cases. n n True False
n n False This may be the only functioning thyroid tissue the patient has.
Fordyce Granules are; n n Ectopic salivary galnds Ectopic sebaceous glands Inflammatory in origin Epithelial thickening
n Ectopic sebaceous glands