DEVELOPMENT OF THE DENTITION THE DECIDUOUS DENTITION The


















































- Slides: 50
DEVELOPMENT OF THE DENTITION
THE DECIDUOUS DENTITION The stage of deciduous teeth represents an important part of ontogenetic development when usually an exact diagnosis can be established as well as a further prognosis can be assessed. Existence of the deciduous dentition can be divided into three stages: 1. the eruptive stage 2. the functional stage 3. the stage of make-ready for eruption of permanent teeth
THE DECIDUOUS DENTITION • • • Eruption of the lower central incisors begins at about 6 month of age and usually by the age of 30 month all the deciduous teeth have erupted. Typical ages of eruption: central incisor. . . 6 -8 month lateral incisor. . . 8 -10 month first molar. . . 12 -18 month canine. . . 18 -24 month second molar. . . 24 -30 month
THE DECIDUOUS DENTITION • Eruption times vary considerably. Up to 6 month earlier or later than the times given is not unusual. • There no distinct difference between the sexes. • Root formation is complete between 12 and 18 month after eruption.
THE DECIDUOUS DENTITION • After eruption of deciduous incisors and first molars there is still contact between the distal parts of alveolar processes. • Before the eruption of canines by the further growth of erupted teeth the contact between alveolar processes is interrupted. It´s the “ 1 th physiological reduction of overbite”.
THE DECIDUOUS DENTITION The regular deciduous dentition has these characteristic features: • both arches have semicircular shape • the long axises of the teeth are parallel and curve of Spee is missing
THE DECIDUOUS DENTITION • every tooth ocludes with two antagonists except lower central incisors and upper second molars • upper arch overlaps the lower arch, there is small frontal and lateral overjet
THE DECIDUOUS DENTITION • the second deciduous molars are flush distally. It occurs in 70 -80% cases. However, the negative step may be also present if the upper second deciduous molar is as wide as lower or the positive step if the lower second molar is too wide in relation to upper or if there is class II relationship of the dental arches.
THE DECIDUOUS DENTITION • there may be spacings distal to the lower canines and mesial to the upper canines called primate spacings • incisors may be spaced The second phase is biologically inactive only attrition take place there.
THE DECIDUOUS DENTITION • The third stage is the period when replacement of the teeth starts to prepare. • Prior to eruption of permanent teeth, the roots of the primary teeth are resorbed and their crowns shed. The pressure created by the erupting permanent tooth is generally believed to play an important role in primary tooth resorption. Dentinoclasts appear on the apical surface of the roots of primary teeth probably by similar mechanism as in the case of osteoclasts ( It is known that pressure stimulates differentiation of osteoclasts from mesenchymal cells and their action. )
THE DECIDUOUS DENTITION Resorption of the roots begins : • for incisors at 4 • for molars at about 6 and • for canines at 7 years of age. Also, if a permanent tooth is missing, the primary predecesser usually undergoes root resorption, but in the later time.
THE MIXED DENTITION • At the age of 6 years permanent teeth, usually the first molars or lower central incisors start to erupt. • As in the case of the deciduous teeth, eruption times are very variable and a range of 18 months on either side is not unusual. • There also some sex differences in the age of eruption. Girls are 1/2 year ahead of boys. • During this century there has been a tendency towards earlier eruption of permanent teeth in the developed countries ( "secular trend" ). It has mainly been due to the earlier onset of puberty, and indirectly to better child health and nutrition
THE MIXED DENTITION Typical ages of eruption: • first molar. . . 6 -7 years • central incisor. . . 6 -7 years • lateral incisor. . . 7 -8 years • canine. . . 9 -13 years • premolars. . . 9 -13 years • second molar. . . 11 -14 years • third molar. . . 17 -30 years The permanent teeth erupt first in mandible and then in maxilla except the premolars which erupt first in maxilla.
THE MIXED DENTITION
THE MIXED DENTITION • At the time of eruption 2/3 of the root is generally formed. Thereafter, 1, 5 -3 years are needed to complete root length and even longer to close the root apices to the mature size.
REPLACEMENT OF THE TEETH The eruption can be divided into periods: 1. The first period means a replacement of incisors, after which a break (usually 2 years) follows. 2. At the age of 10 -12 years the second period is performed. So the canines and premolars erupt.
ERUPTION OF THE FIRST PERMANENT MOLARS The stage of first permanent molars relationship formation is the most important stage of replacement. In normal occlusion, the anterior buccal cusp of upper first permanent molar should occlude with intercuspal ( buccal ) groove of lower first permanent molar. This relationship can be achieved in several ways.
ERUPTION OF THE FIRST PERMANENT MOLARS • at the end of dental arches a negative step is present ( when the upper second deciduous molar is as wide as lower ). So the first permanent molars are guided into right cuspal relationship.
ERUPTION OF THE FIRST PERMANENT MOLARS • a negative step may be present as a result of mesial drift of lower deciduous molars and closure of the lower primate spacing.
ERUPTION OF THE FIRST PERMANENT MOLARS • the second deciduous molars are flush distally, the first permanent molars are guided into a cusp-to-cusp relationship by their distal surfaces. • mesiodistal width of the permanent canines and premolars is usually less than of the deciduous canines and molars. The surplus space is greater in mandible. Thus when the second deciduous molars are shed the greater leeway space in the lower arch allows the lower first permanent molars to move forwards into a correct cuspal relationship with the upper.
ERUPTION OF THE FIRST PERMANENT MOLARS The order of eruption is important (the lower molar must be replaced before the upper )
ERUPTION OF THE FIRST PERMANENT MOLARS • if there is enough space, the maxilla and mandible are large, the right relationship of the first molars can be achieved • the bad situation is, if the lower second deciduous molar is too wide in relation to upper or there is a class II relationship and the positive step is present.
REPLACEMENT OF INCISORS
REPLACEMENT OF INCISORS • The permanent incisors develop lingual and palatal to the roots of deciduous incisors • The upper lateral incisors in their developmental position are overlapted by the central incisors. They escape as the central incisors erupt.
REPLACEMENT OF INCISORS The average difference in wide of the deciduous and permanent incisors is 7 mm in maxilla and 5, 5 mm in mandible. Space for these teeth, which are larger then their deciduous predecessors (particularly the uppers), is provided by: 1. utilization of existing spacing between the deciduous incisors 2. an increase in arch width takes place during the eruption of incisors. The amount of it is about 3, 5 mm in maxilla and 2, 0 mm in mandible. 3. an increase of length of dental arches, 2, 5 mm in maxilla and 2, 0 mm in mandible. 4. the permanent incisors are more proclined and thus form a larger arch than the deciduous incisors.
REPLACEMENT OF INCISORS
REPLACEMENT OF INCISORS
REPLACEMENT OF INCISORS While the lower primate spacings are important to allow arrangement of the first permanent molars in right relationship, the uppers provide the space for upper permanent incisors.
REPLACEMENT OF INCISORS • the deciduous dentitions without spacings (primate and between incisors) are liable to be replaced by crowded permanent dentition.
REPLACEMENT OF INCISORS
REPLACEMENT OF INCISORS
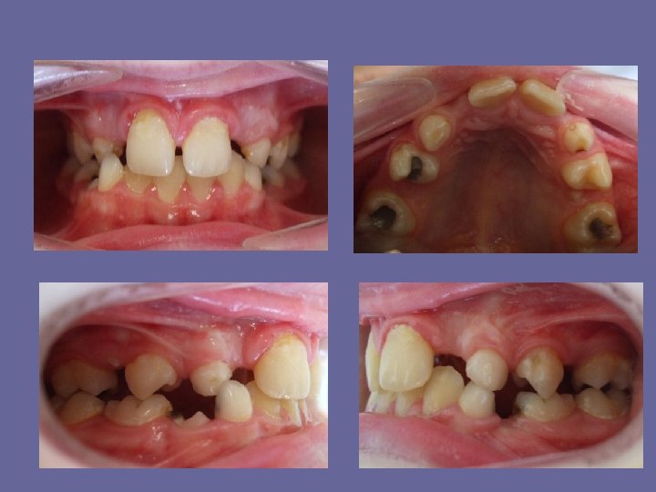
REPLACEMENT OF INCISORS • if there is not sufficient growth in arch width the lateral incisors may be trapped in their palatal position. • When the upper incisors erupt they are frequently distally inclined, there is a median diastema. This is due to the incisor roots being crowded mesially by the permanent canine crowns and should not be mistaken for a malocclusion. When the permanent canines erupt the median diastema will usually close.
REPLACEMENT OF INCISORS • When the lower incisors erupt they are often crowded but it is improve by further growth in arch width. • If the deciduous incisor root is not resorbed normally, the permanent incisor may be deflected lingually or palatally.
REPLACEMENT OF INCISORS The lower incisors erupt before the uppers. It causes the accelerated growth of mandible and the “ 2 th physiological reduction of overbite”.
THE SECOND PERIOD OF REPLACEMENT After a replacement of incisors is over the break (usually 2 years) follows. The deciduous canines and molars are very important to be retained, because: • they keep up the position of the erupted permanent teeth • they maintain space for permanent canines and premolars • they keep up the overbite
THE SECOND PERIOD OF REPLACEMENT • the permanent canines are wider than their predecessors, the premolars, particulary the second premolars, are narrower than the deciduous molars. • the combined mesiodistal width of the permanent canines and premolars is usually less than of the deciduous canines and molars. • The the leeway space is greater in mandible 3, 0 mm than in the maxilla 1, 5 mm
THE SECOND PERIOD OF REPLACEMENT The order of eruption in mandible is: the canine, the first and then the second premolar. The canine cannot drift distaly and the space for it (because it is wider than its predecessor) is made by accelerated growth of mandible. This is the cause of the “ 3 th physiological reduction of overbite”. The order of eruption in maxilla is: the first premolar, the second premolar and then the canine.
ERUPTION OF THE MOLARS • The upper permanent molars develop in the maxillary tuberosity with their occlusal surfaces facing distally and bucally. Posterior growth in maxillary length is necessary to allow them to rotate forwards and downwards into the line of the arch. • The mandibular molars develop under the anterior border of the ascending ramus of the mandible. Growth in the mandibular lenght is necessary if the tooth is to have room to erupt.
PERMANENT DENTITION • The upper arch is shaped like an elipse and that of lower like a parabole. • The mandibular teeth are set one inclined plane in advance of the maxillary teeth. This is because the mandibular central incisor is smaller mesiodistally than the maxillary central incisor. Thus every tooth occlude with two antagonists except the lower central incisors and the upper third molars. • The maxillary teeth are half a cusp to the buccal of the mandibular teeth. • Angle stated that the mesiobuccal cusp of the upper first molar occludes with the intercuspal groove of the lower first molar. That relationship of the first permanent molars is known as a key of occlusion. • The upper permanent canine falls into the embrasure between the lower permanent canine and first premolar. • The lower incisor edges occlude with the cingulum plateau of the upper incisors. Provided that the incisor inclinations are average this gives a normal overbite of about one-third of the height of the lower incisor crowns and an overjet of about 2 mm.